Ala Eddin Sagar (@alaeddinsagar) 's Twitter Profile
Ala Eddin Sagar

@alaeddinsagar

Interventional Pulmonologist King Faisal Specialist Hospital and Research Centre, Madinah, SA. Views and opinions are my own.

ID: 606349454

linkhttps://www.linkedin.com/in/ala-eddin-sagar-1634a771 calendar_today12-06-2012 14:16:08

685 Tweet

1,1K Followers

403 Following

Udit Chaddha (@udit_chaddha) 's Twitter Profile Photo

Epi 45 of the AABIP podcasts is a must-listen to. Hear the awesome Christian Rolfo, president of the International Society of Liquid Biopsy, talk about liquid biopsy in lung cancer soundcloud.com/aabip/episode-… I will post the link of the YouTube link when it’s up WABIP Mount Sinai Health System CHEST

Ala Eddin Sagar (@alaeddinsagar) 's Twitter Profile Photo

Not everyone is a candidate for #BLVR but for those who are a noticeable improvement in lung function can be achieved. The below is probably the best result I’ve seen so far after a staged bilateral BLVR. (Results obviously vary from one patient to another)

Not everyone is a candidate for #BLVR but for those who are a noticeable improvement in lung function can be achieved. The below is probably the best result I’ve seen so far after a staged bilateral BLVR. (Results obviously vary from one patient to another)
Sanjay Mukhopadhyay (@smlungpathguy) 's Twitter Profile Photo

Game changer: #SRIFSunday pubmed.ncbi.nlm.nih.gov/36495281/ Smoking-related interstitial fibrosis (SRIF) is a game changer. A paradigm shift. Why? Because its recognition allows pathologists... kikoxp.com/posts/19977

Game changer: #SRIFSunday pubmed.ncbi.nlm.nih.gov/36495281/ Smoking-related interstitial fibrosis (SRIF) is a game changer. A paradigm shift. Why? Because its recognition allows pathologists... kikoxp.com/posts/19977
Ala Eddin Sagar (@alaeddinsagar) 's Twitter Profile Photo

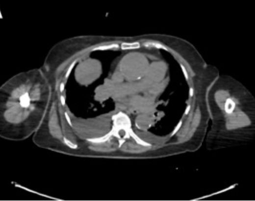
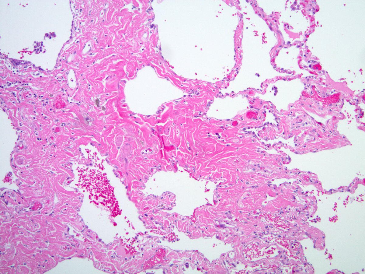
Not every “lung mass” should be biopsied. We shouldn’t see everything as a nail just because we have a hammer. An 80-Year-Old Woman With Dyspnea and a Lung Mass sciencedirect.com/science/articl…

Not every “lung mass” should be biopsied. We shouldn’t see everything as a nail just because we have a hammer. An 80-Year-Old Woman With Dyspnea and a Lung Mass  sciencedirect.com/science/articl…
WABIP (@wabipconnect) 's Twitter Profile Photo

Endobronchial Ultrasound Guide Sheath (EBUS-GS) biopsies are used for diagnosis of peripheral lung lesions in combination with radial ultrasound probes. This study considered whether the use of the guide sheath influenced the diagnostic yield of these... wabipacademy.com/literature/dia…

Ala Eddin Sagar (@alaeddinsagar) 's Twitter Profile Photo

Endobronchial Ultrasound Staging for Lung Cancer: What We Know Now and What We Need to Know link.springer.com/epdf/10.1007/s…

Ala Eddin Sagar (@alaeddinsagar) 's Twitter Profile Photo

A great opportunity to learn about pleural disease and procedures at the Lung Health Centre in King Faisal Specialist Hospital and Research Centre #KFSHRC #Pleura #MedEd

