Larissa Bruch Caetano, MD (@laribc) 's Twitter Profile
Larissa Bruch Caetano, MD

@laribc

Brazilian neurosurgeon šŸ‡§šŸ‡· Neurosurgery networking. NeurocirurgiĆ£ de crĆ¢nio, coluna vertebral adulto e pediĆ”trica. 🧠

ID: 145043660

linkhttp://linkedin.com/in/larissa-bruch-caetano-343b8160 calendar_today18-05-2010 00:28:46

394 Tweet

386 Followers

556 Following

Neurosurgical Atlas (@neurosurgatlas) 's Twitter Profile Photo

In a central neurocytoma, the areas of enhancement correspond to regions of restricted diffusion and presumed hypercellularity on DWI and ADC (shown here). A coronal T2 MRI can help detect tumor attachment site. Learn more here: zurl.co/9RbK #MedTwitter #Neurosurgery

In a central neurocytoma, the areas of enhancement correspond to regions of restricted diffusion and presumed hypercellularity on DWI and ADC (shown here). A coronal T2 MRI can help detect tumor attachment site. Learn more here: zurl.co/9RbK  
#MedTwitter #Neurosurgery
Larissa Bruch Caetano, MD (@laribc) 's Twitter Profile Photo

When the sagittal view don’t show us how severe is the stenosis. It’s necessary to evaluate the axial view that is indispensable for an accurate and complete diagnosis of conditions affecting the lumbar spine, providing crucial information that complements sagittal and coronal

When the sagittal view don’t show us how severe is the stenosis. It’s necessary to evaluate the axial view that is indispensable for an accurate and complete diagnosis of conditions affecting the lumbar spine, providing crucial information that complements sagittal and coronal
AshuJadhav (@ashupjadhav) 's Twitter Profile Photo

Intra‐arterial Selective Bevacizumab Administration in the Middle Meningeal Artery for Chronic Subdural Hematoma: An Early Experience in 12 Hemispheres | Stroke: Vascular and Interventional Neurology ahajournals.org/doi/10.1161/SV… Stroke: Vascular and Interventional Neurology Stroke AHA/ASA SVIN

Intra‐arterial Selective Bevacizumab Administration in the Middle Meningeal Artery for Chronic Subdural Hematoma: An Early Experience in 12 Hemispheres | Stroke: Vascular and Interventional Neurology ahajournals.org/doi/10.1161/SV… <a href="/SVINJournal/">Stroke: Vascular and Interventional Neurology</a> <a href="/StrokeAHA_ASA/">Stroke AHA/ASA</a> <a href="/svinsociety/">SVIN</a>
Michael T. Lawton, MD (@mtlawton) 's Twitter Profile Photo

Most of what we do in neurosurgery is deconstructive – taking things down and removing them. Bypass surgery is constructive – building something beneficial that did not previously exist. That’s why these moyamoya patients are among my favorite. Tips: handle intima carefully; use

Journal of Neurosurgery (@thejns) 's Twitter Profile Photo

#OnlineFirst: Microsurgical anatomy and approaches to thalamic gliomas. Part 1: A cartography guide for navigating to the thalamus. Integrating 3D model rendering with anatomical dissections. thejns.org/view/journals/….

#OnlineFirst: Microsurgical anatomy and approaches to thalamic gliomas. Part 1: A cartography guide for navigating to the thalamus. Integrating 3D model rendering with anatomical dissections.

thejns.org/view/journals/….
Larissa Bruch Caetano, MD (@laribc) 's Twitter Profile Photo

Cervical spondylotic myelopathy (CSM) is a pathological condition resulting from chronic compression of the cervical spinal cord due to degenerative changes in the cervical spine. These changes include the formation of osteophytes, hypertrophy of the ligamentum flavum, spinal

Cervical spondylotic myelopathy (CSM) is a pathological condition resulting from chronic compression of the cervical spinal cord due to degenerative changes in the cervical spine. These changes include the formation of osteophytes, hypertrophy of the ligamentum flavum, spinal
Neurosurgical Atlas (@neurosurgatlas) 's Twitter Profile Photo

In this operative video, Dr. Cohen demonstrates anastomosis of the STA and MCA for low flow revascularization. The distal end of the donor STA is prepared by removing the surrounding soft tissue. Learn more here | zurl.co/qbmY. #MedTwitter #Neurosurgery #NSGY #surgery

Michael T. Lawton, MD (@mtlawton) 's Twitter Profile Photo

...And if you’re wondering what it looks like to harvest the donor artery and expose the brain, here it is at high speed in 38 seconds….

