Laura M.G. (@laumiguelg) 's Twitter Profile
Laura M.G.

@laumiguelg

Dermatóloga. Doctorada en Medicina. Hospital Ramón y Cajal. Hospital Quirón San José. Madrid. España.

ID: 3049860233

calendar_today21-02-2015 14:30:04

1,1K Tweet

1,1K Takipçi

698 Takip Edilen

Academia Española de Dermatología y Venereología (@aedv_es) 's Twitter Profile Photo

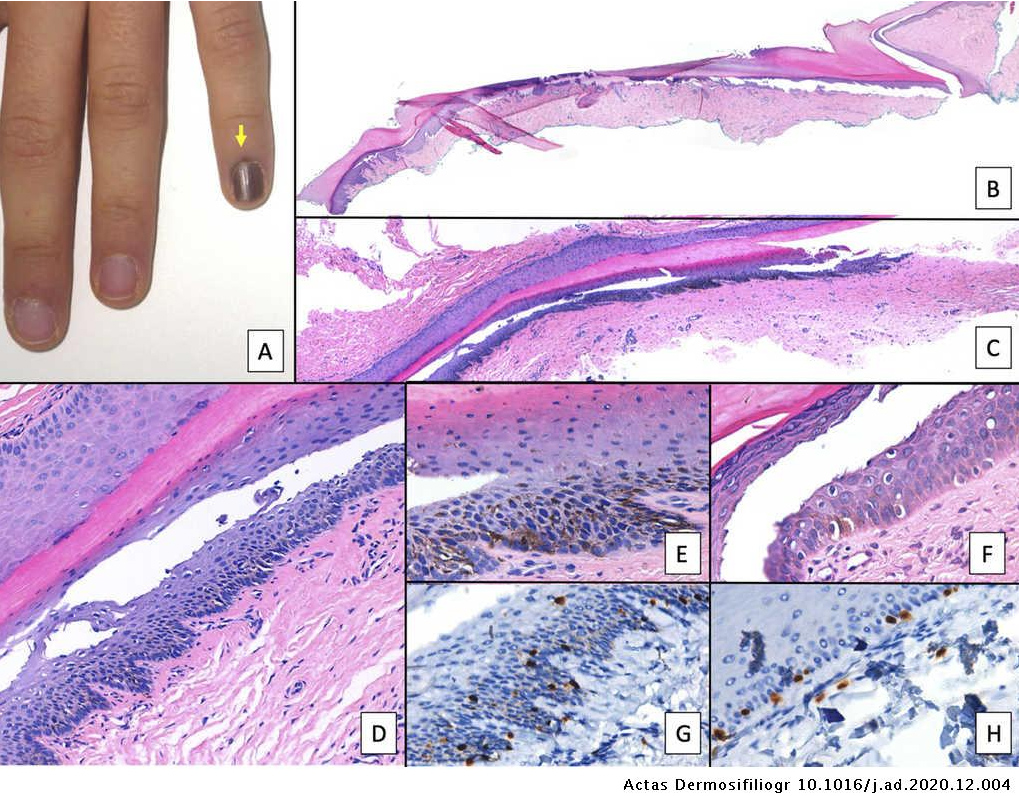
Es posible realizar biopsias adecuadas de las lesiones melanocíticas ungueales sin apenas inducir alteraciones permanentes. Este interesante artículo de Actas DS ofrece una revisión detallada de las distintas técnicas de biopsia actasdermo.org/es-lesiones-me…

Es posible realizar biopsias adecuadas de las lesiones melanocíticas ungueales sin apenas inducir alteraciones permanentes. Este interesante artículo de <a href="/ActasDS/">Actas DS</a> ofrece una revisión detallada de las distintas técnicas de biopsia actasdermo.org/es-lesiones-me…
Natalia Jiménez-Dermatóloga (@dra_njimenez) 's Twitter Profile Photo

🆕¡Nueva entrada en mi Blog Dermatendencias! Vacuna contra el SARS-Cov-2 y rellenos faciales: qué sabemos y motivos para mantener la calma 💉 nataliajimenezdermatologa.com/2021/03/29/vac…

🆕¡Nueva entrada en mi Blog Dermatendencias!
Vacuna contra el SARS-Cov-2 y rellenos faciales: qué sabemos y motivos para mantener la calma 💉 nataliajimenezdermatologa.com/2021/03/29/vac…
Natalia Jiménez-Dermatóloga (@dra_njimenez) 's Twitter Profile Photo

🆕Nueva entrada en mi Blog #Dermatendencias: todo sobre los #autobronceadores! 🤎 Texto completo en el siguiente link: nataliajimenezdermatologa.com/2021/04/06/el-…

🆕Nueva entrada en mi Blog #Dermatendencias: todo sobre los #autobronceadores! 🤎
Texto completo en el siguiente link:
nataliajimenezdermatologa.com/2021/04/06/el-…
Juan Jiménez Cauhé (@juanjcauhe) 's Twitter Profile Photo

