Kala Suresh (@kspatho) 's Twitter Profile
Kala Suresh

@kspatho

Consultant Pathologist, Dr KMH

ID: 767055061847412736

calendar_today20-08-2016 17:45:52

443 Tweet

204 Takipçi

1,1K Takip Edilen

Human Pathology (@human_pathology) 's Twitter Profile Photo

New in #HumPathol: Metastatic Thyroid-Like Follicular Renal Cell Carcinoma With EWSR1::PATZ1 Fusion: A Case Report and Review of the Literature. sciencedirect.com/science/articl… #pathology #PathTwitter #PathX #GUpath

New in #HumPathol: Metastatic Thyroid-Like Follicular Renal Cell Carcinoma With EWSR1::PATZ1 Fusion: A Case Report and Review of the Literature. sciencedirect.com/science/articl… #pathology #PathTwitter #PathX #GUpath
GiovanniMariaGrilli (@grilli15) 's Twitter Profile Photo

Craniopharyngiomas are benign but locally aggressive WHO Grade 1 tumors arising from the remnants of the craniopharyngeal duct (Rathke’s pouch).

Craniopharyngiomas are benign but locally aggressive WHO Grade 1 tumors arising from the remnants of the craniopharyngeal duct (Rathke’s pouch).
Dionysios Papachristou (@dionysiospapac1) 's Twitter Profile Photo

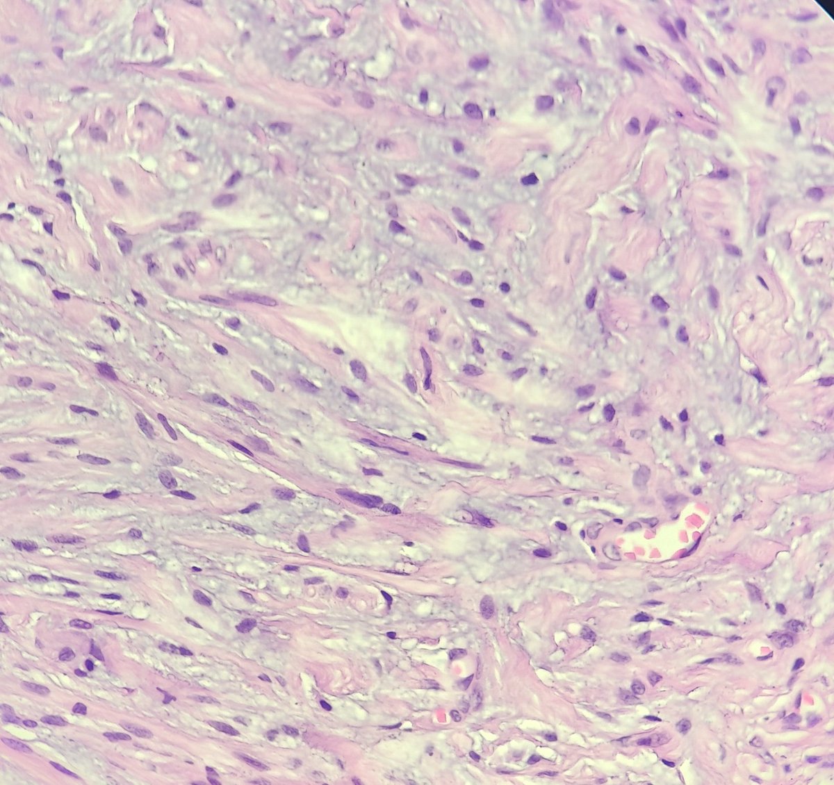
Angiomatoid fibrous histiocytoma, 15yo male patient, neck region. Typical features: fibrous pseudocapsule, cystic haemorrhaging spaces, dense inflammatory infiltrate at the periphery. Borderline tumor, but usually no significant atypia or mitotic activity.. Beautiful!

