Mauro Gitto (@mauro_gitto) 's Twitter Profile
Mauro Gitto

@mauro_gitto

MD, Research Fellow at @IcahnMountSinai Cardiology Resident at @HumanitasMilano

ID: 2183031652

calendar_today16-11-2013 10:22:37

90 Tweet

205 Takipçi

408 Takip Edilen

Mauro Gitto (@mauro_gitto) 's Twitter Profile Photo

TCT 208: ‘Accuracy of Quantitative Coronary Angiography and Visual Assessment for predicting functional significance of stenosis in women with chronic coronary syndrome’. Great team work! Elissa Altin Roy Taoutel, MD Yale Cardiology TCT Conference #TCTConnect

TCT 208: ‘Accuracy of Quantitative Coronary Angiography and Visual Assessment for predicting functional significance of stenosis in women with chronic coronary syndrome’. 

Great team work! <a href="/sealtin1/">Elissa Altin</a> <a href="/RoyTaoutel/">Roy Taoutel, MD</a> <a href="/YaleCardiology/">Yale Cardiology</a> 
<a href="/TCTConference/">TCT Conference</a> #TCTConnect
Reviews in Cardiovascular Medicine (@rcmjournal) 's Twitter Profile Photo

🎄🔊#RCM - Vol. 22 No. 4 (6/62) 💎Review #Etiology, #epidemiology, #pathophysiology and management of #TricuspidRegurgitation: an overview Francesco Condello Giulio Stefanini Mauro Gitto rcm.imrpress.com/EN/10.31083/j.…

🎄🔊#RCM - Vol. 22 No. 4 (6/62)
💎Review
#Etiology, #epidemiology, #pathophysiology and management of #TricuspidRegurgitation: an overview

<a href="/fracond_94/">Francesco Condello</a> <a href="/GGStefanini/">Giulio Stefanini</a> <a href="/mauro_gitto/">Mauro Gitto</a> 

rcm.imrpress.com/EN/10.31083/j.…
Italian Cardiologists Of Tomorrow (@italian_cot) 's Twitter Profile Photo

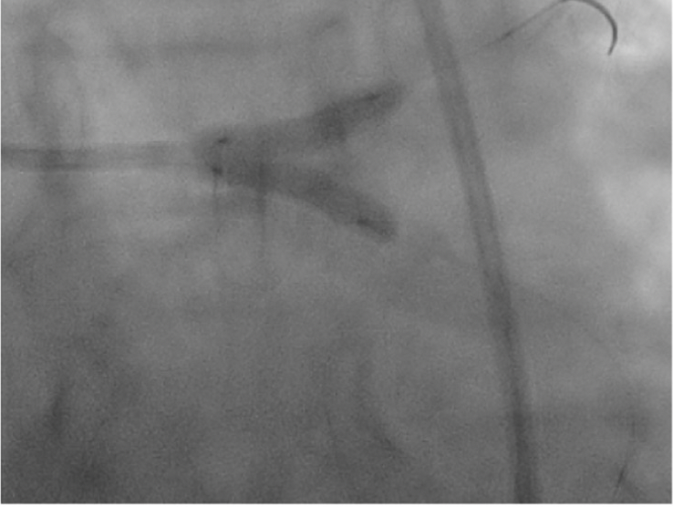
🫀Left anterior descending coronary artery occlusion after balloon aortic valvuloplasty Read at tinyurl.com/mrxznm2a #cardiology #interventionalcardiology #cardiologyfellow #cardiologia #echocardiography #cathlab #ECG #cardiovascular #electrocardiography #cardiac #ITcardiology

🫀Left anterior descending coronary artery occlusion after balloon aortic valvuloplasty
Read at tinyurl.com/mrxznm2a
#cardiology #interventionalcardiology #cardiologyfellow #cardiologia #echocardiography #cathlab #ECG #cardiovascular #electrocardiography #cardiac #ITcardiology
Elissa Altin (@sealtin1) 's Twitter Profile Photo

Congratulations to our team Mauro Gitto Roy Taoutel, MD and the YCRG core lab for using novel QFR in women with stable coronary syndromes. Novel wire free assessments of coronary hemodynamics are powerful.

