محمد عالِم (@mohammedalem_) 's Twitter Profile
محمد عالِم

@mohammedalem_

@ksudental | 📷 @denactivity |

ID: 3375436033

calendar_today28-08-2015 23:11:16

523 Tweet

327 Takipçi

410 Takip Edilen

محمد عالِم (@mohammedalem_) 's Twitter Profile Photo

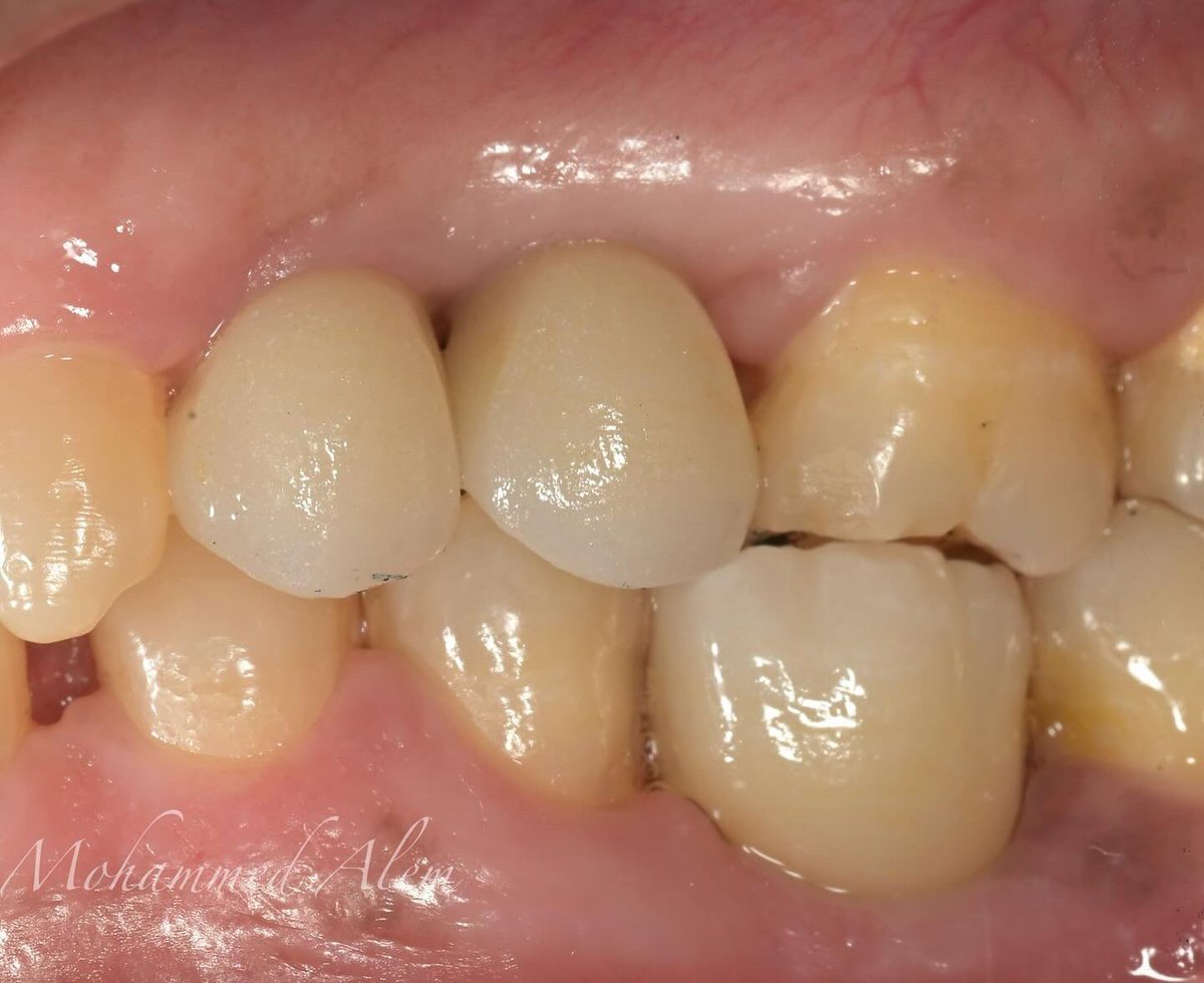
إعادة ترميم لضرسين… Re-RCT, Fiber post and core build up, Prep and temp, Crown lengthening then finally Zirconia Crowns for #37, #36 !

إعادة ترميم لضرسين…
Re-RCT, Fiber post and core build up, Prep and temp, Crown lengthening then finally Zirconia Crowns for #37, #36 !
محمد عالِم (@mohammedalem_) 's Twitter Profile Photo

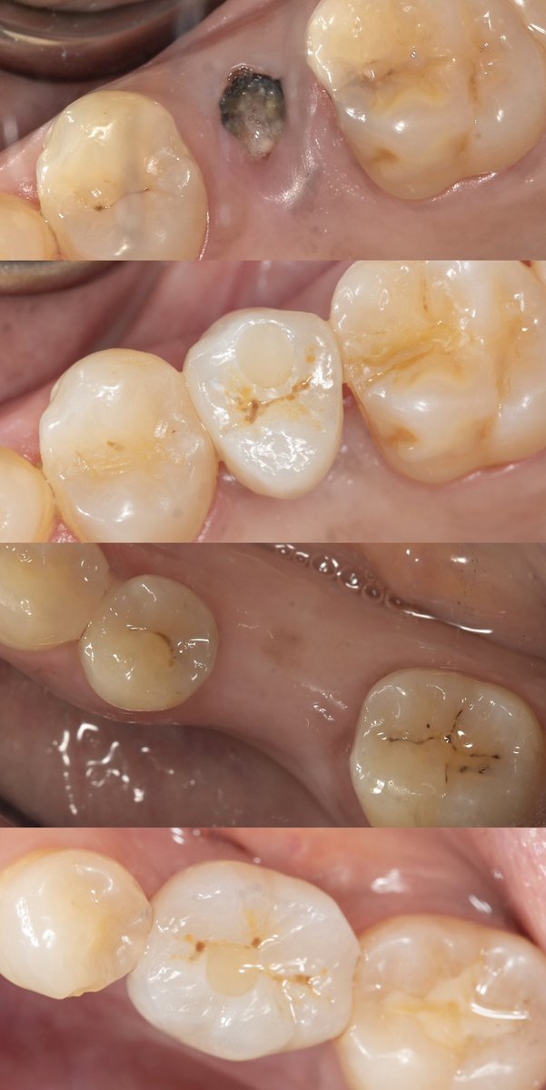
Comprehensive Tx. SRP Extraction and implant for #36 Resto Unfortunately we didn’t have time for the implant crown… going to next years students !

Comprehensive Tx.
SRP
Extraction and implant for #36
Resto
Unfortunately we didn’t have time for the implant crown… going to next years students !
Turki (@drturkiko) 's Twitter Profile Photo

{وَآخِرُ دَعْوَاهُمْ أَنِ الْحَمْدُ لِلَّهِ رَبِّ الْعَالَمِينَ} كُرمت اليوم من معالي رئيس جامعة الملك سعود المكلف، وعميد كلية طب الأسنان لحصولي على جائزة الطالب مثالي على مستوى كلية طب الأسنان الشكر موصول لأهلي وزملائي على دعمهم 🌹

{وَآخِرُ دَعْوَاهُمْ أَنِ الْحَمْدُ لِلَّهِ رَبِّ الْعَالَمِينَ}
كُرمت اليوم من معالي رئيس جامعة الملك سعود المكلف، وعميد كلية طب الأسنان لحصولي على جائزة الطالب مثالي على مستوى كلية طب الأسنان 

الشكر موصول لأهلي وزملائي على دعمهم 🌹
صحيفة سبق الإلكترونية (@sabqorg) 's Twitter Profile Photo

بحضور أكثر من 100 متخصص.. د. ناصر العسيري يختتم بنجاح كبير دورة الجراحات التصحيحية للوجه والفكين sabq.org/saudia/8507uzo…

بحضور أكثر من 100 متخصص.. د. ناصر العسيري يختتم بنجاح كبير دورة الجراحات التصحيحية للوجه والفكين
sabq.org/saudia/8507uzo…
Yasser Alotaibi (@yzzrv) 's Twitter Profile Photo

Glad to share that our latest research article has been published in a Q1 journal! 🎉 Huge thanks to our supervisors and analyst for their guidance and support throughout the journey. mdpi.com/2077-0383/14/9…

Glad to share that our latest research article has been published in a Q1 journal! 🎉

Huge thanks to our supervisors and analyst for their guidance and support throughout the journey. 

mdpi.com/2077-0383/14/9…
abdullah (@am_albaiz) 's Twitter Profile Photo

I'm truly honored to receive the 1st place at the Internship Research Annual Meeting 2025 #IRAM2025 Could not have done it without the support of رزان العقيلي and Musfer Aldossri

I'm truly honored to receive the 1st place at the Internship Research Annual Meeting 2025 
#IRAM2025

Could not have done it without the support of <a href="/rozi_sa/">رزان العقيلي</a>  and <a href="/Musfer373/">Musfer Aldossri</a>
كلية طب الأسنان (@ksudental) 's Twitter Profile Photo

وقد تم تكريم المراكز الثلاثة الأولى في العرض البحثي حيث فاز بالمركز الأول: المجموعة البحثية بقيادة د. رزان العقيلي، عبد الله البيز، بسام العنزي، محمد عالم، ياسر العتيبي وفاز بالمركز الثاني: المجموعة البحثية بقيادة د.نورة السباعي، فيّ المسيطر، غادة جمالي وفاز بالمركز الثالث:

Abdullatif (@abdullatifg_) 's Twitter Profile Photo

اللهم لك الحمد والشكر كما ينبغي لجلال وجهك وعظيم سلطانك🙏🏻 أسأل الله أن يجعلها بداية خير ونجاح، وأن يوفقني لما يحب ويرضى، وينفعني وينفع بي. #matching2025

اللهم لك الحمد والشكر كما ينبغي لجلال وجهك وعظيم سلطانك🙏🏻
أسأل الله أن يجعلها بداية خير ونجاح، وأن يوفقني لما يحب ويرضى، وينفعني وينفع بي.

#matching2025