Pankaj Nepal (@pankajnepal10) 's Twitter Profile
Pankaj Nepal

@pankajnepal10

Body imaging radiologist @InovaHealth @FairfaxRad # fellowship trained @MGHImaging

ID: 1285966214817353728

calendar_today22-07-2020 15:53:52

85 Tweet

268 Followers

258 Following

Pankaj Nepal (@pankajnepal10) 's Twitter Profile Photo

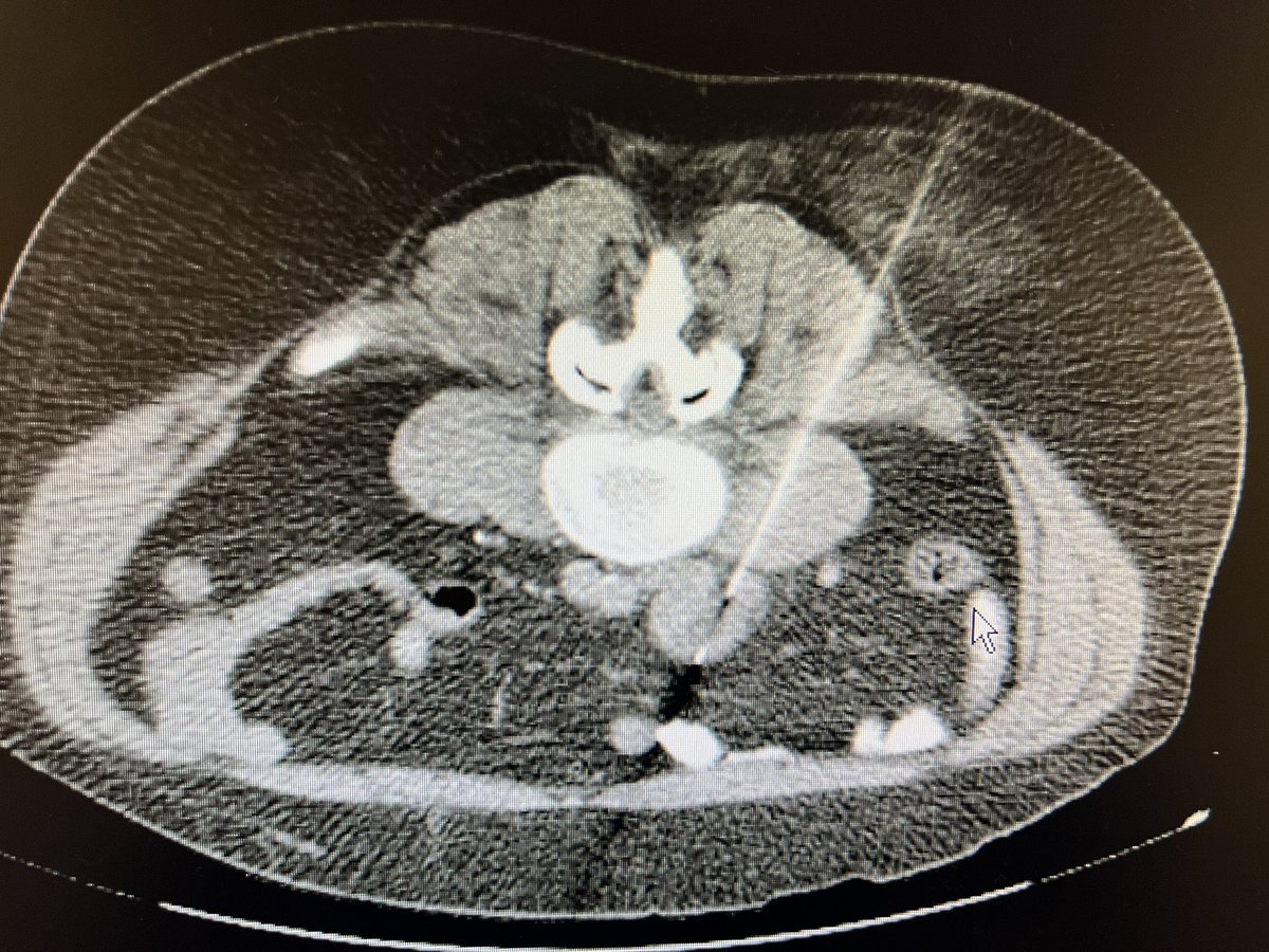
When you biopsy iliac node , not only care about IVC or aorta but also think of ureter. Ureter the “recurrent laryngeal nerve of abdomen” #radres #radtwitter #futureradres #FOAMrad #radiology #AbdRad #irrad

When you biopsy iliac node , not only care about IVC or aorta but also think of ureter. Ureter the “recurrent laryngeal nerve of abdomen”

#radres #radtwitter #futureradres #FOAMrad #radiology #AbdRad #irrad
Pankaj Nepal (@pankajnepal10) 's Twitter Profile Photo

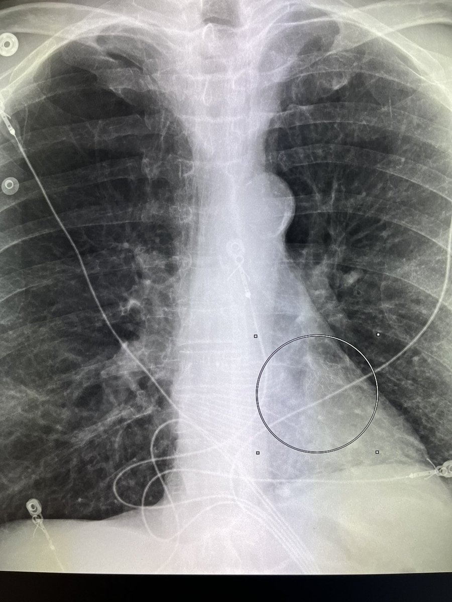
Look closely !! What is expected as left atrial occlusion device is actually is “endobronchial valves “ be careful do not generalize. #radres #radiology

Look closely !! What is expected as left atrial occlusion device is actually is “endobronchial valves “ be careful do not generalize. #radres
#radiology