Elmira Komissarova (@elmirakomissar6) 's Twitter Profile
Elmira Komissarova

@elmirakomissar6

Irkutsk Regional Oncology Hospital. Cytopathologist. MD.

ID: 1400461311608193029

calendar_today03-06-2021 14:36:34

2,2K Tweet

588 Takipçi

318 Takip Edilen

Meredith Herman, DO (@meredithkherman) 's Twitter Profile Photo

A guide (and quiz) to ace #thyroid cytology and surgical pathology as a PGY-1 🧵🪡 ❔ #microscopemonday #pathology #PathTwitter #endocrine #headandneck

Dr. Luca (@atman_ci) 's Twitter Profile Photo

You were like family to me, a very human group of competent #Pathologists and #Technicians who have made my extreme commute a journey of discovery and learning. This is dedicated to you and all commuting Pathologists, may it gives the strength you need to face your daily hardship

You were like family to me, a very human group of competent #Pathologists and #Technicians who have made my extreme commute a journey of discovery and learning. This is dedicated to you and all commuting Pathologists, may it gives the strength you need to face your daily hardship
Syed Z. Ali (@sza_jhcyto) 's Twitter Profile Photo

I personally find it harder to interpret salivary gland FNAs on liquid-based preps without a Giemsa-stained direct smear. Here is a nice example of a recurrent Basal Cell Adenoma with cell block. Without the history and cell block -> SUMP/Basaloid Esther Diana Rossi (Parotid)

I personally find it harder to interpret salivary gland FNAs on liquid-based preps without a Giemsa-stained direct smear. Here is a nice example of a recurrent Basal Cell Adenoma with cell block. Without the history and cell block -&gt; SUMP/Basaloid <a href="/DianaEstherossi/">Esther Diana Rossi</a> (Parotid)
M. Lisa Zhang, MD (@mlisazhang) 's Twitter Profile Photo

Thrilled to share our latest findings on how grading cytological atypia in pancreatic mucinous cysts impacts patient outcomes! 📊🔬 🔍 Dive into the details below (free access to full text until 7/12/24)! 📄Modern Pathology #PancreaticCysts #CytoPath bit.ly/4dVqAok

Thrilled to share our latest findings on how grading cytological atypia in pancreatic mucinous cysts impacts patient outcomes! 📊🔬

🔍 Dive into the details below (free access to full text until 7/12/24)! 📄<a href="/ModernPathology/">Modern Pathology</a>

#PancreaticCysts #CytoPath

bit.ly/4dVqAok
Elmira Komissarova (@elmirakomissar6) 's Twitter Profile Photo

A 2.5-centimeter, clearly defined tumor of the lower lobe of the right lung in a 32-year-old woman, accidentally detected by fluorography. A smear from the tumor and the frozen section. The woman also has multiple AML of the left kidney. What do you think? #cyto #pathology

A 2.5-centimeter, clearly defined tumor of the lower lobe of the right lung in a 32-year-old woman, accidentally detected by fluorography. A smear from the tumor and the frozen section. The woman also has multiple AML of the left kidney. What do you think? #cyto #pathology
Syed Z. Ali (@sza_jhcyto) 's Twitter Profile Photo

MOST photogenic example of a rare tumor - “Primary Pancreatic Anaplastic Carcinoma”, one of the deadliest human malignancies. (Pancreas, EUS-FNA)

MOST photogenic example of a rare tumor - “Primary Pancreatic Anaplastic Carcinoma”, one of the deadliest human malignancies. (Pancreas, EUS-FNA)
Roxana Chávez Cito. 🇲🇽 (@citopatoroxx) 's Twitter Profile Photo

"I must emphasize to my junior colleagues that cytopathology is crucial for early disease detection, accurate and timely diagnosis, personalized treatment and planning, and monitoring treatment response. We play a vital role in improving patient outcomes..." Syed Z. Ali

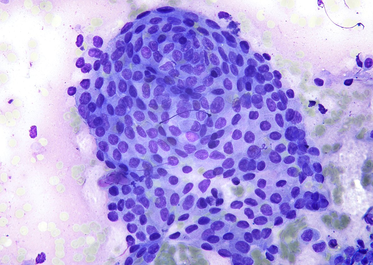
Elmira Komissarova (@elmirakomissar6) 's Twitter Profile Photo

A non-palpable nodule 4,3*2,7 in a right lobe of the thyroid in a 56 yo man. The cellularity is low. But I found this large fragment of stroma with a small number of thyroid cells. The patient had also few small nodules in both lobes. What Bethesda category do you prefer?

