Behnas Malek F.Z (@malakbehnas) 's Twitter Profile
Behnas Malek F.Z

@malakbehnas

Pathologist 🔬

ID: 1393587600984875012

calendar_today15-05-2021 15:22:43

1,1K Tweet

601 Takipçi

456 Takip Edilen

Med Amine, MD 🔬 (@drmerm) 's Twitter Profile Photo

#AssisesPathologie #Toulouse2025 #Pathologie #Anapath #Médecine #CongrèsMédical #Sarcome #SoftTissue #PathologistLife #ScienceEnDirect #MedTwitter #AIP #PathTwitter

#AssisesPathologie #Toulouse2025 #Pathologie #Anapath #Médecine #CongrèsMédical #Sarcome #SoftTissue #PathologistLife #ScienceEnDirect #MedTwitter #AIP #PathTwitter
Janira Navarro (@janiranavarro) 's Twitter Profile Photo

Eosinophilic Esophagitis What do we count? -Nucleated eosinophils What about non-nucleated eosinophils? Dr. Moreira recommends counting just nucleated eosinophils Dr. Moreira #USCAP25 #pathology #PathX

Eosinophilic Esophagitis
What do we count?
-Nucleated eosinophils

What about non-nucleated eosinophils?
Dr. Moreira recommends counting just nucleated eosinophils

Dr. Moreira #USCAP25 #pathology #PathX
GU Pathology Society (GUPS) (@gu_path_society) 's Twitter Profile Photo

**GUPS Distinguished Lecture Series** Urothelial carcinoma pathogenesis - insights from genomic analysis and whole organ mapping By Dr. Bogdan Czerniak MD Anderson Cancer Center Register at us02web.zoom.us/webinar/regist… The webinar will later be available on the GUPS Website.

**GUPS Distinguished Lecture Series**

Urothelial carcinoma pathogenesis - insights from genomic analysis and whole organ mapping

By Dr. Bogdan Czerniak
MD Anderson Cancer Center

Register at 
us02web.zoom.us/webinar/regist…

The webinar will later be available on the GUPS Website.
Behnas Malek F.Z (@malakbehnas) 's Twitter Profile Photo

Grunlar cell tumor (Abrikossoff tumor) 🔬 ▪️Uncommon breast tumor with peripheral nerve sheath (Schwannian) differentiation ▪️Large epithelioid cells with bland nuclear features and abundant eosinophilic cytoplasm rich in granules ▪️S100 is strongly and diffusely +

Grunlar cell tumor (Abrikossoff tumor) 🔬

▪️Uncommon breast tumor with peripheral nerve sheath (Schwannian) differentiation
▪️Large epithelioid cells with bland nuclear features and abundant eosinophilic cytoplasm rich in granules
▪️S100 is strongly and diffusely +
Société Française de Pathologie (@sfpathol) 's Twitter Profile Photo

🌞 L'Agora est de retour ! 👥 L’espace Agora vous accueillera à nouveau du 19 au 21 novembre 2025 au CNIT Paris La Défense ! ✅ Consultez le programme en ligne : lnkd.in/df7W6BB 🗓️ Rendez‑vous du 19 au 21 novembre 2025 à Paris La Défense !

Behnas Malek F.Z (@malakbehnas) 's Twitter Profile Photo

Ever seen a viral party in your skin? Say hello to molluscum contagiosum! Under the microscope 🔬.It's all about the Henderson-Patterson bodies—giant, eosinophilic inclusion bodies packed with viral DNA like little viral hoarders. #Dermpath #pathology

Ever seen a viral party in your skin?

Say hello to molluscum contagiosum! Under the microscope 🔬.It's all about the Henderson-Patterson bodies—giant, eosinophilic inclusion bodies packed with viral DNA like little viral hoarders.

 #Dermpath #pathology
Miruna Popescu, MD (@mirunapopescu13) 's Twitter Profile Photo

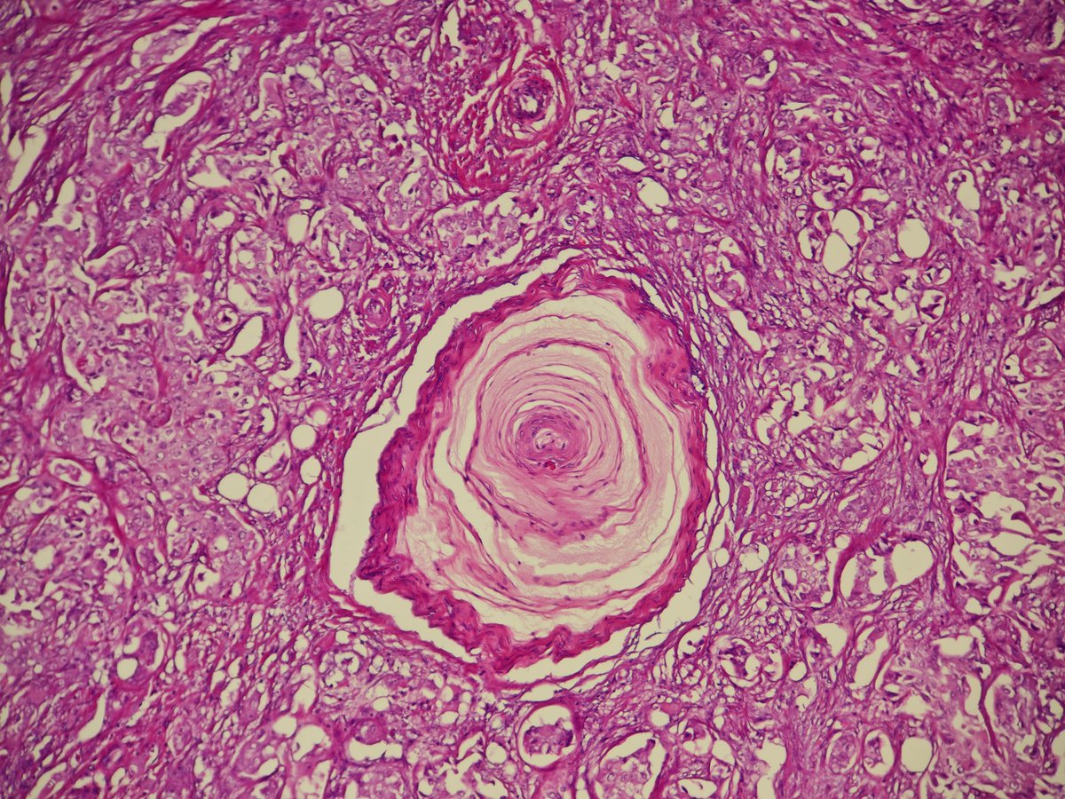
You've seen it in the prostate, now in the breast. Breast carcinoma surrounding Pacinian corpuscle. x.com/MirunaPopescu1… #PathTwitter #Breastpath

You've seen it in the prostate, now in the breast.
Breast carcinoma surrounding Pacinian corpuscle.

x.com/MirunaPopescu1…

#PathTwitter #Breastpath