Dr.Gauri Vidolkar MD (@gauriii_23) 's Twitter Profile
Dr.Gauri Vidolkar MD

@gauriii_23

Work hard in silence; let the success make noise.Surgical/oncopathologist. Ambitious.Driven by passion. Singer. Dancer. #lovepathology

ID: 194527083

linkhttp://www.parikshanlab.com calendar_today24-09-2010 10:42:28

562 Tweet

462 Followers

271 Following

Matthew Wasco (@gleason4plus5) 's Twitter Profile Photo

Here's a nice example of a metanephric adenoma - always a pleasure to see one since they are pretty and also benign. Completely absent capsule (unlike some things in the ddx), frequent calcifications. IPOX is WT-1. #gupath #pathology

Here's a nice example of a metanephric adenoma - always a pleasure to see one since they are pretty and also benign. Completely absent capsule (unlike some things in the ddx), frequent calcifications. IPOX is WT-1.  #gupath #pathology
Ari M (@ariabdullah1978) 's Twitter Profile Photo

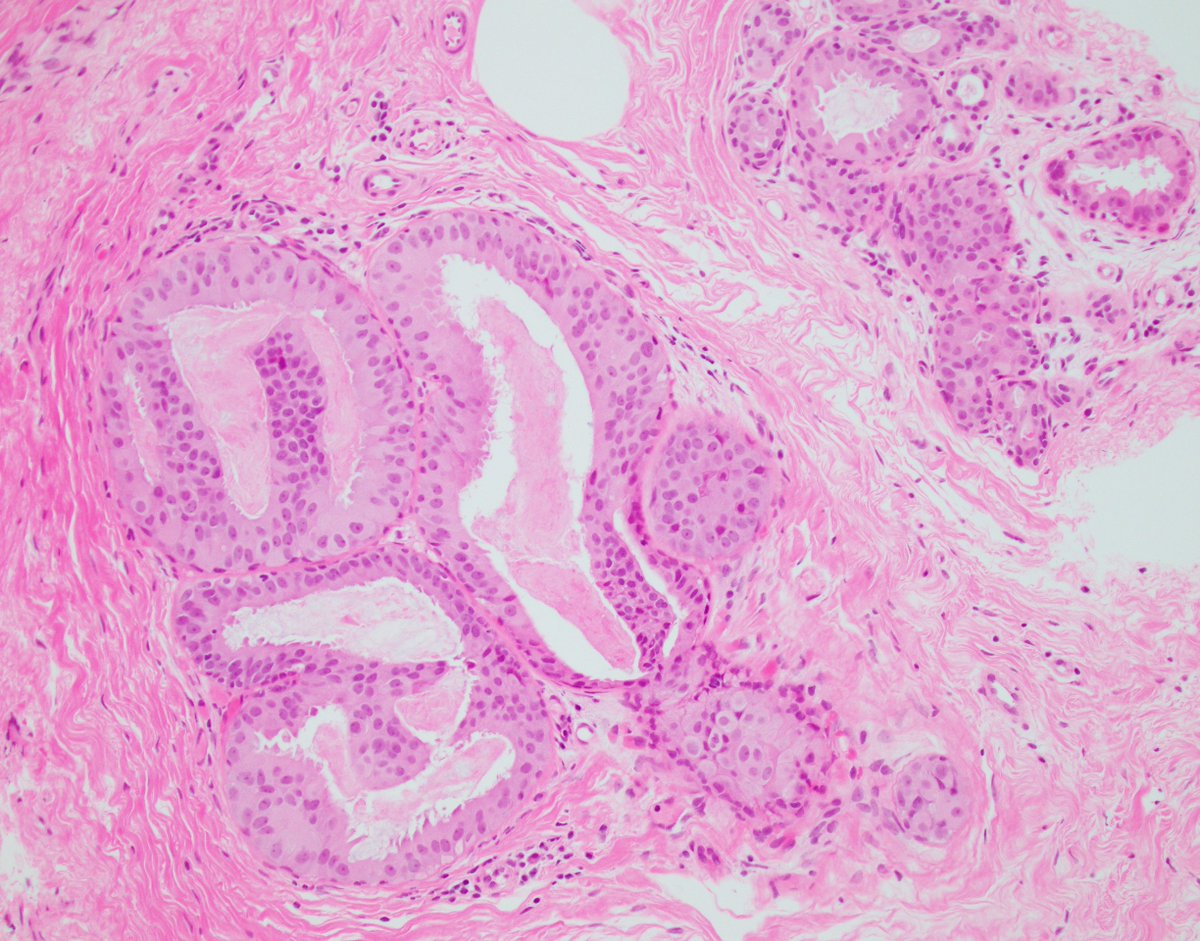
35 F, posterioinferior to Rt. Thyroid lobe nodue, FNA suggested parathyroid related lesion, PTH upper normal, S. Ca 10.5.. Endocrine lovers, can you please share your thoughts with me

