Kirill Karlin, MD (@kirillkarlin) 's Twitter Profile
Kirill Karlin, MD

@kirillkarlin

Hematopathology fellow @BWHPath, Pathology resident @BIDMCPath @HarvardMed

ID: 287424556

linkhttp://www.karlin.xyz calendar_today24-04-2011 23:52:58

135 Tweet

414 Takipçi

1,1K Takip Edilen

Paolo Tarantino (@ptarantinomd) 's Twitter Profile Photo

🔥 Just out on Nature - ctDNA guiding adjuvant IO in urothelial cancer With IO reaching the (neo)adjuvant setting in multiple oncological diseases (including #TNBC), optimally identifying responders is a main research priority Congrats Tom Powles & colleagues!!!

Majd Jawad (@majdjawad10) 's Twitter Profile Photo

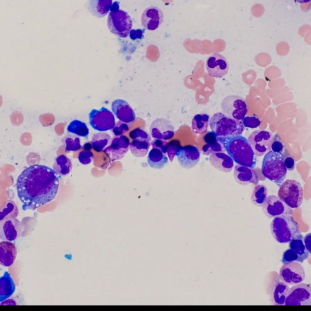
A patient in his 60s with unexplained fevers, arthritis and macrocytic anemia. Extensive workup was done that was essentially negative (including normal copper levels). Bone marrow was done (aspirate images below). Further testing revealed UBA1 mutation.

A patient in his 60s with unexplained fevers, arthritis and macrocytic anemia.
Extensive workup was done that was essentially negative (including normal copper levels). Bone marrow was done (aspirate images below). Further testing revealed UBA1 mutation.
Andrew Brunner (@andrewbrunner) 's Twitter Profile Photo

Enjoyed the opportunity to discuss how the treatment of #AML has changed - and opportunities ahead to improve the outcomes of our patients ⁦NEJM⁩ nejm.org/doi/full/10.10…

Kirill Karlin, MD (@kirillkarlin) 's Twitter Profile Photo

Interesting article STAT re liquid biopsy - a call for prospective RCT's demonstrating true benefit for patients statnews.com/2021/08/31/liq…

Kirill Karlin, MD (@kirillkarlin) 's Twitter Profile Photo

Super excited to start Biodraft_ with Liang Chang, a biotech substack, where we will be posting monthly biotech deep-dives. Check out Liang Chang fantastic overview article on gene editing and gene therapy landscape on Biodraft_ biodraft.substack.com/p/therapeutics…

Liang Chang (@liangc_science) 's Twitter Profile Photo

Introducing our new blog article on Biodraft_! In this article, Kirill Karlin, MD and myself looked into >30 platform biotech companies and share what we learned about their phenotypes, business models, trajectories, and beyond. Hope you will enjoy it! biodraft.substack.com/p/deep-dive-in…

Kirill Karlin, MD (@kirillkarlin) 's Twitter Profile Photo

Our new deep dive into 30+ platform biotech companies. Liang Chang and I looked closer into their phenotypes, business models, and destinations. biodraft.substack.com/p/deep-dive-in….

Dan Landau (@landau_lab) 's Twitter Profile Photo

It was super fun to provide (together with Tamara Prieto) additional context/thoughts Nature News & Views to recent amazing paper about non-genetic determinants of malignant clonal fitness. Congrats to Mark Dawson Dane Vassiliadis @KatieAFennell and the entire team! nature.com/articles/d4158…

David Steensma, MD (@davidsteensma) 's Twitter Profile Photo

So that was impressive Siddhartha Jaiswal Jennifer Trowbridge : Dr Hind Bouzid presented several lines of evidence that CHIP reduces Alzheimer risk (multiple cohorts, clonal cells in brain indistinguishable from microglia). Hypothesis #CHIP cells supplement loss of microglia during aging.

