Jerad Gardner, MD (@jmgardnermd) 's Twitter Profile Photo

20 yo F. Bilateral groin excisions. Diagnosis? Digital slides: kikoxp.com/posts/8027 Answer ✅ youtu.be/Zy07nO1VuiY?si… #pathology #pathologists #pathTwitter #dermpath #dermatology #dermatologia #dermtwitter

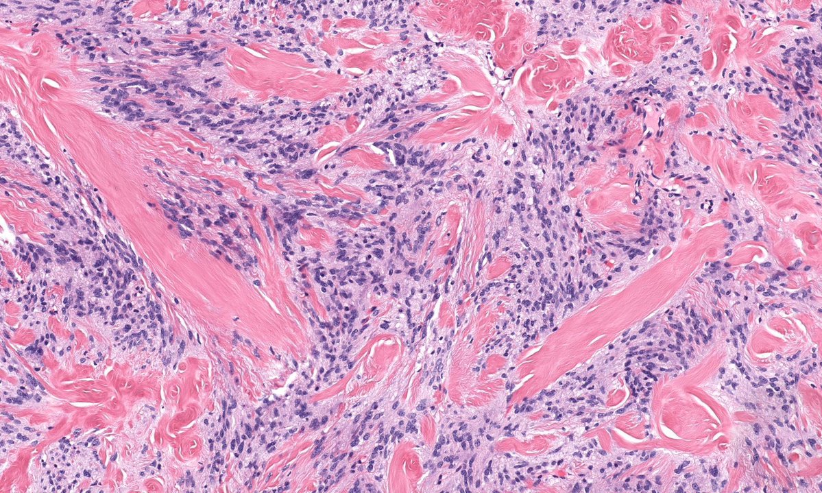
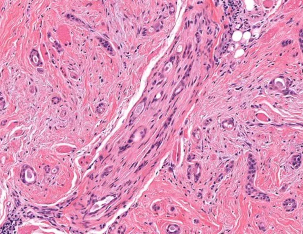
