A. Polónia (@poloniaantonio) 's Twitter Profile
A. Polónia

@poloniaantonio

MD PhD #breastpath #gupath #gynpath Co-Chair Computational Working Group-ESP

ID: 1152209970378805250

linkhttps://www.linkedin.com/in/ant%C3%B3nio-pol%C3%B3nia-06ab545b/ calendar_today19-07-2019 13:33:58

11,11K Tweet

3,3K Takipçi

1,1K Takip Edilen

Raza Hoda MD (@razahoda) 's Twitter Profile Photo

What’s this breast lesion? 🔬 Cast your vote below 👇 Answer revealed Monday! #PathX #PathTwitter #breastpath #PathQuiz

What’s this breast lesion? 🔬

Cast your vote below 👇

Answer revealed Monday!

#PathX #PathTwitter #breastpath #PathQuiz
Chelsea, MD (@chelseamehr_md) 's Twitter Profile Photo

Invasive ductal carcinoma is a rare but subtle finding when associated with architectural distortion.👇 thepathprincess.substack.com/p/invasive-duc… Don't miss the angulated invasive glands! #pathology #pathologists #breastpathology #PathTwitter #PathX #breastpath

Invasive ductal carcinoma is a rare but subtle finding when associated with architectural distortion.👇

thepathprincess.substack.com/p/invasive-duc…

Don't miss the angulated invasive glands!

#pathology #pathologists #breastpathology #PathTwitter #PathX #breastpath
Chelsea, MD (@chelseamehr_md) 's Twitter Profile Photo

Not your average architectural distortion! Ductal carcinoma in situ can present this way, though more commonly with calcifications. thepathprincess.substack.com/p/ductal-carci… A reminder that classic presentations aren't the only ones!💡 #pathology #pathologist #breastpath #pathtwitter #pathX

Not your average architectural distortion! Ductal carcinoma in situ can present this way, though more commonly with calcifications.

thepathprincess.substack.com/p/ductal-carci…

A reminder that classic presentations aren't the only ones!💡

#pathology #pathologist #breastpath #pathtwitter #pathX
Raza Hoda MD (@razahoda) 's Twitter Profile Photo

No doubt—you all crushed it! 💯 The answer: B-cell lymphoma. This one’s a marginal zone lymphoma of the breast—rare, and a great mimicker of lobular carcinoma. Hope this was a helpful review of the lobular carcinoma differential! #PathX #PathTwitter #breastpath #PathQuiz

Raza Hoda MD (@razahoda) 's Twitter Profile Photo

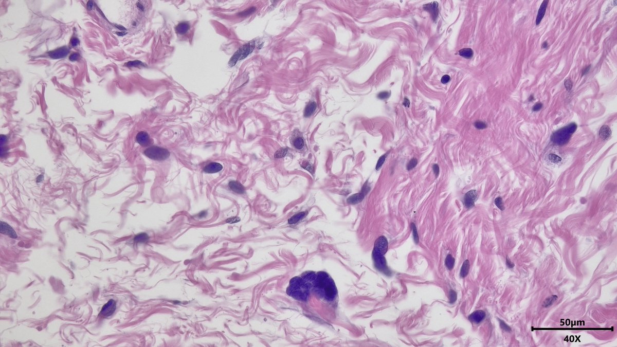
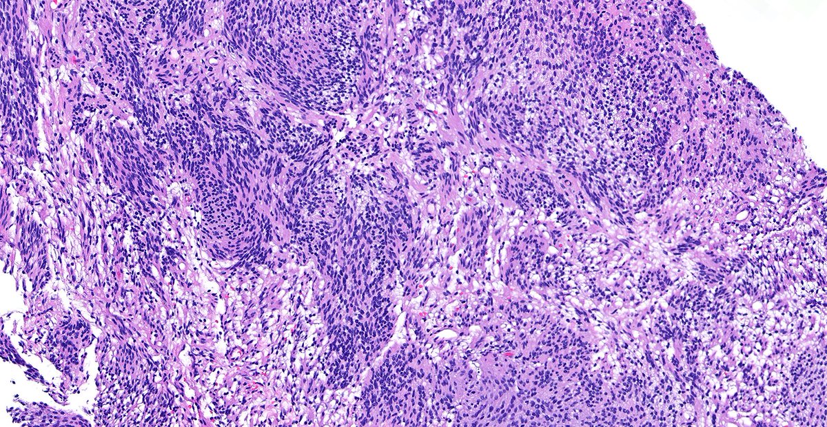
Let’s review the tricky differential of low-grade spindle cell lesions of the breast this week! Case of Pseudoangiomatous Stromal Hyperplasia (PASH) 🔬 Usually mimicking vessels, PASH can also appear fascicular. #PathX #PathTwitter #breastpath

Let’s review the tricky differential of low-grade spindle cell lesions of the breast this week!

Case of Pseudoangiomatous Stromal Hyperplasia (PASH) 🔬

Usually mimicking vessels, PASH can also appear fascicular.

#PathX #PathTwitter #breastpath
Raza Hoda MD (@razahoda) 's Twitter Profile Photo

Case of Myofibroblastoma 🔬 A benign spindle cell tumor that loves collagen bundles (and often shows up in male breasts). CD34, desmin, and ER light it up. #PathX #PathTwitter #breastpath

Case of Myofibroblastoma 🔬

A benign spindle cell tumor that loves collagen bundles (and often shows up in male breasts). CD34, desmin, and ER light it up.

#PathX #PathTwitter #breastpath
Raza Hoda MD (@razahoda) 's Twitter Profile Photo

Case of Cellular Spindled Histiocytic Pseudotumor 🔬 A reactive spindle cell lesion of histiocytes — likely the exuberant end of fat necrosis — saddled with a name longer than the lesion itself. #PathX #PathTwitter #breastpath

Case of Cellular Spindled Histiocytic Pseudotumor 🔬

A reactive spindle cell lesion of histiocytes — likely the exuberant end of fat necrosis — saddled with a name longer than the lesion itself.

#PathX #PathTwitter #breastpath
Chelsea, MD (@chelseamehr_md) 's Twitter Profile Photo

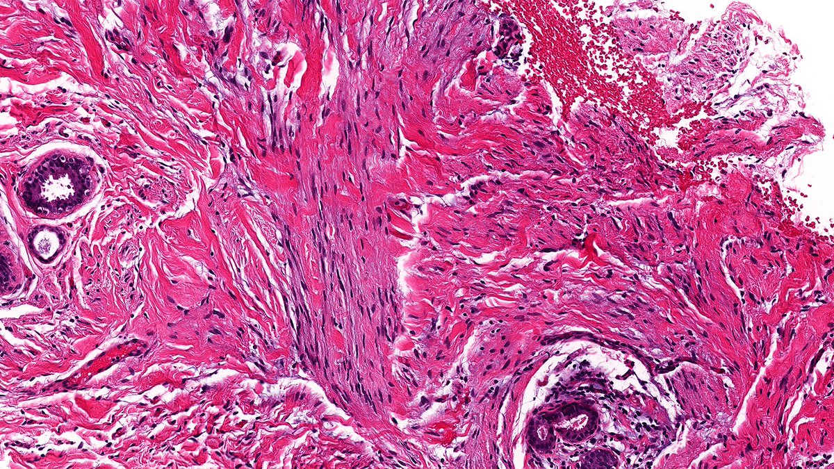
Architectural distortion caused by fat necrosis. An example of how benign processes can mimic malignancy. thepathprincess.substack.com/p/fat-necrosis… Always consider the patient's clinical history alongside the microscopic findings. 📷 #pathology #pathologist #pathX #pathtwitter #breastpath

Architectural distortion caused by fat necrosis. An example of how benign processes can mimic malignancy.

thepathprincess.substack.com/p/fat-necrosis…

Always consider the patient's clinical history alongside the microscopic findings. 📷 

#pathology #pathologist #pathX #pathtwitter #breastpath
Raza Hoda MD (@razahoda) 's Twitter Profile Photo

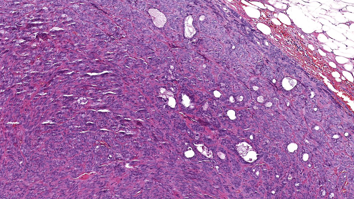
Case of Nodular Fasciitis of the Breast 🔬 Fast-growing, mitotically active, and a classic diagnostic trap. Despite the drama, it typically regresses on its own. #PathX #PathTwitter #breastpath

Case of Nodular Fasciitis of the Breast 🔬

Fast-growing, mitotically active, and a classic diagnostic trap. Despite the drama, it typically regresses on its own.

#PathX #PathTwitter #breastpath
Raza Hoda MD (@razahoda) 's Twitter Profile Photo

What’s this breast lesion? 🔬 Cast your vote below 👇 Answer revealed Monday! #PathX #PathTwitter #breastpath #PathQuiz

What’s this breast lesion? 🔬

Cast your vote below 👇

Answer revealed Monday!

#PathX #PathTwitter #breastpath #PathQuiz
Andrew Bellizzi 🇺🇦 (@ihc_guy) 's Twitter Profile Photo

Hello Friends! I'm writing to invite you to our 1st AIMM Journal Club-live on Microsoft Teams this Thursday, August 28th @ 7 pm EST. We've invited the authors of 2 recent great papers to present. Katrina Collins, MD || Pathologist & I will moderate attendee Q&A. Register here: tinyurl.com/ycxeye84

Hello Friends! I'm writing to invite you to our 1st AIMM Journal Club-live on Microsoft Teams this Thursday, August 28th @ 7 pm EST. 

We've invited the authors of 2 recent great papers to present. <a href="/katcollmd/">Katrina Collins, MD || Pathologist</a> &amp; I will moderate attendee Q&amp;A.

Register here: tinyurl.com/ycxeye84
Raza Hoda MD (@razahoda) 's Twitter Profile Photo

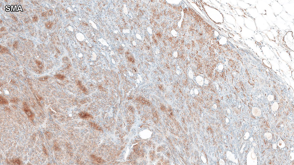
Crushed it! 🎯 The answer: adenomyoepithelioma (AME). AME can sometimes take on a more spindled morphology, as in this case. Shown here: SMA immunohistochemistry 👇 #PathX #PathTwitter #breastpath #PathQuiz

Crushed it! 🎯
The answer: adenomyoepithelioma (AME).

AME can sometimes take on a more spindled morphology, as in this case. Shown here: SMA immunohistochemistry 👇

#PathX #PathTwitter #breastpath #PathQuiz
Raza Hoda MD (@razahoda) 's Twitter Profile Photo

Let’s continue to review low-grade spindle cell lesions of breast this week! Case of Neurofibroma of Breast 🔬 Benign spindle cell lesion with wavy nuclei and collagen bundles—a reminder that not all breast spindle cell lesions are metaplastic. #PathX #PathTwitter #breastpath

Let’s continue to review low-grade spindle cell lesions of breast this week!

Case of Neurofibroma of Breast 🔬

Benign spindle cell lesion with wavy nuclei and collagen bundles—a reminder that not all breast spindle cell lesions are metaplastic.

#PathX #PathTwitter #breastpath
Raza Hoda MD (@razahoda) 's Twitter Profile Photo

Case of Schwannoma of Breast 🔬 A little Antoni A, a little Antoni B, and some Verocay bodies—a textbook nerve sheath tumor in an uncommon site. #PathX #PathTwitter #breastpath

Case of Schwannoma of Breast 🔬

A little Antoni A, a little Antoni B, and some Verocay bodies—a textbook nerve sheath tumor in an uncommon site.

#PathX #PathTwitter #breastpath
Chelsea, MD (@chelseamehr_md) 's Twitter Profile Photo

Intraductal papilloma can present as architectural distortion (AD) on imaging thepathprincess.substack.com/p/intraductal-… Associated sclerosis can contribute to the AD appearance.📷📷 #pathology #pathologist #breastpath #pathX #pathTwitter

Intraductal papilloma can present as architectural distortion (AD) on imaging 

thepathprincess.substack.com/p/intraductal-…

Associated sclerosis can contribute to the AD appearance.📷📷

#pathology #pathologist #breastpath #pathX #pathTwitter
Raza Hoda MD (@razahoda) 's Twitter Profile Photo

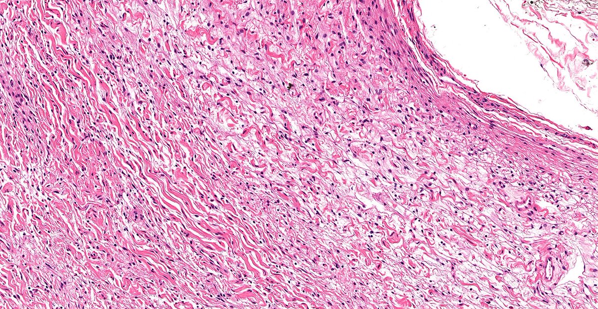
Case of Spindle Cell Lipoma of Breast 🔬 Mix of fat, collagen, and bland spindle cells—a soft tissue classic that’s rare in the breast. #PathX #PathTwitter #breastpath

Case of Spindle Cell Lipoma of Breast 🔬

Mix of fat, collagen, and bland spindle cells—a soft tissue classic that’s rare in the breast.

#PathX #PathTwitter #breastpath
Jasmine Vickery (@vickeryjasmine) 's Twitter Profile Photo

Thoughts on these big cells? Found in the stroma of a mastectomy for extensive DCIS #breastpath #pathx #pathtwitter #pathresidents

Thoughts on these big cells? Found in the stroma of a mastectomy for extensive DCIS #breastpath #pathx #pathtwitter #pathresidents