
Carol N. Rizkalla
@carol2path
PGY3 AP/CP @UWlabmedpath 🇺🇸I @RCSI_irl 22 alum 🇮🇪 I 26-27 @StanfordPath #GYNpath fellow 😍 I Creator of #PathWebinarPearls 🧵I Trainee #PathTweetAward 23&24
ID: 1303557817610240003
09-09-2020 04:56:30
1,1K Tweet
1,1K Takipçi
679 Takip Edilen

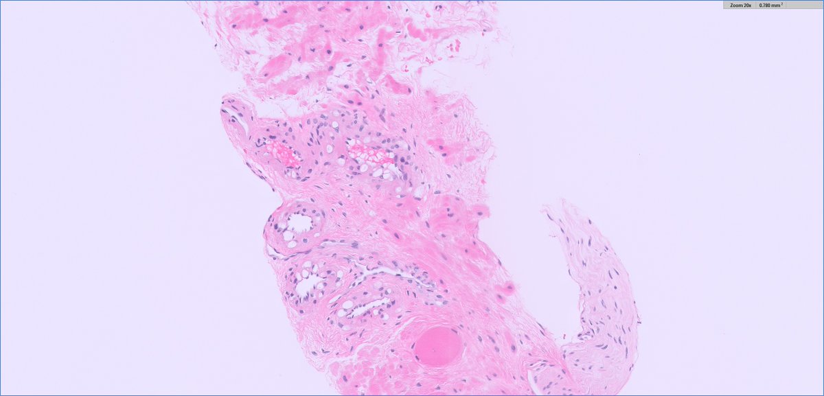
all good DDx! this was perhaps indeed #TooCloseToDiagnose but Samson W. Fine, MD was closest this was hemangioma-like foci in a low grade clear cell RCC (lower power you can👁️more solid tumor cell aggregates) ✔️paired CA9 #IHCpath (note just how many sneaky tumor cells there are!)




thanks also for highlighting our recent study led by Carol N. Rizkalla, MD on Urothelial carcinoma with osteoclast-like giant cells: An expanded immunohistochemical and molecular profile pubmed.ncbi.nlm.nih.gov/40512053/












Daniel Berney Michelle_Hirsch (Donovan) Diagnosis of CIS in fragmented TURBT specimens is often difficult and subjective. Only CIS away from papillary tumour should warrant categorisation as very high risk (potential upfront cystectomy). Have a high threshold for diagnosing CIS in TURBT specimens.