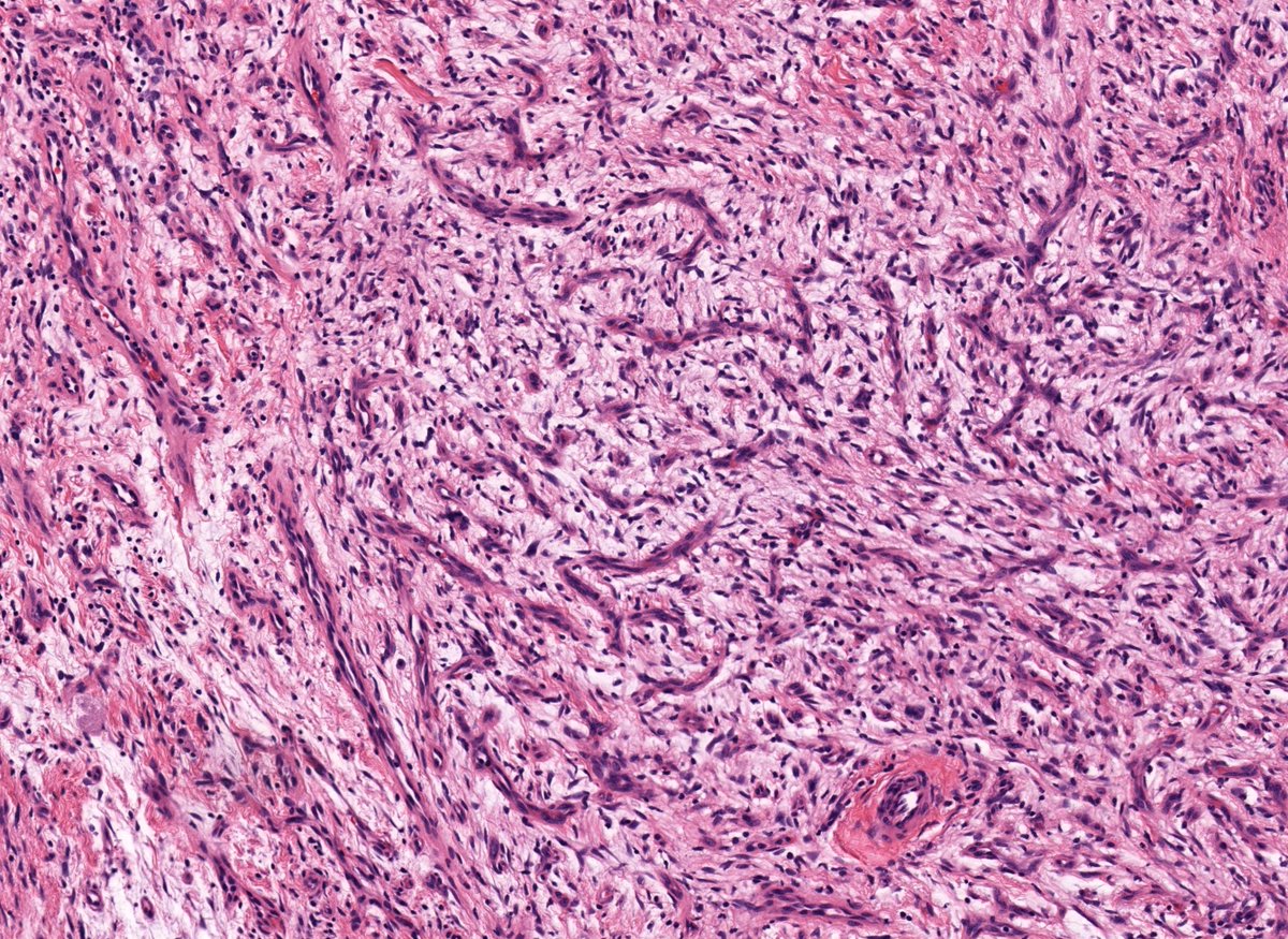
20 yo F. Bilateral groin excisions. Diagnosis?
Digital slides: kikoxp.com/posts/8027 
Answer ✅ youtu.be/Zy07nO1VuiY?si…  
#pathology #pathologists #pathTwitter #dermpath #dermatology #dermatologia #dermtwitter
Jerad Gardner, MD (@jmgardnermd) 's Twitter Profile Photo

