
Functional Neuroimaging, Cognitive & Mobility Lab
@fnicomolab
University of Michigan • Led by Dr. Nico Bohnen • To better understand cognitive function & mobility changes in neurodegenerative disorders & normal aging
ID: 1492254139757301762
http://pdresearch.rad.med.umich.edu 11-02-2022 21:48:21
19 Tweet
27 Takipçi
10 Takip Edilen



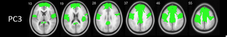
Recent work using 18F-FEOBV PET with our colleagues in Michigan Medicine #neurology reveals a specific topographic pattern of regional vulnerability of cholinergic nerve terminals across multiple cholinergic systems in normal aging. Out now in #AgingBrain: sciencedirect.com/science/articl…



April is #ParkinsonsAwarenessMonth. NINDS is highlighting Morris K. Udall Centers of Excellence in PD. Scientists, staff & patient advocates from the University of Michigan Udall Center share their innovative work and goals treatment. Find out how YOU can get involved. youtu.be/qn6L63edMvY


Our Functional Neuroimaging, Cognitive and Mobility Lab Functional Neuroimaging, Cognitive & Mobility Lab would like to congratulate Dan McEachin who was recognized as a 2021 Citizen Scientist Champion Honoree. globalalzplatform.org/awards/ Global Alzheimer's Platform Foundation youtube.com/watch?v=QklTZA…












