Arantza Onaindia, MD, PhD (@arantzaonaindia) 's Twitter Profile
Arantza Onaindia, MD, PhD

@arantzaonaindia

Hospital Universitario Araba (Vitoria-Gasteiz) #Hemepath #Dermpath

ID: 871404137895739394

calendar_today04-06-2017 16:31:51

56 Tweet

148 Followers

155 Following

Syed Z. Ali (@sza_jhcyto) 's Twitter Profile Photo

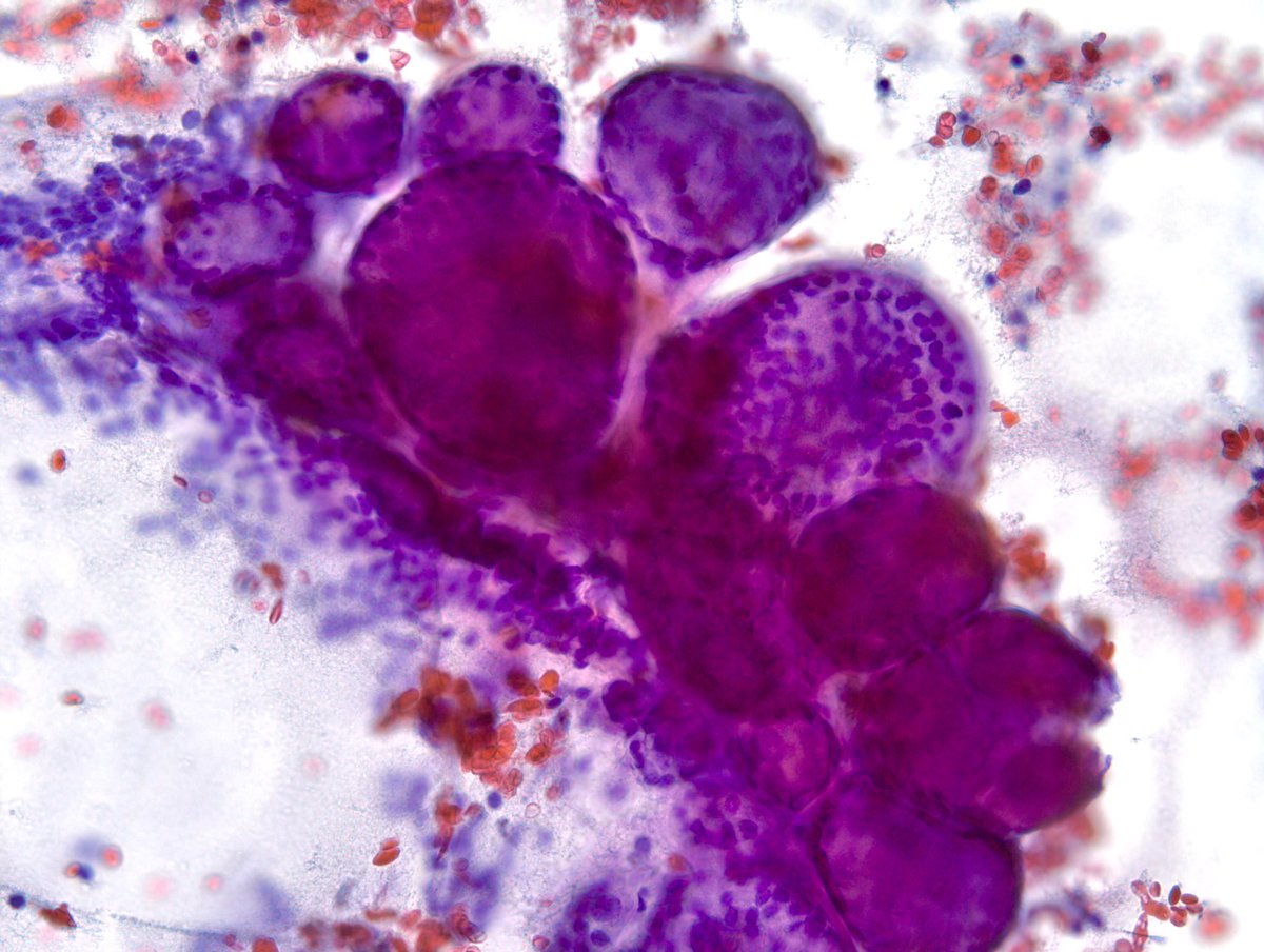
IMPORTANT Teaching Point - It’s NOT uncommon to have focal microfollicular (MF) proliferation (image#1) with rare colloid in “Benign” Thyroid FNAs. This “Adenomatoid Nodule” on another pass clearly shows macrofollicles. I look for at least 50% MFs for FN/SFN diagnosis.

