Muhammad Azam (@majju33) 's Twitter Profile
Muhammad Azam

@majju33

ID: 235698976

calendar_today08-01-2011 21:47:25

245 Tweet

128 Takipçi

519 Takip Edilen

Brigham and Women's Pathology (@bwhpath) 's Twitter Profile Photo

Hello and welcome to the Gross Case of the Week! This case displays very rare uterine mass. Can you name the lesion seen here? #GrossCOTW #PathAssist #BWHGynPathSummer 1/5

Hello and welcome to the Gross Case of the Week! This case displays very rare uterine mass. Can you name the lesion seen here? #GrossCOTW #PathAssist #BWHGynPathSummer 1/5
Jerad Gardner, MD (@jmgardnermd) 's Twitter Profile Photo

Can you make diagnosis from one pic, or is it #TooCloseToDiagnose? WSI digital slide: kikoxp.com/posts/10777. Answer & explanation: kikoxp.com/posts/10778. Video: kikoxp.com/posts/3764. #pathology #pathologists #pathTwitter #dermpath #dermatology #dermatologia #dermtwitter

Can you make diagnosis from one pic, or is it #TooCloseToDiagnose? WSI digital slide: kikoxp.com/posts/10777. Answer & explanation: kikoxp.com/posts/10778. Video: kikoxp.com/posts/3764. #pathology #pathologists #pathTwitter #dermpath #dermatology #dermatologia #dermtwitter
Jerad Gardner, MD (@jmgardnermd) 's Twitter Profile Photo

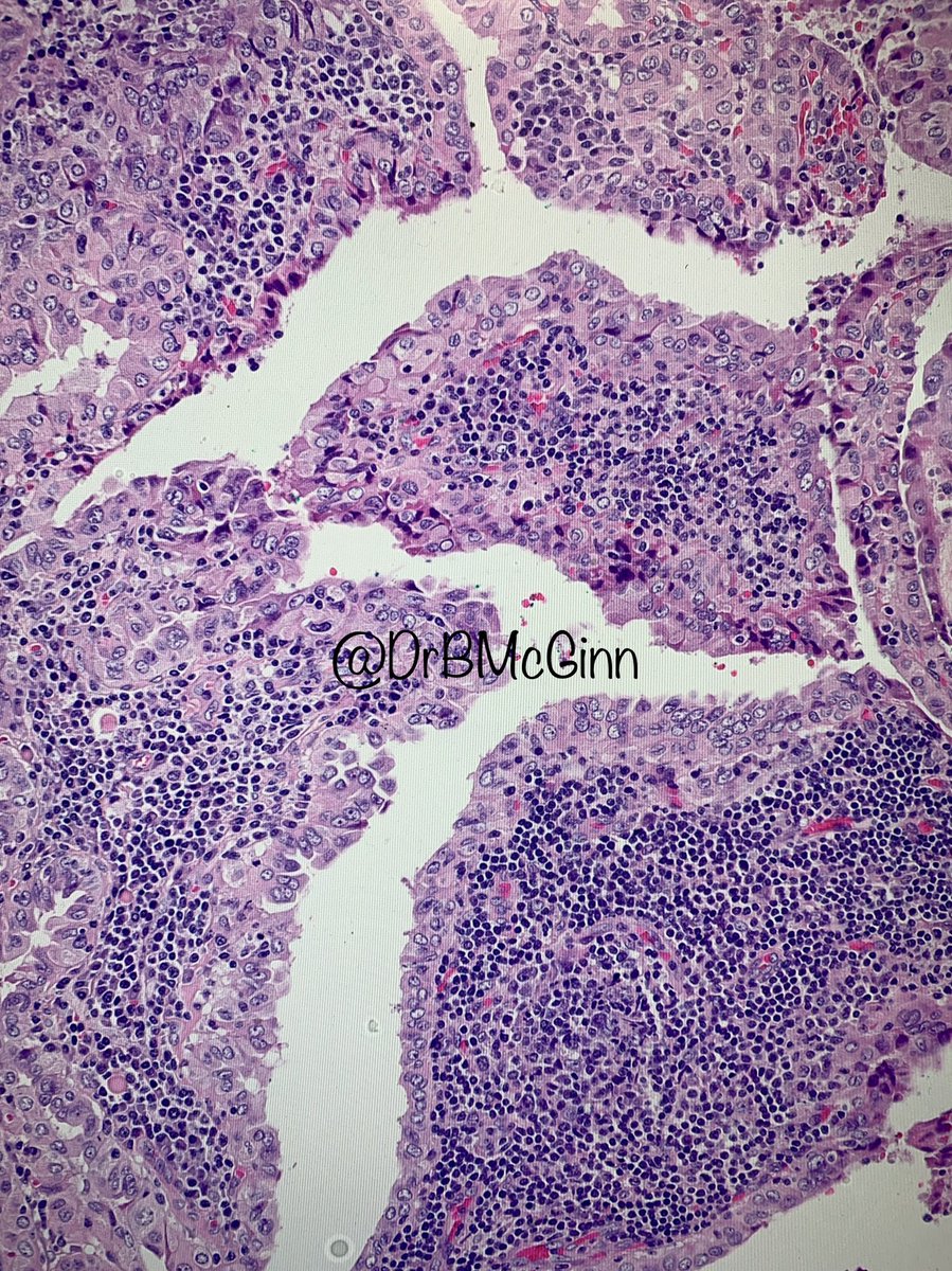
75 yo M. Enlarged axillary lymph nodes. Your diagnosis? Digital slides: kikoxp.com/posts/8124. Answer & video: kikoxp.com/posts/8436. #pathology #pathologists #pathTwitter #dermpath #dermatology #dermtwitter #hemepath

