Soumita Sengupta (@soumita00768164) 's Twitter Profile
Soumita Sengupta

@soumita00768164

Associate Professor of Pathology, WB

ID: 1513034029842726913

calendar_today10-04-2022 06:03:01

104 Tweet

23 Followers

96 Following

Kyle Devins, MD (@md_kyle) 's Twitter Profile Photo

(1/4) Uterine Stromal Tumors #1: Low-Grade Endometrial Stromal Sarcoma (LG-ESS) • Gross appearance - “bag of worms” • Low-grade cellularity resembling proliferative endometrial stroma • Tongue-like invasion of myometrium • Frequent vascular invasion #GYNpath

(1/4) Uterine Stromal Tumors #1: 

Low-Grade Endometrial Stromal Sarcoma (LG-ESS)
• Gross appearance - “bag of worms”
• Low-grade cellularity resembling proliferative endometrial stroma
• Tongue-like invasion of myometrium
• Frequent vascular invasion
#GYNpath
Jerad Gardner, MD (@jmgardnermd) 's Twitter Profile Photo

Classic pattern in pathology (with a fun name!). What is this called? What tumors have it? Answer & more pics: kikoxp.com/posts/15107 Video: kikoxp.com/posts/15033 #BSTpath #pathologists #pathology #pathTwitter #ENTpath #GUpath #USMLE

Classic pattern in pathology (with a fun name!). What is this called? What tumors have it? 
Answer & more pics: kikoxp.com/posts/15107
Video: kikoxp.com/posts/15033
#BSTpath #pathologists #pathology #pathTwitter #ENTpath #GUpath #USMLE
Jerad Gardner, MD (@jmgardnermd) 's Twitter Profile Photo

Child with expansile intramedullary bone lesion. What syndromes can this occur in? What gene mutation? Answers & WSI digital slide: kikoxp.com/posts/22455 Video: kikoxp.com/posts/16802 #BSTpath #pathologists #pathTwitter #orthotwitter #radpathmatch #radiology #radstwitter

Child with expansile intramedullary bone lesion. 
What syndromes can this occur in? What gene mutation? 
Answers & WSI digital slide: kikoxp.com/posts/22455
Video: kikoxp.com/posts/16802
#BSTpath #pathologists #pathTwitter #orthotwitter #radpathmatch #radiology #radstwitter
Fascinating (@fasc1nate) 's Twitter Profile Photo

Barry Marshall was convinced that the Helicobacter pylori bacteria caused stomach ulcers, but no one believed him. Since it was illegal to test his theory on humans, he drank the bacteria himself and developed ulcers within days. He treated them with antibiotics and went

Barry Marshall was convinced that the Helicobacter pylori bacteria caused stomach ulcers, but no one believed him.   

Since it was illegal to test his theory on humans, he drank the bacteria himself and developed ulcers within days.   

He treated them with antibiotics and went
Terri Jones, MD, FASCP (@tewajonesmd) 's Twitter Profile Photo

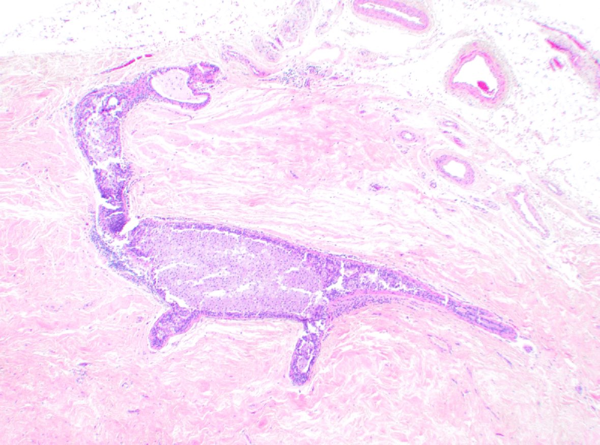
Breast duct ectasia brontosaurus (🦕!) I saw a few weeks ago in a mastectomy. Duct is expanded w/ foamy histiocytes. I don’t have a higher power image, but you can see some lymphoplasmacytic inflammation at the 🦕’s chest and some periductal fibrosis🔬#breastpath #pathology