IMPORTANT Teaching Point - It’s NOT uncommon to have focal microfollicular (MF) proliferation (image#1) with rare colloid in “Benign” Thyroid FNAs. This “Adenomatoid Nodule” on another pass clearly shows macrofollicles. I look for at least 50% MFs for FN/SFN diagnosis.
SEAP-IAP (@seap_iap) 's Twitter Profile Photo

Hola a tod@s! Viernes 4 de diciembre en Pathologists Online el Dr. Fernando Pinedo, Jefe AP en Fundación Alcorcón presenta Erupciones cutáneas medicamentosas. Para verlo suscribíos en pathologists-online8.webnode.es o mándanos un email a [email protected]

Hola a tod@s! Viernes 4 de diciembre en Pathologists Online el Dr. Fernando Pinedo, Jefe AP en Fundación Alcorcón presenta Erupciones cutáneas medicamentosas.
Para verlo suscribíos en pathologists-online8.webnode.es o mándanos un
email a pathologistsonline@gmail.com
Siba El Hussein, MD (@sibaelhussein) 's Twitter Profile Photo

Reactive plasmacytoid dendritic cells (PDCs) vs Blastic Plasmacytoid Dendritic Cell Neoplasm (BPDCN) by flow cytometry analysis➡️ Reactive PDCs: brightly positive for CD38 and CD123, positive for CD303 and HLA-DR,with subset CD2 positivity, and CD7 negativity. #hemepath

Reactive plasmacytoid dendritic cells (PDCs) vs Blastic Plasmacytoid Dendritic Cell Neoplasm (BPDCN) by flow cytometry analysis➡️

Reactive PDCs: brightly positive for CD38 and CD123, positive for CD303 and HLA-DR,with subset CD2 positivity, and CD7 negativity.

#hemepath
Jerad Gardner, MD (@jmgardnermd) 's Twitter Profile Photo

Confused by myxoid tumors? Then check out this myxoid review article by me & Nicole D. Riddle, MD, MSHI, FCAP (she/her). Download free here: buff.ly/2Gi1iSR. See also my myxoid video playlist: youtube.com/watch?v=Nn44HW… #pathology #dermpath #BSTpath

Confused by myxoid tumors? Then check out this myxoid review article by me &amp; <a href="/NRiddleMD/">Nicole D. Riddle, MD, MSHI, FCAP (she/her)</a>. Download free here: buff.ly/2Gi1iSR. See also my myxoid video playlist: youtube.com/watch?v=Nn44HW… #pathology #dermpath #BSTpath
No longer active - Katrina Collins (@sueepig) 's Twitter Profile Photo

We are excited to announce our latest #research!! Is #GATA3 helpful in the diffdx of transformed mycosis fungoides and primary cutaneous CD30-positive T cell LPD? Published in Virchows Archiv (Springer Nature) Congrats to all 🥳🎊 Read the full text here: rdcu.be/cftYt

We are excited to announce our latest #research!! Is #GATA3 helpful in the diffdx of transformed mycosis fungoides and primary cutaneous CD30-positive T cell LPD? Published  in Virchows Archiv (<a href="/SpringerNature/">Springer Nature</a>) Congrats to all 🥳🎊
Read the full text here: rdcu.be/cftYt
Hemepath Journal Club (@hemepathjc) 's Twitter Profile Photo

Hey #hemepath and #erythroid enthusiasts, join us this coming Thursday (Feb 25th) at 8:30pm ET for discussion on role of p53 in erythroid proliferations, moderated by Aadil Ahmed عادل احمد (He/Him). Full text link link.springer.com/article/10.100…. Also check out our new branding :)