El onicopapiloma es un tumor infradiagnosticado muy reconocible por: 1️⃣Eritroniquia longitudinal (a veces xanto o melanoniquia) 2️⃣Hemorragias en astilla 3️⃣Onicolisis con forma de V 4️⃣Nódulo queratósico en borde libre ⚠️Extirpación si molestias o duda diagnóstica (enf de Bowen)

El onicopapiloma es un tumor infradiagnosticado muy reconocible por:
1️⃣Eritroniquia longitudinal (a veces xanto o melanoniquia)
2️⃣Hemorragias en astilla
3️⃣Onicolisis con forma de V
4️⃣Nódulo queratósico en borde libre
⚠️Extirpación si molestias o duda diagnóstica (enf de Bowen)
Maria Elena de las Heras Alonso (@elena_heras) 's Twitter Profile Photo

Excelente sesión de David Saceda Corralo hoy en Servicio de #dermatologia #hospitalramonycajal sobre #alopecia en pacientes oncológicos: es el acontecimiento adverso más traumático.

Excelente sesión de <a href="/Desaze/">David Saceda Corralo</a> hoy en Servicio de #dermatologia #hospitalramonycajal sobre #alopecia en pacientes oncológicos: es el acontecimiento adverso más traumático.
David Saceda Corralo (@desaze) 's Twitter Profile Photo

Last article from #TricoHRC Investigative Group - Topical dapsone for folliculitis decalvans: a retrospective cohort study, coordinated by dr. Ana L. Melián 🔝👏🏼 jaad.org/article/S0190-…

Last article from #TricoHRC Investigative Group - Topical dapsone for folliculitis decalvans: a retrospective cohort study, coordinated by dr. Ana L. Melián 🔝👏🏼 jaad.org/article/S0190-…
Julio (@juliofdez79) 's Twitter Profile Photo

Tras el descubrimiento de Nistatina, se siguieron buscando otros compuestos para obtener otros antifúngicos. Como resultado de las investigaciones, se llegó a Miconazol. Fue Jannsen quien obtuvo el compuesto, y decidió hacer los ensayos en el Congo, aún bajo ocupación belga.

Tras el descubrimiento de Nistatina, se siguieron buscando otros compuestos para obtener otros antifúngicos. 
Como resultado de las investigaciones, se llegó a Miconazol. 
Fue Jannsen quien obtuvo el compuesto, y decidió hacer los ensayos en el Congo, aún bajo ocupación belga.
Natalia Jiménez-Dermatóloga (@dra_njimenez) 's Twitter Profile Photo

📢No me puede hacer más feliz contaros que ya hay fecha de lanzamiento para mi primer libro: el 2 de junio de 2022. He querido que mi libro que sea una guía práctica sobre cómo cuidar vuestra piel de una forma efectiva. Tu piel es tu mejor traje #ponteentupiel

📢No me puede hacer más feliz contaros que ya hay fecha de lanzamiento para mi primer libro: el 2 de junio de 2022. He querido que mi libro que sea una guía práctica sobre cómo cuidar vuestra piel de una forma efectiva. Tu piel es tu mejor traje #ponteentupiel
JAAD Journals (@jaadjournals) 's Twitter Profile Photo

Folliculitis decalvans can be challenging to treat. This case series describes positive outcomes with adalimumab in cases of refractory folliculitis decalvans. bit.ly/3AGLfcY

Folliculitis decalvans can be challenging to treat.  This case series describes positive outcomes with adalimumab in cases of refractory folliculitis decalvans. bit.ly/3AGLfcY
Raquel Rivera (@rrivera9) 's Twitter Profile Photo

Qué es el SITRAME? Nuevo síndrome autoinflamatorio descrito en adultos. Atentos a las características: semejan celulitis recurrentes sobre todo en tronco con fiebre #SCAEDV #Dermatologia

Qué es el SITRAME? Nuevo síndrome autoinflamatorio descrito en adultos. Atentos a las características: semejan celulitis recurrentes sobre todo en tronco con fiebre
#SCAEDV #Dermatologia
Dr. Francisco Vílchez (@franvilmar) 's Twitter Profile Photo

Lupus cutáneo neonatal por transferencia placentaria de anticuerpos. Importante reconocer esta entidad por posible asociación con bloqueo cardiaco en el recién nacido. #Dermatología

Dr. Javier del Boz dermatólogo (@ddermatologo) 's Twitter Profile Photo

Los anticolinérgicos orales son una de las alternativas terapéuticas para el manejo de la #hiperhidrosis, y en este trabajo que publicamos en la prestigiosa revista Actas DS , ya disponible online👇👇 doi.org/10.1016/j.ad.2… revisamos un tema controvertido:

Los anticolinérgicos orales son una de las alternativas terapéuticas para el manejo de la #hiperhidrosis, y en este trabajo que publicamos en la prestigiosa revista <a href="/ActasDS/">Actas DS</a> , ya disponible online👇👇
doi.org/10.1016/j.ad.2…
revisamos un tema controvertido: