Carlos Monteagudo (@carlosmonteag20) 's Twitter Profile
Carlos Monteagudo

@carlosmonteag20

Pathologist, Dermatopathology, Hospital Clínico Universitario
Professor of Pathology, University of Valencia

ID: 1454899178283352069

calendar_today31-10-2021 19:54:45

572 Tweet

718 Takipçi

301 Takip Edilen

Van-Hung Nguyen MD 🇺🇦🌻 (@vhnguyenmd) 's Twitter Profile Photo

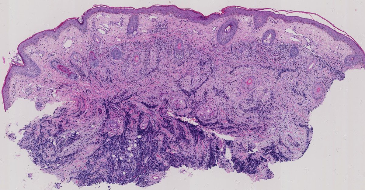
Unaware, you made a simple Dx that pinned down the patient syndrome… 💁‍♂️💅🏻🦄 Who am I? What syndrome am I pointing to? #DermPath #PediPath #PathResidents Not #TooCloseToDiagnose

Unaware, you made a simple Dx that pinned down the patient syndrome… 💁‍♂️💅🏻🦄

Who am I? What syndrome am I pointing to?

#DermPath #PediPath #PathResidents 

Not #TooCloseToDiagnose
Jerad Gardner, MD (@jmgardnermd) 's Twitter Profile Photo

70 F red leg plaque. Clinical ddx: psoriasis, eczema, cancer. Your diagnosis? More pics: kikoxp.com/posts/6684. How do you know it's NOT melanoma without immunostains? Answers: kikoxp.com/posts/6683. #pathology #pathologists #pathTwitter #dermpath #dermatology #dermtwitter

70 F red leg plaque. Clinical ddx: psoriasis, eczema, cancer. Your diagnosis? More pics: kikoxp.com/posts/6684. How do you know it's NOT melanoma without immunostains? Answers: kikoxp.com/posts/6683. #pathology #pathologists #pathTwitter #dermpath #dermatology #dermtwitter
CLARIFY Project (@clarify_project) 's Twitter Profile Photo

First session of today at the #CLARIFY Training School: Workshop on Project Management and Research Communication. #projectmanagement #researchcommunication

First session of today at the #CLARIFY Training School:

Workshop on Project Management and Research Communication. 

#projectmanagement #researchcommunication
CLARIFY Project (@clarify_project) 's Twitter Profile Photo

To end the first day of #CLARIFY training school, we have the first technical lecture: “Bayesian Modelling and Inference. Applications to image Recovery, Classification and Uncertainty Estimation” 🎙️Speaker: Rafael Molina – Universidad de Granada Universidad Granada

To end the first day of #CLARIFY training school, we have the first technical lecture:

“Bayesian Modelling and Inference. Applications to image Recovery, Classification and Uncertainty Estimation”

🎙️Speaker: Rafael Molina – Universidad de Granada <a href="/CanalUGR/">Universidad Granada</a>
CLARIFY Project (@clarify_project) 's Twitter Profile Photo

“Computational pathology - fundamentals and adventures in labelling” 🎙️Speaker: Lee Cooper - Northwestern University Northwestern #computationalpathology #labeling

“Computational pathology - fundamentals and adventures in labelling” 

🎙️Speaker: Lee Cooper - Northwestern University <a href="/NorthwesternU/">Northwestern</a> 

#computationalpathology #labeling
CLARIFY Project (@clarify_project) 's Twitter Profile Photo

Second #CLARIFY training school Impressions: The training school has ended after three days of interesting seminars, fruitful discussions and vivid exchange between researchers. Here are some impressions of the last few days.

Second #CLARIFY training school Impressions: The training school has ended after three days of interesting seminars, fruitful discussions and vivid exchange between researchers.

Here are some impressions of the last few days.
Jerad Gardner, MD (@jmgardnermd) 's Twitter Profile Photo

This case taught me 2 VERY IMPORTANT lessons! 80 yo M nose. Negative: SOX-10, s100, keratins, p63, desmin, CD34. Your diagnosis? Want more stains? WSI & answer: kikoxp.com/posts/6168. #pathology #pathologists #pathTwitter #dermpath #dermatology #dermtwitter #BSTpath

This case taught me 2 VERY IMPORTANT lessons! 80 yo M nose.
Negative: SOX-10, s100, keratins, p63, desmin, CD34. Your diagnosis? Want more stains? WSI &amp; answer: kikoxp.com/posts/6168. #pathology #pathologists #pathTwitter #dermpath #dermatology #dermtwitter #BSTpath
Eduardo Alcaraz, MD PhD (@edusqo) 's Twitter Profile Photo

Show what we do. Teach what we do. Simulate what we do. Express the passion for what we do. The invisible doctor? No way! #Pathology #MedEd #SBME #AnatomíaPatológica #IFMSAWorkshops2022

Show what we do. 
Teach what we do.
Simulate what we do.
Express the passion for what we do.
The invisible doctor? No way!
#Pathology #MedEd #SBME #AnatomíaPatológica 
#IFMSAWorkshops2022
CLARIFY Project (@clarify_project) 's Twitter Profile Photo

#CLARIFY is proud to organise its Final Conference where we will highlight the main achievements of the project and facilitate discussion on the new era of digital pathology. Free registration and call for abstracts at: 🔗clarify-project.eu/final-conferen…

#CLARIFY is proud to organise its Final Conference where we will highlight the main achievements of the project and facilitate discussion on the new era of digital pathology. Free registration and call for abstracts at: 

🔗clarify-project.eu/final-conferen…
Eduardo Alcaraz, MD PhD (@edusqo) 's Twitter Profile Photo

😊 La historia del 1er modelo de Punción Aspiración con Aguja Fina en el último número del magazine de simulación médica simzine ➡️ simzine.news/es/tech-es/fio… #FioNA, El simulador nacido para ser pinchado #MedEd #PAAF #ECOE #SegPac #AnatomíaPatológica #Citología

😊 La historia del 1er modelo de Punción Aspiración con Aguja Fina en el último número del magazine de simulación médica <a href="/simzinenews/">simzine</a> ➡️ simzine.news/es/tech-es/fio…
#FioNA, El simulador nacido para ser pinchado
#MedEd #PAAF #ECOE #SegPac #AnatomíaPatológica #Citología