Dr. Pathology Boards (@pathboards) 's Twitter Profile
Dr. Pathology Boards

@pathboards

Harnessing the power of user-generated content to help AP/CP residents prepare for boards.

ID: 737116108872921089

calendar_today30-05-2016 02:59:10

405 Tweet

1,1K Takipçi

1 Takip Edilen

Tyler Teichmeier M.D., MLS(ASCP) (@pathtyler) 's Twitter Profile Photo

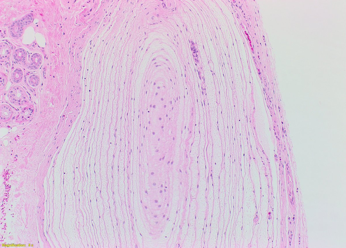
Today we had a nice example of a Pacinian Corpuscle Neuroma. It is a benign lesion composed of prominent pacinian corpuscles with variable patterns in the dermis. Typical corpuscles measure 1.0 - 1.5mm, these were slightly larger at 2mm. #dermpath #dermatology Dr. Pathology Boards

Today we had a nice example of a Pacinian Corpuscle Neuroma. It is a benign lesion composed of prominent pacinian corpuscles with variable patterns in the dermis. Typical corpuscles measure 1.0 - 1.5mm, these were slightly larger at 2mm. #dermpath #dermatology <a href="/PathBoards/">Dr. Pathology Boards</a>
Tyler Teichmeier M.D., MLS(ASCP) (@pathtyler) 's Twitter Profile Photo

Despite looking like a low-grade Gleason adenocarcinoma of the prostate, this is a case of adenosis. It can present with small glands, smooth luminal borders, and nucleoli. The key here is the PIN-4 stain demonstrating basal cells. Scary! #pathology Dr. Pathology Boards UNMC Pathology, Microbiology & Immunology

Despite looking like a low-grade Gleason adenocarcinoma of the prostate, this is a case of adenosis. It can present with small glands, smooth luminal borders, and nucleoli. The key here is the PIN-4 stain demonstrating basal cells. Scary! #pathology <a href="/PathBoards/">Dr. Pathology Boards</a> <a href="/UNMC_PathMicro/">UNMC Pathology, Microbiology & Immunology</a>
M. Lisa Zhang, MD (@mlisazhang) 's Twitter Profile Photo

Recently found out about the new 2019 ASCCP guidelines for cervical cancer screening, with a shift toward risk-based clinical action thresholds: journals.lww.com/jlgtd/Fulltext… ✳️Important to understand how our path diagnoses impact patient management! #CytoPath #GynPath Thanks Chris VandenBussche!

Recently found out about the new 2019 ASCCP guidelines for cervical cancer screening, with a shift toward risk-based  clinical action thresholds: journals.lww.com/jlgtd/Fulltext…
✳️Important to understand how our path diagnoses impact patient management!
#CytoPath #GynPath Thanks <a href="/cjvand/">Chris VandenBussche</a>!
Jen-Fan Hang, MD, FIAC (@jfhang) 's Twitter Profile Photo

