
Wondweson64 Alemu
@_wondweson64
Pathology Resident @ St. Paul's Hospital | #BSTpath | Loves 🎨 Art & Photography
| Ethiopian & Orthodox Chris✟ian 🇪🇹
| 𝕏eets = Opinions
ID: 1604172265817612288
17-12-2022 17:53:44
1,1K Tweet
799 Followers
279 Following

50 y.o. F, radical nephrectomy. What is your diagnosis? Gross photo in the chat. #PathTwitter Mass General Brigham Pathology MGH Pathology


diagnosis? #dermpath #dermatology #pathology jamanetwork.com/journals/jamad… JAMA Dermatology







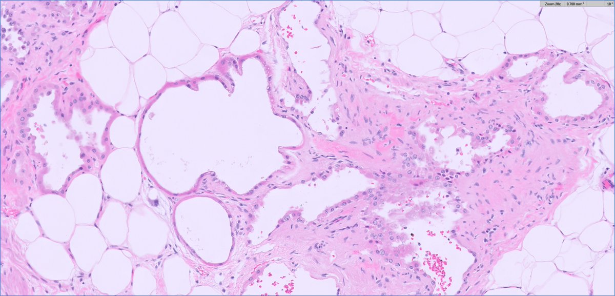
33 yrs old with midline neck swelling. For your valuable opinion. #FNAC Pepe Jiménez Heffernan Nusrat Z. Bokhari Vasudev Prabhu🇮🇳 Anupama Arya Vidya Monappa Venkatesh Dhanasekaran Padma Priya J Dr. Pinakin Kaushik (MD Dip.RCPath) marquess raj Olaleke Folaranmi Arvind Khanijo GönülSaray🔬🦀🍀🇹🇷 International Academy Cytology Cancer Cytopathology


A fantastic case and explanation by the maestro Pepe Jiménez Heffernan 👏👏👏









