karani G (@wakagothok) 's Twitter Profile
karani G

@wakagothok

Surgical Anatomic Pathology &Forensic Medicine.Founder/MD;The Gray's Path Lab 🧪 & Biopsy Centre.

ID: 1791714669125619712

calendar_today18-05-2024 06:17:38

2,2K Tweet

98 Takipçi

100 Takip Edilen

Geoff Symon 🔎 (@geoffsymon) 's Twitter Profile Photo

Forensic Tip of the Day: Blood spatter cast off patterns are created when blood is thrown off of an object that is swung. The number of cast off patterns can tell investigators how many blows the victim received, adding one more for the first blow. #SymonSays #4n6TotD

Geoff Symon 🔎 (@geoffsymon) 's Twitter Profile Photo

Forensic Tip of the Day: When writing autopsy lingo, "antemortem" means before death, "perimortem" is around or at death, and "postmortem" means after death. An antemortem wound is an injury received before death. "Postmortem" can also mean the autopsy itself. #SymonSays #4n6TotD

NAME (@thename1966) 's Twitter Profile Photo

NAME is proud to celebrate all MDI professionals during National Medicolegal Death Investigation Professionals Week January 19 – 25, 2025.  NAME Members include medicolegal death investigators, coroners, MEs, pathologists, epidemiologists, & other public health professionals.

NAME is proud to celebrate all MDI professionals during National Medicolegal Death Investigation Professionals Week January 19 – 25, 2025.  NAME Members include medicolegal death investigators, coroners, MEs, pathologists, epidemiologists, & other public health professionals.
Elizabeth Montgomery, MD (@lizmontgomerymd) 's Twitter Profile Photo

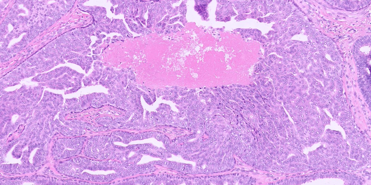
Metastatic renal cell carcinoma is really a sneaky thing. This example produced a duodenal submucosal lesion - at first glance it resembles Brunner glands. #UMiamiPath Modern Pathology Innovative Science Press

Metastatic renal cell carcinoma is really a sneaky thing.  This example produced a duodenal submucosal lesion - at first glance it resembles Brunner glands. #UMiamiPath <a href="/ModernPathology/">Modern Pathology</a> <a href="/science_press/">Innovative Science Press</a>
Raza Hoda MD (@razahoda) 's Twitter Profile Photo

Let’s review special morphologic patterns of invasive breast carcinoma (IBC) this week! Case of Medullary Pattern 🔬 Medullary IBC shows well-circumscribed high-grade carcinoma with syncytial growth and prominent tumor-associated lymphocytes. #PathX #PathTwitter #breastpath

Let’s review special morphologic patterns of invasive breast carcinoma (IBC) this week!

Case of Medullary Pattern 🔬

Medullary IBC shows well-circumscribed high-grade carcinoma with syncytial growth and prominent tumor-associated lymphocytes.

#PathX #PathTwitter #breastpath
Samson W. Fine, MD (@rovingatuscap) 's Twitter Profile Photo

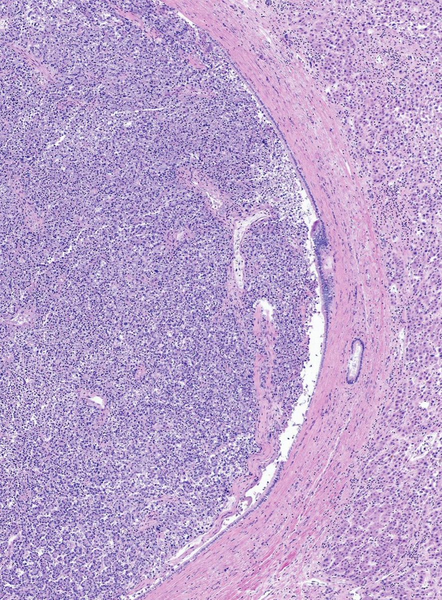
🚨SEMINOMA #gupath - sheets of cells separated by fibrous bands - cells in center furthest from vascular supply➡️dark cytoplasm + necrosis; mimic embryonal CA - discohesive cells➡️mimic EC/YST; still display seminoma cytology - keratin #IHC➡️para-nuclear labeling=still seminoma

