
Jisun Cha MD FAAD
@sunpungi
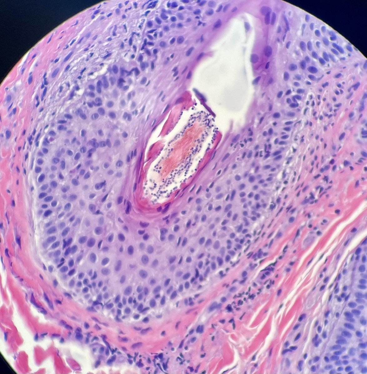
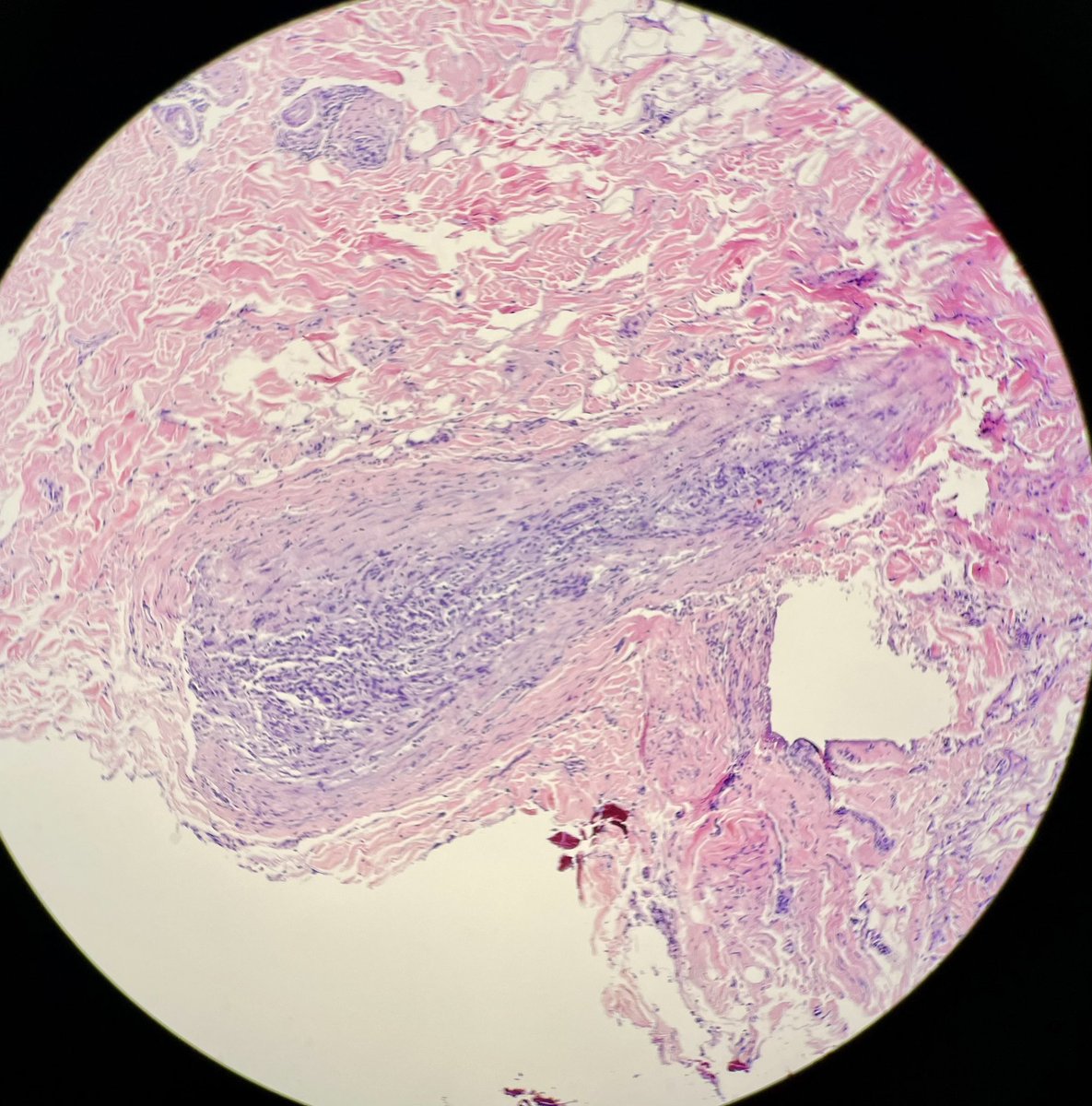
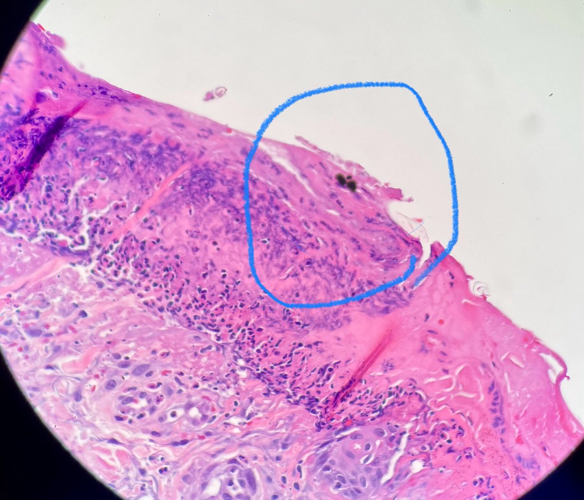
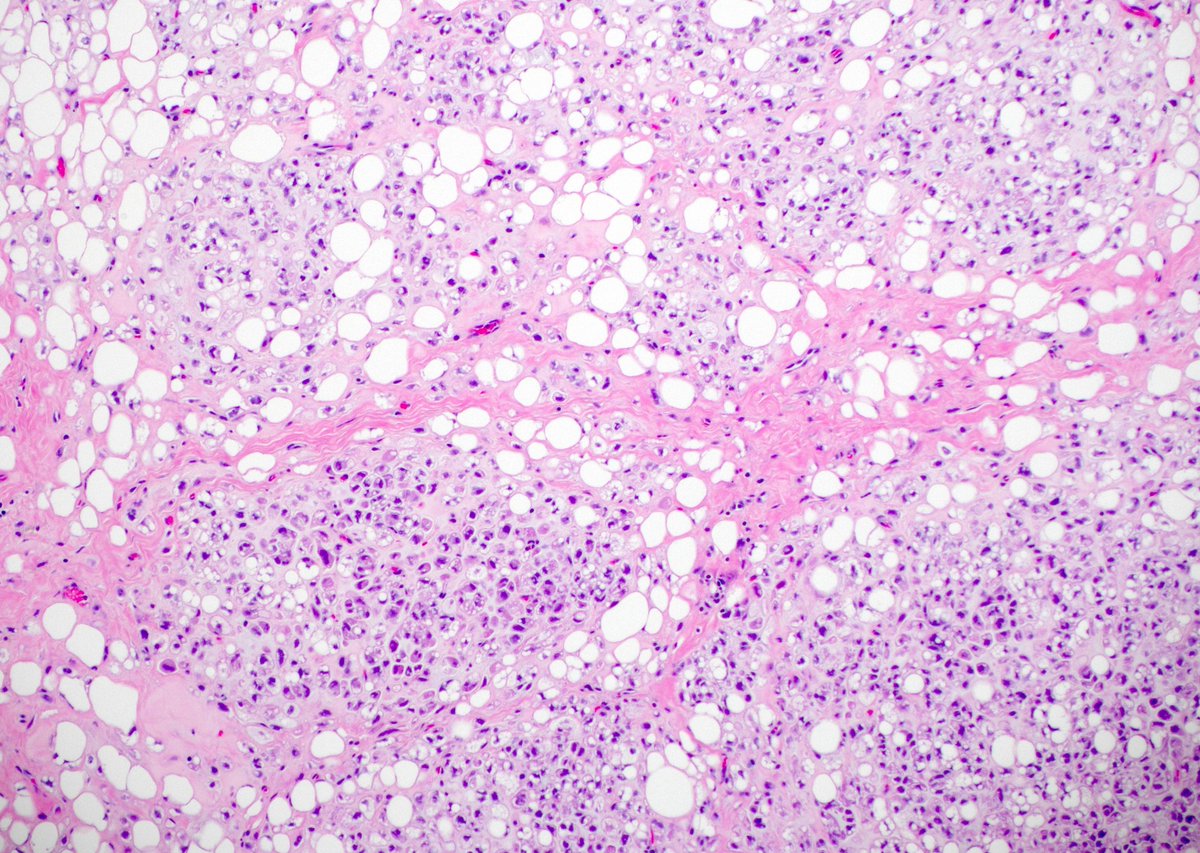
dermatologist/dermatopathologist in Schweiger Dermatology Group #dermatology, #dermpath, #hemepath #cutaneouslymphoma
ID: 134646411
19-04-2010 02:04:49
2,2K Tweet
1,1K Followers
234 Following

Silvija Gottesman MD Alejandro Gru (Ale) J Cutan Pathol Katy Veprauskas Maxwell Fung, MD Gregory A Hosler Henry YANG David Terrano Dermpath-L Dermpath_doc_trish Tristan Rutland MBBS FRCPA IFCAP Etan Marks, DO Maryam Aghighi, MD. DABP. Jerad Gardner, MD Cacey Peters, MD, FCAP, FASDP Pembe Oltulu, MD Walter Klein MD Andrea P Moy, MD Patrick Rush Jisun Cha MD FAAD Sara Shalin James A. Ramirez Joseph Susa, DO Rosalynn Nazarian MD 🅰🅼🆈🅷🅳🅴🅴🅺🅴🅽🅼🅳 Mariantonieta Tirado Vijay Shankar S Mike DeWall, D.O. Olaleke Folaranmi David Larson Luis Humberto Cruz C Kamran Mirza MD PhD - کامران مرزا Toño Navarro, M.D. 🔬🎗️ Nicole D. Riddle, MD, MSHI, FCAP (she/her) Haneen Salah Save the Date. Save the Date. Hot off the press. Next #dermpathJC to take place on 01/26/23 at 9pm EST, here on Twitter. Open access link at: jamanetwork.com/journals/jaman… #dermpath
