Rare (in my practice) & classic! Only case in my collection. Foot nodule 50 M. Answer ✅ youtu.be/g7PlwuIDs7U?si… Digital slide: kikoxp.com/posts/2338 Clinical pics: kikoxp.com/posts/2341 #Pathology #pathTwitter #dermpath #dermatology #dermatologia #dermtwitter

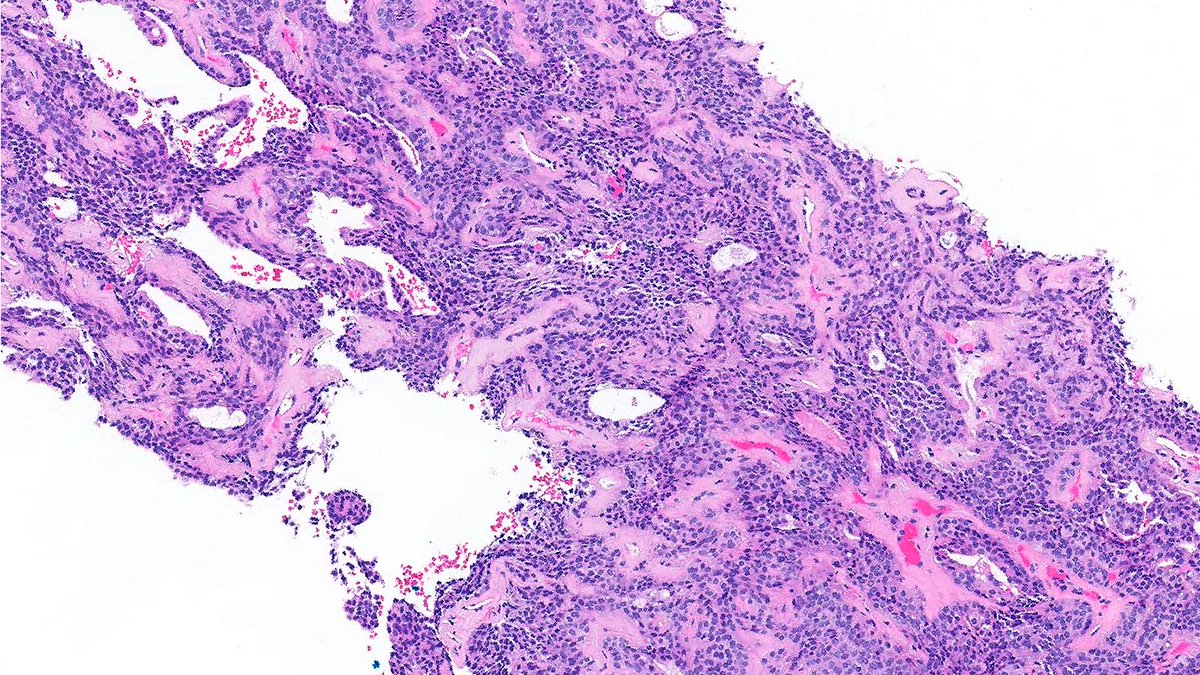
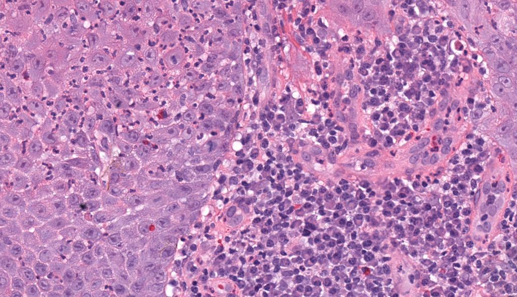
Rare (in my practice) & classic! Only case in my collection. Foot nodule 50 M. 
Answer ✅ youtu.be/g7PlwuIDs7U?si… 
Digital slide: kikoxp.com/posts/2338
Clinical pics: kikoxp.com/posts/2341 
#Pathology #pathTwitter #dermpath #dermatology #dermatologia #dermtwitter
Jonathan Zuckerman MD PhD (@jzrenalpath) 's Twitter Profile Photo

Bx for progressive CKD in a pt with CML, in remission. Limited biopsy with prominent debris filled proximal tubule lysosomes + for lysozyme (no evidence for light chain restriction (F/P) or chromogranin). Suspicious for lysozyme nephropathy . #renalpath #pathtwitter #nephrology

Bx for progressive CKD in a pt with CML, in remission. Limited biopsy with prominent debris filled proximal tubule lysosomes + for lysozyme (no evidence for light chain restriction (F/P) or chromogranin). Suspicious for lysozyme nephropathy . #renalpath #pathtwitter #nephrology
CorePath Laboratories (@corepath) 's Twitter Profile Photo

#FlowCytometry #PathTwitter #Cytogenetics #FISH #NGS #PCR #LabLife #Rotation #Internship #MedicalLaboratory #CaringForLives (2/2)

Jerad Gardner, MD (@jmgardnermd) 's Twitter Profile Photo

20 yo M. Deep intramuscular calf nodule. SOX-10 +. Loss of SMARCB1 staining. Answer ✅ youtu.be/YrUty8brYHU?si… Digital slides: kikoxp.com/posts/21930 #pathology #pathologists #pathTwitter #dermpath #dermatology #dermatologia #dermtwitter #BSTpath

