Ingrid Tam (@ingridtam) 's Twitter Profile
Ingrid Tam

@ingridtam

foodie, explorer, pathologist-in-training @usask

ID: 72338355

calendar_today07-09-2009 17:48:51

28 Tweet

41 Followers

164 Following

Paul M. Gibbs (@gibbspath) 's Twitter Profile Photo

Large crowds always make me uneasy. Especially large crowds of erythrophagocytic protozoa in a colonic biopsy... #PathBoards #pathbugs #crittersontwitter #IDPath #GIPath

Large crowds always make me uneasy.  

Especially large crowds of erythrophagocytic protozoa in a colonic biopsy...

#PathBoards #pathbugs #crittersontwitter
#IDPath
#GIPath
Samson W. Fine, MD (@rovingatuscap) 's Twitter Profile Photo

Renal Medullary Carcinoma 1/ Classic Associations: - Adolescent / young adult w/ Sickle Cell Trait - Highly infiltrative w/fibromyxoid & desmoplastic stroma - Necrosis & 'micro-abscesses' Clinically, aggressive w/poor outcomes #gupath #kidneycancer #KidneyCancerAwarenessMonth

Renal Medullary Carcinoma 1/

Classic Associations:
- Adolescent / young adult w/ Sickle Cell Trait
- Highly infiltrative w/fibromyxoid & desmoplastic stroma 
- Necrosis & 'micro-abscesses'

Clinically, aggressive w/poor outcomes

#gupath #kidneycancer #KidneyCancerAwarenessMonth
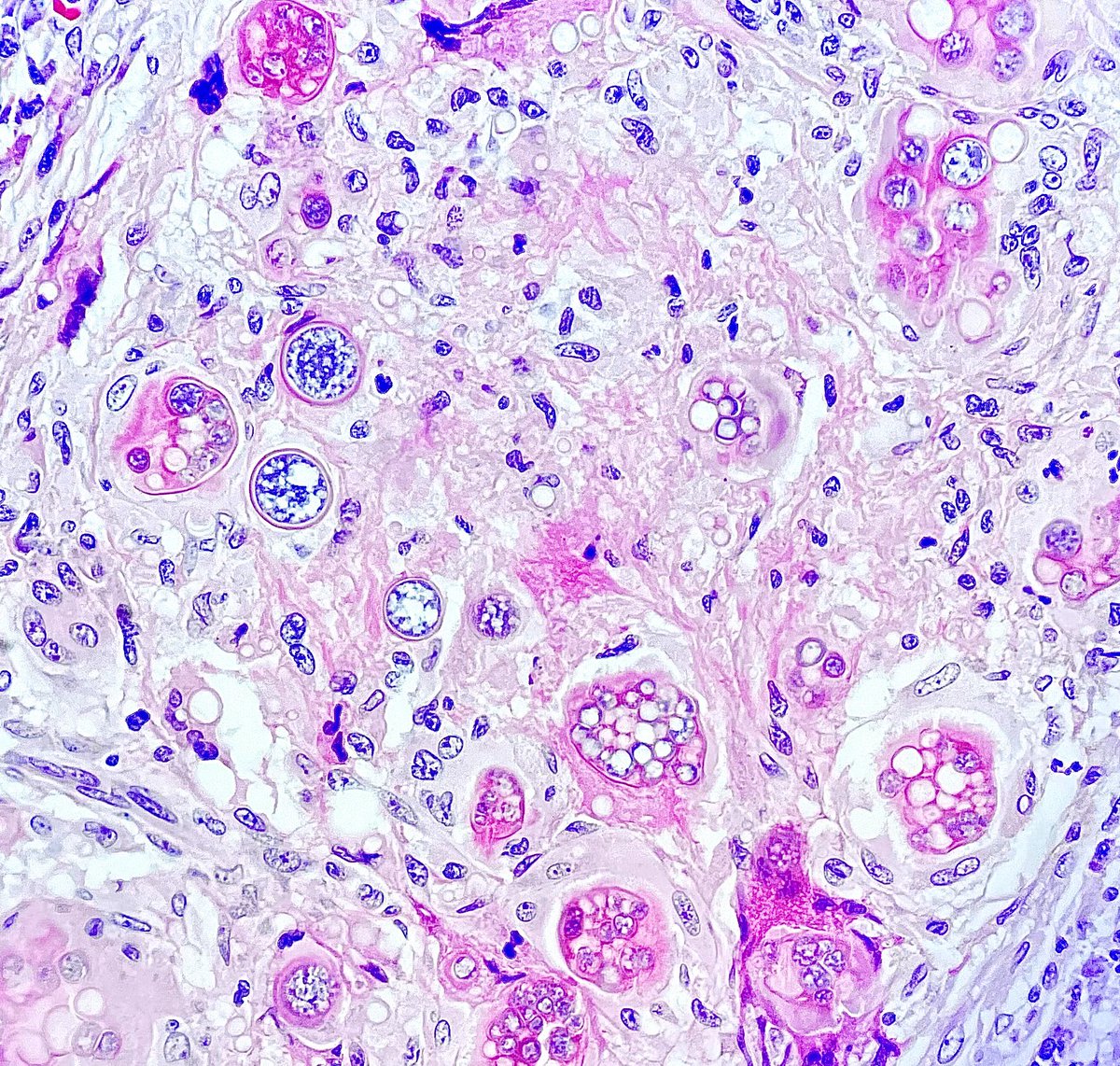
Fernanda, MD (@pathgurl21) 's Twitter Profile Photo

