LILIA M. BERNAL M (@dralmbernal) 's Twitter Profile
LILIA M. BERNAL M

@dralmbernal

ID: 309317967

calendar_today01-06-2011 22:08:02

3,3K Tweet

311 Followers

396 Following

Syed Z. Ali (@sza_jhcyto) 's Twitter Profile Photo

"Nothing is outright specific in Cytomorphology" - Papillary thyroid CA (PTC) on FNA displaying the impressive so-called "Intracytoplasmic Colloid Inclusions" (ICI). ICI has been considered a marker for "Hurthle Cell Neoplasm" but I have seen them numerous times in PTCs.

"Nothing is outright specific in Cytomorphology" - Papillary thyroid CA (PTC) on FNA displaying the impressive so-called "Intracytoplasmic Colloid Inclusions" (ICI). ICI has been considered a marker for "Hurthle Cell Neoplasm" but I have seen them numerous times in PTCs.
Syed Z. Ali (@sza_jhcyto) 's Twitter Profile Photo

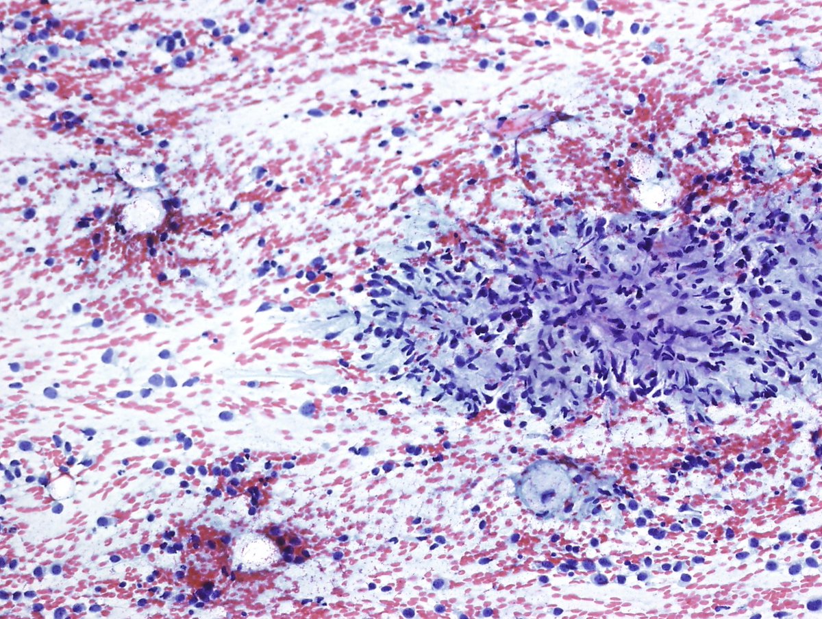
Soft tissue mass. NOT a met melanoma, Carcinoma or Mesothelioma. Most of you may only see 1-2 cases of this rare sarcoma in a lifetime of FNA practice. "Proximal-type Epithelioid Sarcoma - Epithelioid to rhabdoid cells, binucleation, macronucloli and eosinophilic cytoplasm (CB).

Soft tissue mass. NOT a met melanoma, Carcinoma or Mesothelioma. Most of you may only see 1-2 cases of this rare sarcoma in a lifetime of FNA practice. "Proximal-type Epithelioid Sarcoma - Epithelioid to rhabdoid cells, binucleation, macronucloli  and eosinophilic cytoplasm (CB).
Sanjay Mukhopadhyay (@smlungpathguy) 's Twitter Profile Photo

1/ In honor of beautiful Barcelona, Catalunya, Spain, and my wonderful host Irene Sansano, MD Phd , I would like to start a new thread called "Plata" (silver) It will be all about the Grocott Methenamine Silver (GMS) stain. Let's start with Histoplasma

1/
In honor of beautiful Barcelona, Catalunya, Spain, and my wonderful host <a href="/SansanoValero/">Irene Sansano, MD Phd</a> , I would like to start a new thread called "Plata" (silver)

It will be all about the Grocott Methenamine Silver (GMS) stain. Let's start with Histoplasma
Syed Z. Ali (@sza_jhcyto) 's Twitter Profile Photo

Cell "SIZE, SIZE and SIZE" is the most important feature of metastatic malignancy in CSF cytology. Comparison could be made with a lymphocyte (image 1) or a red blood cell (image 2). (Metastatic lung adenocarcinoma, cytospin)

Cell "SIZE, SIZE and SIZE" is the most important feature of metastatic malignancy in CSF cytology. Comparison could be made with a lymphocyte (image 1) or a red blood cell (image 2). (Metastatic lung adenocarcinoma, cytospin)
Syed Z. Ali (@sza_jhcyto) 's Twitter Profile Photo

Classic architecture of a "Papillary Thyroid Carcinoma" on FNA. Focal features suggest a "Tall Cell" subtype. It's not uncommon to find a second pattern of singly dispersed cells.

Classic architecture of a "Papillary Thyroid Carcinoma" on FNA. Focal features suggest a "Tall Cell" subtype. It's not uncommon to find a second pattern of singly dispersed cells.
aung phyo (@pathphyo) 's Twitter Profile Photo

65 yrs old man with history of pulmonary adenocarcinoma with completed chemotherapy. Now presenting with left-sided pleural effusion. An unfortunate case of metastatic adenocarcinoma on pleural fluid cytology. #pathology #cytopath #adenocarcinoma

65 yrs old man with history of pulmonary adenocarcinoma with completed chemotherapy. Now presenting with left-sided pleural effusion. An unfortunate case of metastatic adenocarcinoma on pleural fluid cytology.
#pathology #cytopath #adenocarcinoma
Syed Z. Ali (@sza_jhcyto) 's Twitter Profile Photo

"Pseudomyxoma peritonei" (peritoneal mucinous neoplasia), with high-grade cytology. (Abdominal fluid, young patient with an ovarian mass)

"Pseudomyxoma peritonei" (peritoneal mucinous neoplasia), with high-grade cytology. (Abdominal fluid, young patient with an ovarian mass)
Saroja Devi Geetha (@saroja_devig) 's Twitter Profile Photo

Pap smear showing classic HSV cytopathic changes The 3 M’s of HSV: 🔹Multinucleation 🔹Margination 🔹Molding #PathTwitter #MedTwitter #CytoPath #PapSmear #GYNPath #CytoFellow #PathResident

Pap smear showing classic HSV cytopathic changes 

The 3 M’s of HSV:

🔹Multinucleation
🔹Margination
🔹Molding

#PathTwitter #MedTwitter #CytoPath #PapSmear #GYNPath #CytoFellow #PathResident
Craig Horbinski (@craighorbinski) 's Twitter Profile Photo

Our hiring at Mayo Clinic Florida Pathology continues apace! If you're a transfusion medicine specialist, or know someone who is, have a look! …wp-saasfaprod1.fa.ocs.oraclecloud.com/hcmUI/Candidat…

Syed Z. Ali (@sza_jhcyto) 's Twitter Profile Photo

Great blue heron, Canadian geese, turtles and white tail deers - the lake was full of life this morning (Centennial park, Maryland).

Great blue heron, Canadian geese, turtles and white tail deers - the lake was full of life this morning (Centennial park, Maryland).
Syed Z. Ali (@sza_jhcyto) 's Twitter Profile Photo

A disorganized "picket fence". I find endocervical AIS to be one of the most challenging diagnoses in GYN PAP test. (SurePath)

A disorganized "picket fence". I find endocervical AIS to be one of the most challenging diagnoses in GYN PAP test. (SurePath)
Syed Z. Ali (@sza_jhcyto) 's Twitter Profile Photo

COMING SOON, the “Cells in Session”, an exciting new educational initiative of International Academy Cytology, organized by the “Leaders of Future” and “Cytotechnology Committees”. A monthly series of live teaching sessions emphasizing cellular morphology and diagnostics. cytology-iac.org/cells-in-sessi…