Breast duct ectasia brontosaurus (🦕!) I saw a few weeks ago in a mastectomy. Duct is expanded w/ foamy histiocytes. I don’t have a higher power image, but you can see some lymphoplasmacytic inflammation at the 🦕’s chest and some periductal fibrosis🔬#breastpath #pathology
Karnataka Chapter-IAPM (KCIAPM) (@kciapm) 's Twitter Profile Photo

We are deeply saddened by the passing of Dr. Christopher Fletcher, whose profound contributions to the field of pathology have touched countless lives. His legacy will continue to inspire and educate generations of pathologists.

We are deeply saddened by the passing of Dr. Christopher Fletcher, whose profound contributions to the field of pathology have touched countless lives. 
His legacy will continue to inspire and educate generations of pathologists.
Soumita Sengupta (@soumita00768164) 's Twitter Profile Photo

"তোমার জন্য এই মাঠে আমি সবুজ রেখেছিলাম তোমার জন্যই গাছের নিচে ছায়া রেখেছিলাম। তোমার জন্যই পাহাড়ের কাছে হাত পেতে বলেছিলাম,'ও পাহাড়,তুমি নদীর স্বরলিপি লেখো।' শুনেছিলাম তুমি বহুদূর ভুমধ্যসাগর হেঁটে ফিরছো, তোমার জন্যই এই ঘাসে আঁচল পেতেছিলাম।" শুভ গোধূলি...

"তোমার জন্য এই মাঠে আমি সবুজ রেখেছিলাম
তোমার জন্যই গাছের নিচে ছায়া রেখেছিলাম। তোমার জন্যই পাহাড়ের কাছে হাত পেতে বলেছিলাম,'ও পাহাড়,তুমি নদীর স্বরলিপি লেখো।'
শুনেছিলাম তুমি বহুদূর ভুমধ্যসাগর হেঁটে ফিরছো,
তোমার জন্যই এই ঘাসে আঁচল পেতেছিলাম।"

শুভ গোধূলি...
Jerad Gardner, MD (@jmgardnermd) 's Twitter Profile Photo

Cyst from the thigh of a child. Your diagnosis? Answer ✅: youtu.be/APVCziUvL2g?si…. #pathology #pathologists #pathTwitter #dermpath #dermatology #dermatologia #dermtwitter

Cyst from the thigh of a child. Your diagnosis? Answer ✅: youtu.be/APVCziUvL2g?si…. #pathology #pathologists #pathTwitter #dermpath #dermatology #dermatologia #dermtwitter
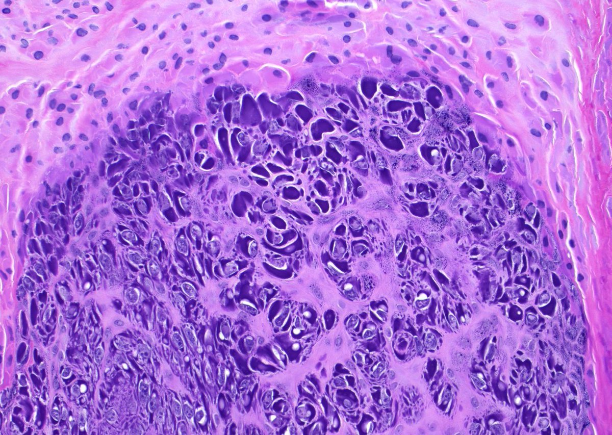
Jerad Gardner, MD (@jmgardnermd) 's Twitter Profile Photo

20 yo woman. Thumb lesion. A perfect example! Diagnosis? Answer ✅ youtu.be/G31xlSgYSlw?si… #pathology #pathologists #pathTwitter #dermpath #dermatology #dermatologia #dermtwitter

20 yo woman. Thumb lesion. A perfect example! Diagnosis? 
Answer ✅  youtu.be/G31xlSgYSlw?si… 
 #pathology #pathologists #pathTwitter #dermpath #dermatology #dermatologia #dermtwitter