Have a nice sunday!!! Look at this beautiful coccidioidomycosis ๐Ÿ„๐Ÿ”ฌ#Pathology #PathTwitter #fungi #surgicalpath

Have a nice sunday!!! Look at this beautiful coccidioidomycosis ๐Ÿ„๐Ÿ”ฌ#Pathology #PathTwitter #fungi #surgicalpath
Bobbi Pritt, MD (@parasitegal) 's Twitter Profile Photo

The Parasite Case of the Week 632 is up: a fun histopath case with a twist: parasitewonders.blogspot.com/2021/03/case-oโ€ฆ #asmclinmicro #MayoClinMicro #mayopath #parasites #path2path #pathology Jerad Gardner, MD Mayo Clinic Labs ASTMH CAPathologists ASP-Parasitologists London School of Hygiene & Tropical Medicine

The Parasite Case of the Week 632 is up: a fun histopath case with a twist: parasitewonders.blogspot.com/2021/03/case-oโ€ฆ 

#asmclinmicro #MayoClinMicro #mayopath #parasites #path2path #pathology <a href="/JMGardnerMD/">Jerad Gardner, MD</a> <a href="/mayocliniclabs/">Mayo Clinic Labs</a> <a href="/ASTMH/">ASTMH</a> <a href="/Pathologists/">CAPathologists</a> <a href="/AmSocParasit/">ASP-Parasitologists</a> <a href="/LSHTM/">London School of Hygiene & Tropical Medicine</a>
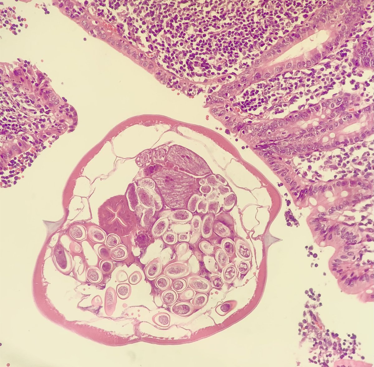
Raquel Bittencourt (@rqbittenc) 's Twitter Profile Photo

These appendix just keep choosing my routines! Male, 4 yo, โ€œappendicitisโ€. You know the drill... knock knock whoโ€™s there? ๐Ÿ‘€ #knockknock #crittersontwitter #pathbugs #appendix #pathology #pathresidents

These appendix just keep choosing my routines! Male, 4 yo, โ€œappendicitisโ€. You know the drill... knock knock whoโ€™s there? ๐Ÿ‘€ #knockknock #crittersontwitter #pathbugs #appendix #pathology #pathresidents
Jerad Gardner, MD (@jmgardnermd) 's Twitter Profile Photo

Shave biopsy of pearly papule on cutaneous lip. Dermatologist thought it was basal cell carcinoma. Your diagnosis? Answer here: kikoxp.com/posts/3844. #pathology #pathologists #pathTwitter #dermpath #dermatology #dermatologia #dermtwitter #BSTpath

Shave biopsy of pearly papule on cutaneous lip.  Dermatologist thought it was basal cell carcinoma. Your diagnosis? Answer here: kikoxp.com/posts/3844. #pathology #pathologists #pathTwitter #dermpath #dermatology #dermatologia #dermtwitter #BSTpath
GU Pathology Society (GUPS) (@gu_path_society) 's Twitter Profile Photo

A teenage female with hematuria and a 3.7 cm bladder mass on CT scan underwent transurethral resection. Contributors: Ingrid Tam, Nick Baniak The GU Pathology Society (GUPS) Case of the Week: gupathsociety.org/COW-2021-24 Send your cases to Francesca Khani, MD @akgulMD #GUPSCOW #GUpath #pathology

A teenage female with hematuria and a 3.7 cm bladder mass on CT scan underwent transurethral resection. 
Contributors: Ingrid Tam, Nick Baniak 

The <a href="/GU_Path_Society/">GU Pathology Society (GUPS)</a> Case of the Week: 
gupathsociety.org/COW-2021-24

Send your cases to <a href="/FKhaniPath/">Francesca Khani, MD</a> @akgulMD
#GUPSCOW #GUpath #pathology
Brendan Dickson, MD (@b_c_dickson) 's Twitter Profile Photo

ALVEOLAR RHABDOMYOSARCOMA. IHC: MYF4. NGS: PAX3-FOXO1. NB: nests of round cells separated by delicate fibrovascular septa; scant eosinophilic cytoplasm; round hyperchromatic nuclei with mild pleomorphism and conspicuous mitotic activity.

ALVEOLAR RHABDOMYOSARCOMA. IHC: MYF4. NGS: PAX3-FOXO1. NB: nests of round cells separated by delicate fibrovascular septa; scant eosinophilic cytoplasm; round hyperchromatic nuclei with mild pleomorphism and conspicuous mitotic activity.
Allison Osmond MD MSc FRCPC ๐Ÿ•Š ๐ŸŒŽ ๐Ÿ•Š (@redsnapperpath) 's Twitter Profile Photo

73 YOF conjunctival nodule (*classic presentation- elderly female*) there are some juicy mitochondria down there Ingrid Tam @thedermypathres Karan Vats Josuรฉ Lilly ๐Ÿ‘€ ๐Ÿ‘€ #dermpath #dermtwitter #opthopath #ENTpath #PathTwitter #pathresidents

73 YOF conjunctival nodule (*classic presentation- elderly female*) there are some juicy mitochondria down there  <a href="/ingridtam/">Ingrid Tam</a> @thedermypathres <a href="/KaranKVats/">Karan Vats</a>  <a href="/josuelilly/">Josuรฉ Lilly</a> ๐Ÿ‘€ ๐Ÿ‘€ #dermpath #dermtwitter #opthopath #ENTpath #PathTwitter #pathresidents
Jerad Gardner, MD (@jmgardnermd) 's Twitter Profile Photo

Incredible example of a rare disease! Nasal polyp. Pic by @phmckee1948. Your diagnosis? Answer & More amazing pics of this entity (from a different case): kikoxp.com/posts/5703. #Pathology #dermpath #ENTpath #IDpath

Incredible example of a rare disease! Nasal polyp. Pic by @phmckee1948. Your diagnosis? Answer &amp; More amazing pics of this entity (from a different case): kikoxp.com/posts/5703. #Pathology #dermpath #ENTpath #IDpath
Indiana University Infectious Diseases Fellowship (@iuidfellowship) 's Twitter Profile Photo

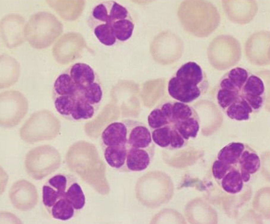
#idboardreview 50 Japanese male w/ 1 month of fatigue, generalized lymphadenopathy, wbc 90k w/60% of circulating atypical lymphocytes along with flower cells (lobulated nuclear configuration). dx? #medEd #idmeded #idtwitter

#idboardreview 50 Japanese male w/ 1 month of fatigue, generalized lymphadenopathy, wbc 90k w/60% of circulating atypical lymphocytes along with flower cells (lobulated nuclear configuration). dx? #medEd #idmeded #idtwitter