Infant Speech and Language Lab (@usc_babylab) 's Twitter Profile
Infant Speech and Language Lab

@usc_babylab

We study how infants learn their first speech sounds and grow their vocabulary. @USC

ID: 1565377367312175105

calendar_today01-09-2022 16:34:42

15 Tweet

32 Takipçi

142 Takip Edilen

Infant Speech and Language Lab (@usc_babylab) 's Twitter Profile Photo

New research published by The Music Lab reveals that parents all over the world participate in baby talk with their infants. Check out this article to learn more and hear clips of parents across cultures speaking to their infants: npr.org/sections/goats…

Infant Speech and Language Lab (@usc_babylab) 's Twitter Profile Photo

How do babies learn the words that label everyday objects? The Home View Project Indiana University studied the home environments of infants to better understand how memories associated with objects build up over time. Learn more on our blog: dornsife.usc.edu/labs/baby-lab/…

Infant Speech and Language Lab (@usc_babylab) 's Twitter Profile Photo

An international study led by Universitetet i Oslo found children grew their vocabularies more during COVID-19 lockdown than children prior to the pandemic. Greater learning was associated with more reading time with parents and less screen time. Find out more: dornsife.usc.edu/labs/baby-lab/…

An international study led by <a href="/UniOslo/">Universitetet i Oslo</a> found children grew their vocabularies more during COVID-19 lockdown than children prior to the pandemic. Greater learning was associated with more reading time with parents and less screen time. Find out more: dornsife.usc.edu/labs/baby-lab/…
USC Otolaryngology (@uscohns) 's Twitter Profile Photo

👶Infant Speech and Language Lab is studying parent-child social interactions that shape speech and language through a new NIDCD-funded study recruiting infants with typical hearing and hearing loss. A collab between Eisenberg Lab, BABY Lab Cornell University & Caruso Family Ctr for Childhood Communication

👶<a href="/USC_BABYLab/">Infant Speech and Language Lab</a> is studying parent-child social interactions that shape speech and language through a new NIDCD-funded study recruiting infants with typical hearing and hearing loss. A collab between Eisenberg Lab, BABY Lab <a href="/Cornell/">Cornell University</a> &amp; Caruso Family Ctr for Childhood Communication
Infant Speech and Language Lab (@usc_babylab) 's Twitter Profile Photo

This week on our blog, learn more about recent study findings from The University of Edinburgh that reveal infants can recognize phrases before they are able to speak words. dornsife.usc.edu/labs/baby-lab/…

This week on our blog, learn more about recent study findings from <a href="/EdinburghUni/">The University of Edinburgh</a> that reveal infants can recognize phrases before they are able to speak words. dornsife.usc.edu/labs/baby-lab/…
Infant Speech and Language Lab (@usc_babylab) 's Twitter Profile Photo

We are still learning about the effects of the COVID-19 pandemic on infant development. Recent findings from the University of Zurich (University of Zurich) report social development was not impacted during lockdown. Learn more on our blog: dornsife.usc.edu/labs/baby-lab/…

We are still learning about the effects of the COVID-19 pandemic on infant development. Recent findings from the University of Zurich (<a href="/UZH_en/">University of Zurich</a>) report social development was not impacted during lockdown. Learn more on our blog: dornsife.usc.edu/labs/baby-lab/…
Infant Speech and Language Lab (@usc_babylab) 's Twitter Profile Photo

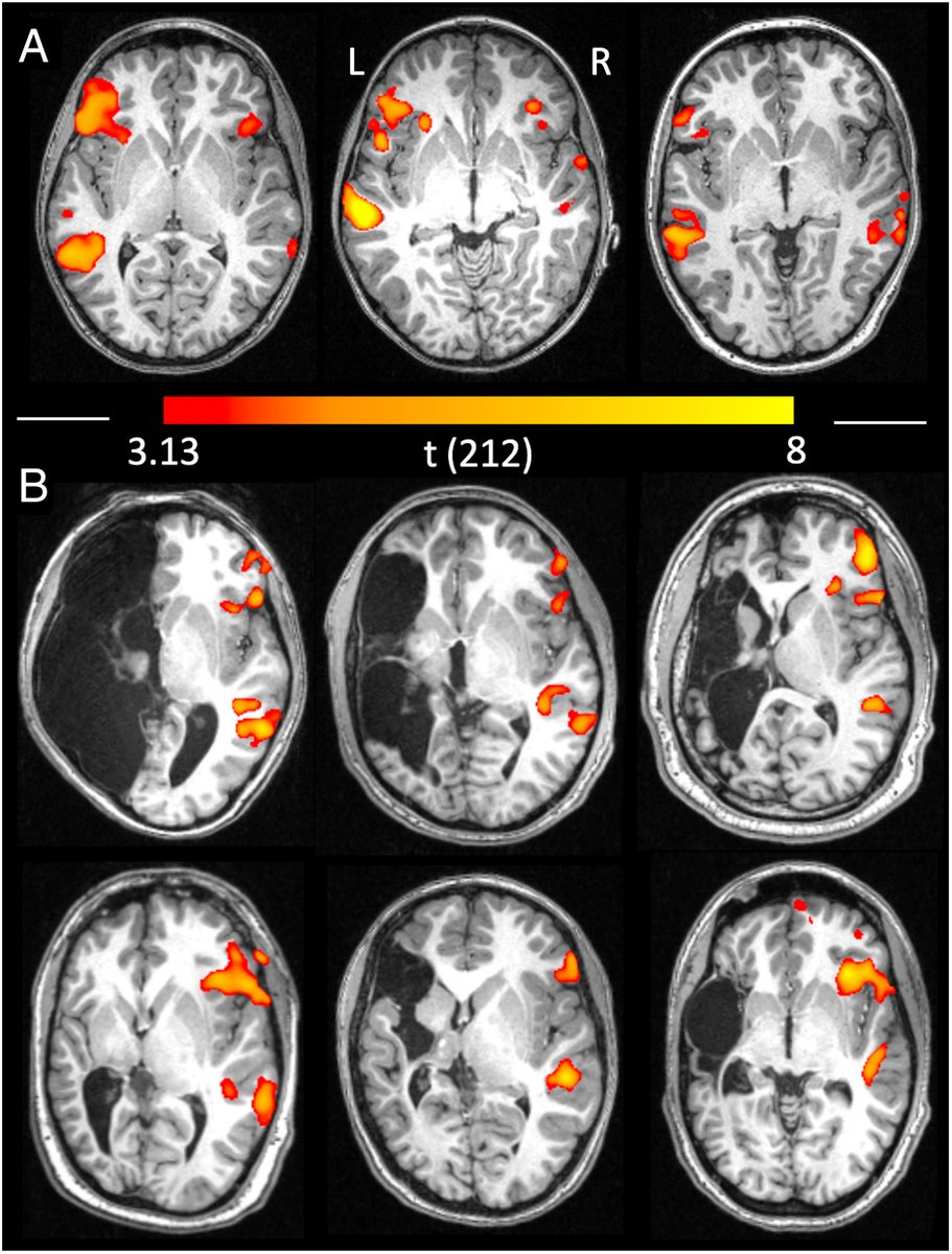
Recent findings from Georgetown University University reveal that infants who experience a left-sided stroke during birth adapt their brain development to process language in the right side of the brain. Learn more on our blog: dornsife.usc.edu/labs/baby-lab/…