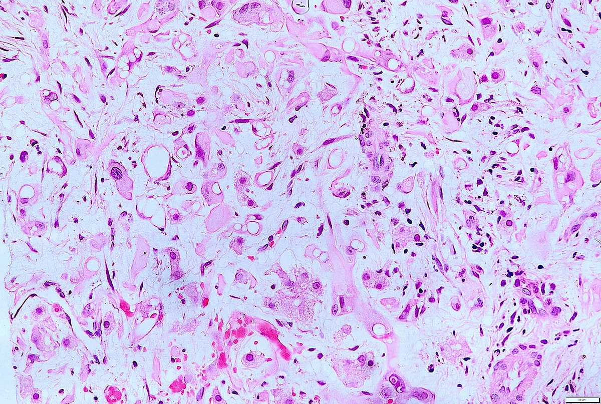
20 yo M. Deep intramuscular calf nodule. SOX-10 +. Loss of SMARCB1 staining.
Answer ✅ youtu.be/YrUty8brYHU?si…
Digital slides: kikoxp.com/posts/21930 
#pathology #pathologists #pathTwitter #dermpath #dermatology #dermatologia #dermtwitter #BSTpath
Jerad Gardner, MD (@jmgardnermd) 's Twitter Profile Photo

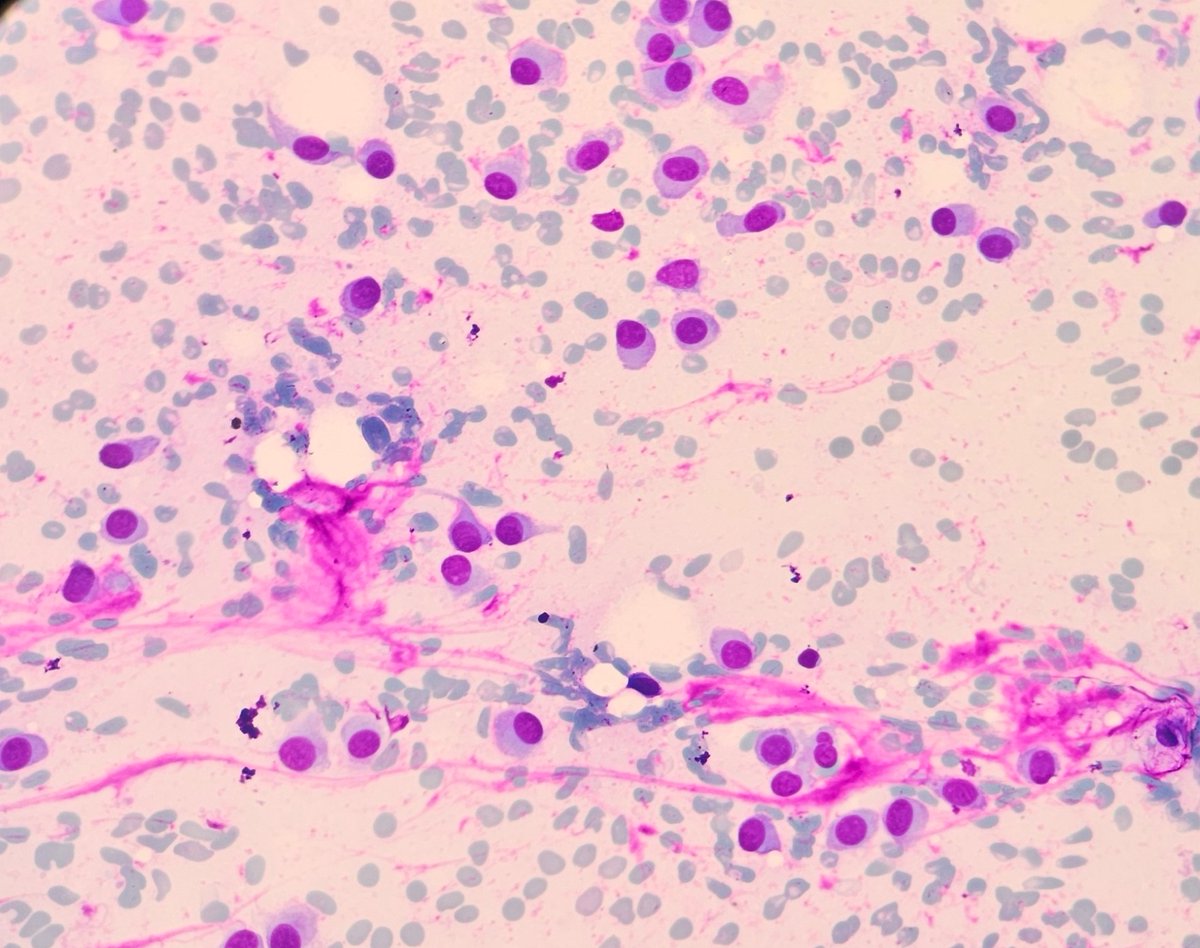
Soft tissue nodule. Can you diagnose it from one pic, or is it #TooLowToDiagnose? Answer ✅ youtu.be/EPyakVOCmFs?si… Digital slide: kikoxp.com/posts/51103 #pathology #pathTwitter #dermpath #dermatology #parasitology #dermatologia #dermtwitter

