Jessica Burk (@jessicaburkmd) 's Twitter Profile
Jessica Burk

@jessicaburkmd

Private practice radiologist (breast and general) who loves to retweet educational content.

ID: 3235094600

calendar_today03-06-2015 13:11:28

2,2K Tweet

2,2K Followers

1,1K Following

Daniel Souza (@danatsouza) 's Twitter Profile Photo

Median arcuate ligament (or celiac artery compression) syndrome, rare condition leading to upper abdominal pain due to vascular compression, treated with endovascular stent here. Brigham and Women's Radiology @AURtweet FOAMrad SAR Resident and Fellow Section Future Radiology Residents Harvard Macy CBR #MedEd

Median arcuate ligament (or celiac artery compression) syndrome, rare condition leading to upper abdominal pain due to vascular compression, treated with endovascular stent here. <a href="/BrighamRad/">Brigham and Women's Radiology</a> @AURtweet <a href="/FOAMrad/">FOAMrad</a> <a href="/SAR_RFS/">SAR Resident and Fellow Section</a> <a href="/futureradres/">Future Radiology Residents</a> <a href="/HarvardMacy/">Harvard Macy</a> <a href="/CBRadiologia/">CBR</a> #MedEd
UW MSK Imaging & Intervention (@uw_mskrad) 's Twitter Profile Photo

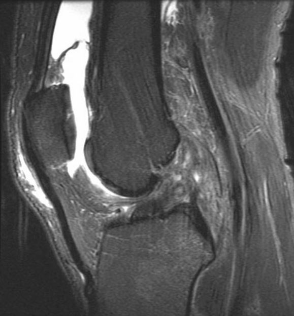
#CaseOfTheWeek🎉 📢✅Answer for Case #30: #Sign🟰Segond fracture & #Diagnosis🟰Torn ACL🦴🦵 Stay tuned for next week's Case #31 and have a great weekend!!🥳🎉 #FOAMrad #RadEd #OrthoTwitter SSR_RWG @UWRadRes #MedEd #OrthoSports @AOSSM_SportsMed

#CaseOfTheWeek🎉

📢✅Answer for Case #30: #Sign🟰Segond fracture &amp; #Diagnosis🟰Torn ACL🦴🦵

Stay tuned for next week's Case #31 and have a great weekend!!🥳🎉

#FOAMrad #RadEd #OrthoTwitter <a href="/ssr_rwg/">SSR_RWG</a> @UWRadRes #MedEd #OrthoSports @AOSSM_SportsMed
UW MSK Imaging & Intervention (@uw_mskrad) 's Twitter Profile Photo

#CaseOfTheWeek🎉 📢✅Answer for Case #31: Lisfranc injury❗👣🦶 Stay tuned for next week's Case #32 and have a great weekend!!🥳🎉 #FOAMrad #RadEd #OrthoTwitter SSR_RWG @UWRadRes #MedEd #FootAndAnkle AOFAS

#CaseOfTheWeek🎉

📢✅Answer for Case #31: Lisfranc injury❗👣🦶

Stay tuned for next week's Case #32 and have a great weekend!!🥳🎉

#FOAMrad #RadEd #OrthoTwitter <a href="/ssr_rwg/">SSR_RWG</a> @UWRadRes #MedEd #FootAndAnkle <a href="/AOFAS/">AOFAS</a>
Daniel Kowal, MD, RMSK | Radquarters (@radquarters) 's Twitter Profile Photo

Epididymo-orchitis. Orchitis less common than & usually secondary to epididymitis. Complications: Scrotal wall inflammation, complicated hydrocele, pyocele, abscess, testicular ischemia/infarct. Watch📽️ to learn more: bit.ly/epi-orch Boston Imaging Samsung Healthcare #FOAMrad

Epididymo-orchitis. Orchitis less common than &amp; usually secondary to epididymitis. Complications: Scrotal wall inflammation, complicated hydrocele, pyocele, abscess, testicular ischemia/infarct. Watch📽️ to learn more: bit.ly/epi-orch
<a href="/BostonImaging/">Boston Imaging</a> <a href="/SamsungHealth/">Samsung Healthcare</a> #FOAMrad
Stefan Tigges (@stefantigges) 's Twitter Profile Photo

When evaluating ICU CXRs, make sure that you look at the support lines & tubes 1st to make sure that there is no life-threatening but easily correctable finding present. If you’d like to learn how to read chest X-Rays, check out my free comic: radiopaedia.org/courses/chest-…

When evaluating ICU CXRs, make sure that you look at the support lines &amp; tubes 1st to make sure that there is no life-threatening but easily correctable finding present. If you’d like to learn how to read chest X-Rays, check out my free comic: radiopaedia.org/courses/chest-…
Sunny Murthy, MD (@sunny_murthy) 's Twitter Profile Photo

This week in DR/IR Residency Events #Match2024 Submit your own: forms.gle/JmyKGJ7j4Kq1Kw… Full calendar w/ links: calendar.google.com/calendar/embed…

This week in DR/IR Residency Events #Match2024

Submit your own: forms.gle/JmyKGJ7j4Kq1Kw…

Full calendar w/ links: calendar.google.com/calendar/embed…
Daniel Souza (@danatsouza) 's Twitter Profile Photo

[2/2] Eovist/Primovist-enhanced liver MRI performed: heterogeneous mass, restricted diffusion, central scar with septa, no contrast uptake on hepatobiliary phase. Rare but classic! Diagnosis? Brigham and Women's Radiology @AURtweet FOAMrad SAR Resident and Fellow Section Future Radiology Residents Harvard Macy CBR #MedEd

[2/2] Eovist/Primovist-enhanced liver MRI performed: heterogeneous mass, restricted diffusion, central scar with septa, no contrast uptake on hepatobiliary phase. Rare but classic! Diagnosis? <a href="/BrighamRad/">Brigham and Women's Radiology</a> @AURtweet <a href="/FOAMrad/">FOAMrad</a> <a href="/SAR_RFS/">SAR Resident and Fellow Section</a> <a href="/futureradres/">Future Radiology Residents</a> <a href="/HarvardMacy/">Harvard Macy</a> <a href="/CBRadiologia/">CBR</a> #MedEd
Stefan Tigges (@stefantigges) 's Twitter Profile Photo

1/5 This week, we’ll learn about coronary artery anomalies. This one is uncommon, but a good place for us to start. If you’d like to learn how to read Chest X-rays, check out my free online interactive comic: radiopaedia.org/courses/chest-…

1/5 This week, we’ll learn about coronary artery anomalies. This one is uncommon, but a good place for us to start. If you’d like to learn how to read Chest X-rays, check out my free online interactive comic: radiopaedia.org/courses/chest-…
UW MSK Imaging & Intervention (@uw_mskrad) 's Twitter Profile Photo

#CaseOfTheWeek ‼️🥳‼️ ☢️🩻☠️Case#37☠️🩻☢️ #BackPain ➡️➡️📲#Diagnosis❓❔❓🎒 #FOAMrad #RadEd #OrthoTwitter SSR_RWG @UWRadRes #MedEd #OrthoSpine NASS

#CaseOfTheWeek ‼️🥳‼️

☢️🩻☠️Case#37☠️🩻☢️ 

#BackPain

➡️➡️📲#Diagnosis❓❔❓🎒

#FOAMrad #RadEd #OrthoTwitter <a href="/ssr_rwg/">SSR_RWG</a> @UWRadRes #MedEd #OrthoSpine <a href="/NASSspine/">NASS</a>
shambo guha roy (@chestradroy) 's Twitter Profile Photo

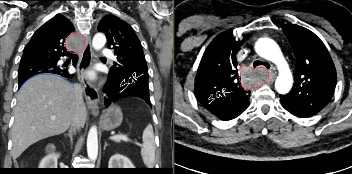
Right suprahilar/paratracheal opacity (red) with elevated right hemidiaphragm (blue), due to phrenic nerve palsy. CT to confirm. Port (yellow) was the clue for cancer. This was metastatic squamous cell CA. #medtwitter #radiology #oncology #radres #chestrad

Right suprahilar/paratracheal opacity (red) with elevated right hemidiaphragm (blue), due to phrenic nerve palsy. CT to confirm. Port (yellow) was the clue for cancer.
This was metastatic squamous cell CA. #medtwitter #radiology #oncology #radres #chestrad
William T. O'Brien, DO 🧠🩻 (@wmobriendo) 's Twitter Profile Photo

#PediNeuroRad #APHPediNeuroRadCase for the Weekend (early) Slide 1: History & images at presentation Slide 2: Annotated images Slide 3: Diagnosis & key points Have a good weekend... #PedsRad #NeuroRad #RadRes #FOAMrad #MedEd

#PediNeuroRad 
#APHPediNeuroRadCase for the Weekend (early)  

Slide 1: History &amp; images at presentation 
Slide 2: Annotated images 
Slide 3: Diagnosis &amp; key points  

Have a good weekend... 
#PedsRad #NeuroRad #RadRes #FOAMrad #MedEd
Daniel Kowal, MD, RMSK | Radquarters (@radquarters) 's Twitter Profile Photo

Multiple splenic hemangiomas. Most common benign neoplasm of spleen. Centripetal enhancement from periphery inward, uniform fill-in on delayed images = Similar enhancement to hepatic hemangiomas, except characteristic peripheral nodular pattern often absent. #FOAMrad #radres

Multiple splenic hemangiomas. Most common benign neoplasm of spleen. Centripetal enhancement from periphery inward, uniform fill-in on delayed images = Similar enhancement to hepatic hemangiomas, except characteristic peripheral nodular pattern often absent.

#FOAMrad #radres