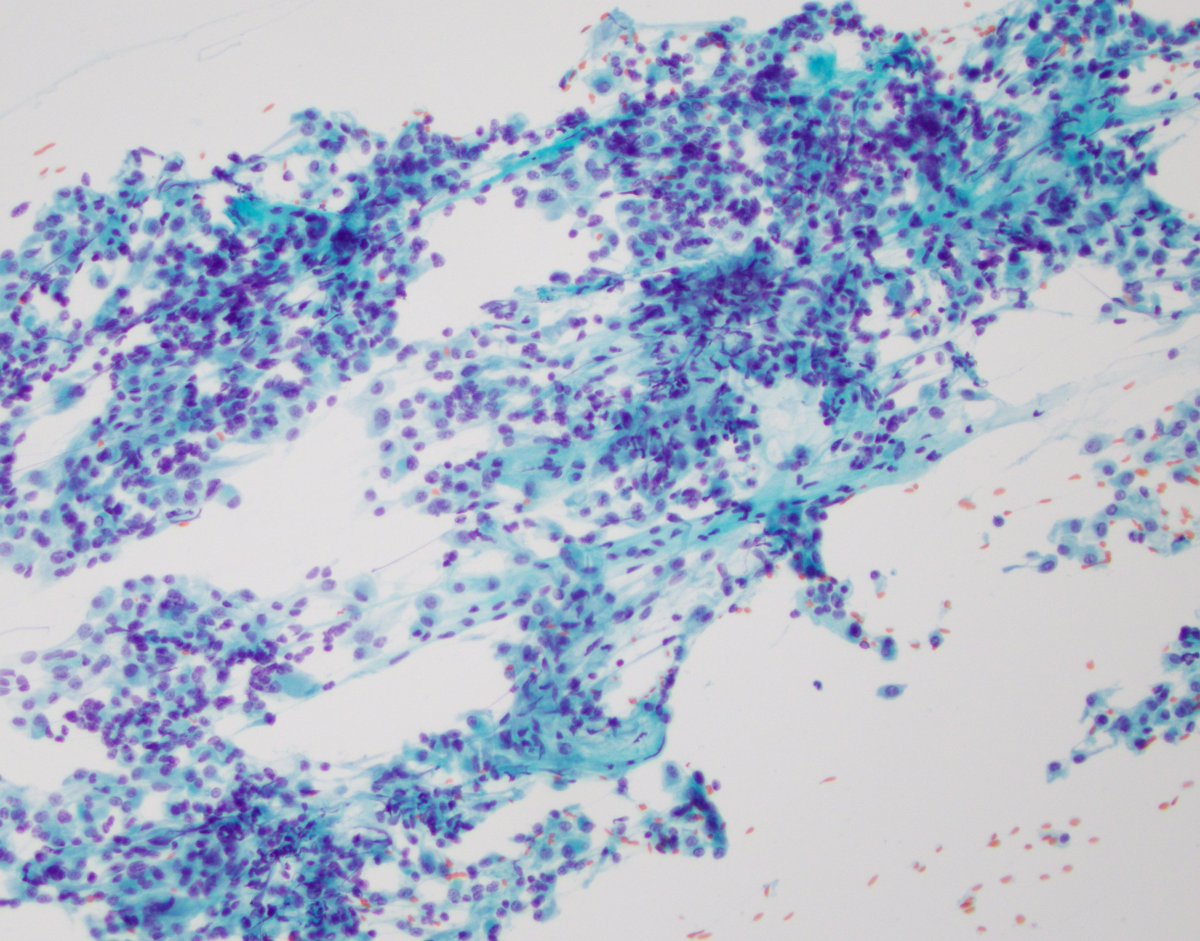
Typical FNA picture of an adenoid cystic carcinoma with uniform basaloid cells, microcystic architecture, and abundant hyaline globules. Check out the new PathologyOutlines.com article on malignant salivary gland FNA! shorturl.at/kKTZ6 #cytopath #ENTPath #FNApath #FNAfriday

Typical FNA picture of an adenoid cystic carcinoma with uniform basaloid cells, microcystic architecture, and abundant hyaline globules. Check out the new <a href="/Pathoutlines/">PathologyOutlines.com</a> article on malignant salivary gland FNA! shorturl.at/kKTZ6 #cytopath #ENTPath #FNApath #FNAfriday
Kevin Kuan (@kkuanmd) 's Twitter Profile Photo

Textbook case of intestinal #amebiasis: Biopsies taken from a colon with many ulcers displaying "poached egg" appearances. Histologic examination shows the presence of E. histolytica in both trophozoites and cysts form. #PathTwitter #GIpath #microbiology #pathharryspotter