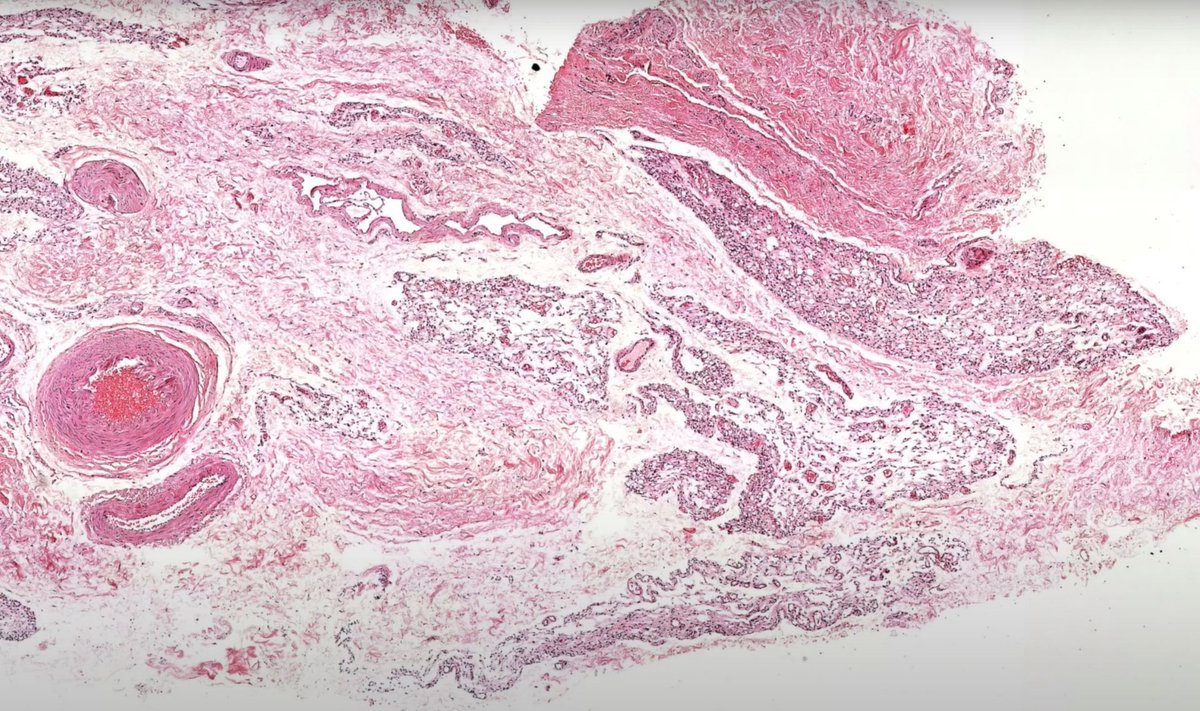
Soft tissue nodule. Can you diagnose it from one pic, or is it #TooLowToDiagnose?
Answer ✅ youtu.be/EPyakVOCmFs?si… 
Digital slide: kikoxp.com/posts/51103 
#pathology #pathTwitter #dermpath #dermatology #parasitology #dermatologia #dermtwitter
European Society of Pathology (ESP) (@esp_pathology) 's Twitter Profile Photo