35 F, posterioinferior to Rt. Thyroid lobe nodue, FNA suggested parathyroid related lesion, PTH upper normal, S. Ca 10.5.. Endocrine lovers, can you please share your thoughts with me
Vikram Deshpande (@vik_deshpandemd) 's Twitter Profile Photo

p53 in Barrett's dysplasia. Could someone put me out of my misery? How do I use these guidelines? How does one define 2+ p53? and how do I count 20%?

p53 in Barrett's dysplasia. Could someone put me out of my misery? How do I use these guidelines? How does one define 2+ p53? and how do I count 20%?
Dr Amol Akhade (@suyogcancer) 's Twitter Profile Photo

This is the official statement issued by Tata Memorial Hospital regarding the recent social media discussion about reaserch done by Professor Dr Mitra and colleagues at TMH. This statement clearly states that this particular reaserch is under study and its main purpose is to reduce

This is the official statement issued by <a href="/TataMemorial/">Tata Memorial Hospital</a> regarding the recent social media discussion about reaserch done by Professor Dr Mitra and colleagues at  TMH. This statement clearly states that this particular reaserch is under study and its main purpose is to reduce
Charles Herndon (@drcyclopath) 's Twitter Profile Photo

Trabectedin targets the FUS-DDIT3 chimera and is used to treat ___ A) Low-Grade Fibromyxoid Sarcoma B) Myxoid Liposarcoma C) Dermatofibrosarcoma Protuberans #BSTPath #PathResidents #PathTwitter

Trabectedin targets the FUS-DDIT3 chimera and is used to treat ___ 
A) Low-Grade Fibromyxoid Sarcoma
B) Myxoid Liposarcoma
C) Dermatofibrosarcoma Protuberans
#BSTPath #PathResidents #PathTwitter
Craig Horbinski (@craighorbinski) 's Twitter Profile Photo

Superficial well-circumscribed temporal lobe mass in a young woman. NGS showed a BRAF V600E mutation. Diagnosis? (The CD34 immunostain at the end is PLeNTY good enough.) #pathology #neuropath #PathTwitter

Superficial well-circumscribed temporal lobe mass in a young woman. NGS showed a BRAF V600E mutation. Diagnosis? (The CD34 immunostain at the end is PLeNTY good enough.) #pathology #neuropath #PathTwitter
Peter Sadow, MD, PhD (@pathdocboston) 's Twitter Profile Photo

Prepping for the North American Society of Head & Neck Pathology companion meeting at USCAP tomorrow? Sniff out ways to tackle sinonasal small round blue cell tumors on a budget with Dr. Bell from Cedars-Sinai pubmed.ncbi.nlm.nih.gov/38315310/ Check it out at the #NASNHP #USCAP2024 #ENTPath #OpenAccess Head Neck Pathol

Prepping for the <a href="/NASHNPath/">North American Society of Head & Neck Pathology</a> companion meeting at <a href="/TheUSCAP/">USCAP</a> tomorrow? Sniff out ways to tackle sinonasal small round blue cell tumors on a budget with Dr. Bell from <a href="/CedarsSinai/">Cedars-Sinai</a> pubmed.ncbi.nlm.nih.gov/38315310/ Check it out at the #NASNHP #USCAP2024 #ENTPath #OpenAccess <a href="/HeadNeckPathol/">Head Neck Pathol</a>
Pepe Jiménez Heffernan (@pepeheffernan) 's Twitter Profile Photo

Part 4. In cystic PTC it's common to see vacuolated malignant cells. They can be misinterpreted as macrophages. Analyze in detail the epithelial clusters, which may be few in number, and be suspicious of any large cells. We discusse a similar case in 2022 x.com/pepeheffernan/…

Andres Matoso (@andres_matoso) 's Twitter Profile Photo

45 year old male with testicular mass, pleural and pericardial effusions. 5 cm tender testis. Systemic symptoms resolved after orchiectomy. #GUpath

45 year old male with testicular mass, pleural and pericardial effusions. 5 cm tender testis. Systemic symptoms resolved after orchiectomy. #GUpath
Charles Herndon (@drcyclopath) 's Twitter Profile Photo

Thyroid mass in 20yo ♀️ with FAP, Diagnosis? a) Columnar Cell Papillary Thyroid Carcinoma b) Metastatic Ductal Carcinoma c) Metastatic Colorectal Carcinoma d) Cribriform-Morular Thyroid Carcinoma (CMTC) #ENTPath #Pathology #PathTwitter #Thyroid #PediPath

Thyroid mass in 20yo ♀️ with FAP,  Diagnosis?
a) Columnar Cell Papillary Thyroid Carcinoma
b) Metastatic Ductal Carcinoma
c) Metastatic Colorectal Carcinoma 
d) Cribriform-Morular Thyroid Carcinoma (CMTC)
#ENTPath #Pathology #PathTwitter #Thyroid #PediPath