Angiomatoid fibrous histiocytoma, 15yo male patient, neck region. Typical features: fibrous pseudocapsule, cystic haemorrhaging spaces, dense inflammatory infiltrate at the periphery. Borderline tumor, but usually no significant atypia or mitotic activity.. Beautiful!
Craig Horbinski (@craighorbinski) 's Twitter Profile Photo

You don't even need immunostains to tell where this brain tumor originally came from. (Reach into the BOWELS of your knowledge base to come up with the answer.) #pathology #neuropath #pathtwitter

You don't even need immunostains to tell where this brain tumor originally came from. (Reach into the BOWELS of your knowledge base to come up with the answer.) #pathology #neuropath #pathtwitter
Syed Z. Ali (@sza_jhcyto) 's Twitter Profile Photo

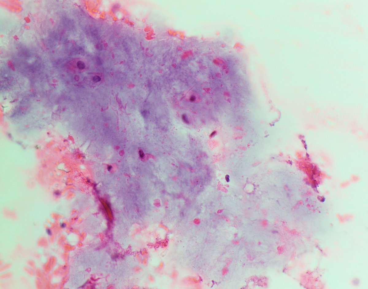
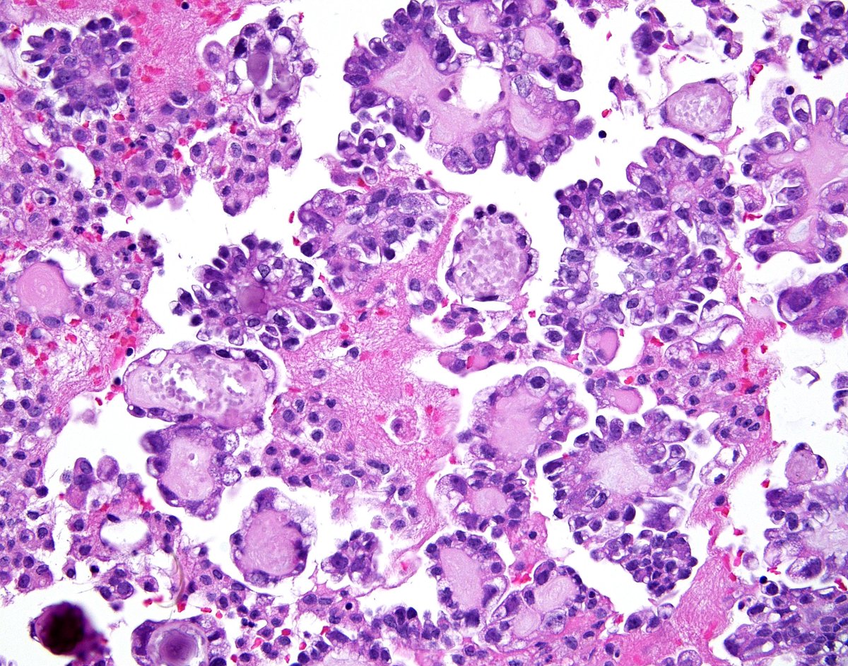
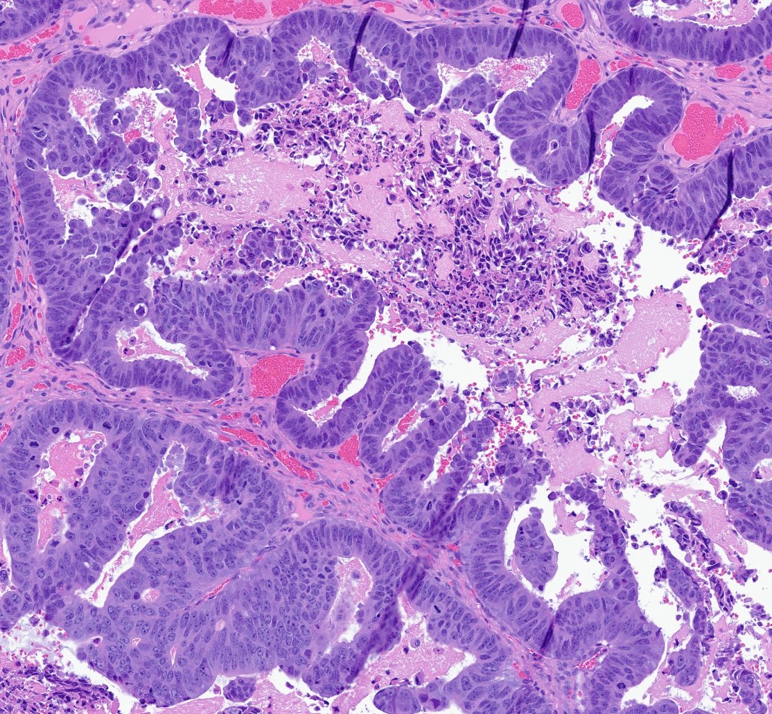
All the ingredients in this pleural fluid cell block for the diagnosis of a "Clear Cell Carcinoma" metastatic from the patient's known ovarian primary - hobnailed nuclei, globular structures with hyaline-type matrix, psammoma bodies and so called "raspberry bodies". See the

