Mody (@mody97669906) 's Twitter Profile
Mody

@mody97669906

ID: 1430915010633469952

calendar_today26-08-2021 15:28:58

78 Tweet

38 Followers

451 Following

Charles Herndon (@drcyclopath) 's Twitter Profile Photo

Vulvovaginal spindle cell lesion in a 25 yo. Diagnosis? a) angiomyofibroblastoma b) deep angiomyxoma c) cellular angiofibroma d) fibroepithelial stromal polyp #GYNPath #BSTPath #PathTwitter #Pathology #DermPath dpa-dapa.com/public/display…

Vulvovaginal spindle cell lesion in a 25 yo. Diagnosis?
a) angiomyofibroblastoma
b) deep angiomyxoma
c) cellular angiofibroma
d) fibroepithelial stromal polyp
#GYNPath #BSTPath #PathTwitter #Pathology #DermPath
dpa-dapa.com/public/display…
Sanjeev Sethi (@sethirenalpath) 's Twitter Profile Photo

Crystalline light chain myeloma kidney! LM- Tubules filled with PAS negative casts. Trichrome stain shows casts with needle shaped crystals. IF: Casts +++ for kappa, neg for lambda. EM: Tubules contain needle shaped crystals. 80-yr with diabetes, HTN, renal mass, AKI, Cr 7.5

Crystalline light chain myeloma kidney!

LM- Tubules filled with PAS negative casts. Trichrome stain shows casts with needle shaped crystals.

IF: Casts +++ for kappa, neg for lambda.

EM: Tubules contain needle shaped crystals.

80-yr with diabetes, HTN, renal mass, AKI, Cr 7.5
Sam Albadri, M.D., M.Sc. (@sam_albadri) 's Twitter Profile Photo

Ultrastructural images reveal significant multilayering of peritubular basement membranes and margination of mononuclear cells within the lumina, supporting the diagnosis of active chronic antibody-mediated rejection Renal Pathology Society Mayo Clinic Nephrology Mayo Clinic Pathology

Ultrastructural images reveal significant multilayering of peritubular basement membranes and margination of mononuclear cells within the lumina, supporting the diagnosis of active chronic antibody-mediated rejection <a href="/Renalpathsoc/">Renal Pathology Society</a> <a href="/MayoClinicNeph/">Mayo Clinic Nephrology</a> <a href="/MayoClinicPath/">Mayo Clinic Pathology</a>
Jonathan Zuckerman MD PhD (@jzrenalpath) 's Twitter Profile Photo

Nice example of medullary angiitis in a case of crescentic pauci immune GN. Characteristic findings include interstitial hemorrhage + PMN rich leukocyte infiltration and karyorrhectic debris. Can also be seen with IgAN, AIN, and cryoGN. #renalpath #nephrology #pathtwitter

Nice example of medullary angiitis in a case of crescentic pauci immune GN. Characteristic findings include interstitial hemorrhage + PMN rich leukocyte infiltration and karyorrhectic debris. Can also be seen with IgAN, AIN, and cryoGN.  #renalpath #nephrology #pathtwitter
Ziad El-Zaatari (@ziad_zaatari) 's Twitter Profile Photo

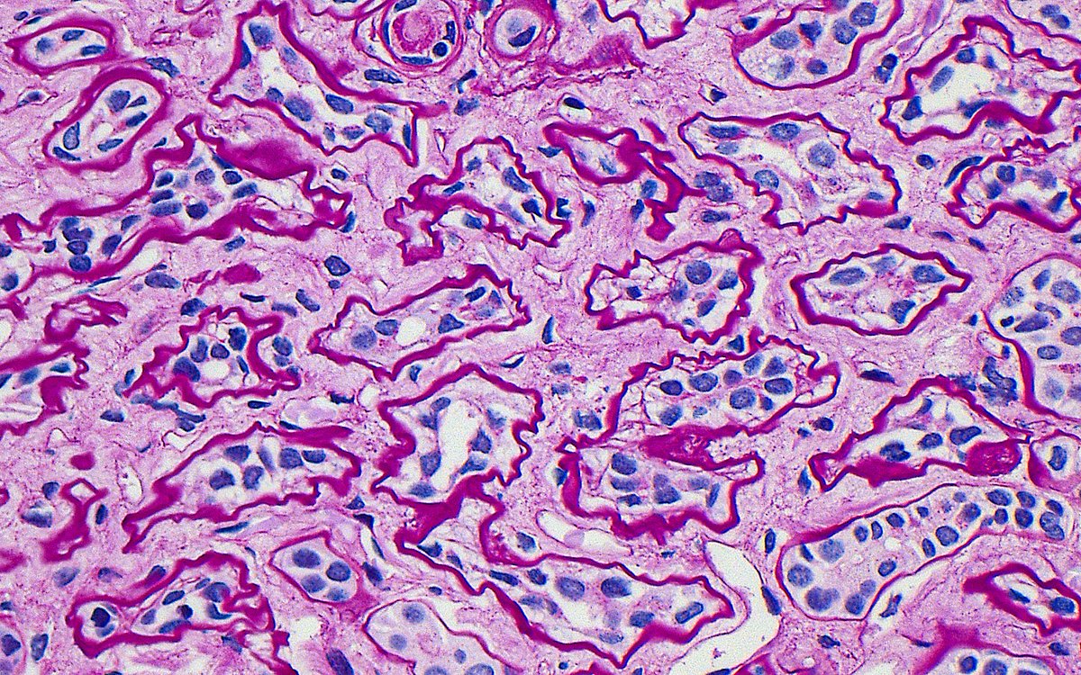
🔬 Renal Tubular Atrophy ~ Tubules with wrinkled and thickened basement membranes and reduced luminal areas ~ #RenalPath #Pathology #Kidney