Recent findings from <a href="/Georgetown/">Georgetown University</a> University reveal that infants who experience a left-sided stroke during birth adapt their brain development to process language in the right side of the brain. Learn more on our blog: dornsife.usc.edu/labs/baby-lab/…
Infant Speech and Language Lab (@usc_babylab) 's Twitter Profile Photo

How much are you talking to your infant? A new study from the @bergelsonlab reveals that parents speak more to infants who are forming words, so that babies who talk earlier have a larger vocabulary in early childhood. Learn more on our blog: dornsife.usc.edu/labs/baby-lab/…

How much are you talking to your infant? A new study from the <a href="/bergelsonlab/">@bergelsonlab</a> reveals that parents speak more to infants who are forming words, so that babies who talk earlier have a larger vocabulary in early childhood. Learn more on our blog: dornsife.usc.edu/labs/baby-lab/…
Infant Speech and Language Lab (@usc_babylab) 's Twitter Profile Photo

Did you know infant cries follow a rhythm and melody? This combination of acoustic properties, called prosody, becomes more complex in infant sounds during the first 6 months of life. Learn more about this pattern on our blog: dornsife.usc.edu/labs/baby-lab/…

Did you know infant cries follow a rhythm and melody? This combination of acoustic properties, called prosody, becomes more complex in infant sounds during the first 6 months of life. Learn more about this pattern on our blog: dornsife.usc.edu/labs/baby-lab/…
Infant Speech and Language Lab (@usc_babylab) 's Twitter Profile Photo

Research in a Ticuna-speaking community reveals that soon after their first words, infants in many languages will next start using words (called demonstratives) to draw attention to objects around them. Learn more on our blog: dornsife.usc.edu/labs/baby-lab/…

Research in a Ticuna-speaking community reveals that soon after their first words, infants in many languages will next start using words (called demonstratives) to draw attention to objects around them. Learn more on our blog: dornsife.usc.edu/labs/baby-lab/…
Infant Speech and Language Lab (@usc_babylab) 's Twitter Profile Photo

Cochlear implants are the gold standard for treating hearing deficits in children. However, children with developmental delays are often denied coverage by insurance companies. This study challenges that practice. Read more on our blog: dornsife.usc.edu/labs/baby-lab/…

Cochlear implants are the gold standard for treating hearing deficits in children. However, children with developmental delays are often denied coverage by insurance companies. This study challenges that practice. Read more on our blog: dornsife.usc.edu/labs/baby-lab/…
Infant Speech and Language Lab (@usc_babylab) 's Twitter Profile Photo

Girls reach speech and gesture milestones earlier than boys, while twins of either sex lag behind single children during early development, says study from Georgia State University. Read more on our blog: dornsife.usc.edu/labs/baby-lab/…

Girls reach speech and gesture milestones earlier than boys, while twins of either sex lag behind single children during early development, says study from Georgia State University. Read more on our blog: dornsife.usc.edu/labs/baby-lab/…
Infant Speech and Language Lab (@usc_babylab) 's Twitter Profile Photo

A “bilingual advantage” in attentional function has been noted in children who speak multiple languages. This study from Anglia Ruskin University finds that these advantages may manifest even before the onset of speech. More on our blog: dornsife.usc.edu/labs/baby-lab/…

A “bilingual advantage” in attentional function has been noted in children who speak multiple languages. This study from Anglia Ruskin University finds that these advantages may manifest even before the onset of speech. More on our blog: dornsife.usc.edu/labs/baby-lab/…
Infant Speech and Language Lab (@usc_babylab) 's Twitter Profile Photo

Early exposure to sign language affects attention patterns of young children. Children of deaf parents focus on a signer’s face, while those of hearing parents focus on a signer’s hands. More at our blog: dornsife.usc.edu/labs/baby-lab/…

Early exposure to sign language affects attention patterns of young children. Children of deaf parents focus on a signer’s face, while those of hearing parents focus on a signer’s hands. More at our blog: dornsife.usc.edu/labs/baby-lab/…