
Varsha Bhaskar
@vb_358
ID: 1246745172840308736
05-04-2020 10:23:28
597 Tweet
71 Followers
221 Following











@CaseyPSchukow @basophil_brett Jerad Gardner, MD I made this to help visualize where everything is (Also sorry I know the p arm should go from high to low - I have to change it)






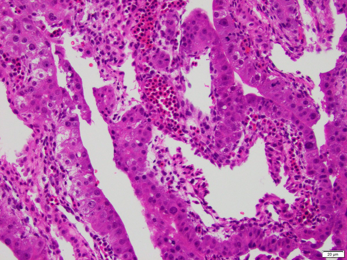
Incidental finding in an ectopic pregnancy resected at 6 weeks. What is it? 4x, 10x, & 20x Kyla Jorgenson and Ben Gertsen were there when I took the pictures, so they should let others have a chance. #Pedipath #Pathtwitter #Path2Path #Embryo #MedStudentTwitter


Overview of fungal pneumonias The Infectious Diseases Trivia #MedEd #FOAMed #Medtwitter


