Daniela Skone (@skonedaniela) 's Twitter Profile
Daniela Skone

@skonedaniela

surgical pathologist

ID: 880521398007058432

calendar_today29-06-2017 20:20:35

468 Tweet

469 Takipçi

955 Takip Edilen

Sebastien Vidal (@sebvidalchem) 's Twitter Profile Photo

Safety first !!! So here is a simple question tweeps. Which solvent could have caused such injury after poking one's finger with a syringe and injecting 1-2 drops of solvent. 15 minutes and 2 hrs pictures

Safety first !!!
So here is a simple question tweeps.
Which solvent could have caused such injury after poking one's finger with a syringe and injecting 1-2 drops of solvent. 15 minutes and 2 hrs pictures
Christoph Zielinski (@cczielinski) 's Twitter Profile Photo

Ein ganz, ganz großes Problem - ohne Pathologie und molekulare Diagnostik ist Krebsmedizin mit modernen Medikamenten, wie sie in der „Präzisionsmedizin“ zum Einsatz kommen, unmöglich topos.orf.at/pathologen-man…

C. Christofer Juhlin (@drjuhlin) 's Twitter Profile Photo

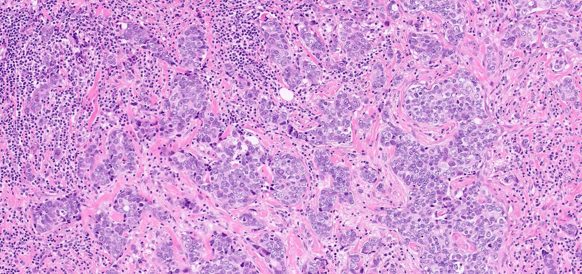
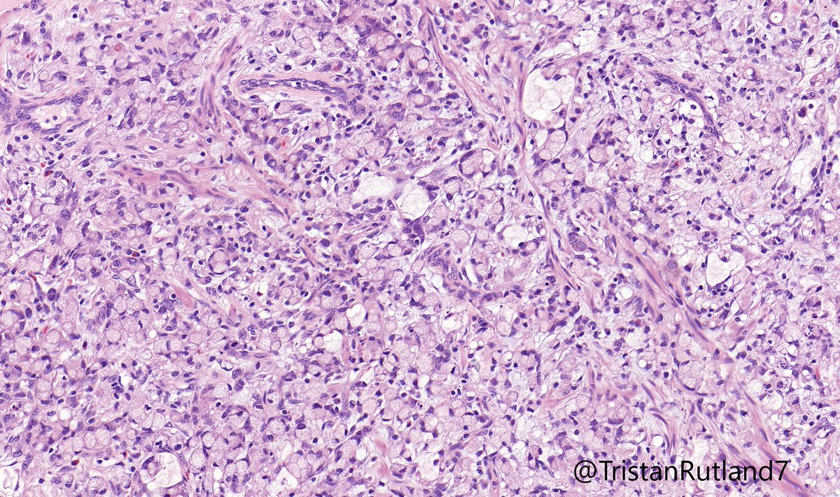
50ish y/o male, large adrenal mass, no hormone production, adrenal cortical carcinoma suspected from preoperative imaging. Histology: tumor with trabecular to lobular growth, mild nuclear atypia and pale eosinophilic cytoplasm. Ring a bell? More images in thread:

50ish y/o male, large adrenal mass, no hormone production, adrenal cortical carcinoma suspected from preoperative imaging. 

Histology: tumor with trabecular to lobular growth, mild nuclear atypia and pale eosinophilic cytoplasm. 

Ring a bell?

More images in thread:
Johanna Savage, MD (@jmsavagemd) 's Twitter Profile Photo

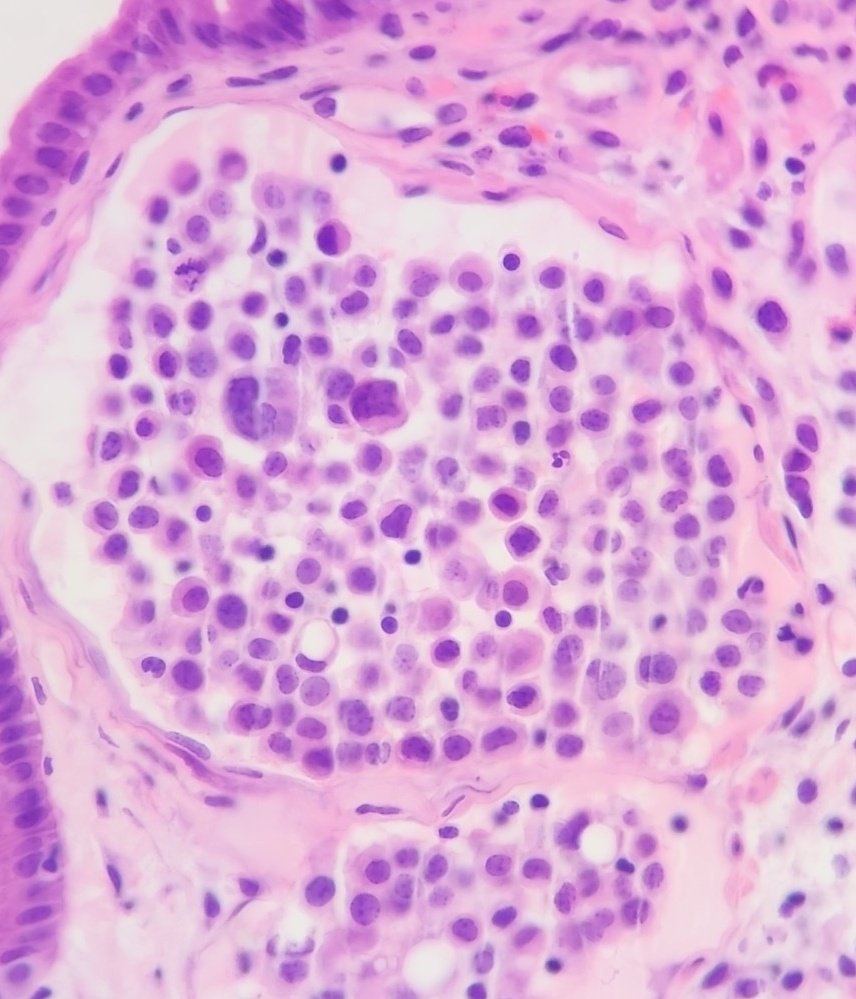
Haven't had one of these in awhile, but it is such a pretty lesion under the scope! "Groin lesions" in a young female. #pathx #pathtwitter #gynpath #dermpath

Haven't had one of these in awhile, but it is such a pretty lesion under the scope! 

"Groin lesions" in a young female.

#pathx #pathtwitter #gynpath #dermpath
Anne Grabenstetter (@agrabenstetter) 's Twitter Profile Photo

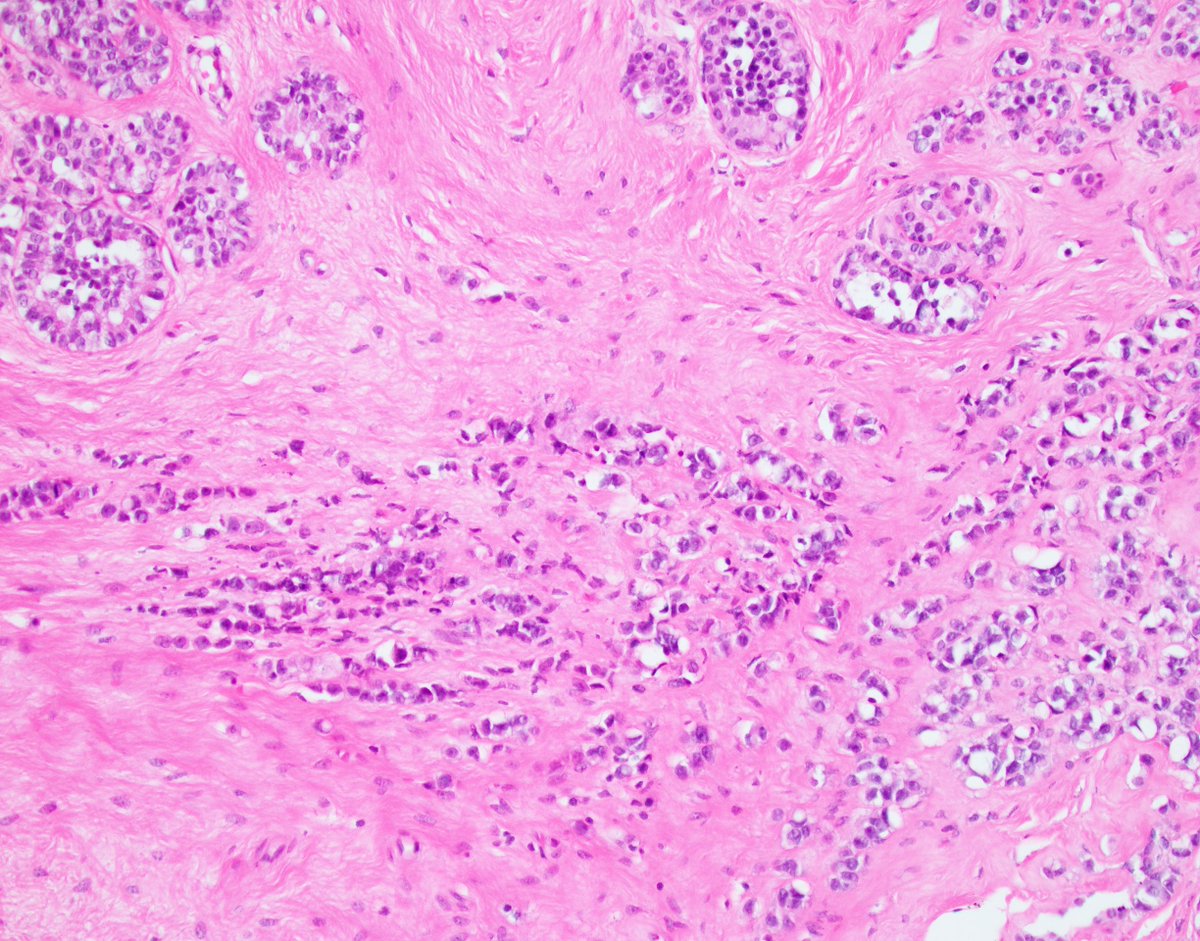
Breast snapshot: Endosalpingiosis, lymph node #bcsm #PathTwitter #BreastPath 🔑Small gland w/ columnar cells (usually in capsule/periphery of node) 🔑May see: ciliated cells, intercalated cells 🔑Cells PAX8 and WT-1 positive 🔑No myoepithelial cells ⚠️ DDX: LN metastasis

