Robert S. Eisinger (@robertseisinger) 's Twitter Profile
Robert S. Eisinger

@robertseisinger

PGY-3 @PennNeurology 🧠 MD-PhD @UFMedicine 🐊 DBS, Reward, Parkinson, Neural Engineering | Fan of @LeoraLieberman

ID: 1103116032561111041

linkhttps://scholar.google.com/citations?user=5Rg4jw4AAAAJ&hl=en calendar_today06-03-2019 02:12:11

1,1K Tweet

1,1K Takipçi

2,2K Takip Edilen

Abdulla A. Damluji, MD, PhD (@drdamluji) 's Twitter Profile Photo

Intensive Blood-Pressure Control in Patients with Type 2 Diabetes: NEJM 🥸 Day 3 of #AHA24 continues: Great work AHA Science 😱 Let's summarize BPROAD trial 👇👇👇

Intensive Blood-Pressure Control in Patients with Type 2 Diabetes: <a href="/NEJM/">NEJM</a> 

🥸 Day 3 of #AHA24 continues: Great work <a href="/AHAScience/">AHA Science</a> 

😱 Let's summarize BPROAD trial 

👇👇👇
Abhimanyu Mahajan (@amahajanmd) 's Twitter Profile Photo

Data on 102 SCA 27b patients from 5 centers Mean age of onset: 57 +/- 12.5y 21/28 patients responded to 4-AP “This finding offers the possibility of having a drug treatment that could be the L-dopa of ataxias,” said Dr. Gomez in ⁦Neurology Today⁩ onlinelibrary.wiley.com/doi/10.1002/an…

Michael Rockman, MD, PhD (@dataexplorer21) 's Twitter Profile Photo

🔹MD-PhDs had a lower lifetime earning potential than MDs 🔹Inverse relationship between earning potential and research effort 🔹MD-PhDs in high-earning specialties tending to spend less time on research Journal of Clinical Investigation insight.jci.org/articles/view/…

🔹MD-PhDs had a lower lifetime earning potential than MDs

🔹Inverse relationship between earning potential and research effort

🔹MD-PhDs in high-earning specialties tending to spend less time on research <a href="/jclinicalinvest/">Journal of Clinical Investigation</a> 

insight.jci.org/articles/view/…
Neurology Journal (@greenjournal) 's Twitter Profile Photo

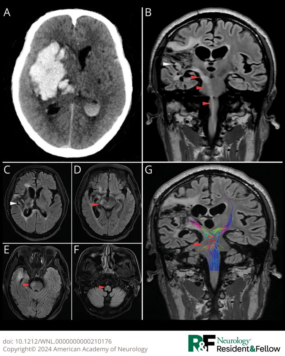
Wallerian degeneration is a pathologic change of distal nerve degeneration resulting from neuronal damage. The breakdown of myelin lipid and resultant gliosis could lead to increased hydrophilicity and hyperintensity on FLAIR. Learn more: bit.ly/4ixGzv3 #NeurologyRF

Wallerian degeneration is a pathologic change of distal nerve degeneration resulting from neuronal damage. The breakdown of myelin lipid and resultant gliosis could lead to increased hydrophilicity and hyperintensity on FLAIR. Learn more: bit.ly/4ixGzv3

#NeurologyRF
Daniel Gewolb, MD (@daniel_gewolb) 's Twitter Profile Photo

⭐️ Classic case: 60 y/o F w/ PMH of cirrhosis presents w/ altered mental status and dysarthria. What is the most likely diagnosis? #Neurology #Neurosurgery #MedEd #medicine #radres #futureradres #ENT #FOAMed

⭐️ Classic case: 60 y/o F w/ PMH of cirrhosis presents w/ altered mental status and dysarthria. What is the most likely diagnosis?

#Neurology #Neurosurgery #MedEd #medicine #radres #futureradres #ENT #FOAMed
Neurology Journal (@greenjournal) 's Twitter Profile Photo

Take a look back at the most read Neurology Resident & Fellow Section article of 2024, "Child Neurology: Simple Motor Tics Associated With Thalamic Ganglioglioma": bit.ly/3VioQxA #NeurologyRF

Felipe Jones (@felipejonesmd) 's Twitter Profile Photo

Happy to share this teaching case with the amazing Jenn Orthmann Murphy. Can you guess the diagnosis? JAMA Neurology bit.ly/40nH0Qm 61yo man presenting with 4 years of progressive weakness, gait instability, urinary incontinence, and cognitive changes. (1/6)

DBS Think Tank (@dbsthinktank) 's Twitter Profile Photo

The proceedings for the DBS Think Tank 12 are now out! Put together by super fellow Enrique Martinez. Read about NeuroAI, cerebellar DBS, nanoparticles and more! frontiersin.org/journals/human…