🚨SEMINOMA #gupath 
- sheets of cells separated by fibrous bands
- cells in center furthest from vascular supply➡️dark cytoplasm + necrosis; mimic embryonal CA
- discohesive cells➡️mimic EC/YST; still display seminoma cytology
- keratin #IHC➡️para-nuclear labeling=still seminoma
Charles Herndon (@drcyclopath) 's Twitter Profile Photo

❌Rheumatoid Nodule The "Pink" mimic. Found near joints in RA patients. Deep palisaded granulomas with an acellular core of bright eosinophilic fibrin. WSI: virtualpathology.leeds.ac.uk/slides/library…

❌Rheumatoid Nodule
The "Pink" mimic.
Found near joints in RA patients.
Deep palisaded granulomas with an acellular core of bright eosinophilic fibrin.
WSI: virtualpathology.leeds.ac.uk/slides/library…
Janira Navarro (@janiranavarro) 's Twitter Profile Photo

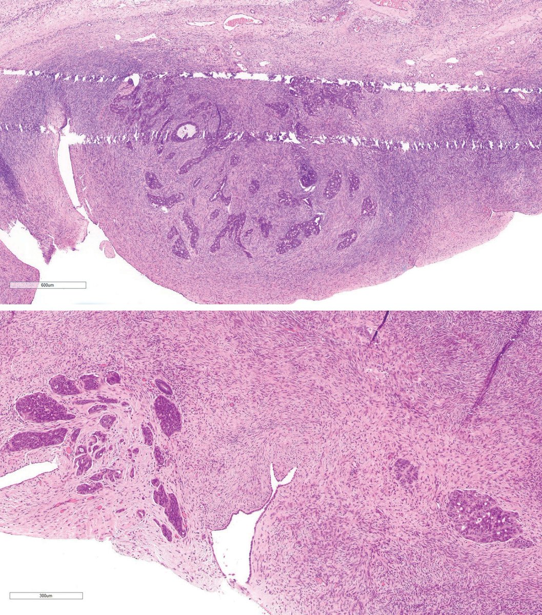
Patients with squamous cell carcinoma and margin evaluation in retromolar trigone -frozen sections pitfall ⚠️ Juxtaoral organ of Chievitz: - Benign epithelial cords in nerve rich stroma - Lobulated - Well circumbscribed nest, cytologically bland Dr. Nishino- 2025 Diagnostic

Patients with squamous cell carcinoma and margin evaluation in retromolar trigone -frozen sections pitfall ⚠️

Juxtaoral organ of Chievitz:
- Benign epithelial cords in nerve rich stroma
- Lobulated
- Well circumbscribed nest, cytologically bland

Dr. Nishino- 2025 Diagnostic
Elvio Silva, MD (@elviosilvamd) 's Twitter Profile Photo

Ovarian Cancer- Another Developmental PathwayThere are several pathways for ovarian cancer to develop, and they are different according to the type of epithelial tumor. However, there is one pathway that is common to all five different tumor types, that is, when the tumor

Ovarian Cancer- Another Developmental PathwayThere are several pathways for ovarian cancer to develop, and they are different according to the type of epithelial tumor. However, there is one pathway that is common to all five different tumor types, that is, when the tumor
Charles Herndon (@drcyclopath) 's Twitter Profile Photo

