John Rhodes (@johnrhodesendo) 's Twitter Profile
John Rhodes

@johnrhodesendo

Specialist Endodontist for over 20 years, Author of books, lecturer in everything endodontic.....and only 8lbs overweight!

ID: 2834493490

linkhttp://www.rootcanals.co.uk calendar_today16-10-2014 18:30:22

1,1K Tweet

2,2K Followers

954 Following

John Rhodes (@johnrhodesendo) 's Twitter Profile Photo

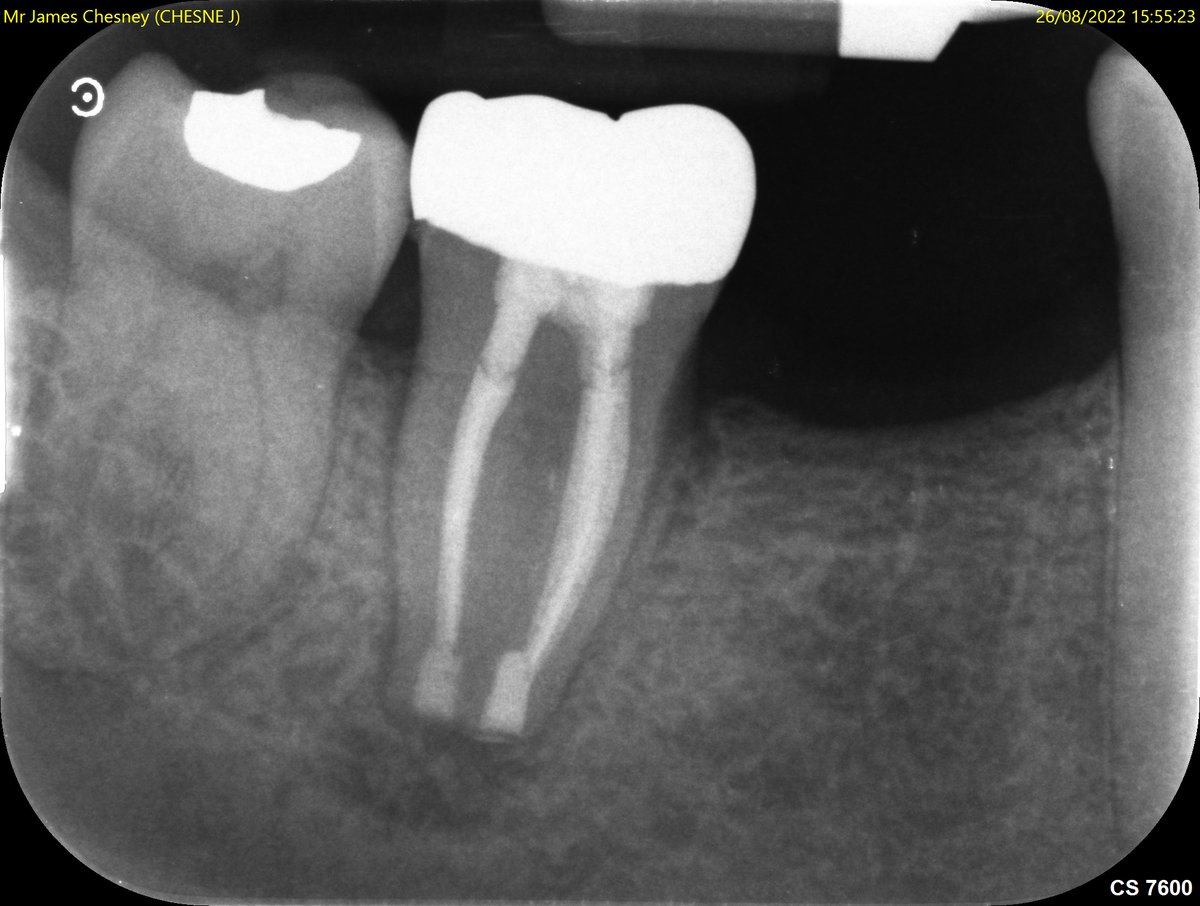
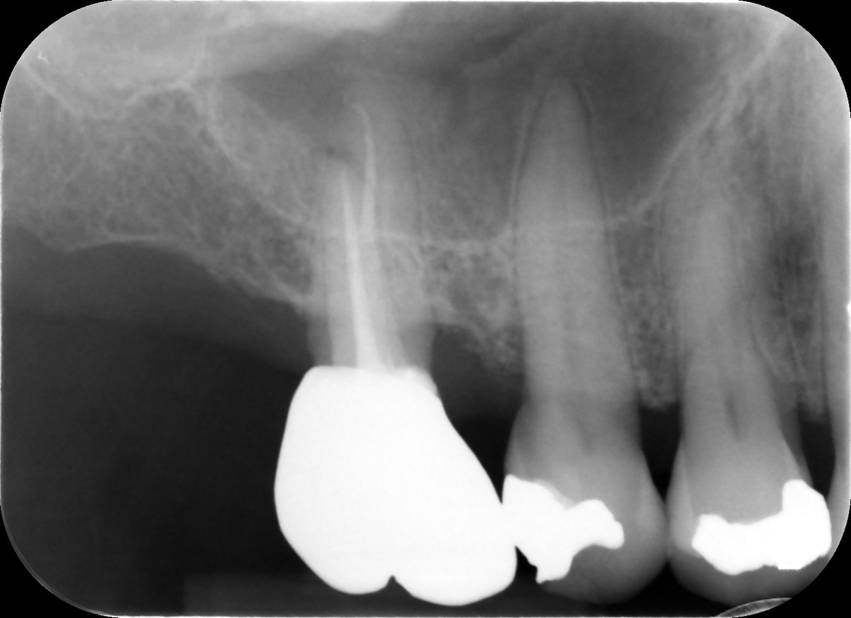
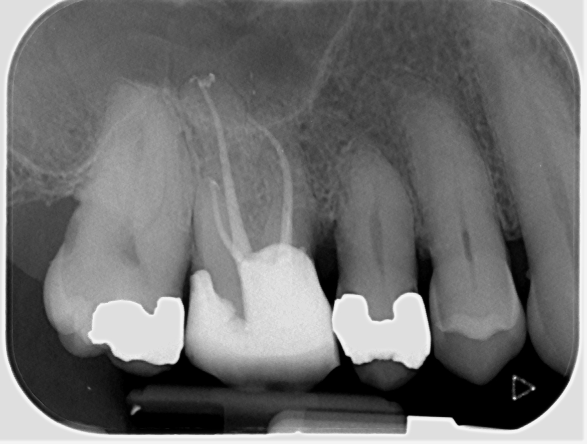
Here in Endoland its Deep Margin Management week! 🤣 in this case simple RCT UR6, core build up using Palodent sectional matrix and PTFE tape Dentsply Sirona UK @BetterEndo #savingteeth #endodontics

