Charles Leduc, MD (@thoracicpath) 's Twitter Profile
Charles Leduc, MD

@thoracicpath

Thoracic pathologist, University of Montreal Health Center

ID: 1181189361079074816

calendar_today07-10-2019 12:47:52

319 Tweet

839 Takipçi

246 Takip Edilen

Celina Stayerman MD (@ariella8) 's Twitter Profile Photo

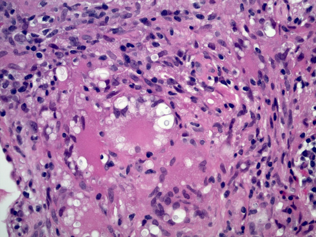
#Pulmpath #Thoracicpath #Pathbugs Excited to share unusual case ,Male 60s ,3.8 cm lung mass ,Bx sent as suspected malignancy ,look at the first set ,try to make the Dx ,then go to second set

#Pulmpath #Thoracicpath #Pathbugs 
Excited to share unusual case ,Male 60s ,3.8 cm lung mass ,Bx sent as suspected malignancy ,look at the first set ,try to make the Dx ,then go to second set
Sanjay Mukhopadhyay (@smlungpathguy) 's Twitter Profile Photo

This material was removed from a bronchus. Can you answer this in one word? This finding is nearly always seen in patients with ....? #pathology #pulmpath

This material was removed from a bronchus. Can you answer this in one word? This finding is nearly always seen in patients with ....? 

#pathology #pulmpath
Irene Sansano, MD Phd (@sansanovalero) 's Twitter Profile Photo

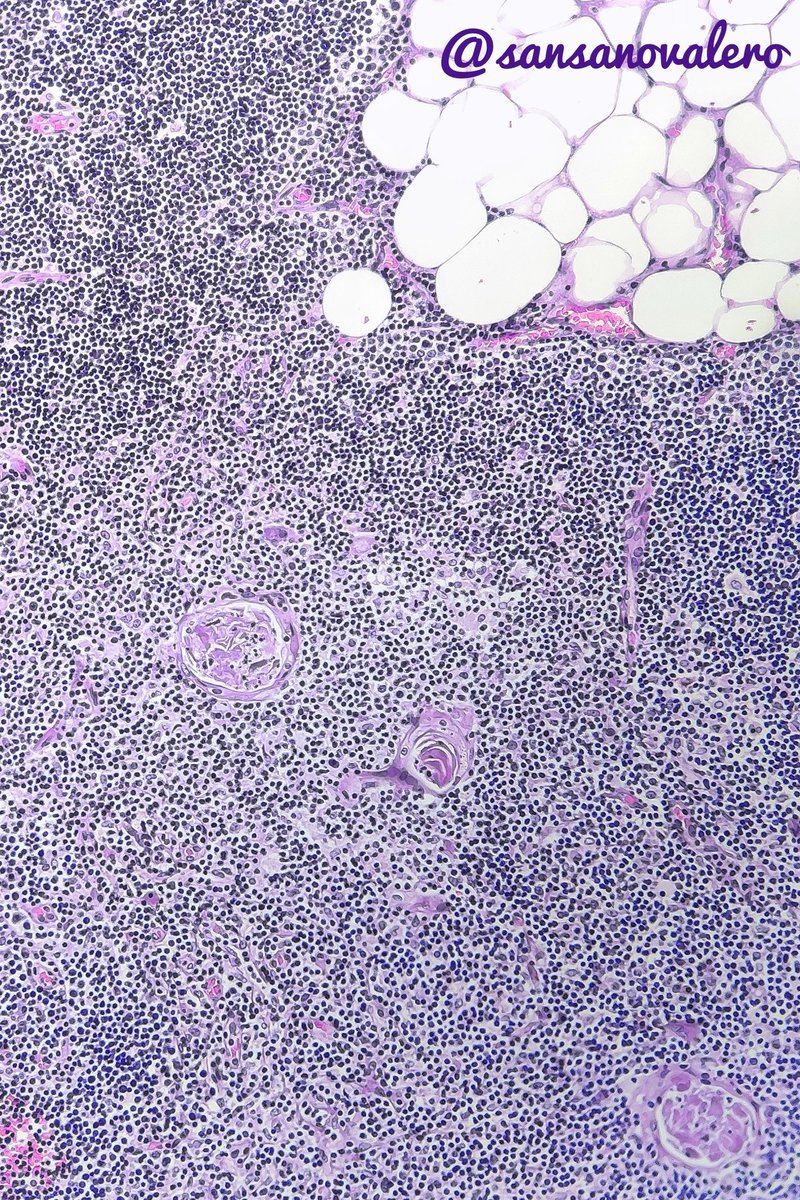
True Thymic Hyperplasia in a 30 yo. Enlargement of normal thymus. Thymic cortices & medullae are well defined. Interstitial connective tissue is delicate with fat cells #pulmpath