Do not miss toady the 3rd and last webinar of the series on clinical trials! We go live on 16:00 CET! Free registration: esp-pathology.org/event/esp-webi… #education #PathTwitter #PathX

Jerad Gardner, MD (@jmgardnermd) 's Twitter Profile Photo

Skin biopsy. A pathology classic. One pic only. Answer ✅ youtu.be/yfs42lmFZfU #pathology #pathologists #pathTwitter #dermpath #dermatology #dermatologia #dermtwitter #usmle

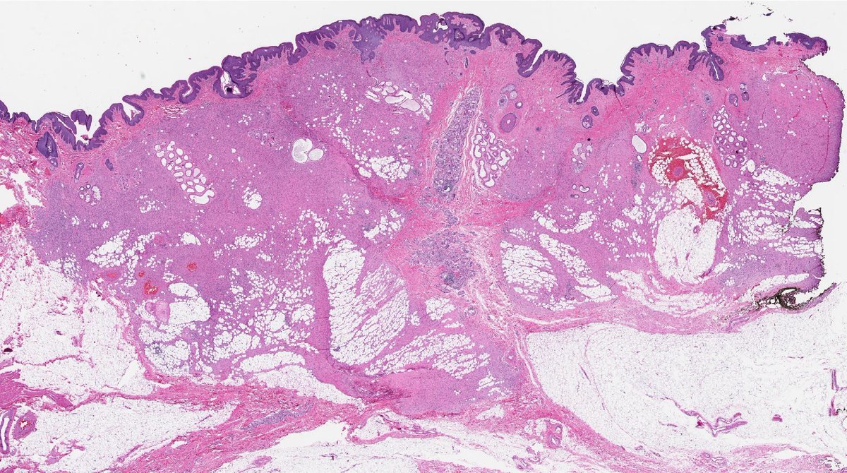
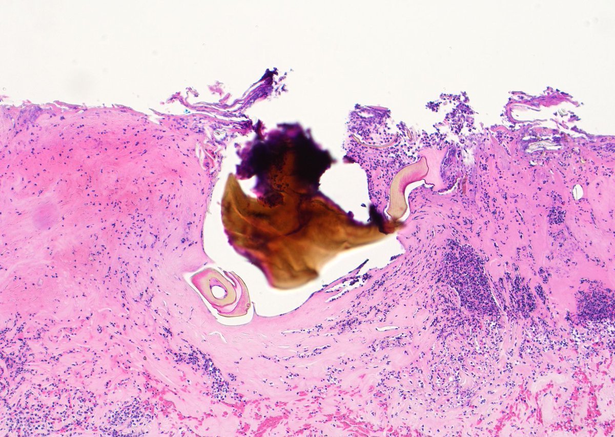
Skin biopsy. A pathology classic. One pic only. 
Answer ✅ youtu.be/yfs42lmFZfU
#pathology #pathologists #pathTwitter #dermpath #dermatology #dermatologia #dermtwitter #usmle
Jerad Gardner, MD (@jmgardnermd) 's Twitter Profile Photo