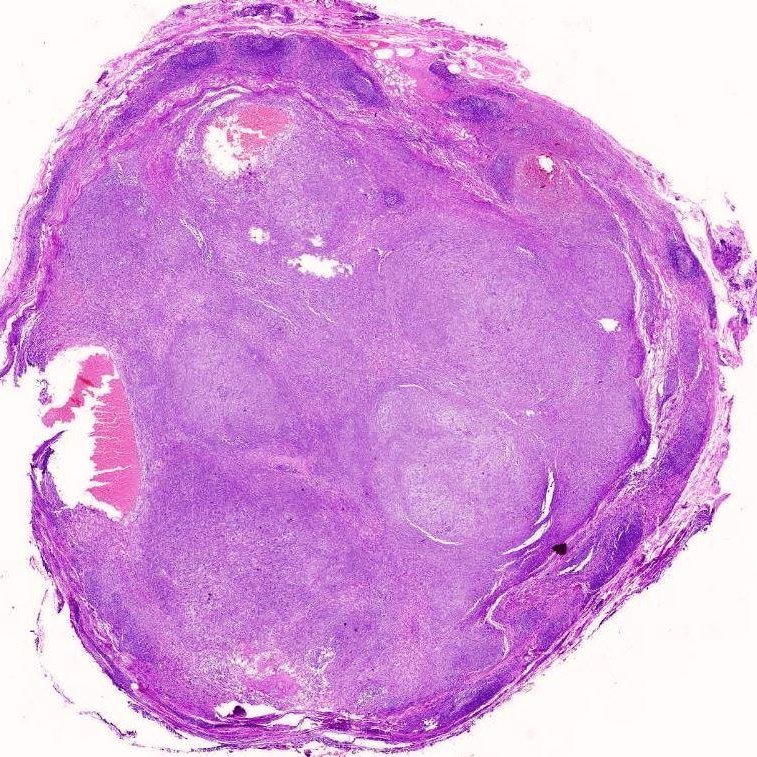
#PathQuiz 🔬 A) Alveolar Rhabdomyosarcoma B) Proximal Epithelioid Sarcoma C) Clear cell sarcoma D) Extrarenal Rhabdoid Tumor #Pathology #SoftTissuePath #PediPath👶 Clue in caption 🧐

#PathQuiz 🔬

A) Alveolar Rhabdomyosarcoma
B) Proximal Epithelioid Sarcoma
C) Clear cell sarcoma
D) Extrarenal Rhabdoid Tumor

#Pathology #SoftTissuePath 
#PediPath👶 Clue in caption 🧐
Charles Herndon (@drcyclopath) 's Twitter Profile Photo

#PathQuiz 🔬 A 16-year-old female presents with a slow-growing, painless mass in the antecubital fossa. A) Pleomorphic hyalinizing angiectatic tumor B) Hemosiderotic fibrolipomatous tumor C) Deep (aggressive) angiomyxoma D) Angiomatoid fibrous histiocytoma #Pathology

#PathQuiz 🔬
A 16-year-old female presents with a slow-growing, painless mass in the antecubital fossa.

A) Pleomorphic hyalinizing angiectatic tumor
B) Hemosiderotic fibrolipomatous tumor
C) Deep (aggressive) angiomyxoma
D) Angiomatoid fibrous histiocytoma

#Pathology
Jerad Gardner, MD (@jmgardnermd) 's Twitter Profile Photo

Foot amputation from adult man. What is your gross pathology diagnosis? Answer ✅ youtu.be/D-pIRuC5Mf4?si… WSI digital slides: kikoxp.com/posts/12958 More #grosspath images: kikoxp.com/posts/13019 #BSTpath #pathologists #pathology #pathTwitter #grosspath

Foot amputation from adult man. What is your gross pathology diagnosis? 
Answer ✅ youtu.be/D-pIRuC5Mf4?si… 
WSI digital slides: kikoxp.com/posts/12958   
More #grosspath images: kikoxp.com/posts/13019 
#BSTpath #pathologists #pathology #pathTwitter #grosspath