Jacob Smalberger, M.D. (@jacobsmalberger) 's Twitter Profile
Jacob Smalberger, M.D.

@jacobsmalberger

Dermatopathologist 🇺🇸🇿🇦 #dermpath

ID: 1472623718174277633

calendar_today19-12-2021 17:44:05

1,1K Tweet

1,1K Followers

1,1K Following

Jacob Smalberger, M.D. (@jacobsmalberger) 's Twitter Profile Photo

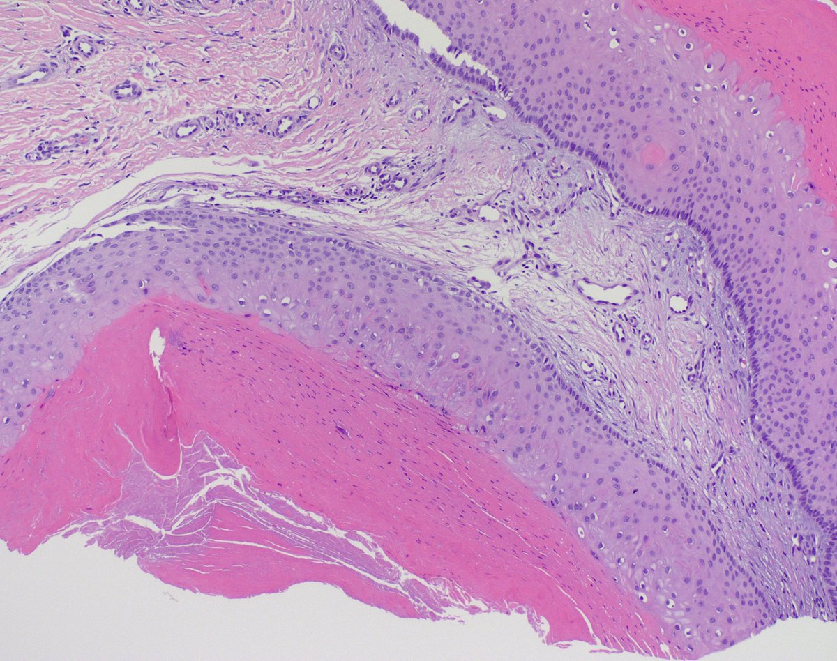
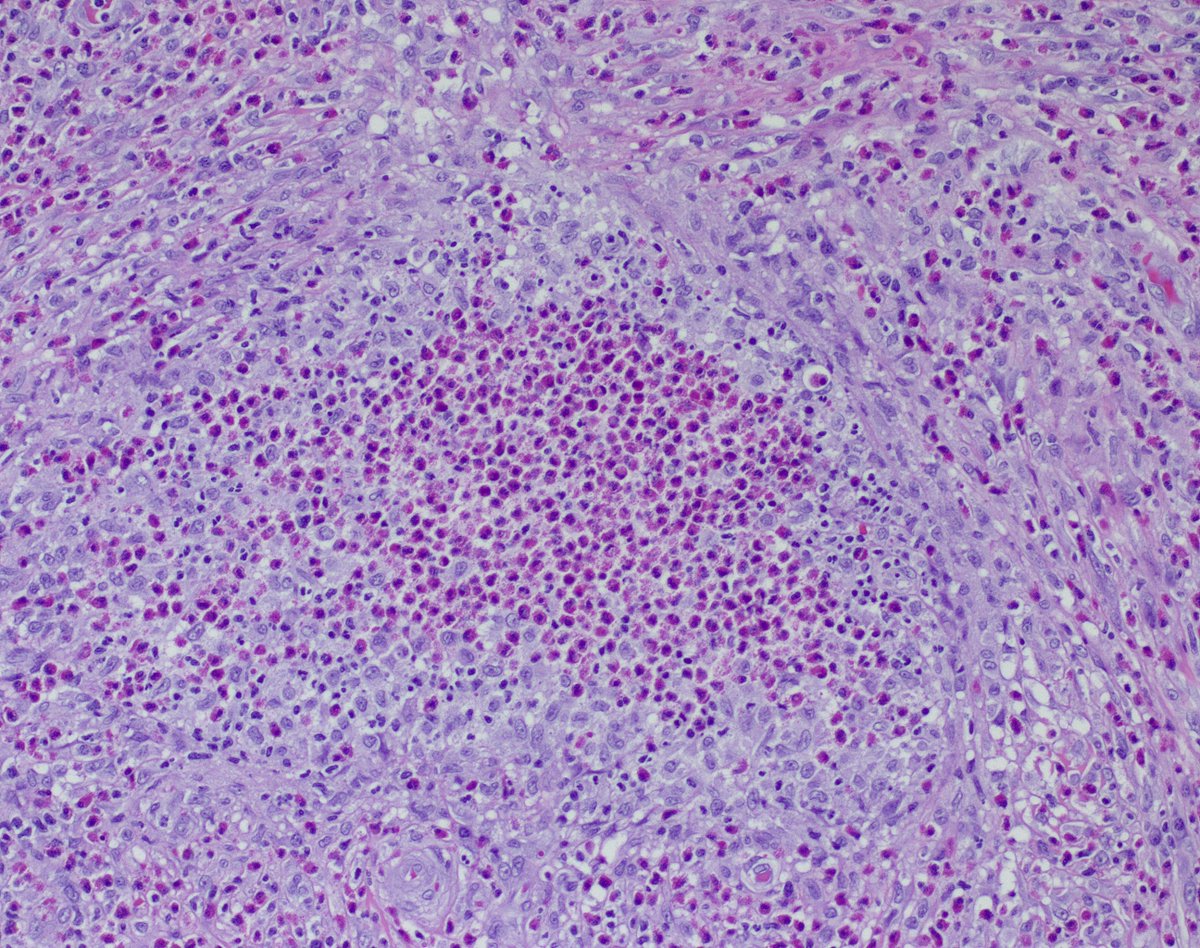
20s♂️ in good health, 4 months hx of 'cyst' axilla. Tons of eos, mostly in the dermis, also focally in the epidermis. Slam dunk persistent/exuberant arthropod 'bite', or something else? What would you include in the ddx? Ty! Tim McCalmont Henry YANG Dermpath_doc_trish Diego Morales, MD Etan Marks, DO

20s♂️ in good health, 4 months hx of 'cyst' axilla. 
Tons of eos, mostly in the dermis, also focally in the epidermis. 
Slam dunk persistent/exuberant arthropod 'bite', or something else? 
What would you include in the ddx? Ty!
<a href="/mccalmo/">Tim McCalmont</a> <a href="/HENRYY_MD/">Henry YANG</a> <a href="/PIorfino/">Dermpath_doc_trish</a> <a href="/DiegoMoralesN/">Diego Morales, MD</a> <a href="/et565/">Etan Marks, DO</a>