So that was impressive <a href="/jaiswalmdphd/">Siddhartha Jaiswal</a> <a href="/TrowbridgeLab/">Jennifer Trowbridge</a> : Dr Hind Bouzid presented several lines of evidence that CHIP reduces Alzheimer risk (multiple cohorts, clonal cells in brain indistinguishable from microglia). Hypothesis #CHIP cells supplement loss of microglia during aging.
David Steensma, MD (@davidsteensma) 's Twitter Profile Photo

#Hematology fabulous fact: the largest animals, adult blue whales 🐋, have about 220 L of blood 🩸 - roughly 45-50x that of humans. (No word on whether they get #clonalhematopoiesis - possibly uncommondue to “protective”genetics underlying Peto’s paradox.) bbcearth.com/news/the-anato…

David R. Liu (@davidrliu) 's Twitter Profile Photo

New report in @nature from Alex Cagan and coworkers measures an inverse correlation between somatic mutation rate and lifespan among 15 mammalian species. Inspires brainstorming about correcting cellular mutations as a potential way to protect lifespan… 🤔

New report in @nature from <a href="/ATJCagan/">Alex Cagan</a> and coworkers measures an inverse correlation between somatic mutation rate and lifespan among 15 mammalian species. Inspires brainstorming about correcting cellular mutations as a potential way to protect lifespan… 🤔
Elli Papaemmanuil, PhD (@papaemmanuillab) 's Twitter Profile Photo

What is the risk conferred by my disease? One of the hardest questions to answer in medicine. A on the development of the International Prognostic Scoring System Molecular in MDS published today bit.ly/3aNEU64

Liang Chang (@liangc_science) 's Twitter Profile Photo

Our new blog article on Biodraft_! Why having a blockbuster drug is both a blessing and a curse? Kirill Karlin, MD and I looked into ~10 commercial-stage biotech companies to find out what happened after their first blockbuster. Tell us what you think! biodraft.substack.com/p/the-blockbus…

Sigurdur Kristinsson (@sykristinsson) 's Twitter Profile Photo

The first study on the prevalence of smoldering myeloma just published in Nature Medicine ! Full link: rdcu.be/c4026 We found the prevalence of SMM to be 0.5% in people >40 years

The first study on the prevalence of smoldering myeloma just published in <a href="/NatureMedicine/">Nature Medicine</a> ! 

Full link: rdcu.be/c4026

We found the prevalence of SMM to be 0.5% in people &gt;40 years
Blood Journal (@bloodjournal) 's Twitter Profile Photo

Introduction to a review series on germ line predisposition to hematologic malignancies: time to consider germ line testing loom.ly/ByowO1Q

Alicia Kaestli (@akaestli) 's Twitter Profile Photo

Awesome Ph.D. defense by Liang Chang from The Sellers Lab!! 🎉 Really cool learning how to better derisk new targets for targeted cancer treatments. I could see pharma using this framework to prioritize early pipelines and better understand emerging competitive landscapes.

Awesome Ph.D. defense by <a href="/liangc_science/">Liang Chang</a> from <a href="/TheSellersLab/">The Sellers Lab</a>!! 🎉 Really cool learning how to better derisk new targets for targeted cancer treatments. I could see pharma using this framework to prioritize early pipelines and better understand emerging competitive landscapes.
Simona Cristea (@simocristea) 's Twitter Profile Photo

3 amazing papers just out nature, the kind worth giving up sleep for🦉 Spatial multi-omics human maps: -placenta: MIBI & DSP -intestine: CODEX & snRNAseq & snATACseq -kidney: Visium & scRNA & scATAC After sequencing single cells, we are now finally putting them back together🧵

3 amazing papers just out <a href="/Nature/">nature</a>, the kind worth giving up sleep for🦉

Spatial multi-omics human maps:
-placenta: MIBI &amp; DSP
-intestine: CODEX &amp; snRNAseq &amp; snATACseq
-kidney: Visium &amp; scRNA &amp; scATAC

After sequencing single cells, we are now finally putting them back together🧵