
Saumya Nanda
@nandasaumya
ID: 1900370942
24-09-2013 12:43:12
44 Tweet
125 Takipçi
525 Takip Edilen



We are happy to announce that Nationwide Quality of Care Network has signed an MOU with WISH Foundation India to scale up #QI across #PHC settings.



Witnessing the phenomenal changes in quality of care at DWH Varanasi actively implementing #LaQshya and #NQAS standards .Moving towards setting up of a MNCU .Nationwide Quality of Care Network on-site mentoring with UNICEF India and #NHM UP underway today





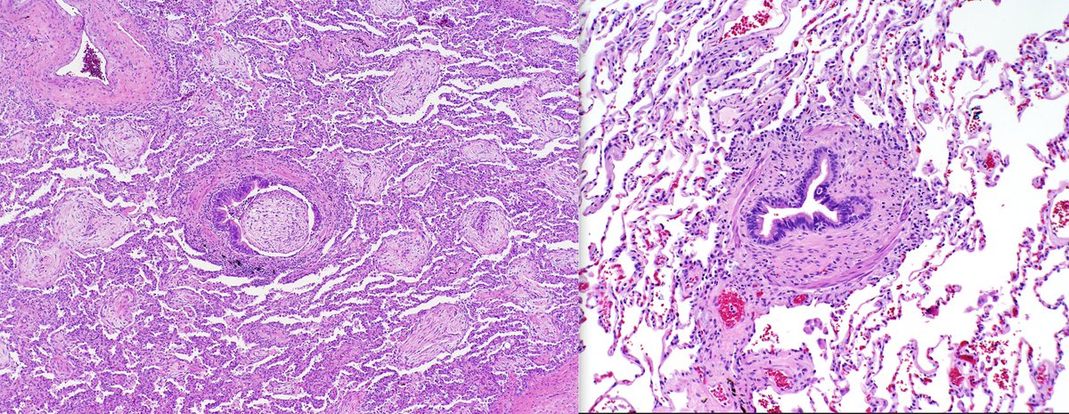
Lung injury patterns which often get confused with each other. Can you name these patterns? Differential? Kamran Mirza MD PhD - کامران مرزا Xiaoyin "Sara" Jiang, MD (She/Her)






When you lose weight, where does the weight actually go? 🤔 Turns out, YOU EXHALE IT FROM YOUR LUNGS AS CO2 🤯 #MedTwitter #MedEd #NutritionMatters 🙏 Love this wisdom from Avraham Z. Cooper, MD 🩺



🌼UG medical & nursing students collaborative across 🇮🇳 nurtured by Nationwide Quality of Care Network recognised by WHO Geneva Quality of Care Network 🌼Read & listen more about them bit.ly/3WDiwzF and here bit.ly/3NFeQcL . Now moving to AFMC Pune Alumni on 19 Nov Ministry of Health PIPSQC ISQua


Was happy to present our cases at AHA 2024! Thanks to all the co-authors! Azka Naeem Saumya Nanda Maimonides Health Maimonides IM #AHA2024



Thankful to all the mentors and co-authors! CRT Meeting Ilya Giverts Azka Naeem Maimonides Health