Breast snapshot: Endosalpingiosis, lymph node 
#bcsm #PathTwitter #BreastPath 

🔑Small gland w/ columnar cells (usually in capsule/periphery of node)
🔑May see: ciliated cells, intercalated cells 
🔑Cells PAX8 and WT-1 positive 
🔑No myoepithelial cells 

⚠️ DDX: LN metastasis
Lorand Kis (@kis_lorand) 's Twitter Profile Photo

1/Can a HER2-negative cancer ”change” into a HER2-positive within weeks??? Technically speaking yes, as exemplified by this example. 😁 The explanation is intratumoral HER2 heterogenicity coupled with sampling issues. 👇👇

1/Can a HER2-negative cancer ”change” into a HER2-positive within weeks???
Technically speaking yes, as exemplified by this example. 😁
The explanation is intratumoral HER2 heterogenicity coupled with sampling issues. 👇👇
Kurt Schaberg (@kurtschaberg) 's Twitter Profile Photo

I just updated my Thyroid Cytology notes on my teaching website, "Kurt's Notes" (kurtsnotes.net) to incorporate the newest Bethesda system. 🔬🔬🔬🔬🔬🔬🔬🔬🔬🔬🔬🔬🔬🔬🔬🔬🔬🔬🔬🔬🔬🔬🔬🔬🔬🔬🔬 Full notes available here: schaberg.faculty.ucdavis.edu/wp-content/upl…

I just updated my Thyroid Cytology notes on my teaching website, "Kurt's Notes" (kurtsnotes.net) to incorporate the newest Bethesda system.

🔬🔬🔬🔬🔬🔬🔬🔬🔬🔬🔬🔬🔬🔬🔬🔬🔬🔬🔬🔬🔬🔬🔬🔬🔬🔬🔬

Full notes available here: schaberg.faculty.ucdavis.edu/wp-content/upl…
Fouad Boulos (@fouad_boulos) 's Twitter Profile Photo

Tuesday’s quiz was not fair, because it was not intended to get a correct answer but to illustrate two things. First, the importance of context, second the limitations of morphology. 1. Context is everything. A lion at the zoo is not a lion in the living room, a swimsuit on the

Tuesday’s quiz was not fair, because it was not intended to get a correct answer but to illustrate two things. First, the importance of context, second the limitations of morphology.

1. Context is everything. A lion at the zoo is not a lion in the living room, a swimsuit on the
Fouad Boulos (@fouad_boulos) 's Twitter Profile Photo

Ok. I am venturing outside of my comfort zone here, but this got me so excited I was jumping up and down in my seat like my crazy 5-year-old... 🧵

Fouad Boulos (@fouad_boulos) 's Twitter Profile Photo

My story with solid papillary carcinoma (SPC) is marginally interesting, so I will go ahead and share it with you innocent onlooking victims 🙂 SPC was first described by Dr. Horacio Maluf in an AJSP paper in 1995 (which I shall go back to towards the end of this tweet). Yet,

My story with solid papillary carcinoma (SPC) is marginally interesting, so I will go ahead and share it with you innocent onlooking victims 🙂

SPC was first described by Dr. Horacio Maluf in an AJSP paper in 1995 (which I shall go back to towards the end of this tweet). Yet,