CHIGOZIE OKONGWU (@dr_chigo1) 's Twitter Profile
CHIGOZIE OKONGWU

@dr_chigo1

Medical Doctor and an Entrepreneur

ID: 1799299119938187265

calendar_today08-06-2024 05:04:06

325 Tweet

5 Followers

141 Following

gulcin guler simsek, MD (@glinglerimek) 's Twitter Profile Photo

I'm painting today 🤗 But I still remember my cases😅. Today I also saw this Hashimoto case. What is this cell structure that resembles glomerulation?

I'm painting today 🤗 But I still remember my cases😅. Today I also saw this Hashimoto case. What is this cell structure that resembles glomerulation?
Ahmed Montasser (@amontassermd) 's Twitter Profile Photo

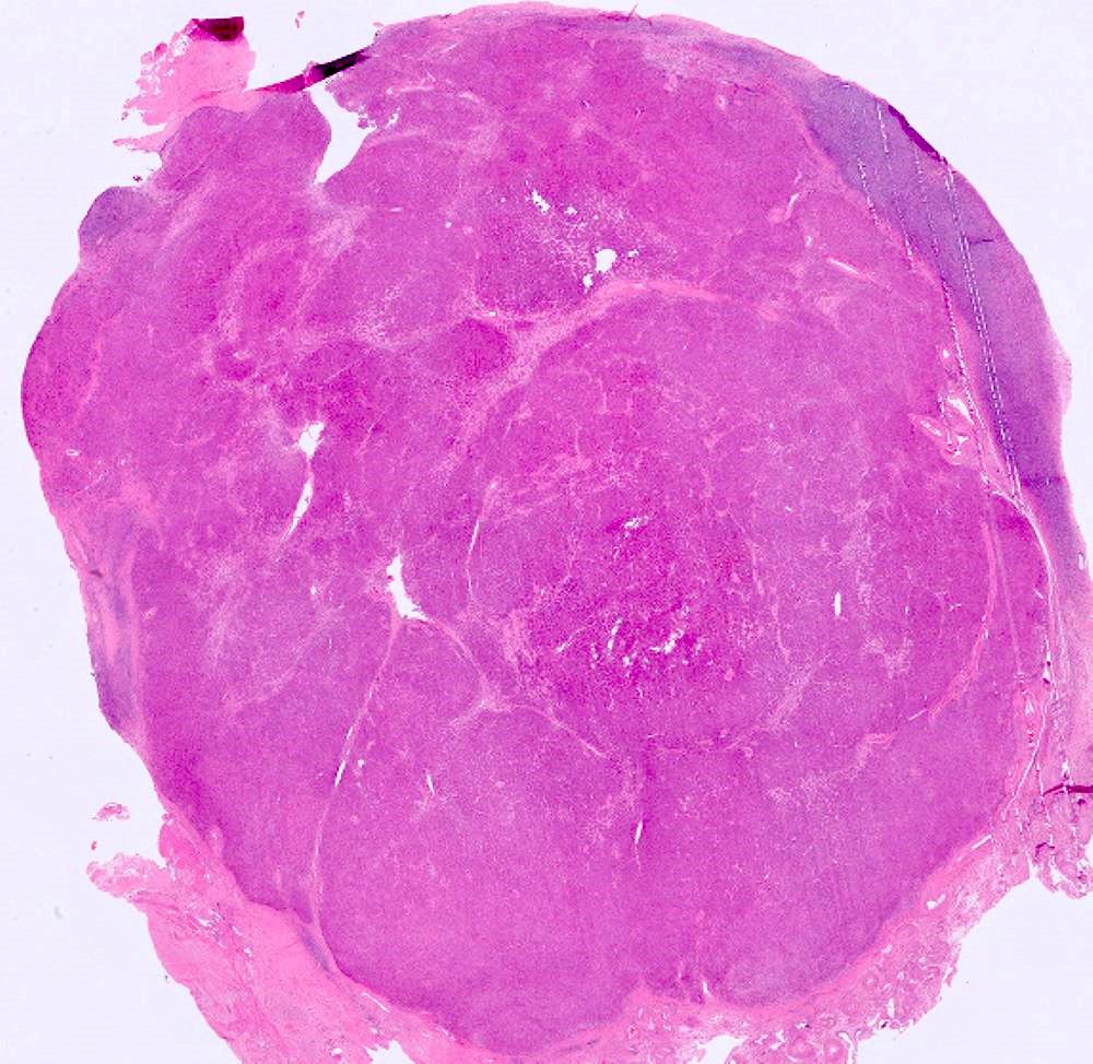
Weekend and Eid vacation so time for an easy #PathGame 🎱 Created this cellblock of EUS-FNB material obtained from a lower esophageal / cardia submucosal swelling of < 3 cm. I made my mind on HE, and ordered 3 immunostains for confirmation ; alphabetically CD34, KIT and SMA 🤓

Weekend and Eid vacation so time for an easy #PathGame 🎱

Created this cellblock of EUS-FNB material obtained from a lower esophageal / cardia submucosal swelling of &lt; 3 cm. 