True Thymic Hyperplasia in a 30 yo. Enlargement of normal thymus. Thymic cortices & medullae are well defined. Interstitial connective tissue is delicate with fat cells #pulmpath
Irene Sansano, MD Phd (@sansanovalero) 's Twitter Profile Photo

Usual Interstitial Pneumonia shows peripheral, lower predominant fibrosis in the #grosspath by Ángel Romo Microscopically you can appreciate patchy fibrosis, fibroblastic foci & honeycomb #pulmpath #explantsRawesome #transplantpath #ILD

Usual Interstitial Pneumonia shows peripheral, lower predominant fibrosis in the #grosspath by <a href="/_Romo_Navarro/">Ángel Romo</a>  Microscopically you can appreciate patchy fibrosis, fibroblastic foci &amp; honeycomb #pulmpath #explantsRawesome #transplantpath #ILD
Van-Hung Nguyen MD 🇺🇦🌻 (@vhnguyenmd) 's Twitter Profile Photo

For #PathResident Lung section 20WGA - premature labor, APGAR 1-1-1, no resuscitation: - Lung development stage? - Is it perinatal pneumonia? - What are placental findings? #PediPath @grenierkarlMD

For #PathResident 
Lung section 20WGA - premature labor, APGAR 1-1-1, no resuscitation: 
- Lung development stage?
- Is it perinatal pneumonia?
- What are placental findings? #PediPath @grenierkarlMD
Van-Hung Nguyen MD 🇺🇦🌻 (@vhnguyenmd) 's Twitter Profile Photo

- Lung development stage? Canalicular Lung (16-25 WGA) - Is it perinatal pneumonia? Aspirated amniotic exudate - What are placental findings? Acute Necrotizing Chorioamnionitis with Funisitis #placenta #perinatal (😬 I forgot @basophil_brett) 🥇Leon Metlay 🥈@grenierkarlMD

Miguel Reyes-Múgica (@mreyesm) 's Twitter Profile Photo

We have lost a giant of #Pathology and #LungPath #PulmonaryPath. Dr. Sam Yousem, an admired colleague and friend died yesterday. He will be missed and remembered.

We have lost a giant of #Pathology and #LungPath #PulmonaryPath.  Dr. Sam Yousem, an admired colleague and friend died yesterday.  He will be missed and remembered.
Charles Leduc, MD (@thoracicpath) 's Twitter Profile Photo

Bag of worms. Hydrophilic polymer embolisation with secondary thrombosis. This is a thrombectomy specimen from the right femoral artery in a patient undergoing peripheral vascular surgery. The guidewires are coated in this material that can occasionally embolize. Yikes!

Bag of worms. Hydrophilic polymer embolisation with secondary thrombosis. This is a thrombectomy specimen from the right femoral artery in a patient undergoing peripheral vascular surgery. The guidewires are coated in this material that can occasionally embolize. Yikes!
Yale Rosen (@yro854) 's Twitter Profile Photo

Do you recognize these seed-derived storage cells (images courtesy of linda johnston)? See the latest publication on these cells and the lesions they produce co-authored by me, Pascual Meseguer. and Pooja Navale MD at rdcu.be/cz4ZC. A Twitter inspired collaboration.

Do you recognize these seed-derived storage cells (images courtesy of <a href="/oreoimc/">linda johnston</a>)? See the latest publication on these cells and the lesions they produce co-authored by me, <a href="/Histopatolomon/">Pascual Meseguer</a>. and <a href="/navale_pooja/">Pooja Navale MD</a> at rdcu.be/cz4ZC. A Twitter  inspired collaboration.
Charles Leduc, MD (@thoracicpath) 's Twitter Profile Photo