75 yo M. Enlarged axillary lymph nodes. Your diagnosis? Digital slides: kikoxp.com/posts/8124. Answer & video: kikoxp.com/posts/8436. #pathology #pathologists #pathTwitter #dermpath #dermatology #dermtwitter #hemepath
Jerad Gardner, MD (@jmgardnermd) 's Twitter Profile Photo

45 yo M. Thumb "cyst". Treacherous tumor...don't miss it! Digital slide: kikoxp.com/posts/6976. Answer & Video: kikoxp.com/posts/8379. Handout & sample #pathology report: kikoxp.com/posts/8380. #pathologists #pathTwitter #dermpath #dermatology #dermatologia #dermtwitter

45 yo M. Thumb "cyst". Treacherous tumor...don't miss it! Digital slide: kikoxp.com/posts/6976. Answer & Video: kikoxp.com/posts/8379. Handout & sample #pathology report: kikoxp.com/posts/8380. #pathologists #pathTwitter #dermpath #dermatology #dermatologia #dermtwitter
Jerad Gardner, MD (@jmgardnermd) 's Twitter Profile Photo

12 yo M with 3 cm prox tibia epiphyseal lytic bone lesion, demarcated w sclerotic rim. Your diagnosis? WSI digital slide: kikoxp.com/posts/4604. Answer & video: kikoxp.com/posts/9336. #BSTpath #radpathmatch #radiology #pathology #pathTwitter #orthotwitter

12 yo M with 3 cm prox tibia epiphyseal lytic bone lesion, demarcated w sclerotic rim. Your diagnosis? WSI digital slide: kikoxp.com/posts/4604. Answer & video: kikoxp.com/posts/9336. #BSTpath #radpathmatch #radiology #pathology #pathTwitter #orthotwitter
Henry YANG (@henryy_md) 's Twitter Profile Photo

For all #pathlogy #pathologists friends out there, please vote for my dear friend Jim Jim Zhai for CAP president-elect. I have known him for many years, an excellent pathologist, a good friend and above all, a wonderful human being! he has all my vote and support, go Jim!

Pembe Oltulu, MD (@pembeoltulu) 's Twitter Profile Photo

Tonight is the official fundraising night for #Turkeysyriearthquake victims, you can help AFAD and Türk Kızılay accounts. #TurkeyEarthquake #Fundraisingevent #earthquake

Tonight is the official fundraising night for #Turkeysyriearthquake victims, you can help <a href="/AFADBaskanlik/">AFAD</a> and <a href="/Kizilay/">Türk Kızılay</a> accounts.
#TurkeyEarthquake #Fundraisingevent #earthquake
Ankur Sangoi (@slusagar) 's Twitter Profile Photo

#GUpath nephrectomy: uncommon adenomatous pattern chromophobe RCC usually👀background more typical chromoRCC elements & stains as chromoRCC 😲when not recognized or on core bx🚨, DDx widens significantly (other pink renal tumors, urothelial ca w/glandular diff, mets) ⏬ref's

#GUpath nephrectomy:
uncommon adenomatous pattern chromophobe RCC

usually👀background more typical chromoRCC elements &amp; stains as chromoRCC

😲when not recognized or on core bx🚨, DDx widens significantly (other pink renal tumors, urothelial ca w/glandular diff, mets)

⏬ref's
Murali Varma (@muraliv72899596) 's Twitter Profile Photo

Why is prostate sampling so unique? Radical prostatectomies are the only resection specimens routinely submitted in total for histological examination with significant workload implications for pathologists and laboratories. Is this really necessary?