I made my mind on HE, and ordered 3 immunostains for confirmation ; alphabetically CD34, KIT and SMA 🤓
Janira Navarro (@janiranavarro) 's Twitter Profile Photo

Thymoma is an epithelial neoplasm Best IHC for thymoma: CK AE1/AE3 and TdT Why TdT? -TdT stains thymic lymphocytes. -Thymoma is a tumor that try to resemble how normal thymus grows, that's why it carries TdT positive lymphocytes and form lobules Thymomas vs thymic carcinomas

Thymoma is an epithelial neoplasm 
Best IHC for thymoma: CK AE1/AE3 and TdT
Why TdT?
-TdT stains thymic lymphocytes. -Thymoma is a tumor that try to resemble how normal thymus grows, that's why it carries TdT positive lymphocytes and form lobules 

Thymomas vs thymic carcinomas
Jerad Gardner, MD (@jmgardnermd) 's Twitter Profile Photo

Skin lesion on lower back of adult. Your diagnosis? Answer: kikoxp.com/posts/14392. Video: kikoxp.com/posts/14144. #pathology #pathologists #pathTwitter #dermpath #dermatology #dermatologia #dermtwitter

Skin lesion on lower back of adult. Your diagnosis? Answer: kikoxp.com/posts/14392. Video: kikoxp.com/posts/14144. #pathology #pathologists #pathTwitter #dermpath #dermatology #dermatologia #dermtwitter
Elizabeth Montgomery, MD (@lizmontgomerymd) 's Twitter Profile Photo

This gastric adenoma has foveolar differentiation and focal high grade dysplasia. It is seen in pristine uninflamed mucosa. It could be argued that the lesion is atop a fundic gland polyp. This type of lesion is associated with familial adenomatous polyposis (FAP). #UMiamiPath

This gastric adenoma has foveolar differentiation and focal high grade dysplasia.  It is seen in pristine uninflamed mucosa. It could be argued that the lesion is atop a fundic gland polyp. This type of lesion is associated with familial adenomatous polyposis (FAP). #UMiamiPath
Charles Herndon (@drcyclopath) 's Twitter Profile Photo

Plasma cell myelomas with ___ often express B-cell markers like CD19 a) t(11;14) b) t(4;14) c) t(14;16) d) del(17p) #HemePath #PathTwitter #Pathology hint: also (+) Cyclin D1 by IHC

Plasma cell myelomas with ___ often express B-cell markers like CD19 
a) t(11;14) 
b) t(4;14)
c) t(14;16)
d) del(17p)
#HemePath #PathTwitter #Pathology
hint: also (+) Cyclin D1 by IHC
Janira Navarro (@janiranavarro) 's Twitter Profile Photo

#everydaykidney IHC clear cell carcinoma, papillary renal cell carcinoma and clear cell papillary renal cell tumor Dr. Williamson CCMPS #GUpath #pathology #pathologists #pathtwitter #NIPPathX #pathresidents

#everydaykidney 
IHC clear cell carcinoma, papillary renal cell carcinoma and clear cell papillary renal cell tumor 

Dr. Williamson CCMPS #GUpath #pathology #pathologists #pathtwitter #NIPPathX #pathresidents
Jay Hwang (@path4people) 's Twitter Profile Photo

Lipoblastoma •Benign neoplasm of embryonal white fat •May be local or diffuse (lipoblastomatosis) •75-90% occur<3y/o •Trunk+extremities are most common sites •Size usually 2-5 cm •🔬lobulated; adipocytes w/ variable maturation; separated by fibrovascular septae •🧬PLAG1

Lipoblastoma

•Benign neoplasm of embryonal white fat
•May be local or diffuse (lipoblastomatosis)
•75-90% occur&lt;3y/o
•Trunk+extremities are most common sites
•Size usually 2-5 cm
•🔬lobulated; adipocytes w/ variable maturation; separated by fibrovascular septae 
•🧬PLAG1
Jerad Gardner, MD (@jmgardnermd) 's Twitter Profile Photo

Multiple papules on trunk & extremities of adult. Diagnosis? More pics: kikoxp.com/posts/17926 Answer: kikoxp.com/posts/17925 #pathology #pathologists #pathTwitter #dermpath #dermatology #dermatologia #dermtwitter

