يـارا العريـني (@i1y_1) 's Twitter Profile
يـارا العريـني

@i1y_1

Alumna @_KSU 🦷 || @smilecareSA

ID: 1287771485931741185

linkhttps://www.instagram.com/i1y_24?igsh=aDBqNzk4Y2xpNjQy&utm_source=qr calendar_today27-07-2020 15:27:10

208 Tweet

283 Takipçi

107 Takip Edilen

د.فيصل المطيري (@faisalfjober) 's Twitter Profile Photo

يمكن للبكتيريا المسببة للتسوس أن تنتقل عن طريق اللعاب، فقد تنتقل من #الأم إلى #الطفل عندما تتشارك معه الطعام باستخدام نفس الملعقة، أو عندما يستخدم لهاية أو رضاعة طفل آخر. #توعيه_صحيه #طب_اسنان_الاطفال

يـارا العريـني (@i1y_1) 's Twitter Profile Photo

كلما تأملت في شخصيات البشر، أزداد يقينًا بأن الموفق ذو الحظ العظيم هو صاحب الأخلاق الكريمة في تعامُله، فلا يسيء، ولا يتلون، ولا يُضمر الشر، يتمتّع بنقاء السريرة وسلامة الصدر، واللُطف والإحسان للغير؛ فيزداد حُبّاً ورُقِيّاً في الأرض والسماء..

يـارا العريـني (@i1y_1) 's Twitter Profile Photo

«إنَّ الإنسان ليُناضل في الدُّنيا ألفَ عامٍ في سبيل الوصول إلى مسارٍ واحد .. مُستقِرٌ آمن، يمشي فيه مطمئنًا، لا يُخيفه الغد، ولا تُحيّره الظنون»

يـارا العريـني (@i1y_1) 's Twitter Profile Photo

«أن لا نظمأ لمكانٍ ليس بمكاننا، ولا نصيبًا ليس من حقنا، ولا أرضٍ ليست بأرضنا، وأن لا يكون ارتوائنا بأملٍ لسنا ببالغيه»

يـارا العريـني (@i1y_1) 's Twitter Profile Photo

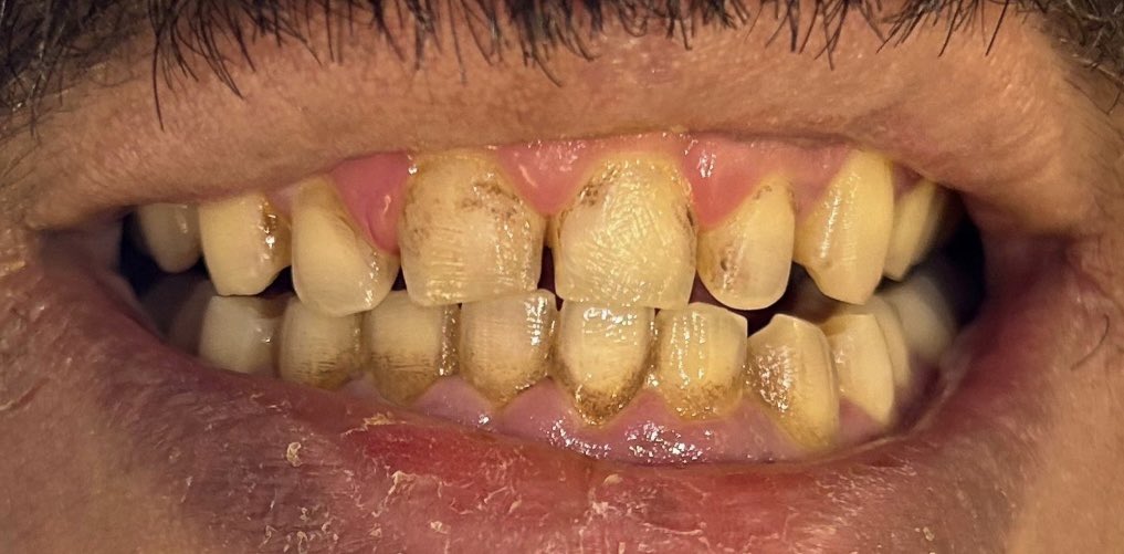
About today’s case; Teenage patient with stained teeth and calculus. Treatment was completed in one session, follow-up scheduled after two weeks 😶‍🌫️

About today’s case; Teenage patient with stained teeth and calculus. Treatment was completed in one  session, follow-up scheduled after two weeks 😶‍🌫️
أ. د. إيمان القفيدي (@e_alkofide) 's Twitter Profile Photo

ما هي فوائد تنظيف الأسنان في العيادة⬇️: - إزالة الجير والبكتيريا بشكل كامل - الوقاية من تسوس الأسنان وأمراض اللثة - تحسين مظهر الأسنان من خلال إزالة التصبغات - الكشف المبكر عن أي مشاكل صحية في الفم #تنظيف_الاسنان #السعودية

🌿| د. مي المحارب (@maymuhareb) 's Twitter Profile Photo

كيف تعالج رائحة الفم بشكل صحيح وآمن؟ ١. فرشاة ومعجون جيد بطريقة صحيحة مرتين يوميًا ٢. خيط اسنان او خيط مائي ٣. تنظيف اللسان ٤. استخدام غسولات بالزنك والزيوت العطرية وCPC ٥. متابعات دورية للتنظيف بالعيادة كل ٦ اشهر ٦. الحصول على فحص بالعيادة لمعرفة السبب للرائحة وعلاجه

يـارا العريـني (@i1y_1) 's Twitter Profile Photo

الأدب يستر قليل العلم، لكن العلم لا يستر قليل الأدب وفقدُهما عَراء وجمعهُما ثَراء.

يـارا العريـني (@i1y_1) 's Twitter Profile Photo

الكرم لا يقتصر على المال هناك كرم الابتسامة، كرم اللين، كرم التغاضي وكرم الاخلاق .. وأسمى الكرم هو الصمت عمّا لا يعنيك، وكرم كف الأذى، وكرم غض البصر

يـارا العريـني (@i1y_1) 's Twitter Profile Photo

يهون التعب ويتلاشى إذا بُذل في سبيل يُحبه الإنسان، تغدو الطرق الوعرة يسيرة، والعقبات ليست سوى تحديات مُمتعة .. وأكثر السائرون سرورًا هم أولئك الذين يضعون نصب أعينهم لحظة الظَفر، وقَطف الثمر

يـارا العريـني (@i1y_1) 's Twitter Profile Photo

13 | ᴀᴜɢᴜꜱᴛ Grateful for another year of life, and looking forward to what’s ahead اللهم اجعل عامي الجديد عامًا مزهرًا بالرضا، مكللًا بالتوفيق، مليئًا بالصحة والسعادة والبركة 🪅

يـارا العريـني (@i1y_1) 's Twitter Profile Photo

«لا أملك في الدنيا إلا إيماني بك، وتوكلي عليكَ اللهم لكَ اسلمت، وبكَ آمنت، وعليكَ توكلت.. أخرجني من حولي وقوتي إلى حولك وقوتك»