fcamachocord
@fcamachocord
PGY4 Pathology UM/JMH
Alien physician
ID: 1380505157880983556
09-04-2021 12:57:48
24 Tweet
47 Takipçi
174 Takip Edilen
20+ male with a well circumscribed subcut abdominal mass, associated with osteoclast-type giant cells, foamy histiocytes, fibrous pseudocapsule, and bland ovoid cells. Focal keratin positivity. What is your diagnosis? ClevelandClinicLabs Cleveland Clinic Pathology Residency #BSTpath #pathology
Class 2025… Outstanding residents! UMiami Pathology #pathology #pathresidents
Dr. Felipe Camacho, PGY3 at UM/JHS DPLM advocating for IMG’s and legislation regarding Conrad 30 and J-1 VISA policy. Miller Medicine UMiami Pathology #PLS2024 CAP Foundation
Dr. Felipe Camacho Cordo a resident from FL discussing on Conrad 30 at CAP’s Pathologists Leadership Summit. He’ll go to the Capitol Hill tomorrow advocating on an issue close to his heart. CAP Advocacy Tim Reynolds Florida Society of Pathologists Carmen Gomez-Fernandez, MD #SetthePath24
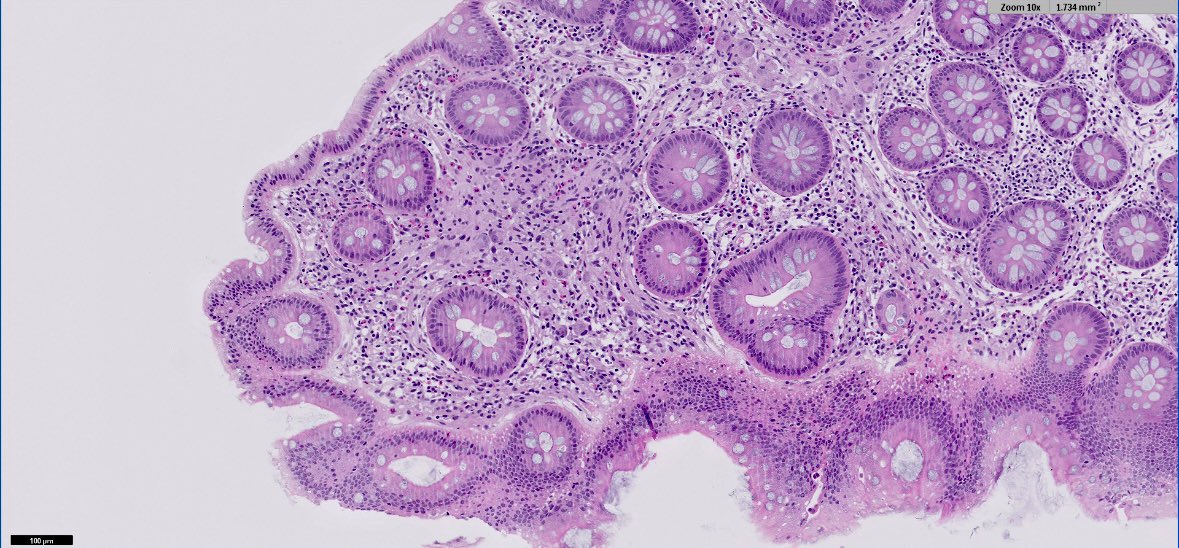
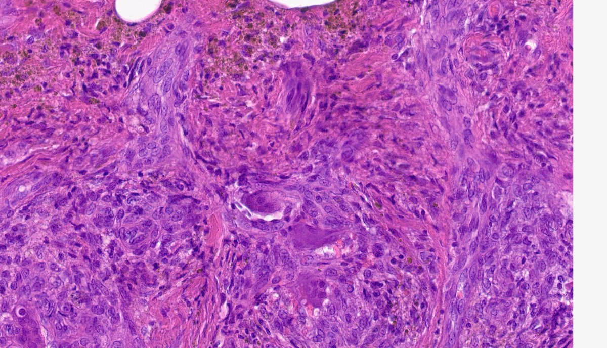
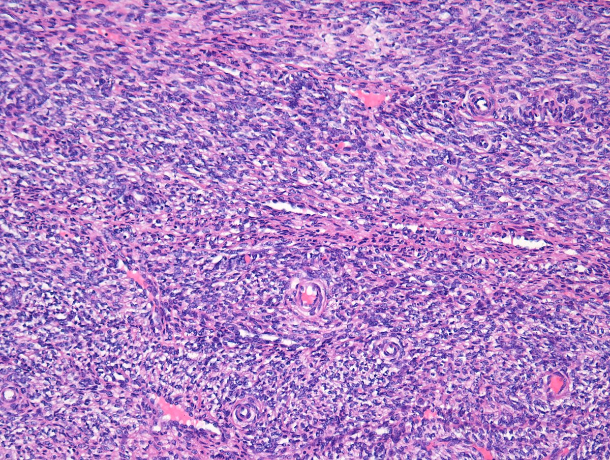
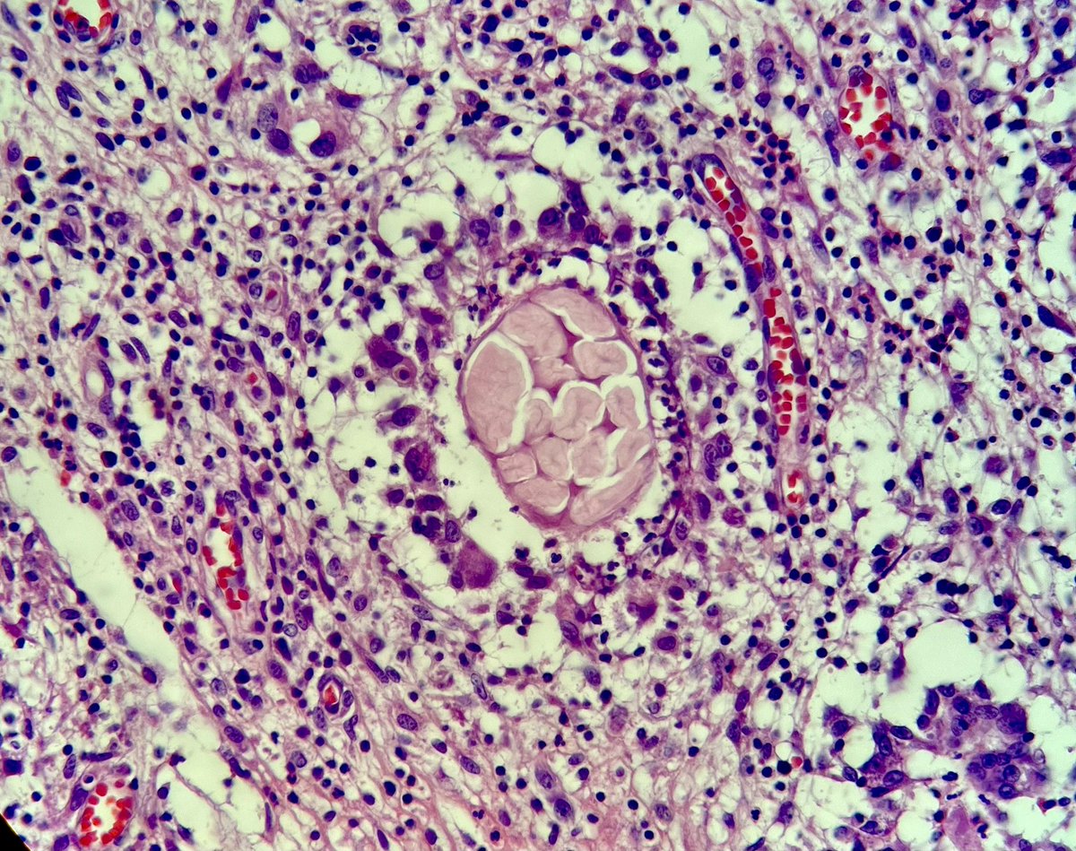
Middle-aged female. Let's play the #tooclosetodiagnose game. Hit me with your excellent differentials 😎 #PathTwitter folks. Annamária Ribiánszky, MD Dan Graham Immanuel Paul Kenny De Gracia T.
All of the free WSI libraries, enjoy! cancer.digitalslidearchive.org/#!/CDSA/acc/TC… digitalpathologyassociation.org/digital-anatom… dlm.lmp.utoronto.ca/public-lists/p… learn.mghpathology.org/index.php/WSI:… virtualpathology.leeds.ac.uk/slides/library/ pathpresenter.com recutclub.com rosaicollection.net More free resources ↘️ docs.google.com/spreadsheets/d…