Mauro Gitto (@mauro_gitto) 's Twitter Profile Photo

Biochemical efficacy of #SGLT2 inhibitors by cardiovascular risk profile and volume status in a real-world diabetic population. Just accepted in Journal of Cardiovascular Pharmacology. Take a look! journals.lww.com/cardiovascular…

Mauro Gitto (@mauro_gitto) 's Twitter Profile Photo

In the study by Lennert Minten, CAD presence and ⬆️ SS in TAVR candidates were associated with ⬆️ all-cause and CV death at 5y. However, PCI and completeness of revasc had no impact of mortality. Have a look at our editorial 👉 jacc.org/doi/10.1016/j.… Giulio Stefanini JACC Journals

In the study by <a href="/MintenLennert/">Lennert Minten</a>, CAD presence and ⬆️ SS in TAVR candidates were associated with ⬆️ all-cause and CV death at 5y. However, PCI and completeness of revasc had no impact of mortality.

Have a look at our editorial 👉 jacc.org/doi/10.1016/j.… <a href="/GGStefanini/">Giulio Stefanini</a> <a href="/JACCJournals/">JACC Journals</a>
Reviews in Cardiovascular Medicine (@rcmjournal) 's Twitter Profile Photo

#RCM-Special Issue: Present and future of #tricuspid #regurgitation (1/5) 🚂Etiology, epidemiology, pathophysiology and management of tricuspid regurgitation: an overview Francesco Condello Mauro Gitto Giulio Stefanini #tricuspidregurgitation #TR Full Text imrpress.com/journal/RCM/22…

#RCM-Special Issue: Present and future of #tricuspid #regurgitation (1/5)

🚂Etiology, epidemiology, pathophysiology and management of tricuspid regurgitation: an overview
<a href="/fracond_94/">Francesco Condello</a> <a href="/mauro_gitto/">Mauro Gitto</a> <a href="/GGStefanini/">Giulio Stefanini</a> 

#tricuspidregurgitation #TR

Full Text
imrpress.com/journal/RCM/22…
Pier Pasquale Leone (@leoneppmd) 's Twitter Profile Photo

Fantastic opportunity to present new #DCB 3.0 registry data from Humanitas Milano Exciting sessions including: - Everolimus-eluting 🎈 - SCB vs. PCB - TRANSFORM I So much more coming! Antonio Colombo Bernardo Cortese #BrunoScheller #PatrickSerruys #ManelSabatè

Fantastic opportunity to present new  #DCB 3.0 registry data from <a href="/HumanitasMilano/">Humanitas Milano</a>

Exciting sessions including:
- Everolimus-eluting 🎈 
- SCB vs. PCB
- TRANSFORM I 

So much more coming!

<a href="/Antocol17/">Antonio Colombo</a> <a href="/BernardCortese/">Bernardo Cortese</a> #BrunoScheller #PatrickSerruys #ManelSabatè
American College of Cardiology (@accintouch) 's Twitter Profile Photo

The #ACCBOT has approved the College's newest officers and trustees who will assume their roles in March 2025 following #ACC25 in Chicago, IL. Congratulations Christopher Kramer MD, Dr Roxana Mehran, Sam O. Jones and Geoffrey Rose! 🎉 Read more: bit.ly/3zQHcOl #ACCLeadership

The #ACCBOT has approved the College's newest officers and trustees who will assume their roles in March 2025 following #ACC25 in Chicago, IL.

Congratulations <a href="/ChrisKramerMD/">Christopher Kramer MD</a>, <a href="/Drroxmehran/">Dr Roxana Mehran</a>, <a href="/SamOJonesMD/">Sam O. Jones</a> and <a href="/garosemd/">Geoffrey Rose</a>! 🎉 

Read more: bit.ly/3zQHcOl #ACCLeadership
PCRonline 🫀 (@pcronline) 's Twitter Profile Photo

#EAPCI/PCR Journal Club: A randomised trial of sirolimus- versus paclitaxel-coated balloons for de novo coronary lesions Mauro Gitto & Nicola Ryan review ✍️this study which compares a novel sirolimus-coated with a clinically proven paclitaxel-coated 🎈 demonstrating

#EAPCI/PCR Journal Club: A randomised trial of sirolimus- versus paclitaxel-coated balloons for de novo coronary lesions

<a href="/mauro_gitto/">Mauro Gitto</a> &amp; <a href="/NicolaRyanI1/">Nicola Ryan</a> review ✍️this study which compares a novel sirolimus-coated with a  clinically proven paclitaxel-coated 🎈 demonstrating