🔬 Renal Tubular Atrophy ~ Tubules with wrinkled and thickened basement membranes and reduced luminal areas ~ #RenalPath #Pathology #Kidney
Pathology mcqs (@pathology_mcqs) 's Twitter Profile Photo

WT1 Staining Patterns: Why Location Matters! WT1 expression varies across tumors—nuclear C-terminal WT1+ in DSRCT, nuclear N-terminal WT1+ in serous carcinoma & Wilms tumor, and cytoplasmic WT1+ in vascular tumors & myofibroblastomas.

WT1 Staining Patterns: Why Location Matters!

WT1 expression varies across tumors—nuclear C-terminal WT1+ in DSRCT, nuclear N-terminal WT1+ in serous carcinoma &amp; Wilms tumor, and cytoplasmic WT1+ in vascular tumors &amp; myofibroblastomas.
Jay Hwang (@path4people) 's Twitter Profile Photo

Sorry 😣 , It’s been a awhile but… If you have nothing to do on the weekend, 🤠 Well…go view AMAZING Kurt’s Kurt Schaberg Notes on Molecular Pathology via video 🧬#pathagonia 👇 #pathx Cole Biehl DO #molecular #molecularpathology #pathtwitter youtu.be/3KnHk1vTHg8

Janira Navarro (@janiranavarro) 's Twitter Profile Photo

Biliary tract biopsy-10 tips to recognize cancer when conventional criteria fail you 1. Dysplasia does not produce a stricture, this finding almost always represent carcinoma 2. Most adenocarcinomas do not elicit desmoplasia when invading the mucosa 3. Abrupt transitions between

Biliary tract biopsy-10 tips to recognize cancer when conventional criteria fail you

1. Dysplasia does not produce a stricture, this finding almost always represent carcinoma
2. Most adenocarcinomas do not elicit desmoplasia when invading the mucosa
3. Abrupt transitions between
Nooshin Dashti MD (@nooshin_dashti) 's Twitter Profile Photo

Beautiful case of Clear cell chondrosarcoma. Note the round to polygonal cells with abundant eosinophilic to clear cytoplasm, and trabeculae of woven bone. #ISBSTP #BST

Beautiful  case of Clear cell chondrosarcoma. Note the round to polygonal cells with abundant eosinophilic to clear cytoplasm, and trabeculae of woven bone. #ISBSTP #BST
Elizabeth Montgomery, MD (@lizmontgomerymd) 's Twitter Profile Photo

Here in the 305, we know syphilis proctitis. On immunostaining, It's is easier to interpret AEC (3-Amino-9-Ethylcarbazole); it produces red staining of the organisms. The brown DAB (3,3' Diaminobenzidine) staining in organisms appears similar to normal anal melanocytic processes.

Here in the 305, we know syphilis proctitis. On immunostaining, It's is easier to interpret AEC (3-Amino-9-Ethylcarbazole); it produces red staining of the organisms. The brown DAB (3,3' Diaminobenzidine) staining in organisms appears similar to normal anal melanocytic processes.
Janira Navarro (@janiranavarro) 's Twitter Profile Photo

Usual Ductal Hyperplasia-helpful HE clues - Nuclei is variable and touch the lumina (pic 1) - Pink intranuclear pseudoinclusions (pic 2) - Nuclear grooves (pic 3) Dr. Cimino-Mattews-Contemporary issues in Breast Pathology #USCAP #PathX #pathology

Usual Ductal Hyperplasia-helpful HE clues

- Nuclei is variable and touch the lumina (pic 1)
- Pink intranuclear pseudoinclusions (pic 2)
- Nuclear grooves (pic 3)

Dr. Cimino-Mattews-Contemporary issues in Breast Pathology #USCAP #PathX #pathology
MyelomaLymphoma (@henrychihangfu1) 's Twitter Profile Photo

Not all MYC lymphomas are Burkitt. A simple way to approach high-grade B-cell lymphoma: 1. High Ki-67 → suspect aggressive lymphoma 2. Check MYC (FISH) If MYC rearranged: → Check BCL2 • BCL2 negative → Burkitt lymphoma • BCL2 positive → Double Hit lymphoma

Not all MYC lymphomas are Burkitt.

A simple way to approach high-grade B-cell lymphoma:

1. High Ki-67 → suspect aggressive lymphoma  
2. Check MYC (FISH)  

If MYC rearranged:  
→ Check BCL2  

• BCL2 negative → Burkitt lymphoma  
• BCL2 positive → Double Hit lymphoma