Matteo Putra (@matteo_putra97) 's Twitter Profile
Matteo Putra

@matteo_putra97

🇮🇩 -third year student @wt_hpgh PhD programme @EdinburghUni. Investigating if disease tolerance delays anti-parasite immunity in human malaria.

ID: 1500104140311212032

calendar_today05-03-2022 13:41:28

30 Tweet

48 Followers

76 Following

Matteo Putra (@matteo_putra97) 's Twitter Profile Photo

1 month spent in Jakarta and I noticed that most people wear a mask (some FFP2) everywhere they go to, especially indoor spaces. It's like a slap of reality to me (I admit, I had been lenient with my mask wearing in the UK). Will carry over this strict mask-wearing behaviour.

Matteo Putra (@matteo_putra97) 's Twitter Profile Photo

If I can get £1 every time I get asked 'why don't you become a medical doctor instead', I'd already be close to a millionaire

Matteo Putra (@matteo_putra97) 's Twitter Profile Photo

The fact that the NHS Scotland's vaccination record saved my inter-city journey in Indonesia coz the local vaccination record app is down 🤳🤳

Edinburgh Infectious Diseases (@edin_eid) 's Twitter Profile Photo

We're recruiting!! Wellcome Hosts, Pathogens and Global Health PhD programme @sbsated @edinburghuni - fully funded 4-year programme Closing date 12 January 2023 to start in October 2023 All details here ➡️ edin.ac/3Yeu3Gw

We're recruiting!!  <a href="/wellcometrust/">Wellcome</a> Hosts, Pathogens and Global Health PhD programme @sbsated @edinburghuni - fully funded 4-year programme 

Closing date 12 January 2023 to start in October 2023

All details here ➡️ edin.ac/3Yeu3Gw
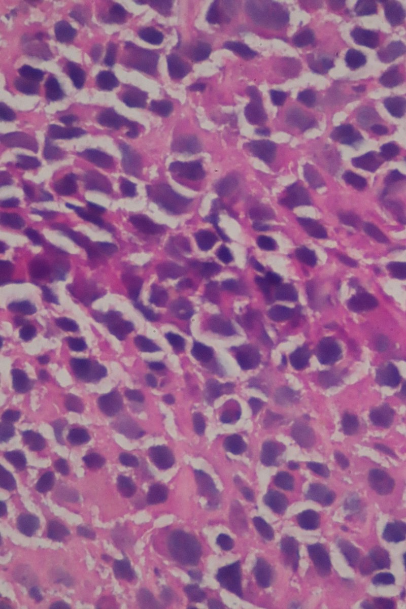
Matteo Putra (@matteo_putra97) 's Twitter Profile Photo

Very pretty cryostat slice - H&E stained - of mouse spleen! (The only thing is that ALL RBCs somehow disappeared from the slice)

Very pretty cryostat slice - H&amp;E stained - of mouse spleen! (The only thing is that ALL RBCs somehow disappeared from the slice)
Matteo Putra (@matteo_putra97) 's Twitter Profile Photo

Everytime I pass by a specific corridor in my building, I get greeted by the smell of agar and I genuinely love it (it rouses my appetite???) Wonder why

Oxford Vaccine Group (@oxfordvacgroup) 's Twitter Profile Photo

Could you help us understand malaria infection? We are looking for volunteers to help us understand how our immune systems respond to repeated infection with malaria. All participants will be reimbursed for their time, inconvenience & travel up to £9,955. Sign up now ⬇️