Multiple papules on trunk &amp; extremities of adult. Diagnosis? 
More pics: kikoxp.com/posts/17926 
Answer: kikoxp.com/posts/17925
#pathology #pathologists #pathTwitter #dermpath #dermatology #dermatologia #dermtwitter
Arkana Laboratories (@arkanalabs) 's Twitter Profile Photo

#TeachingPoints There is a histopathologic spectrum to the casts that can be seen in light chain cast nephropathy. A portion of this spectrum is shown in these photomicrographs of renal biopsies stained with PAS. All three of these cases had casts with light chain restriction by

#TeachingPoints There is a histopathologic spectrum to the casts that can be seen in light chain cast nephropathy. A portion of this spectrum is shown in these photomicrographs of renal biopsies stained with PAS. All three of these cases had casts with light chain restriction by
CuringCancerNetwork (@curingn) 's Twitter Profile Photo

Ovary - what's your diagnosis? Topic link: pathologyoutlines.com/topic/ovarytum… Images contributed by Fatemeh Ghazanfari Amlashi, M.D., Tamara Kalir, M.D., Ph.D., and AFIP (See thread below for additional image) #Cancer #CancerResearch #CuringCancerNetwork #Pathology

Ovary - what's your diagnosis?

Topic link: pathologyoutlines.com/topic/ovarytum…

Images contributed by Fatemeh Ghazanfari Amlashi, M.D., Tamara Kalir, M.D., Ph.D., and AFIP 

(See thread below for additional image)

#Cancer #CancerResearch #CuringCancerNetwork #Pathology
Jerad Gardner, MD (@jmgardnermd) 's Twitter Profile Photo

70 yo M. Paratesticular mass. Your diagnosis? Answer: kikoxp.com/posts/8266 Sample #pathology report template: kikoxp.com/posts/8244 Video: kikoxp.com/posts/7911 #BSTpath #pathologists #pathTwitter #dermpath #dermatology #dermatologia #dermtwitter

70 yo M. Paratesticular mass. Your diagnosis? 
Answer: kikoxp.com/posts/8266
Sample #pathology report template: kikoxp.com/posts/8244
Video: kikoxp.com/posts/7911
#BSTpath #pathologists #pathTwitter #dermpath #dermatology #dermatologia #dermtwitter
Jay Hwang (@path4people) 's Twitter Profile Photo

Proliferative fasciitis + Proliferative myositis • Former occurs subcutaneously often upper extremity; latter in skeletal muscle often trunk • Grow rapidly+in middle-aged adults •🔬both have large ganglion-like cells+plump (myo)fibroblasts • Rarer than nodular fasciitis

Proliferative fasciitis + Proliferative myositis  

• Former occurs subcutaneously often upper extremity; latter in skeletal muscle often trunk 
• Grow rapidly+in middle-aged adults 
•🔬both have large ganglion-like cells+plump (myo)fibroblasts
• Rarer than nodular fasciitis
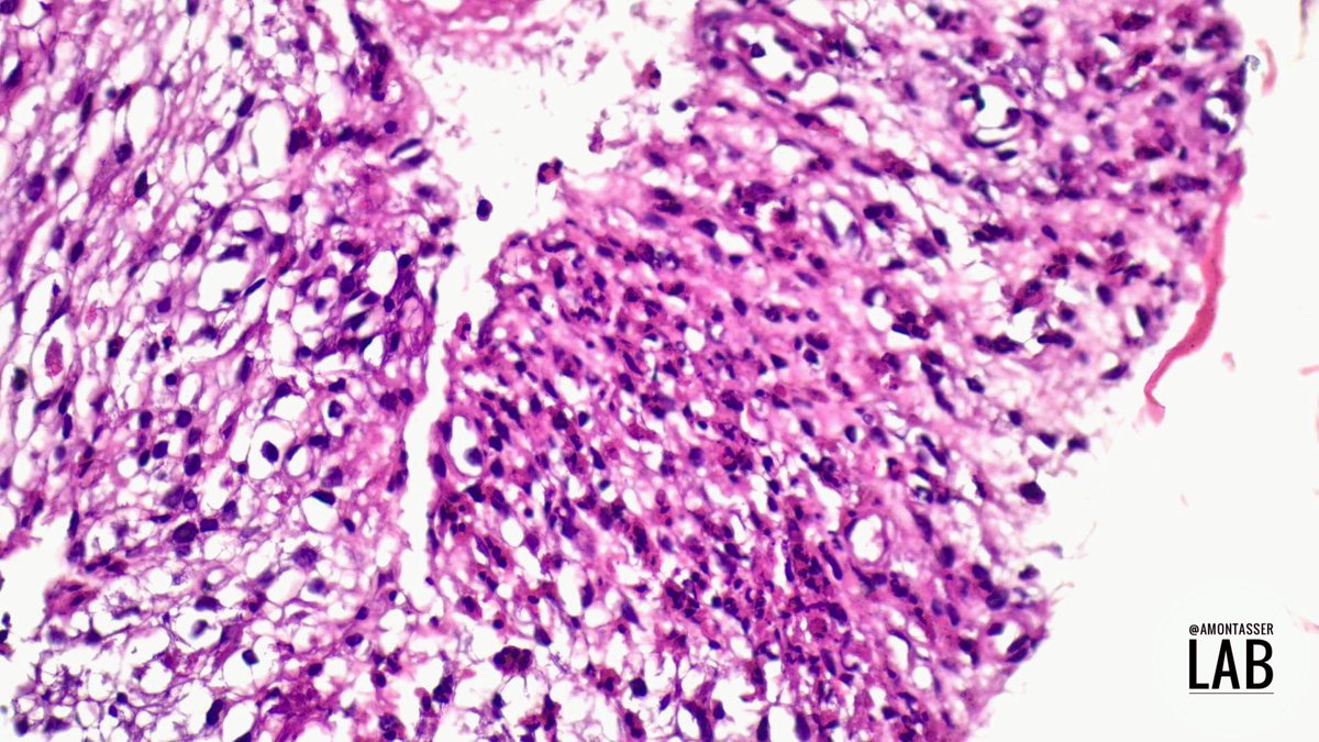
Jay Hwang (@path4people) 's Twitter Profile Photo

Epithelioid Hemangioendothelioma •Malignant vascular neoplasm •Cords/nests of epithelioid cells against myxohyaline stroma •Can occur in any organ but more common in soft tissue, lung, liver •CD31, 34,D2-40, FLI1,ERG + •Cytokeratin-/+ •👀for blister cells⬇️ #pathagonia

Epithelioid Hemangioendothelioma

•Malignant vascular neoplasm
•Cords/nests of epithelioid cells against myxohyaline stroma 
•Can occur in any organ but more common in soft tissue, lung, liver
•CD31, 34,D2-40, FLI1,ERG +
•Cytokeratin-/+
•👀for blister cells⬇️ 

#pathagonia
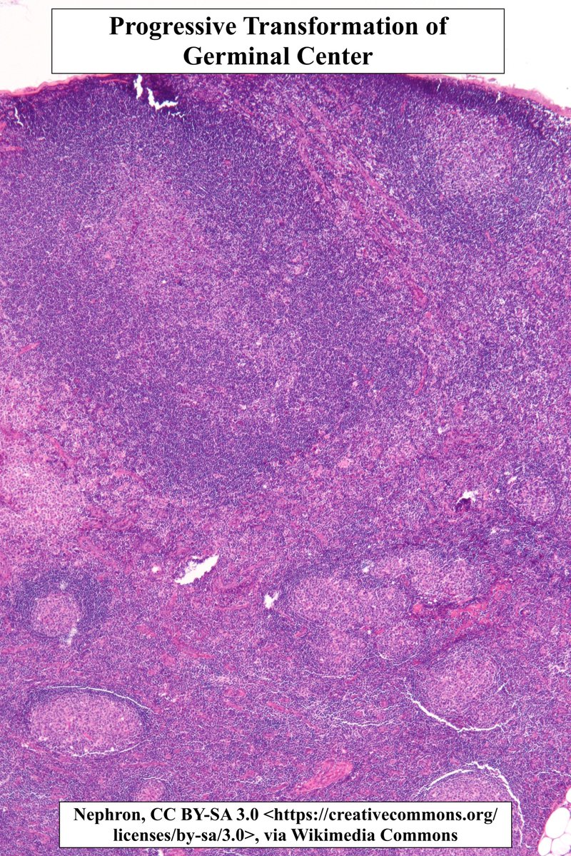
Jay Hwang (@path4people) 's Twitter Profile Photo

Progressive Transformation of Germinal Centers (PTGC) •Characterized by chronic lymphadenopathy w wide age distribution •🔬Expansile follicles w mantle zone expanding into+disrupting germinal center •Benign but may be ass w/ NLP Hodgkin's Lymphoma #pathagonia #heme #pathx

Progressive Transformation of Germinal Centers (PTGC)

•Characterized by chronic lymphadenopathy w wide age distribution
•🔬Expansile follicles w mantle zone expanding into+disrupting germinal center 
•Benign but may be ass w/ NLP Hodgkin's Lymphoma

#pathagonia  #heme #pathx