Here in Endoland its Deep Margin Management week! 🤣 in this case simple RCT UR6, core build up using Palodent sectional matrix and PTFE tape <a href="/DENTSPLY_UK/">Dentsply Sirona UK</a> @BetterEndo #savingteeth #endodontics
John Rhodes (@johnrhodesendo) 's Twitter Profile Photo

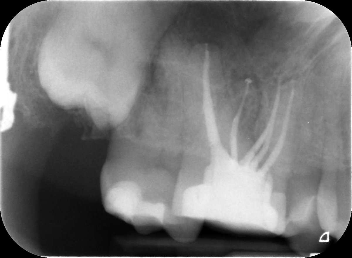
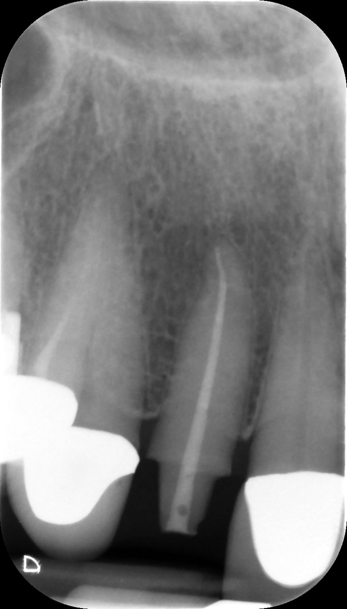
2-visit reRCT UR6 - insane apical delta anatomy P and MB canals - all thanks to the power of hypochlorite!🤣 Edge Endo preps VC obturation #savingteeth #endodontics

2-visit reRCT UR6 - insane apical delta anatomy P and MB canals - all thanks to the power of hypochlorite!🤣
Edge Endo preps VC obturation #savingteeth #endodontics
John Rhodes (@johnrhodesendo) 's Twitter Profile Photo

Intentional replantation can be a predictable and viable treatment option. In this case a long LR7 not suitable for root end surgery. No cracks visible under the microscope, MTA root end filling. First radiographic review in 1 month.🙃

