
Gladell Paner, MD
@gladellpaner
#Physician, Professor @UChicago, #CAPCast Host 🔊 #AUA Pathology for Urologists, #CAP GU Cancer Protocols, #OnePicDx, #GUPath & Gym enthusiast.
ID: 1110581877600071680
https://pathology.uchicago.edu/education/genitourinary-pathology-fellowship 26-03-2019 16:38:48
3,3K Tweet
4,4K Takipçi
91 Takip Edilen








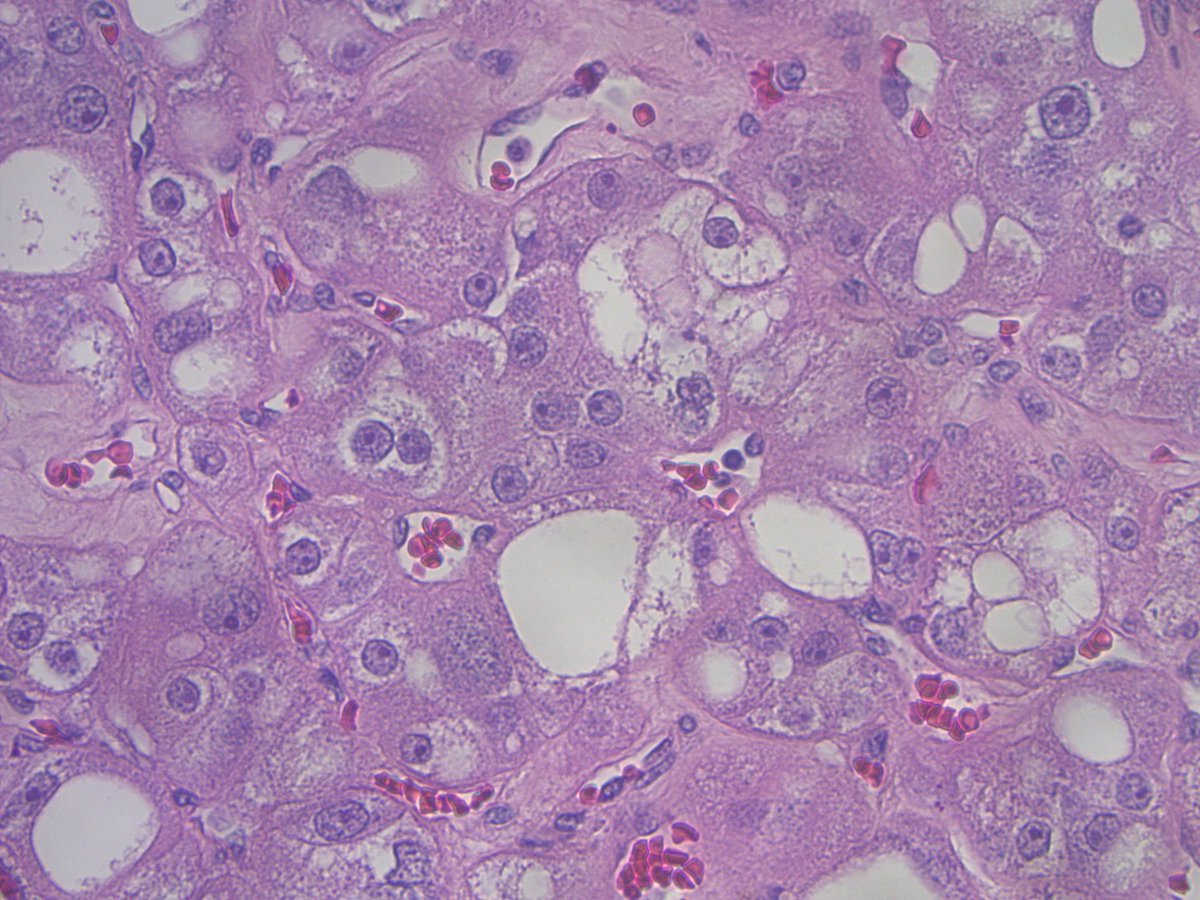
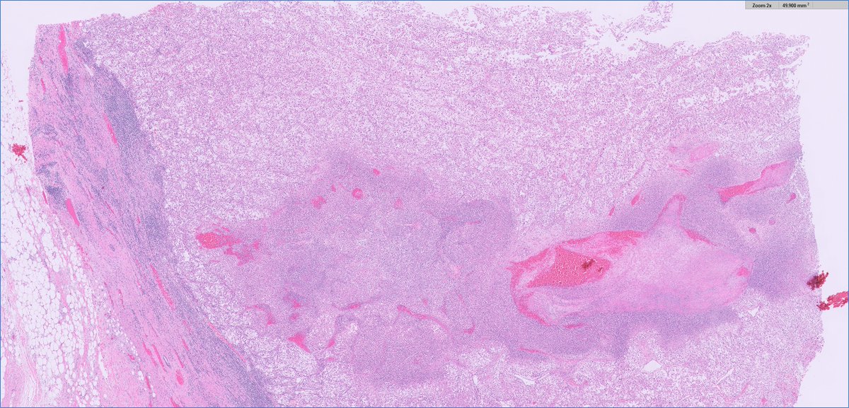
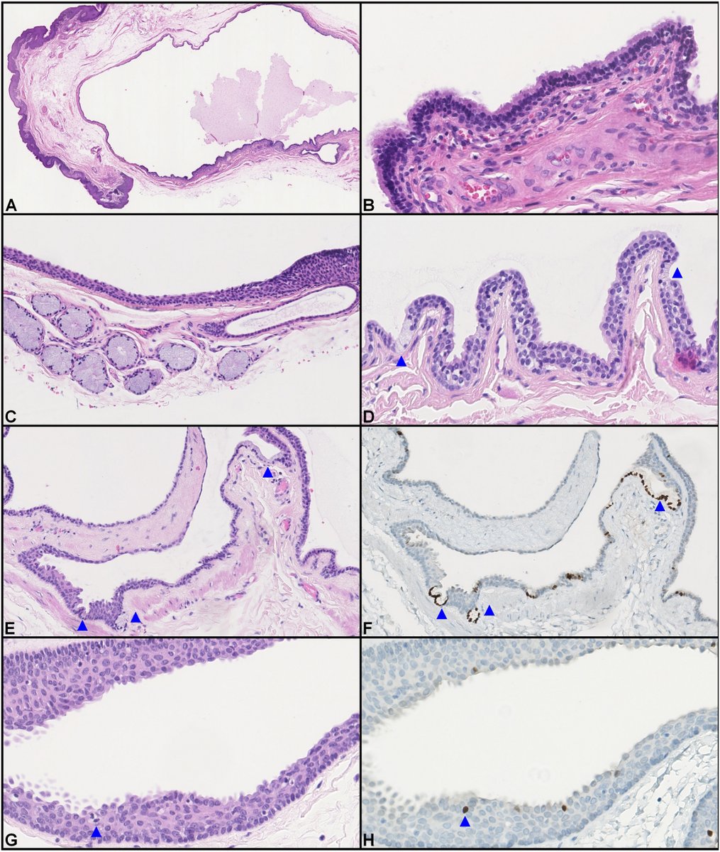
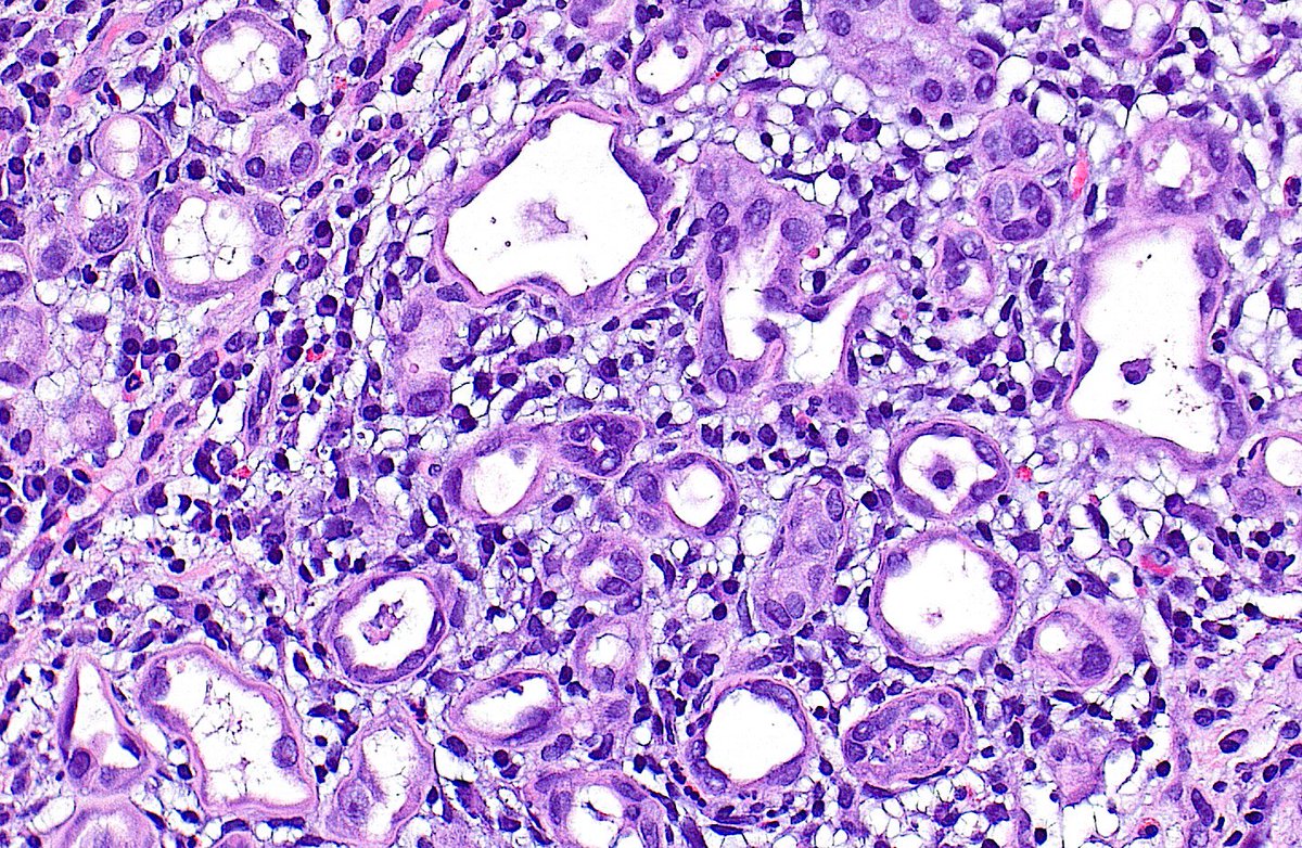
The proceedings of the first ever consensus conference on #urachal neoplasms, held under the auspices of ISUP International Society of Urological Pathology, is now published! Congratulations to all! #GUPath Paper is freely available as open access👇👇👇 pubmed.ncbi.nlm.nih.gov/40471793/


Congratulations to Henning, Gladell, and the entire team on the publication of this important work International Society of Urological Pathology

SIU-ICUD on the latest on #pathological factors that influence outcomes and management of localized #prostatecancer. Available in @SIU_journal as open access👇 mdpi.com/2563-6499/6/3/… It’s an honor working with a great #GUPath team. Thank you SIU-Urology for the opportunity 🙏🏻