A great opportunity to learn about pleural disease and procedures at the Lung Health Centre in King Faisal Specialist Hospital and Research Centre
#KFSHRC #Pleura #MedEd
Rayid Abdulqawi رائد عبدالقوي (@drrayid) 's Twitter Profile Photo

Don't miss this unique workshop on pleural diseases, organized by the Lung Health Centre and taught by field experts Najib M Rahman, Ala Eddin Sagar, and Mohammed. ONLY 24 places motamarat.kfshrc.edu.sa/events/details…

Don't miss this unique workshop on pleural diseases, organized by the Lung Health Centre and taught by field experts <a href="/naj_rahman/">Najib M Rahman</a>, <a href="/AlaEddinSagar/">Ala Eddin Sagar</a>, and <a href="/m_malhajji/">Mohammed</a>.
ONLY 24 places
motamarat.kfshrc.edu.sa/events/details…
Ala Eddin Sagar (@alaeddinsagar) 's Twitter Profile Photo

Can REBUS be used to titrate PEEP during navigational bronchoscopy? The I-APPEAR study, in collaboration with UCSD, tries to assess the value of REBUS for assessing the resolution of atelectasis during bronchoscopy. journals.lww.com/bronchology/ab…

Sujith Cherian (@sujith_cherian) 's Twitter Profile Photo

CriticalCareKuwait Had the most amazing few days in Kuwait CriticalCareKuwait leading the IP workshop under the visionary and great leadership of Abdulrahman Al-Fares. Made several friends @ Fahad Alroumi and @ Sulaiman Khadadah. It was great to see and work with my close friend Ala Eddin Sagar UT Pulmonary Critical Care Sleep

<a href="/CriticalCareQ8/">CriticalCareKuwait</a> Had the most amazing few days in Kuwait <a href="/CriticalCareQ8/">CriticalCareKuwait</a> leading the IP workshop under the visionary and great leadership of <a href="/AAlFares79/">Abdulrahman Al-Fares</a>. Made several friends @ Fahad Alroumi and @ Sulaiman Khadadah. It was great to see and work with my close friend <a href="/AlaEddinSagar/">Ala Eddin Sagar</a> <a href="/McGovernPulmCC/">UT Pulmonary Critical Care Sleep</a>
Ala Eddin Sagar (@alaeddinsagar) 's Twitter Profile Photo

NEW SERIES for busy clinicians! Stay up to date with “This Week in Pulmonary & CCM” — your quick, evidence-based roundup of the latest trials, reviews, and bedside pearls on a weekly basis 🎙️ Subscribe & never miss an update! #MedTwitter #ICU #MedEd #PCCM youtu.be/tAhIQcs3hEk?si…

Ala Eddin Sagar (@alaeddinsagar) 's Twitter Profile Photo

New episode of “This Week in Pulmonary and Critical Care” ✅ Switching from Controlled to Assisted Ventilation ✅ PROMIZING: PAV+ vs. PSV ✅ High-Flow O2 for Bronch in COPD ✅ Biopsy of lung Nodules: Inside-Out vs. Outside-In ✅ Pleural Fluid Analysis youtube.com/watch?v=yKW5PY…

Ala Eddin Sagar (@alaeddinsagar) 's Twitter Profile Photo

This Week in Pulmonary & CCM. "NIPPV Beats HFNC? COPD Prevention, NSCLC Surgery, Pediatric Biologics. Subscribe for weekly updates on the latest research you need to know. 🎙️ Clinical pearls. Evidence-based insights. Made for the busy physician. youtu.be/15Aco88qFsk

Ala Eddin Sagar (@alaeddinsagar) 's Twitter Profile Photo

New Episode: This Week in Pulmonary & Critical Care Medicine 🎧 AI boosts ILD diagnosis PRISm predicts COPD—even in never-smokers Dexmedetomidine vs Propofol sedation trial Evidence-based emergency intubation Watch here 👉 youtu.be/mmIqQGHe33U #PulmCCM #MedTwitter #ICU