Why is prostate sampling so unique? Radical prostatectomies are the only resection specimens  routinely submitted in total for histological examination with significant workload implications for pathologists and laboratories. Is this really necessary?
Gloria Sura, MD (@gloria_suramd) 's Twitter Profile Photo

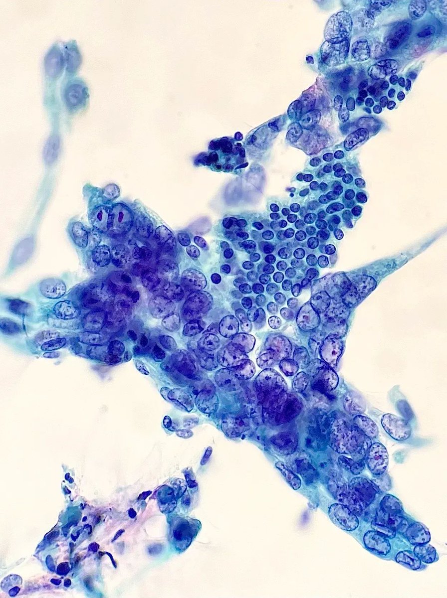
Endoscopic fine needle aspiration of a mass in the head of the pancreas. What is the diagnosis? Answer: buff.ly/3UwLe6G #PathArt #PathTwitter #Cytopath #Pathology

Endoscopic fine needle aspiration of a mass in the head of the pancreas. What is the diagnosis? Answer: buff.ly/3UwLe6G
#PathArt #PathTwitter #Cytopath #Pathology
Janira Navarro (@janiranavarro) 's Twitter Profile Photo

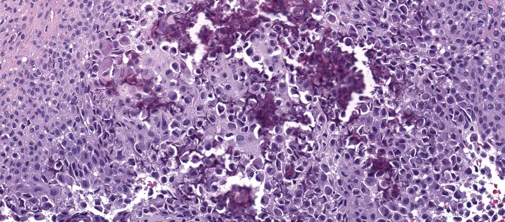
#JobPrepBootcamp Lymphoma-skin Top heavy: Likely T-cells Bottom heavy: Likely B-cells Work-up (see pic below) Dr. Nagarajan #PathX #PathTwitter #pathology

#JobPrepBootcamp
Lymphoma-skin
Top heavy: Likely T-cells
Bottom heavy: Likely B-cells
Work-up (see pic below)

Dr. Nagarajan #PathX #PathTwitter #pathology
Professor Richard Scolyer AO (@profrascolyer) 's Twitter Profile Photo

Late last year, I was profiled by Susan Chenery for Guardian Australia on my emotional journey since my brain cancer was diagnosed in May 2023. We also talked about the process of writing my memoir Brainstorm with Garry Maddox and how it turned out to be more joyful than I

Late last year, I was profiled by Susan Chenery for Guardian Australia on my emotional journey since my brain cancer was diagnosed in May 2023. We also talked about the process of writing my memoir Brainstorm with Garry Maddox and how it turned out to be more joyful than I
Janira Navarro (@janiranavarro) 's Twitter Profile Photo

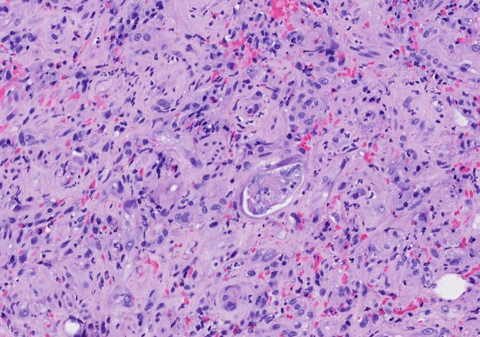
Non-neoplastic gastric pathology problems 57 yo M with a gastric ulcer and history of liver transplant Malignant...or maybe not? Final diagnosis: 90Y-TheraSpheres associated gastric ulcer Clues for diagnosis -Therasphere beads (mimic air-bubble artifact) against a background of

Non-neoplastic gastric pathology problems
57 yo M with a gastric ulcer and history of liver transplant
Malignant...or maybe not?

Final diagnosis: 90Y-TheraSpheres associated gastric ulcer

Clues for diagnosis
-Therasphere beads (mimic air-bubble artifact) against a background of