All the ingredients in this pleural fluid cell block for the diagnosis of a "Clear Cell Carcinoma" metastatic from the patient's known ovarian primary - hobnailed nuclei, globular structures with hyaline-type matrix, psammoma bodies and so called "raspberry bodies".
See the
ARP Press (@arp_press) 's Twitter Profile Photo

More from arppress.org/books/book/70: Pemphigus foliaceus is an intraepidermal autoimmune bullous disorder characterized by flaccid bullae and crusted plaques, histologically showing superficial epidermal acantholysis involving the granular cell layer, with blister formation and

More from arppress.org/books/book/70:
Pemphigus foliaceus is an intraepidermal autoimmune bullous disorder characterized by flaccid bullae and crusted plaques, histologically showing superficial epidermal acantholysis involving the granular cell layer, with blister formation and
Elizabeth Montgomery, MD (@lizmontgomerymd) 's Twitter Profile Photo

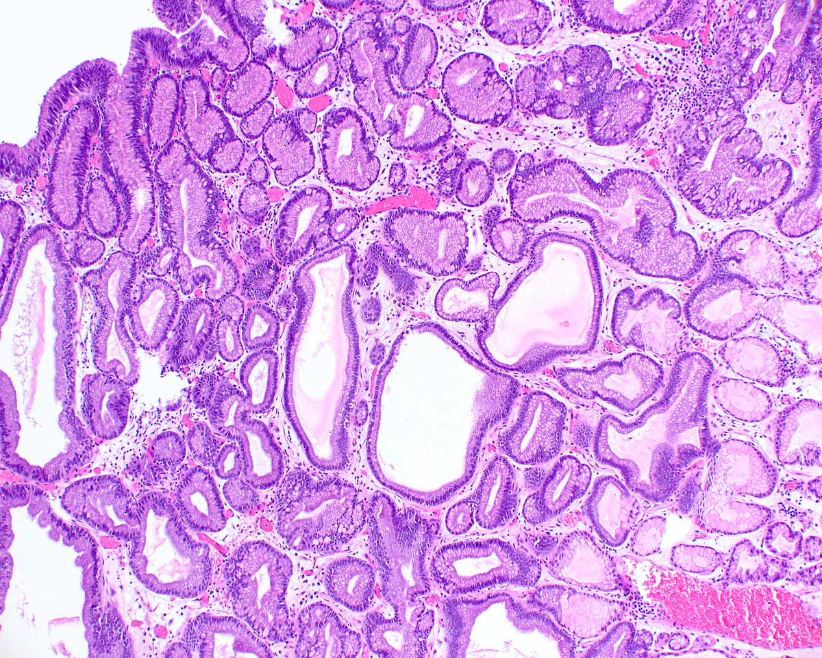
A never-ending obsession with pyloric gland adenomas is a benign problem. This one arose in otherwise normal gastric oxyntic mucosa and coats the surface! They are also associated with autoimmune gastritis and probably arise from pseudo-pyloric metaplasia in that setting.

A never-ending obsession with pyloric gland adenomas is a benign problem.  This one arose in otherwise normal gastric oxyntic mucosa and coats the surface!  They are also associated with autoimmune gastritis and probably arise from pseudo-pyloric metaplasia in that setting.
Charles Herndon (@drcyclopath) 's Twitter Profile Photo

✅ Dermatofibroma (Hemosiderotic) -Epidermal acanthosis/induction -Foamy histiocytes and hemosiderin deposition -Pseudovascular spaces -Peripheral collagen trapping

✅ Dermatofibroma (Hemosiderotic)
-Epidermal acanthosis/induction
-Foamy histiocytes and hemosiderin deposition
-Pseudovascular spaces
-Peripheral collagen trapping
Ari M (@ariabdullah1978) 's Twitter Profile Photo

Clear cell Paget disease of nipple with high grade DCIS showing clear cell changes, couldn't resist sharing it with you #PathX #PathTwitter

Clear cell Paget disease of nipple with high grade DCIS showing clear cell changes, couldn't resist sharing it with you 
#PathX
#PathTwitter