WalidoNeuroPedia (@neurowalid) 's Twitter Profile
WalidoNeuroPedia

@neurowalid

Empowering Neuro Education: Tips, research updates & book recommendations for Neuro residents, students & specialists. Unlocking brain mysteries! 🧠🔔#Neurotip

ID: 1780254875407798272

calendar_today16-04-2024 15:20:46

1,1K Tweet

7,7K Followers

225 Following

WalidoNeuroPedia (@neurowalid) 's Twitter Profile Photo

Myasthenia gravis exhibits a bimodal age distribution, with the first peak generally occurring in the second to third decades of life, predominantly affecting women, and the second peak appearing in the sixth to eighth decades, more frequently affecting men. #MyastheniaGravis

Myasthenia gravis exhibits a bimodal age distribution, with the first peak generally occurring in the second to third decades of life, predominantly affecting women, and the second peak appearing in the sixth to eighth decades, more frequently affecting men. #MyastheniaGravis
Neurology Interest Club (@neurologyic) 's Twitter Profile Photo

يسعدنا الإعلان عن إطلاق الحساب الرسمي لنادي المهتمين بطب الأعصاب! 🧠 انضموا إلينا لتكونوا جزءًا من مجتمع يشارك الحديث في عالم الأعصاب. #NeurologyIC

يسعدنا الإعلان عن إطلاق الحساب الرسمي لنادي المهتمين بطب الأعصاب! 🧠

انضموا إلينا لتكونوا جزءًا من مجتمع يشارك الحديث في عالم الأعصاب.

#NeurologyIC
WalidoNeuroPedia (@neurowalid) 's Twitter Profile Photo

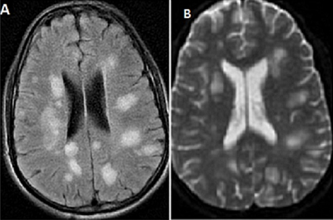
Typical MRI findings in #ADEM: A) Multifocal, bilateral, asymmetric white matter lesions on #FLAIR. B) Hyperintense lesions on #T2 sequences, consistent with CNS inflammation. Additional findings: Rare T1 hypointense lesions and deep grey matter involvement (e.g., thalamus or

Typical MRI findings in #ADEM: A) Multifocal, bilateral, asymmetric white matter lesions on #FLAIR. B) Hyperintense lesions on #T2 sequences, consistent with CNS inflammation. 
Additional findings: Rare T1 hypointense lesions and deep grey matter involvement (e.g., thalamus or
WalidoNeuroPedia (@neurowalid) 's Twitter Profile Photo

💊 The use of AEDs—esp. valproate—is linked to ↑ risk of congenital anomalies. 🤰 However, once pregnancy is confirmed, do not change AED abruptly. 🧪 Start high-dose folic acid & screen with AFP + anatomy US. #neurotip #epilepsy #neurology

💊 The use of AEDs—esp. valproate—is linked to ↑ risk of congenital anomalies.
🤰 However, once pregnancy is confirmed, do not change AED abruptly.
🧪 Start high-dose folic acid & screen with AFP + anatomy US.
#neurotip #epilepsy #neurology
WalidoNeuroPedia (@neurowalid) 's Twitter Profile Photo

🤱 Antiepileptic drug (AED) use is not a contraindication to breastfeeding. ✅ Benefits of breastfeeding outweigh the risks of AED exposure to the infant. 🧠 Encourage breastfeeding when clinically appropriate. #neurotip #epilepsy #neurology #breastfeeding

WalidoNeuroPedia (@neurowalid) 's Twitter Profile Photo

Dr. Herbert Jasper of the Montreal Neurological Institute pioneered the widely accepted 10-20 International System of EEG electrode placement — a cornerstone in neurophysiology. #neurotip #EEG #neurohistory

Dr. Herbert Jasper of the Montreal Neurological Institute pioneered the widely accepted 10-20 International System of EEG electrode placement — a cornerstone in neurophysiology. #neurotip #EEG #neurohistory
Raffaele Di Giacomo, PhD (@sciqst) 's Twitter Profile Photo

WalidoNeuroPedia Indeed, Jasper's work with the 10-20 system represents a substantial advancement in neurophysiology, standardizing EEG practice and enhancing cross-study comparisons. Considering the evolution of neuroimaging, does the increasing use of fMRI and other techniques integrate with