Hey #hemepath and #erythroid enthusiasts, join us this coming Thursday (Feb 25th) at 8:30pm ET for discussion on role of p53 in erythroid proliferations, moderated by <a href="/AadilAhmedMD/">Aadil Ahmed عادل احمد (He/Him)</a>. Full text link link.springer.com/article/10.100…. Also check out our new branding :)
SEAP-IAP (@seap_iap) 's Twitter Profile Photo

Esta semana nos agrada comunicar la incorporación a nuestro equipo de Mónica de la Oliva como nueva Directora Ejecutiva de la Fundación SEAP. Licenciada en Derecho por la U.A.M, es especialista en gestión, asesoramiento y dirección de proyectos y organizaciones. Bienvenida.

Esta semana nos agrada comunicar la incorporación a nuestro equipo de Mónica de la Oliva como nueva Directora Ejecutiva de la Fundación SEAP. Licenciada en Derecho por la U.A.M, es especialista en gestión, asesoramiento y dirección de proyectos y organizaciones. Bienvenida.
Lisa Rooper (@lisaroopermd) 's Twitter Profile Photo

Intraosseous rhabdomyosarcoma with EWSR1/FUS-TFCP2 fusions: frequently arise in craniofacial bones, plump spindled and epithelioid cells with eosinophilic cytoplasm and monotonous oval nuclei, desmin+/myogenin+/CK+/ALK+. PMID: 33382123 #ENTPath #BSTPath #IHCPath

Intraosseous rhabdomyosarcoma with EWSR1/FUS-TFCP2 fusions: frequently arise in craniofacial bones, plump spindled and epithelioid cells with eosinophilic cytoplasm and monotonous oval nuclei, desmin+/myogenin+/CK+/ALK+. PMID: 33382123 #ENTPath #BSTPath #IHCPath
SEAP-IAP (@seap_iap) 's Twitter Profile Photo

Para celebrar los 4000 seguidores, sorteamos gracias a Motic Europe Pathology Division una cámara Moticam X3 Plus, adaptable al ocular del microscopio, entre los socios que sigáis SEAP-IAP, Rev Esp Patol, Motic Europe Pathology Division y realicéis RT a este post hasta el (19/3 inc). Bases: seap.es/actualidad/-/a…

Para celebrar los 4000 seguidores, sorteamos gracias a <a href="/MoticPathEU/">Motic Europe Pathology Division</a> una cámara Moticam X3 Plus, adaptable al ocular del microscopio, entre los socios que sigáis <a href="/SEAP_IAP/">SEAP-IAP</a>, <a href="/REP_Patologia/">Rev Esp Patol</a>, <a href="/MoticPathEU/">Motic Europe Pathology Division</a> y realicéis RT a este post hasta el (19/3 inc). Bases: seap.es/actualidad/-/a…
@Hemepathguy (@hemepathguy) 's Twitter Profile Photo

Type AB thymoma - classic board question. Upper right - CD20. Lower right PAX5. Remember thymoma epithelial cells can stain for CD20

Type AB thymoma - classic board question. Upper right - CD20. Lower right PAX5. Remember thymoma epithelial cells can stain for CD20
Sanam Loghavi, MD صنم لغوی 🔬🧬 (@sanamloghavi) 's Twitter Profile Photo

First #LJMFridayUnkowns of the new academic year bringing U a mantle cell lymphoma in spleen. Stains: CD5 & cyclin D1. This case was TP53-mut remember not all “leukemic, non-nodal” mantle cell lymphomas R indolent (despite what the name implies). Genetics 🧬 matter.. #hemepath

First #LJMFridayUnkowns of the new academic year bringing U a mantle cell lymphoma in spleen. Stains: CD5 &amp; cyclin D1.  This case was TP53-mut remember not all “leukemic, non-nodal” mantle cell lymphomas R indolent (despite what the name implies). Genetics 🧬 matter.. #hemepath
Genevieve Crane, MD, PhD (@evemariecrane) 's Twitter Profile Photo

Ever wonder what EBV is up to besides EBER? Please check out our review lead by Emad Ababneh on EBV's effect on host cell metabolism, microenvironment and tumor mutational burden! Also highlighting advances from Johns Hopkins Pathology, Ethel Cesarman & Ben Gewurz lab! onlinelibrary.wiley.com/doi/10.1111/hi…

