Fran Marqués Ortega (@franmaror) 's Twitter Profile
Fran Marqués Ortega

@franmaror

Nefrólogo en HUP La Fe

ID: 1594695824872701955

calendar_today21-11-2022 14:15:26

104 Tweet

32 Takipçi

68 Takip Edilen

María Peris (@mapefer3) 's Twitter Profile Photo

📚¡Gran Noticia!📢Nuestro artículo acaba de publicarse 🥳 En él exploramos las vías patológicas que causan inflamación en ERCA 🫘 via Biomedicines MDPI #CKD #metabolomics #inflammation #toxins Iris viejo JHJ mdpi.com/2706466 🧵1/8

AJKD (@ajkdonline) 's Twitter Profile Photo

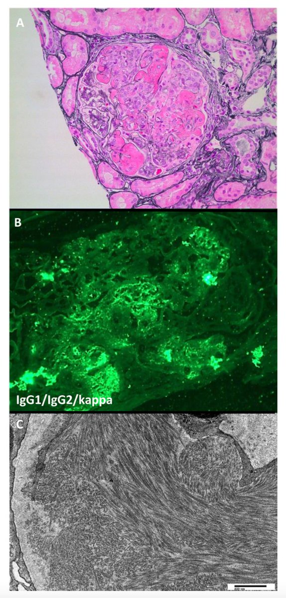
A middle-aged man presented with bilateral lower extremity rash, symmetric paresthesias of lower extremities, and small-volume hemoptysis. He received prednisone and rituximab. One year later, he developed hypertension and AKI. Differential diagnosis? buff.ly/3Ipyd7O

A middle-aged man presented with bilateral lower extremity rash, symmetric paresthesias of lower extremities, and small-volume hemoptysis. He received prednisone and rituximab. One year later, he developed hypertension and AKI. Differential diagnosis? 

buff.ly/3Ipyd7O
Nefrología La Fe (@nefro_lafe) 's Twitter Profile Photo

Hola a todos. Desde el equipo de Nefrología de la Fe os damos la bienvenida a nuestro Tuiter donde publicaremos noticias sobre la actividad de nuestro servicio, curiosidades, consejos para pacientes y sanitarios e investigaciones recientes🫘🫘🫘 #saludrenal

Nefrología La Fe (@nefro_lafe) 's Twitter Profile Photo

PARA RESIDENTES: retirada de catéter venoso central tunelizado de hemodiálisis. Un procedimiento relativamente sencillo pero del que casi no hay publicaciones. Así que aquí van algunos consejos prácticos. 1/7

Nefrología La Fe (@nefro_lafe) 's Twitter Profile Photo

Aprendemos en el quinto #CursoCardiorrenal organizado por nuestra Unidad Cardiorrenal Avanzada con compañeros Nefrología, UCI y Cardiología. Un placer poder colaborar y compartir conocimientos y experiencia. HospitalLaFe

Aprendemos en el quinto #CursoCardiorrenal organizado por nuestra Unidad Cardiorrenal Avanzada con compañeros Nefrología, UCI y Cardiología. Un placer poder colaborar y compartir conocimientos y experiencia. <a href="/HospitalLaFe/">HospitalLaFe</a>
Nefrología La Fe (@nefro_lafe) 's Twitter Profile Photo

Tampoco nos queríamos perder la Reunión Anual del Club de Nefropatología #Glosen24 🔬🫘 S.E.N. Nefrología Iniciamos la jornada con excelentes casos, ponentes y la sala completa 👏🏻 En el próximo post presentaremos nuestro caso, publicado en el libro de la reunión 📋🖇️ #Glosen

Tampoco nos queríamos perder la Reunión Anual del Club de Nefropatología #Glosen24 🔬🫘 <a href="/SENefrologia/">S.E.N. Nefrología</a> 

Iniciamos la jornada con excelentes casos, ponentes y la sala completa 👏🏻

En el próximo post presentaremos nuestro caso, publicado en el libro de la reunión  📋🖇️ #Glosen
Nefrología La Fe (@nefro_lafe) 's Twitter Profile Photo

Nuestro caso para #Glosen (núm 31) “ EL RETO DIAGNÓSTICO DE LA LEISHMANIASIS VISCERAL EN TRASPLANTE RENAL, DONDE LA IMAGEN HISTOLÓGICA SE VUELVE IMPRESCINDIBLE” 🔬🫘 Autores principales: Dra Mompó (Pelinaranja), Dr González-Calero (Pablo González-Calero) y el servicio Anatomía Patológica, Hospital La Fe (1/14)

Nefrología La Fe (@nefro_lafe) 's Twitter Profile Photo

Para concluir, nos gustaría recalcar del caso varias cosas: 📍 La inmunosupresión es el pilar fundamental para la prevención del rechazo, no obstante, convierte a nuestros pacientes en población vulnerable a infecciones infrecuentes en población inmunocompetente (10/14)

Nefrología La Fe (@nefro_lafe) 's Twitter Profile Photo

PARA PROFESIONALES, revisión de la fisiología en el embarazo 🤰 , la HTA y el diagnóstico diferencial del MAT en el embarazo a cargo de la Dra. 👩‍⚕️ Pelinaranja en el #CongresoSVN24 el pasado marzo. Gracias a Sociedad Valenciana de Nefrología por hacerlo posible. youtu.be/rHtpvG-Il1U?si… vía YouTube

Nefrología La Fe (@nefro_lafe) 's Twitter Profile Photo

El Dr. Espí, de la Unidad de Trasplante Renal del HospitalLaFe, nos habla en #ReunionRetosTrasplanteRenal de los beneficios del trasplante doble hepático y renal incluso en pacientes con cross match positivo y citotoxicidad dependiente de complemento 🫘🔥🔥 Astellas Pharma US Sociedad Valenciana de Nefrología

El Dr. Espí, de la Unidad de Trasplante Renal del <a href="/HospitalLaFe/">HospitalLaFe</a>, nos habla en #ReunionRetosTrasplanteRenal de los beneficios del trasplante doble hepático y renal incluso en pacientes con cross match positivo y citotoxicidad dependiente de complemento 🫘🔥🔥 <a href="/AstellasUS/">Astellas Pharma US</a> <a href="/SVNefro/">Sociedad Valenciana de Nefrología</a>
JASN_News (@jasn_news) 's Twitter Profile Photo

As CKD resembles accelerated aging, patients with CKD may benefit from klotho-focused aging research. This article discusses a novel klotho variant, a procedure to synthesize and purify the protein, and and assay to test its bioactivity bit.ly/JASN0388 Christian Faul

As CKD resembles accelerated aging, patients with CKD may benefit from klotho-focused aging research. This article discusses a novel klotho variant, a procedure to synthesize and purify the protein, and and assay to test its bioactivity bit.ly/JASN0388

<a href="/cfaul1/">Christian Faul</a>
Nefrología La Fe (@nefro_lafe) 's Twitter Profile Photo

PARA ENFERMERÍA Procedimiento de canulación de una fístula arteriovenosa de hemodiálisis 🩸🩸de parte de @mariadue123. Primero exploraremos el miembro superior para comprobar que no hay ninguna incidencia. Nos tendremos que ayudar de un compresor para facilitar la punción.

Juan Geraldo (@juangerald) 's Twitter Profile Photo

Read our latest #research on #EchoFirst published w/ Springer Nature in Annals of Biomedical Engineering Cardiología Peset DS Doctor Peset “A New Coding System for the Identification of Left Ventricular Rotation Patterns and Their Relevance to Myocardial Function” rdcu.be/dKlvq

Read our latest #research on #EchoFirst published w/ <a href="/SpringerNature/">Springer Nature</a> in Annals of Biomedical Engineering <a href="/CardioPeset/">Cardiología Peset</a> <a href="/GVADrPeset/">DS Doctor Peset</a>

“A New Coding System for the Identification of Left Ventricular Rotation Patterns and Their Relevance to Myocardial Function”
rdcu.be/dKlvq
Nefrología La Fe (@nefro_lafe) 's Twitter Profile Photo

Desde Nefrología también hemos tenido la oportunidad de aprender y practicar en el “ IX Curso de Actualización en Endourología”, incorporando modelo animal de hidronefrosis y biopsia renal🫘💉 Muchas gracias por contar con nosotros 😊 UrologiaLaFe

Desde Nefrología también hemos tenido la oportunidad de aprender y practicar en el “ IX Curso de Actualización en Endourología”, incorporando modelo animal de hidronefrosis y biopsia renal🫘💉 
Muchas gracias por contar con nosotros 😊 <a href="/UrologiaLaFe/">UrologiaLaFe</a>