Natasha Singh MD, FCAP, FASCP (@natashasinghmd) 's Twitter Profile
Natasha Singh MD, FCAP, FASCP

@natashasinghmd

Attending @ SSM Health Alumni:Cytopathology @Columbia|GI/Liver @UNMC|ChiefResident AP/CP @RWJMS|PostDoc @Harvard|Board Certified - AP/CP.

ID: 1449875413732368393

linkhttps://www.linkedin.com/in/natasha-singh-md-b4a915214 calendar_today17-10-2021 23:10:22

62 Tweet

88 Takipçi

238 Takip Edilen

Interventional Ultrasound for Pathologists (@usfna_spain) 's Twitter Profile Photo

REGISTRATIONS OPEN.!! eventos.aymon.es/en/interventio… We'll have an intense couple of days with Ultrasound, FNA and biopsy with hands-on training in small groups. Oficial language of the course: ENGLISH. #interventionalpathology #pocus #healthcare #PathTwitter #biopsy #geultrasound

REGISTRATIONS OPEN.!! eventos.aymon.es/en/interventio…

We'll have an intense couple of days with Ultrasound, FNA and biopsy with hands-on training in small groups.

Oficial language of the course: ENGLISH.

#interventionalpathology #pocus #healthcare #PathTwitter #biopsy #geultrasound
Raul S. Gonzalez, MD (@raulsgonzalezmd) 's Twitter Profile Photo

Esophagus biopsy in a patient with dysphagia. Tons of intraepithelial lymphocytes plus ulceration and apoptotic keratinocytes. The patient was taking a PD-1 inhibitor, which was likely to blame. pubmed.ncbi.nlm.nih.gov/32338534/ #pathology #PathTwitter #gipath #PathOutPic

Esophagus biopsy in a patient with dysphagia. Tons of intraepithelial lymphocytes plus ulceration and apoptotic keratinocytes. The patient was taking a PD-1 inhibitor, which was likely to blame. pubmed.ncbi.nlm.nih.gov/32338534/ #pathology #PathTwitter #gipath #PathOutPic
Raul S. Gonzalez, MD (@raulsgonzalezmd) 's Twitter Profile Photo

Happy new (academic) year! Here's two #gipath tips for new #pathology interns: 1) H&E levels are your friend. 2) Granulomas don't automatically = Crohn disease in IBD patients. This colon bx from an ulcerative colitis patient shows crypt rupture granulomas, as levels prove.

Happy new (academic) year! Here's two #gipath tips for new #pathology interns: 1) H&E levels are your friend. 2) Granulomas don't automatically = Crohn disease in IBD patients. This colon bx from an ulcerative colitis patient shows crypt rupture granulomas, as levels prove.
UTSW GI Pathology (@utsw_gipath) 's Twitter Profile Photo

Total gastrectomy from pt with CDH1 germline mutation. 🦅👀 Courtesy of Dr. Dipti Karamchandani. #pathology #GIpath #PathTwitter

Total gastrectomy from pt with CDH1 germline mutation. 

🦅👀 Courtesy of Dr. Dipti Karamchandani.

#pathology #GIpath #PathTwitter
stephen lagana (@stephen_lagana) 's Twitter Profile Photo

I thought I would share the way I structure #liverpathology reports, specifically microscopic descriptions. Learned of structured medical liver reports from a paper and modified. Feel free to use or modify, if helpful. #pathology drive.google.com/file/d/1n7ueDc…

I thought I would share the way I structure #liverpathology reports, specifically microscopic descriptions. Learned of structured medical liver reports from a paper and modified. Feel free to use or modify, if helpful. #pathology
 drive.google.com/file/d/1n7ueDc…
Monika Vyas (@mvgs1706) 's Twitter Profile Photo

Going to #CAP23 and like #GIpath? Make sure to attend our short course to learn about the latest in staging and local excisions of CRC, #neuronedocrine #pathology and #biomarker testing! Dipti karamchandani @jondavison CAPathologists BIDMC Pathology UTSW Department of Pathology UPMC Pathology