Journal of Neurosurgery (@thejns) 's Twitter Profile Photo

#OnlineFirst: Pseudocapsular resection to prevent recurrence in nonfunctioning pituitary neuroendocrine tumors: a retrospective, single-center study with more than 5 years of follow-up. thejns.org/view/journals/….

#OnlineFirst: Pseudocapsular resection to prevent recurrence in nonfunctioning pituitary neuroendocrine tumors: a retrospective, single-center study with more than 5 years of follow-up.

thejns.org/view/journals/….
WalidoNeuroPedia (@neurowalid) 's Twitter Profile Photo

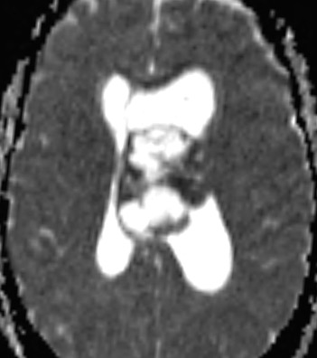
As shown below, Evan's index is used to support the diagnosis of normal pressure hydrocephalus. NPH triad: cognitive decline, gait abnormality, and urinary incontinence. #neurotip #dementia #neuroradiology

As shown below, Evan's index is used to support the diagnosis of normal pressure hydrocephalus. 
NPH triad: cognitive decline, gait abnormality, and urinary incontinence. 
#neurotip #dementia #neuroradiology
Journal of Neurosurgery (@thejns) 's Twitter Profile Photo

#OnlineFirst: Cost-effectiveness of posterior lumbar interbody fusion and/or transforaminal lumbar interbody fusion for grade 1 lumbar spondylolisthesis: a 5-year Quality Outcomes Database study. thejns.org/spine/view/jou… image.png

#OnlineFirst: Cost-effectiveness of posterior lumbar interbody fusion and/or transforaminal lumbar interbody fusion for grade 1 lumbar spondylolisthesis: a 5-year Quality Outcomes Database study. thejns.org/spine/view/jou…
image.png
Guilherme Freire (@guilhermefclfr) 's Twitter Profile Photo

ā€œAmong the tales of sorrow and of ruin that come down to us from the darkness of those days there are yet some in which amid weeping there is joy and under the shadow of death light that endures.ā€

Larissa Bruch Caetano, MD (@laribc) 's Twitter Profile Photo

šŸ“ó §ó ¢ó „ó ®ó §ó æšŸ‡¬šŸ‡§Being involved in neurosurgery services abroad is an incredibly enriching experience. It offers a unique opportunity to learn new techniques, explore different clinical and surgical approaches, and become familiar with cutting-edge technologies that might not yet be available

šŸ“ó §ó ¢ó „ó ®ó §ó æšŸ‡¬šŸ‡§Being involved in neurosurgery services abroad is an incredibly enriching experience. It offers a unique opportunity to learn new techniques, explore different clinical and surgical approaches, and become familiar with cutting-edge technologies that might not yet be available
Larissa Bruch Caetano, MD (@laribc) 's Twitter Profile Photo

Arachnoid cyst It’s a fluid-filled sac located within the arachnoid membrane, one of the protective layers surrounding the brain and spinal cord. These cysts are typically congenital, meaning they develop before birth. The brain’s most common sites for arachnoid cysts include:

Arachnoid cyst 

It’s a fluid-filled sac located within the arachnoid membrane, one of the protective layers surrounding the brain and spinal cord. These cysts are typically congenital, meaning they develop before birth.

The brain’s most common sites for arachnoid cysts include: