Nisitha Sengottuvel, PhD (@snisitha) 's Twitter Profile
Nisitha Sengottuvel, PhD

@snisitha

Incoming RadOnc @WashUMedRadOnc | @UNCmdphd | @UNC PhD 2022 | @OSU BS MolGen | Collagen Remodeling| Hobbyist Chandler 🕯️ (NiScents Candles)

ID: 364032989

calendar_today29-08-2011 02:46:13

844 Tweet

276 Followers

660 Following

Nisitha Sengottuvel, PhD (@snisitha) 's Twitter Profile Photo

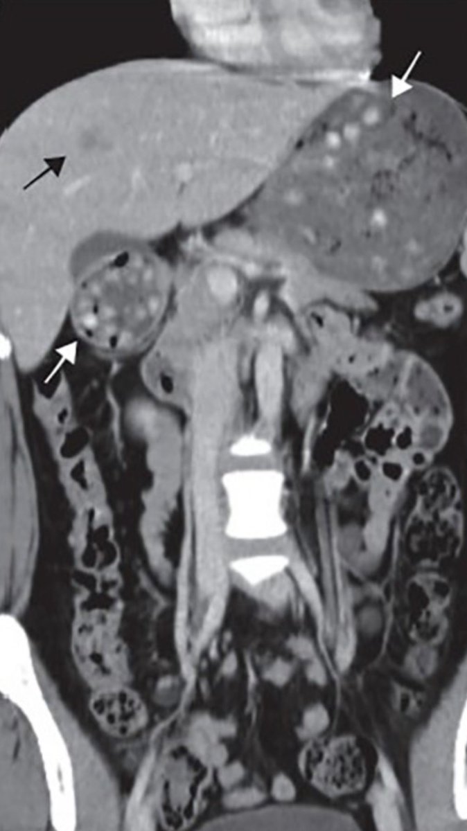
On my last #EM shift, my resident showed me this interesting #CTScan from Kao et al. If you ever wondered what #boba looks like in your stomach and duodenum, check out the white arrows PMID: 32995185

On my last #EM shift, my resident showed me this interesting #CTScan from Kao et al. If you ever wondered what #boba looks like in your stomach and duodenum, check out the white arrows PMID: 32995185
Nisitha Sengottuvel, PhD (@snisitha) 's Twitter Profile Photo

My PhD work is published JCI insight! Fun video of some of the long nights, many flasks and cool contraptions encountered during my 5+ years working on this! Next steps: bounce off of this to study radiation induced fibrosis next on my road to becoming a #physicianscientist

SWRO (@s_w_r_o) 's Twitter Profile Photo

đź’” We are heartbroken to announce that a member of our #RadOnc community (University of Maryland Radiation Oncology Muhammad Hamza, PGY3) was recently shot and critically injuredđź’” After surgery, his clinical condition is improving, but his prognosis is uncertain. Continued with link to donate below:

đź’” We are heartbroken to announce that a member of our #RadOnc community (<a href="/UMarylandRadOnc/">University of Maryland Radiation Oncology</a> Muhammad Hamza, PGY3) was recently shot and critically injuredđź’”

After surgery, his clinical condition is improving, but his prognosis is uncertain. 

Continued with link to donate below:
MD Anderson Cancer Center (@mdandersonnews) 's Twitter Profile Photo

We mourn the loss of pharmacologist Dr. V. Craig Jordan, who discovered Selective Estrogen Receptor Modulators (SERMs) and developed breakthrough breast cancer treatments. Read more about his legacy: bit.ly/3XlxJIx #EndCancer

We mourn the loss of pharmacologist Dr. V. Craig Jordan, who discovered Selective Estrogen Receptor Modulators (SERMs) and developed breakthrough breast cancer treatments. 

Read more about his legacy: bit.ly/3XlxJIx #EndCancer
UNC Lineberger (@unc_lineberger) 's Twitter Profile Photo

UNC Lineberger's Shelley Earp, MD, was honored as Carolina Football's 'Hero of the Game' this past Saturday at Kenan Stadium. After serving a total of 22 years as director of #UNCLineberger, Earp recently stepped down, leaving behind a legacy of leadership and dedication. A UNC School of Medicine

UNC Lineberger's Shelley Earp, MD, was honored as <a href="/UNCFootball/">Carolina Football</a>'s 'Hero of the Game' this past Saturday at Kenan Stadium. 

After serving a total of 22 years as director of #UNCLineberger, Earp recently stepped down, leaving behind a legacy of leadership and dedication. A <a href="/UNC_SOM/">UNC School of Medicine</a>
Cat Rubens (@catrubens) 's Twitter Profile Photo

1. I don’t often tweet about my personal life, but on 1st November, my mum Jane was hit by a large vehicle as a pedestrian in St. Louis, USA. She suffered a severe brain injury & remains in a coma in hospital. Here's Jane & me in happier times.

1. I don’t often tweet about my personal life, but on 1st November, my mum Jane was hit by a large vehicle as a pedestrian in St. Louis, USA. She suffered a severe brain injury &amp; remains in a coma in hospital.

Here's Jane &amp; me in happier times.
Sravan Panuganti, DO, FACOS (@spuro88) 's Twitter Profile Photo

Had an insurance company who previously denied a patient’s cancer treatment and I had a peer to peer scheduled with them this afternoon preemptively reach back out this AM saying they’ve reconsidered and will approve treatment and no p2p necessary. …is something happening??

Xiuning Le MD PhD (@lexiuning) 's Twitter Profile Photo

📖Cancer statistics, 2025. 👉For the first time, the number of newly diagnosed female lung cancer cases has surpassed that of males. 👉This significant increase, particularly among women under the age of 49, is largely driven by diagnoses in young women who have never smoked.

📖Cancer statistics, 2025. 👉For the first time, the number of newly diagnosed female lung cancer cases has surpassed that of males. 👉This significant increase, particularly among women under the age of 49, is largely driven by diagnoses in young women who have never smoked.
Nisitha Sengottuvel, PhD (@snisitha) 's Twitter Profile Photo

20 days to #Match2025! 🎉 I made some Match Day-themed candles to bring a little light and good vibes to the process 🕯️✨ Stress relief? Candles. Match Day stress relief? These candles. tinyurl.com/MatchCandles #RadOnc #MedTwitter #candles #MatchDay #matchday2025 #MedEd

20 days to #Match2025! 🎉  I made some Match Day-themed candles to bring a little light and good vibes to the process 🕯️✨

Stress relief? Candles. Match Day stress relief? These candles. 

tinyurl.com/MatchCandles

#RadOnc #MedTwitter #candles #MatchDay #matchday2025 #MedEd
Nisitha Sengottuvel, PhD (@snisitha) 's Twitter Profile Photo

I matched!!! I’ll be heading to AdventHealth next year then joining WashU’s RadOnc program as a PGY2. Excited for what’s in store in the next few years!

I matched!!! I’ll be heading to AdventHealth next year then joining WashU’s RadOnc program as a PGY2. Excited for what’s in store in the next few years!
UNCmdphd (@uncmdphd) 's Twitter Profile Photo

Congratulations to our graduates!! We are SO proud of you and know you with SHINE at your residency programs 💙🩺✨ #unc #uncmdphd #mdphd #matchday2025

Congratulations to our graduates!! We are SO proud of you and know you with SHINE at your residency programs 💙🩺✨

#unc #uncmdphd #mdphd #matchday2025
WashU Medicine Radiation Oncology (@washumedradonc) 's Twitter Profile Photo

If you are a #MATCH2026 participant, SAVE THE DATE to join our #radonc residents in a virtual Meet & Greet - Tues, Sept 9, 2025. They look forward to meeting you and answering your questions! Sign up: bit.ly/4lgRJnQ

If you are a #MATCH2026 participant, SAVE THE DATE to join our #radonc residents in a virtual Meet &amp; Greet - Tues, Sept 9, 2025. They look forward to meeting you and answering your questions! 
Sign up: bit.ly/4lgRJnQ