Ever wonder what EBV is up to besides EBER? Please check out our review lead by <a href="/AbabnehEmad/">Emad Ababneh</a> on EBV's effect on host cell metabolism, microenvironment and tumor mutational burden! Also highlighting advances from <a href="/JHUPath/">Johns Hopkins Pathology</a>,  <a href="/ecesarman/">Ethel Cesarman</a> &amp; <a href="/BenGewurz/">Ben Gewurz</a> lab! onlinelibrary.wiley.com/doi/10.1111/hi…
SEAP-IAP (@seap_iap) 's Twitter Profile Photo

La iniciativa El Viaje de la Muestra pretende mostrar, el proceso que discurre desde que se extrae una muestra del paciente hasta que el patólogo emite el informe que va resultar de tanta utilidad para determinar el tratamiento más adecuado. seap.es/actualidad/-/a… Cáncer Mama:

La iniciativa El Viaje de la Muestra pretende mostrar, el proceso que discurre desde que se extrae una muestra del paciente hasta que el patólogo emite el informe que va resultar de tanta utilidad para determinar el tratamiento más adecuado.
seap.es/actualidad/-/a…
Cáncer Mama:
Eduardo Alcaraz, MD PhD (@edusqo) 's Twitter Profile Photo

Sumérgete en una sala de punciones, cómo obtenemos una muestra y alcanzamos un diagnóstico. Taller de Punción Aspiración con Aguja Fina #PAAF en #360° - #RealidadVirtual. ➡️youtu.be/wAQwnq0KNWk #MedEd #SBME #SimInPath #AnatomíaPatológica #VR #VRCytoPath #SegPac #Simulación

Sumérgete en una sala de punciones, cómo obtenemos una muestra y alcanzamos un diagnóstico. Taller de Punción Aspiración con Aguja Fina #PAAF en #360° - #RealidadVirtual.
➡️youtu.be/wAQwnq0KNWk
#MedEd #SBME #SimInPath #AnatomíaPatológica #VR #VRCytoPath #SegPac #Simulación
Sciforum (@sciforum) 's Twitter Profile Photo

⏰Last 48h to register to our 1st Hemato MDPI #webinar and discover the latest progress in "Lymphomas and #Hematological #Neoplasia". 👨🏻‍🎓Chair: Prof. Dr. Antonino Carbone 📅When? #January12 2022, 3:00pm CET 🔗Register by visiting hemato-1.sciforum.net #Lymphoma #Hematology

⏰Last 48h to register to our 1st <a href="/Hemato_MDPI/">Hemato MDPI</a> #webinar and discover the latest progress in "Lymphomas and #Hematological #Neoplasia". 

👨🏻‍🎓Chair: Prof. Dr. Antonino Carbone
📅When? #January12 2022, 3:00pm CET
🔗Register by visiting hemato-1.sciforum.net
#Lymphoma #Hematology
SEAP-IAP (@seap_iap) 's Twitter Profile Photo

La nueva edición del Libro Blanco incluye temas asistenciales y de calidad, patologías poco frecuentes y complejas y asuntos transversales. Incluye además capítulos sobre investigación, docencia y los resultados de la Encuesta asistencial 2022. seap.es/libros-blancos

La nueva edición del Libro Blanco incluye temas asistenciales y de calidad, patologías poco frecuentes y complejas y asuntos transversales. Incluye además capítulos sobre investigación, docencia y los resultados de la Encuesta asistencial 2022.
seap.es/libros-blancos
Siba El Hussein, MD (@sibaelhussein) 's Twitter Profile Photo

🩸Continuing with the theme of ALCL-mimickers, extranodal NK/T-cell with anaplastic morphology is an underrecognized variant that seems to be highly aggressive & potentially misdiagnosed 🩸Below is a photo of a case of extranodal NK/T-cell lymphoma with a striking anaplastic

🩸Continuing with the theme of ALCL-mimickers, extranodal NK/T-cell with anaplastic morphology is an underrecognized variant that seems to be highly aggressive &amp; potentially misdiagnosed

🩸Below is a photo of a case of extranodal NK/T-cell lymphoma with a striking anaplastic