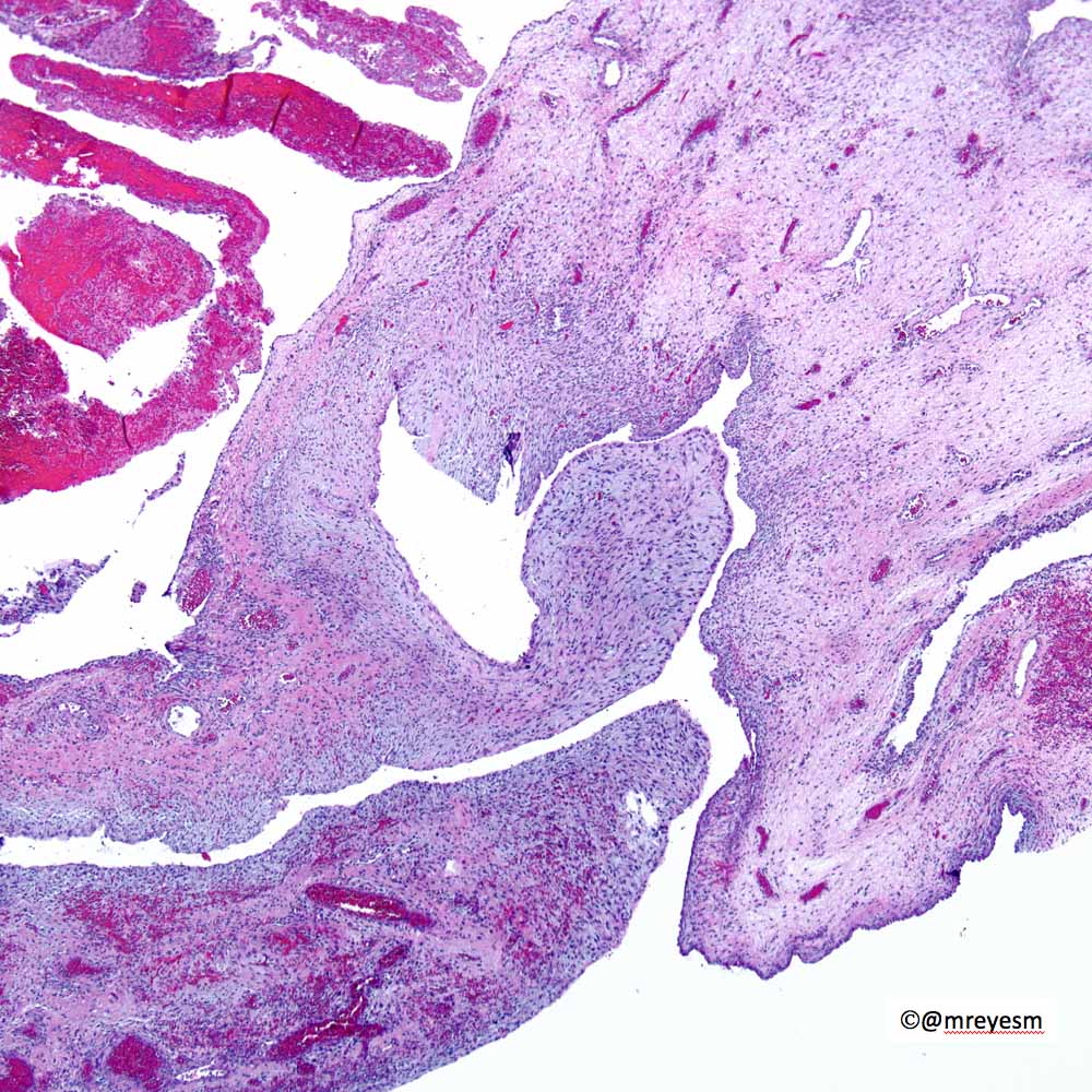
Hi all! So we all know about constrictive bronchiolitis, but can it happen in large airways? Below is post-SBRT obliterative bronchitis of LLL with secondary necrotizing granulomatous consolidation - awaiting stains but betting on NTM. A sort of (non) middle lobe syndrome!

Hi all! So we all know about constrictive bronchiolitis, but can it happen in large airways? Below is post-SBRT obliterative bronchitis of LLL with secondary necrotizing granulomatous consolidation - awaiting stains but betting on NTM. A sort of (non) middle lobe syndrome!
Angel Panizo MD, PhD 🇪🇸 🔬 (@angelpanizo1) 's Twitter Profile Photo

Celina Stayerman MD Carlos Miguel Ruiz Runjan Chetty Laura G. Pastrián MD Monika Vyas Tim Bracey Jamie Sington GI James Vikram Deshpande @CArnold_GI Mark Ong Vidya Monappa The history of Congo red‐stained amyloid is an example of how an erroneous belief can become widely established even when it is contradicted by simple experience: "Congo red‐stained amyloid just shows “apple‐green birefringence" (PMID: 31515863) ncbi.nlm.nih.gov/pmc/articles/P…

<a href="/ariella8/">Celina Stayerman MD</a> <a href="/nucleololailo/">Carlos Miguel Ruiz</a> <a href="/RunjanChetty/">Runjan Chetty</a> <a href="/DraEosina/">Laura G. Pastrián MD</a> <a href="/Mvgs1706/">Monika Vyas</a> <a href="/drtimbracey/">Tim Bracey</a> <a href="/SingJamieD/">Jamie Sington</a> <a href="/GIJamesMD/">GI James</a> <a href="/Vik_deshpandeMD/">Vikram Deshpande</a> @CArnold_GI <a href="/DrMarkOng/">Mark Ong</a> <a href="/vi_monappa/">Vidya Monappa</a> The history of Congo red‐stained amyloid is an example of how an erroneous belief can become widely established even when it is contradicted
by simple experience: "Congo red‐stained amyloid just shows “apple‐green birefringence" (PMID: 31515863)
ncbi.nlm.nih.gov/pmc/articles/P…