The proceedings for the DBS Think Tank 12 are now out! Put together by super fellow Enrique Martinez. Read about NeuroAI, cerebellar DBS, nanoparticles and more!

frontiersin.org/journals/human…
Walter J. Koroshetz (@nindsdirector) 's Twitter Profile Photo

NIH Brain Initiative funded multiple studies on closed loop brain stimulation for a number of neuro/pscyh conditions including Parkinson Disease. Now FDA approval granted for device that adjusts stimulation based on a person's neural activity. medpagetoday.com/neurology/park…

Lea Alhilali, MD (@teachplaygrub) 's Twitter Profile Photo

Is cranial nerve anatomy making you nervous??!! High resolution SSFP imaging can visualize cranial nerves, typically for pts w/microvascular compression But knowing their anatomy & location can help you on any imaging—bc if you know where they are, you know if they may be

Neurology Journal (@greenjournal) 's Twitter Profile Photo

The 2025 Resident & Fellow Section Highlights Booklet is now available online! This free resource is a compilation of previously published #NeurologyRF articles. Download this year's—and previous years'—booklets at: hubs.la/Q03gtFKX0 Ariel Lyons-Warren (she/her)

The 2025 Resident &amp; Fellow Section Highlights Booklet is now available online! This free resource is a compilation of previously published #NeurologyRF articles. Download this year's—and previous years'—booklets at: hubs.la/Q03gtFKX0

<a href="/drdrariel/">Ariel Lyons-Warren (she/her)</a>
Katherine Fu, MD (@katherinefumd) 's Twitter Profile Photo

Perivascular radial enhancement is a radiologic hallmark of autoimmune GFAP astrocytopathy, but is this diagnosis on your differential for leptomeningeal enhancement? Check out this #NeurologyRF Pearls & Oy-sters 🦪 for more! neurology.org/doi/10.1212/WN…

Neurology Journal (@greenjournal) 's Twitter Profile Photo

A 72-year-old man presented to the emergency department with fever, meningismus, and focal neurologic deficits, after 5 days of fatigue, malaise, headache, and encephalopathy. Read more: hubs.la/Q03mnvgw0 #NeuroTwitter #Meningoencephalitis

A 72-year-old man presented to the emergency department with fever, meningismus, and focal neurologic deficits, after 5 days of fatigue, malaise, headache, and encephalopathy. Read more:  hubs.la/Q03mnvgw0 
#NeuroTwitter #Meningoencephalitis
Lea Alhilali, MD (@teachplaygrub) 's Twitter Profile Photo

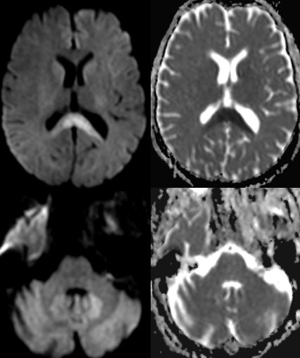
Anyone can see the bright spot of diffusion imaging! What sets you apart is your ability to tell them where it is—what vascular territory Here are the vascular territories you need to know: * Posterior Inferior Cerebellar Artery (PICA) Soft under surface of the cerebellum *

Anyone can see the bright spot of diffusion imaging!

What sets you apart is your ability to tell them where it is—what vascular territory

Here are the vascular territories you need to know:

* Posterior Inferior Cerebellar Artery (PICA)
Soft under surface of the cerebellum

*
Irene Wang, PhD, FAES (@irenezhongwang) 's Twitter Profile Photo

📣 Just came out on the green journal! Our study demonstrates Magnetic Resonance Fingerprinting (MRF), combined with deep learning, enables whole-brain automated detection of focal cortical dysplasia, even in cases hard-to-identify by conventional MRI. neurology.org/doi/10.1212/WN…

Neurology Journal (@greenjournal) 's Twitter Profile Photo

The Neurology Resident & Fellow Section (RFS) Editors seek neurology residents to serve a 3-year term as RFS Editorial Board members. Residents from accredited neurology training programs worldwide are invited to apply by July 14, 2025. Full details: hubs.la/Q03rYc7x0

The Neurology Resident &amp; Fellow Section (RFS) Editors seek neurology residents to serve a 3-year term as RFS Editorial Board members. Residents from accredited neurology training programs worldwide are invited to apply by July 14, 2025. Full details: hubs.la/Q03rYc7x0
Abhimanyu Mahajan (@amahajanmd) 's Twitter Profile Photo

If you are: 1. A movement disorders trained physician 2.Practicing in an academic center in the US Please take 5-10 minutes to fill out this survey to identify factors important for retention and recruitment of movement disorders neurologists. synapse.aan.com/discussion/aca…

If you are:

1. A movement disorders trained physician
2.Practicing in an academic center 
in the US

Please take 5-10 minutes to fill out this survey to identify factors important for retention and recruitment of movement disorders neurologists.

synapse.aan.com/discussion/aca…