Onkologia Interwencyjna (@onkointer) 's Twitter Profile
Onkologia Interwencyjna

@onkointer

ID: 890277263903797248

calendar_today26-07-2017 18:26:55

46 Tweet

46 Followers

48 Following

Onkologia Interwencyjna (@onkointer) 's Twitter Profile Photo

Pierwsza w Polsce krioablacja guza płuca w UCK WUM. wum.edu.pl/node/17193 #radiologiainterwencyjna #onkologia #onkologiainterwencyjna

Pierwsza w Polsce krioablacja guza płuca w UCK WUM. wum.edu.pl/node/17193 #radiologiainterwencyjna #onkologia #onkologiainterwencyjna
Monika Majewska (@monikmajewska) 's Twitter Profile Photo

Radiologia interwencyjna: w Polsce opóźnienie względem Zachodu wynosi ponad 20 lat. Bez niej nie osiągniemy takich wyników leczenia, jakie uzyskuje się w krajach zachodnich, nawet jeśli będziemy dysponować nowoczesnymi lekami – mówi dr Grzegorz Rosiak. bit.ly/3v3w77f

Onkologia Interwencyjna (@onkointer) 's Twitter Profile Photo

Onkologia interwencyjna to część radiologii interwencyjnej zajmująca się małoinwazyjnymi zabiegami w leczeniu nowotworów. Dzisiaj (24 października) zaczyna się międzynarodowy Tydzień Świadomości Onkologii Interwencyjnej. #ioawarenessweek #radiologiainterwencyjna #onkologia #SIO

Onkologia interwencyjna to część radiologii interwencyjnej zajmująca się małoinwazyjnymi zabiegami w leczeniu nowotworów. Dzisiaj (24 października) zaczyna się międzynarodowy Tydzień Świadomości Onkologii Interwencyjnej. #ioawarenessweek #radiologiainterwencyjna #onkologia #SIO
David Gyorki (@davidgyorki) 's Twitter Profile Photo

BIOPSY IF SUSPICIOUS! Is the key message from ⁦sylvie bonvalot⁩ demonstrating 100% sensitivity of preoperative percutaneous core biopsy for identifying malignancy in suspicious uterine masses. #ctos2022 ⁦CTOS

BIOPSY IF SUSPICIOUS! Is the key message from ⁦<a href="/SBonvalot/">sylvie bonvalot</a>⁩ demonstrating 100% sensitivity of preoperative percutaneous core biopsy for identifying malignancy in suspicious uterine masses.  #ctos2022 ⁦<a href="/ctosociety/">CTOS</a>⁩
Onkologia Interwencyjna (@onkointer) 's Twitter Profile Photo

Wytyczne NCCN dotyczące mięsaków uaktualnione o osobny rozdział dotyczący onkologii interwencyjnej (radiologii interwencyjnej w onkologii). Bez tej dziedziny nie można obecnie mówić o kompleksowej opiece onkologicznej. #sarcoma #miesaki

Wytyczne NCCN dotyczące mięsaków uaktualnione o osobny rozdział dotyczący onkologii interwencyjnej (radiologii interwencyjnej w onkologii). Bez tej dziedziny nie można obecnie mówić o kompleksowej opiece onkologicznej. #sarcoma #miesaki
Onkologia Interwencyjna (@onkointer) 's Twitter Profile Photo

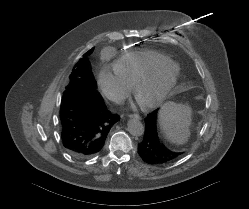
Biopsja gruboigłowa pod kontrolą TK podejrzanej zmiany położonej kilka milimetrów od serca. Wynik - przerzut mięsaka. Zabieg w znieczuleniu miejscowym. #biopsja #onkologiainterwencyjna #radiologiainterwencyjna #CTguidedbiopsy #sarcoma #miesak

Biopsja gruboigłowa pod kontrolą TK podejrzanej zmiany położonej kilka milimetrów od serca. Wynik - przerzut mięsaka. Zabieg w znieczuleniu miejscowym.  #biopsja #onkologiainterwencyjna #radiologiainterwencyjna #CTguidedbiopsy #sarcoma #miesak
Porozumienie Rezydentów OZZL (@rezydenci) 's Twitter Profile Photo

👉🏼 Nie ucichła jeszcze „burza” po skandalicznej wypowiedzi Pana Ministra Przemysława Czarnka, w której stwierdził, że lekarze zostawiają pacjentów, aby wymienić oponę w samochodzie, a już padły kolejne oburzające słowa z jego strony. ❗️Otóż Pan Minister Czarnek uważa, że około

👉🏼 Nie ucichła jeszcze „burza” po skandalicznej wypowiedzi Pana Ministra Przemysława Czarnka, w której stwierdził, że lekarze zostawiają pacjentów, aby wymienić oponę w samochodzie, a już padły kolejne oburzające słowa z jego strony.

❗️Otóż Pan Minister Czarnek uważa, że około
Onkologia Interwencyjna (@onkointer) 's Twitter Profile Photo

Światowy Dzień Walki z Rakiem - w 2019 roku zaczęliśmy intensywne starania o refundację termoablacji i krioablacji guzów płuc, nadnerczy i kości. Wtedy mieliśmy 20 lat opóźnienia do innych krajów UE, teraz 24. ŻADNA metoda leczenia raka w Polsce nie czeka tak długo na refundację

Onkologia Interwencyjna (@onkointer) 's Twitter Profile Photo

Dzisiaj ukazał się nasz artykuł o gruboigłowej biopsji guzów trzustki pod kontrolą TK. Ponad 100 pacjentów, 90% skuteczności i 0% poważnych powikłań. pamw.pl/en/node/16727/…

Onkologia Interwencyjna (@onkointer) 's Twitter Profile Photo

mp.pl/kurier/349027,… Dlaczego Polacy pozostają w ogonie, jeśli chodzi o czas, jaki upływa od rejestracji leku do refundacji? W Polsce to 3 lata. Faktycznie długo. Na refundację ablacji płuc czekamy od 25 lat.

Onkologia Interwencyjna (@onkointer) 's Twitter Profile Photo

Badanie BOOSTER: ablacja ponad dwukrotnie wydłuża kontrolę choroby u wybranych pacjentów z rakiem płuca | Puls Medycyny pulsmedycyny.pl/medycyna/onkol…