Going to #CAP23 and like #GIpath? 
Make sure to attend our short course to learn about the latest in staging and local excisions of CRC, #neuronedocrine #pathology and #biomarker testing!
<a href="/Diptikaramchan1/">Dipti karamchandani</a> @jondavison <a href="/Pathologists/">CAPathologists</a> <a href="/BIDMCpath/">BIDMC Pathology</a> <a href="/UTSW_Pathology/">UTSW Department of Pathology</a> <a href="/UPMCPathology/">UPMC Pathology</a>
Pooja Navale MD (@navale_pooja) 's Twitter Profile Photo

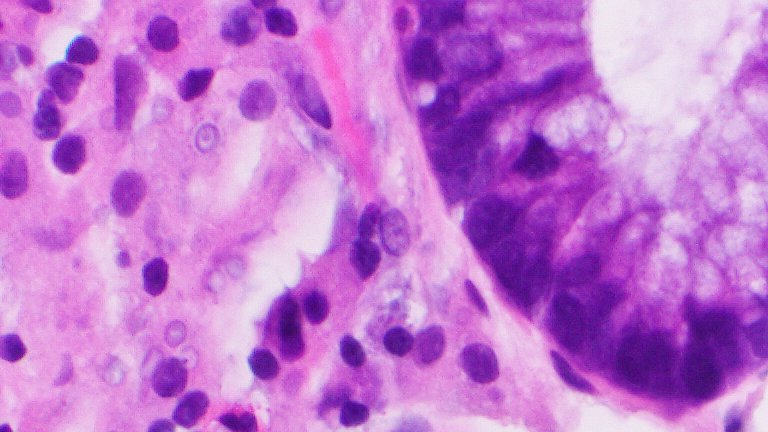
Sessile serrated lesion/adenoma caught in the act transforming into an invasive adenocarcinoma Please forgive me not adhering to the latest WHO nomenclature, posted for worldwide audience🙃 #PathTwitter #MedTwitter @wusm_pathology WashU Medicine Pathology & Immunology Education

Sessile serrated lesion/adenoma caught in the act transforming into an invasive adenocarcinoma 

Please forgive me not adhering to the latest WHO nomenclature, posted for worldwide audience🙃

#PathTwitter #MedTwitter @wusm_pathology <a href="/washupathedu/">WashU Medicine Pathology & Immunology Education</a>
Andrew Bellizzi 🇺🇦 (@ihc_guy) 's Twitter Profile Photo

One of many topics discussed at this morning’s #GIPSOC. Some new (old) biomarkers for me to play with!!! “Cholangiocyte senescence in primary sclerosing cholangitis is associated with disease severity and prognosis" (via #pubmedontap) ncbi.nlm.nih.gov/pubmed/34041468

Elizabeth Montgomery, MD (@lizmontgomerymd) 's Twitter Profile Photo

A couple Golden Goldman Girls cutting up at the #UMiamiPath reception at USCAP. Dr. Yantiss was given the Goldman from the USCAP and I the Goldman award from the Gastrointestinal Pathology Society. Of course a certain age is required to appreciate Golden Girls.

A couple Golden Goldman Girls cutting up at the #UMiamiPath reception at USCAP.  Dr. Yantiss was given the Goldman from the USCAP and I the Goldman award from the Gastrointestinal Pathology Society.  Of course a certain age is required to appreciate Golden Girls.
Momin Siddiqui (@mtsiddi) 's Twitter Profile Photo

Great talks at the ASC and BAC Companion meeting by Drs. Blythe Gorman and Amy Ly discussing ROSE in the context of Pancreaticobiliary lesions and perspectives of an interventional cytopathologist ⁦Cytopathology.org

Great talks at the ASC and BAC Companion meeting by Drs. Blythe Gorman and Amy Ly discussing ROSE in the context of Pancreaticobiliary lesions and perspectives of an interventional cytopathologist ⁦<a href="/cytopathology/">Cytopathology.org</a>⁩