Textbook case of intestinal #amebiasis: 
Biopsies taken from a colon with many ulcers displaying "poached egg" appearances. Histologic examination shows the presence of E. histolytica in both  trophozoites and cysts form. #PathTwitter #GIpath #microbiology #pathharryspotter
M. Lisa Zhang, MD (@mlisazhang) 's Twitter Profile Photo

Hepatoblastoma, mixed epithelial and mesenchymal type: 🔸 Most <5yo 🔸 Epithelial (resemble immature hepatocytes) and mesenchymal (spindled) components 🔸 Nuclear β-catenin+ (80% cases) in both components #FNAFriday #CytoPath #liverpath #GIpath #pedipath #Pathology PathSpotters

Hepatoblastoma, mixed epithelial and mesenchymal type:
🔸 Most &lt;5yo
🔸 Epithelial (resemble immature hepatocytes) and mesenchymal (spindled) components
🔸 Nuclear β-catenin+ (80% cases) in both components

#FNAFriday #CytoPath #liverpath #GIpath #pedipath #Pathology <a href="/PathSpotters/">PathSpotters</a>
Emilio Madrigal, DO (@emadrigaldo) 's Twitter Profile Photo

Thyroid nodule FNA 🔴 Malignant (Bethesda 6) 🔴 MEDULLARY thyroid carcinoma ⚫️ ➕calcitonin, synaptophysin, chromogranin ⚫️ ➖ thyroglobulin ⚫️ PAX8 (variable and weak) ⚫️ Cyto: round, plasmacytoid, polygonal or SPINDLE cells in nests, cords, or follicles #cytoPath #FNAFriday

Thyroid nodule FNA
🔴 Malignant (Bethesda 6)
🔴 MEDULLARY thyroid carcinoma
⚫️ ➕calcitonin, synaptophysin, chromogranin
⚫️ ➖ thyroglobulin
⚫️ PAX8 (variable and weak)
⚫️ Cyto: round, plasmacytoid, polygonal or SPINDLE cells in nests, cords, or follicles

#cytoPath #FNAFriday
Syed Z. Ali (@sza_jhcyto) 's Twitter Profile Photo

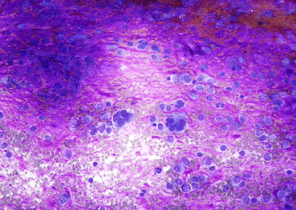
On low power, majority of you would think "PA from the Parotid". However, most would change the opinion on high power and once I disclose that the FNA came from a femoral lesion in a young male. Immature osteoid from "Osteosarcoma" appears extremely "myxoid".

On low power, majority of you would think "PA from the Parotid". However, most would change the opinion on high power and once I disclose that the FNA came from a femoral lesion in a young male. Immature osteoid from "Osteosarcoma" appears extremely "myxoid".
Vanda Torous MD (@vandatorousmd) 's Twitter Profile Photo

FNA clear cell renal cell carcinoma: Cells w abundant cytoplasm and w small cytoplasmic vacuoles. Can be difficult on liquid based preps where the cells r bland & may mimic histiocytes (low N:C, eccentric nuclei). The smears r helpful, w large vascular cohesive groups #cytopath

FNA clear cell renal cell carcinoma: Cells w abundant cytoplasm and w small cytoplasmic vacuoles. Can be difficult on liquid based preps where the cells r bland &amp; may mimic histiocytes (low N:C, eccentric nuclei). The smears r helpful, w large vascular cohesive groups #cytopath
M. Lisa Zhang, MD (@mlisazhang) 's Twitter Profile Photo