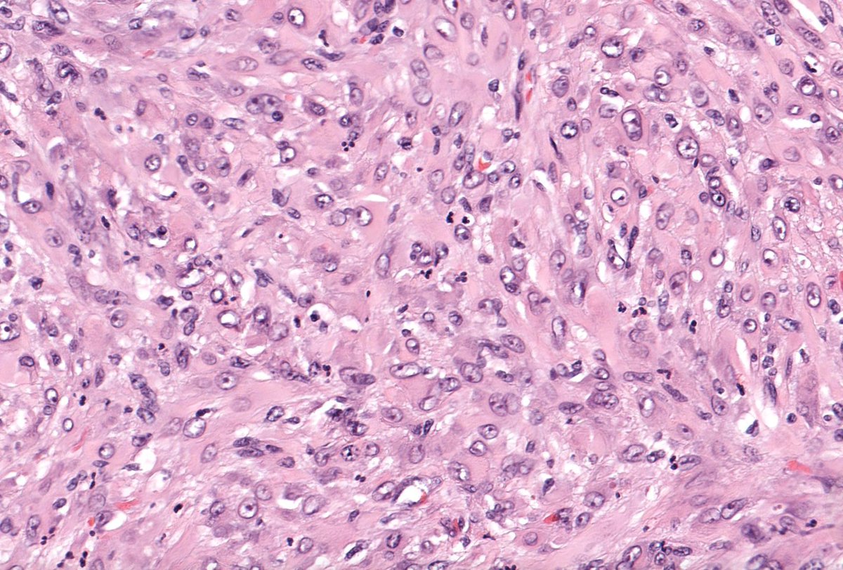
Red-purple skin nodule on elbow. Diagnosis? Answer ✅ youtu.be/Gbc9RHe5Kko?si… What systemic issues can be associated with this? Digital slide & info: kikoxp.com/posts/24378 #pathology #pathologists #pathTwitter #dermpath #dermatology #dermatologia #dermtwitter

Red-purple skin nodule on elbow. Diagnosis? 
Answer ✅ youtu.be/Gbc9RHe5Kko?si…
What systemic issues can be associated with this? Digital slide & info: kikoxp.com/posts/24378 
#pathology #pathologists #pathTwitter #dermpath #dermatology #dermatologia #dermtwitter
Raza Hoda MD (@razahoda) 's Twitter Profile Photo

Case of Amyloid Deposition in Breast 🤒🔬 Breast amyloidosis is rare and can represent localized disease, a manifestation of systemic inflammatory disorders, or even be associated with underlying lymphoid neoplasia. #PathX #PathTwitter #breastpath

Case of Amyloid Deposition in Breast 🤒🔬

Breast amyloidosis is rare and can represent localized disease, a manifestation of systemic inflammatory disorders, or even be associated with underlying lymphoid neoplasia.

#PathX #PathTwitter #breastpath
Janira Navarro (@janiranavarro) 's Twitter Profile Photo

Breast - Cystic hypersecretory lesions - Variably sized cyts with dense, colloid-like secretion - Spectrum from benign to malignant Dr. Lerwill - 46th Annual Current Concepts in Surgical Pathology #PathX #Pathology #PathTwitter

Breast - Cystic hypersecretory lesions
- Variably sized cyts with dense, colloid-like secretion
- Spectrum from benign to malignant

Dr. Lerwill - 46th Annual Current Concepts in Surgical Pathology #PathX #Pathology #PathTwitter
Jerad Gardner, MD (@jmgardnermd) 's Twitter Profile Photo

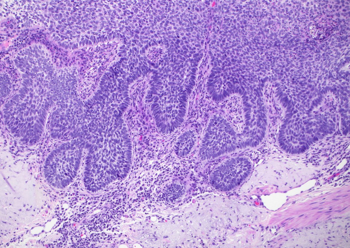
80 M scalp. Negative: SOX-10, p40, CK5, desmin, ERG. Your topline diagnosis? Any comment you'd add? Answer ✅ youtube.com/watch?v=mmuehu… Digital slide: kikoxp.com/posts/6840. Sample #pathology report: kikoxp.com/posts/5193 #pathTwitter #dermpath #BSTpath #dermtwitter