A non-palpable nodule 4,3*2,7 in a right lobe of the thyroid in a 56 yo man. The cellularity is low. But I found this large fragment of stroma with a small number of thyroid cells. The patient had also few small nodules in both lobes. What Bethesda category do you prefer?
Pepe Jiménez Heffernan (@pepeheffernan) 's Twitter Profile Photo

CC331. Adrenal tumor. Patricia Patricia Muñoz loves cytopathology (and likes to test me). We rarely needle this tumor. She sampled a surgical case. When showing it, she says nothing, not even the organ, just gives you the slide. More images below Barry McGinn Kalyani Bambal Mark CC Chen, M.D. FIAC #cytopath

CC331. Adrenal tumor. Patricia <a href="/pattmh/">Patricia Muñoz</a> loves cytopathology (and likes to test me). We rarely needle this tumor. She sampled a surgical case. When showing it, she says nothing, not even the organ, just gives you the slide. More images below <a href="/DrBMcGinn/">Barry McGinn</a> <a href="/kriyer68/">Kalyani Bambal</a> <a href="/twmarkc/">Mark CC Chen, M.D. FIAC</a> #cytopath
Zahra Maleki, MD, MIAC (@zmaleki_cyto) 's Twitter Profile Photo

Bublle gum here, bubble gum there. Bubble gum colloid droplets, many of them in a papillary thyroid carcinoma. They are magenta in Diff-Quik stain and green in Papillary stain. #CytoPro, #cytology #thyroid Ivana Kholová Lola Lozano Esther Diana Rossi Zubair Baloch WC Faquin, MD, PhD

Bublle gum here, bubble gum there.
Bubble gum colloid droplets, many of them in a papillary thyroid carcinoma. They are magenta in Diff-Quik stain and  green in Papillary stain. #CytoPro, #cytology #thyroid <a href="/IvanaKholova/">Ivana Kholová</a> <a href="/mdlozanoe/">Lola Lozano</a> <a href="/DianaEstherossi/">Esther Diana Rossi</a> <a href="/aakasharmand/">Zubair Baloch</a> <a href="/bfaquin/">WC Faquin, MD, PhD</a>
Elmira Komissarova (@elmirakomissar6) 's Twitter Profile Photo

These huge multinucleated giant cells, more characteristic of de quervain's thyroiditis than for PTC, ate most of the PTC tumor cells (BRAF V600E+), so we hardly found these few cells and psammomous bodies in histology. #cytopath

These huge multinucleated giant cells, more characteristic of de quervain's thyroiditis than for PTC, ate most of the PTC tumor cells (BRAF V600E+), so we hardly found these few cells and psammomous bodies in histology. #cytopath
Lola Lozano (@mdlozanoe) 's Twitter Profile Photo

"Whorls all around"🌪️🌪️, a STUNNING example of a meningioma And in addition: Psammoma bodies, Bland nuclei with some ICNI, Fine and wispy cytoplasmic processes Young EFCS International Academy Cytology Cytopathology.org Sociedad Española de Citología #Cytopath

"Whorls all around"🌪️🌪️,  a STUNNING example of a meningioma 
And in addition: 
Psammoma bodies, 
Bland nuclei with some ICNI, 
Fine and wispy cytoplasmic processes
 <a href="/EfcsYoung/">Young EFCS</a> <a href="/IACytology/">International Academy Cytology</a> <a href="/cytopathology/">Cytopathology.org</a> <a href="/SECitologia/">Sociedad Española de Citología</a>  #Cytopath
Cancer Cytopathology (@cancercytopath) 's Twitter Profile Photo

#OpenAccess review | Role of renal mass biopsy for diagnosis and management: Review of current trends and future directions acsjournals.onlinelibrary.wiley.com/doi/10.1002/cn… #CytoPath Bonnie Choy, MD Ritu Nayar, MD

#OpenAccess review | Role of renal mass biopsy for diagnosis and management: Review of current trends and future directions 

acsjournals.onlinelibrary.wiley.com/doi/10.1002/cn…

#CytoPath <a href="/bonnie_choy/">Bonnie Choy, MD</a> <a href="/NayarRitu/">Ritu Nayar, MD</a>
Pepe Jiménez Heffernan (@pepeheffernan) 's Twitter Profile Photo

Part 3. That's it! RENAL. Papillary RCC also shows spherules/ball-like fragments, pseudopapillae and cellular swirls (whorling), flat sheets, psammoma, cubic to columnar cell morphology, cytoplasmic microvacuolization, macrophages, iron, debris... Among all papillae are the best

Part 3. That's it! RENAL. Papillary RCC also shows spherules/ball-like fragments, pseudopapillae and cellular swirls (whorling), flat sheets, psammoma, cubic to columnar cell morphology, cytoplasmic microvacuolization, macrophages, iron, debris... Among all papillae are the best