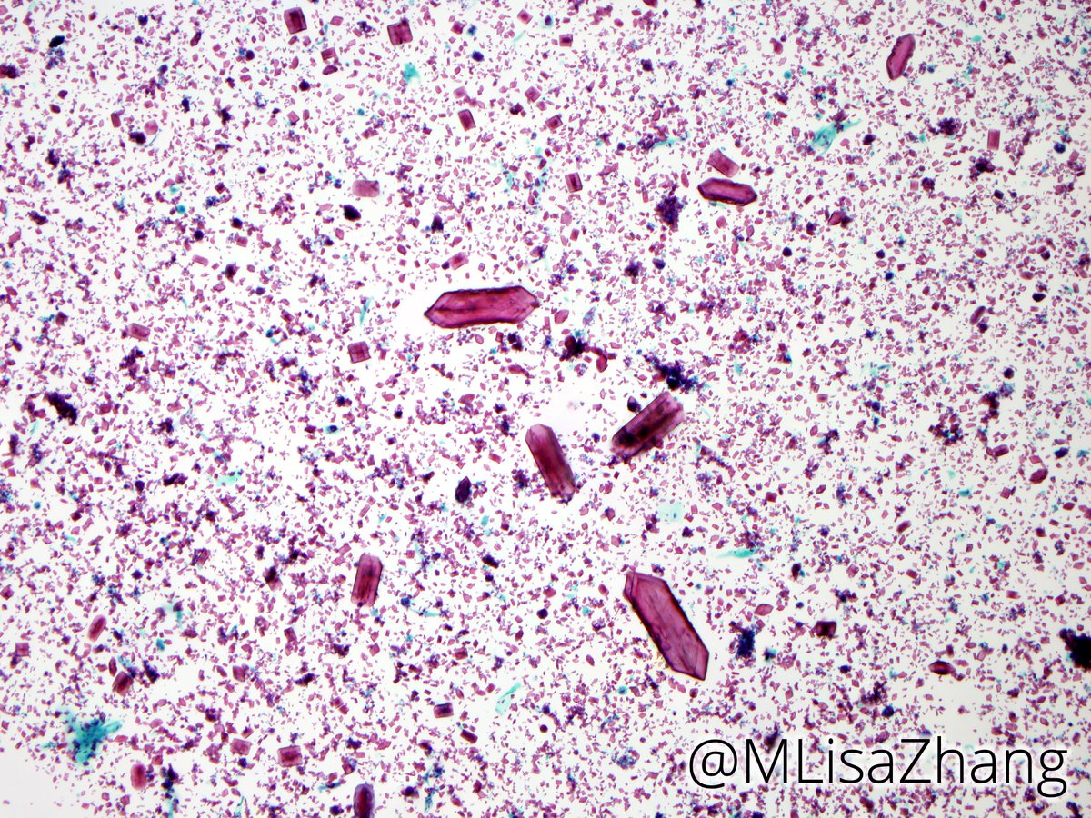
Parotid FNA with "plate-like" amylase crystals 💎 , associated with sialadenitis. VS "floret-like" tyrosine crystals, which can be seen in pleomorphic adenomas and other neoplasms. Feels like trivia fodder for Xiaoyin "Sara" Jiang, MD (She/Her)! 🤫 #FNAFriday #CytoPath #ENTPath #Pathology #pathboards

Parotid FNA with "plate-like" amylase crystals 💎 , associated with sialadenitis.
VS "floret-like" tyrosine crystals, which can be seen in pleomorphic adenomas and other neoplasms.

Feels like trivia fodder for <a href="/Sara_Jiang/">Xiaoyin "Sara" Jiang, MD (She/Her)</a>! 🤫

#FNAFriday #CytoPath #ENTPath #Pathology #pathboards
UAB Pathology (@uabpathology) 's Twitter Profile Photo

Case of the week. The enlarged splenectomy specimen of a 44-year old man shows multiple variably sized blood-filled nodules throughout the cut surface (A-D). Immunophenotype: CD163+ (subset of cells), CD34+ (subset of cells), CD8 negative in red pulp sinuses.

Case  of the week. The enlarged splenectomy specimen of a 44-year old man shows multiple variably sized blood-filled nodules throughout the cut surface (A-D). Immunophenotype: CD163+ (subset of cells), CD34+ (subset of cells), CD8 negative in red pulp sinuses.