80 M scalp. Negative: SOX-10, p40, CK5, desmin, ERG. 
Your topline diagnosis? Any comment you'd add? 
Answer ✅ youtube.com/watch?v=mmuehu… 
Digital slide: kikoxp.com/posts/6840. 
Sample #pathology report: kikoxp.com/posts/5193  
#pathTwitter #dermpath #BSTpath #dermtwitter
João Lobo (@joaopedrolobo89) 's Twitter Profile Photo

Happy to share our latest publication! Expert GU Pathology Review of Orchiectomy Specimens Should Be Mandatory for Optimal Management. Recommendations from the EAU Guidelines Panel on #TesticularCancer sciencedirect.com/science/articl… European Association of Urology (EAU) International Society of Urological Pathology GU Pathology Society (GUPS) #PathTwitter

Jerad Gardner, MD (@jmgardnermd) 's Twitter Profile Photo

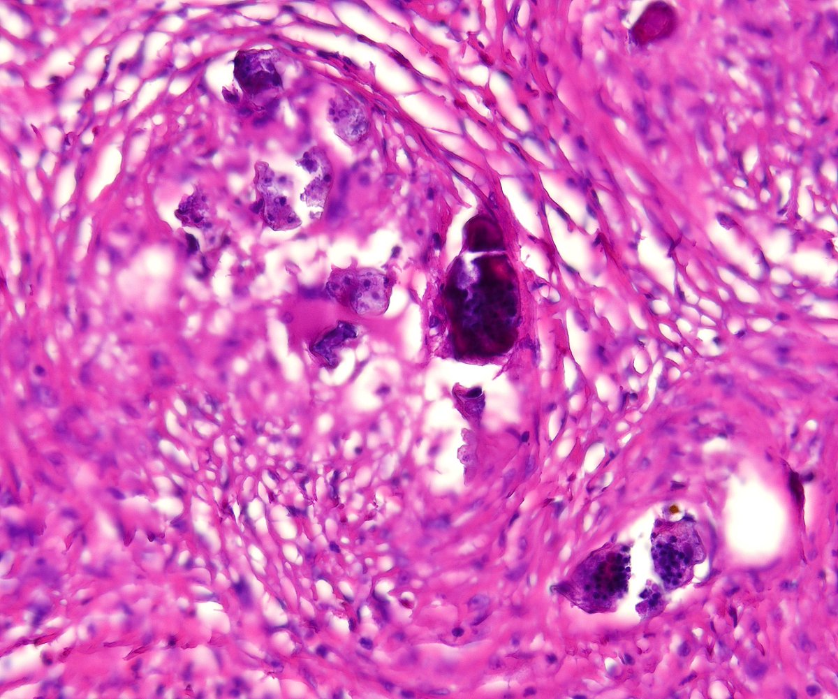
What is this bubbly cell? What are the pink dots in the cytoplasm? Diagnosis? Answers ✅ youtu.be/DqLK6ZvNXTU #pathology #pathologists #pathTwitter #dermpath #dermatology #dermatologia #dermtwitter

What is this bubbly cell? What are the pink dots in the cytoplasm? Diagnosis?
Answers ✅ youtu.be/DqLK6ZvNXTU 
#pathology #pathologists #pathTwitter #dermpath #dermatology #dermatologia #dermtwitter
Jerad Gardner, MD (@jmgardnermd) 's Twitter Profile Photo

80 yo man with slowly growing brown patch on cheek. Your diagnosis? Bonus point: what is the WRONG diagnosis? Answer ✅ youtu.be/FQomxOwuIbQ?si… #pathology #pathologists #pathTwitter #dermpath #dermatology #dermatologia #dermtwitter

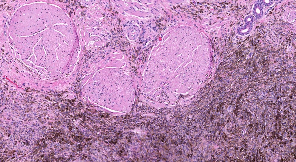
80 yo man with slowly growing brown patch on cheek. Your diagnosis? 
Bonus point: what is the WRONG diagnosis? 
Answer ✅ youtu.be/FQomxOwuIbQ?si… 
#pathology #pathologists #pathTwitter #dermpath #dermatology #dermatologia #dermtwitter