Intentional replantation can be a predictable and viable treatment option. In this case a long LR7 not suitable for root end surgery. No cracks visible under the microscope, MTA root end filling. First radiographic review in 1 month.🙃
John Rhodes (@johnrhodesendo) 's Twitter Profile Photo

Happy Days in Endoland Saturday Surgery and saving teeth 🤣 UR6 referred for endo after difficulty finding canals. 5 canals in total, EdgeOne Fire preps. Onlay required. Review in 9 months. #savingteeth #endodontics

Happy Days in Endoland Saturday Surgery and saving teeth 🤣 UR6 referred for endo after difficulty finding canals. 5 canals in total, EdgeOne Fire preps. Onlay required. Review in 9 months. #savingteeth #endodontics
John Rhodes (@johnrhodesendo) 's Twitter Profile Photo

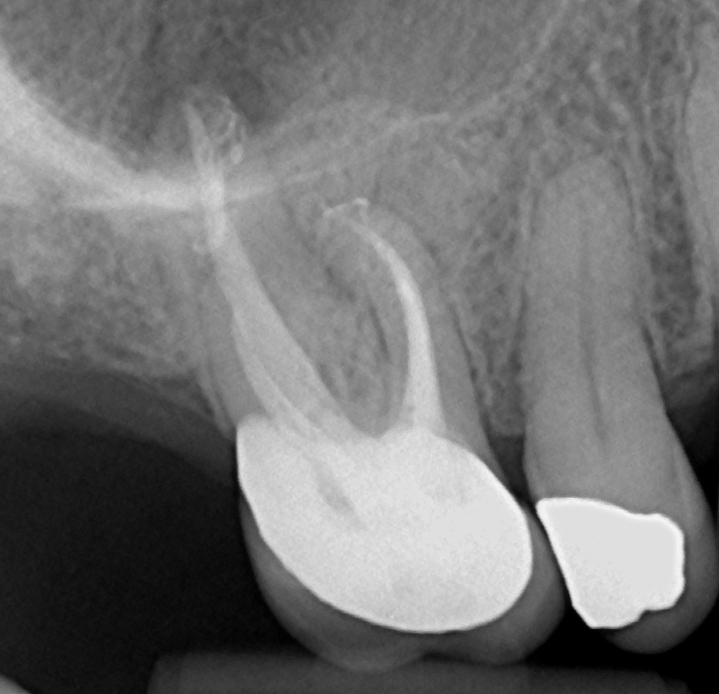
Well that was fun!🤣 UR6 RCT always cautious when negotiating a dog-leg curvature in this case MB1 and MB2. High risk of file separation #savingteeth #endodontics

Well that was fun!🤣 UR6 RCT always cautious when negotiating a dog-leg curvature in this case MB1 and MB2. High risk of file separation #savingteeth #endodontics
John Rhodes (@johnrhodesendo) 's Twitter Profile Photo

reRCT UR2 and conservative removal of fractured file with ultrasonics. EdgeEndo small prep, Terauchi u/s tip.#savingteeth #endodontics

reRCT UR2 and conservative removal of fractured file with ultrasonics. EdgeEndo small prep, Terauchi u/s tip.#savingteeth #endodontics
John Rhodes (@johnrhodesendo) 's Twitter Profile Photo

Here in Endoland it's Saturday Surgery and reRCT LL6 with fractured file removal using BTR Pen 🙂 #savingteeth #endodontics first review will be 6 months

Here in Endoland it's Saturday Surgery and reRCT LL6 with fractured file removal using BTR Pen 🙂
#savingteeth #endodontics
first review will be 6 months
John Rhodes (@johnrhodesendo) 's Twitter Profile Photo

Beautiful and remarkable healing of a huge cyst confirmed at 3 years following RCT UL1 and UL2 and collaboration with my amazing oral surgery colleagues. #savingteeth #endodontics

Beautiful and remarkable healing of a huge cyst confirmed at 3 years following RCT UL1 and UL2 and collaboration with my amazing oral surgery colleagues.
#savingteeth #endodontics
John Rhodes (@johnrhodesendo) 's Twitter Profile Photo

One year review of RCT UR6 with MB root resection doing well, symptom and sign free and beautifully restored by the referring dentist 😁 #savingteeth #endodontics youtu.be/pgO5aFGDeI4

One year review of RCT UR6 with MB root resection doing well, symptom and sign free and beautifully restored by the referring dentist 😁
#savingteeth #endodontics

youtu.be/pgO5aFGDeI4