
Lyndon Mason
@drlyndonmason
Honorary Associate Professor, Liverpool Orthopaedic and Trauma Surgery consultant, unorthodox orthopod, specialising in foot and ankle, trauma and major trauma
ID: 26818281
http://liverpoolfootandankle.com 26-03-2009 18:54:05
2,2K Tweet
2,2K Takipçi
483 Takip Edilen


My side of the debate from the RSM Orthopaedics Section last week on approaches to the posterior aspect of the ankle is now available on the Liverpool Foot and Ankle YouTube channel youtu.be/hdCEJhwNHVg?si…

It was an honour to be involved with this research, led by Kristian D’Aout on Footwesr & Locomotor Health: A Critical Review in MDPI Liverpool Orthopaedic and Trauma Service NHS University Hospitals of Liverpool Group University of Liverpool Faculty of Health and Life Sciences mdpi.com/2227-9032/13/5… #FootwearScience #BarefootScience #FootFunction #ShoeDesign


The Derry Kidney Dish Test, presented by Dessie Gibson💙 has been uploaded to the Liverpool Foot and Ankle YouTube channel. Please view, if you don’t want to miss a syndesmosis instability Jan Szatkowski Dr. Edward Oates Nannypod Deepa Bose (she/her) youtu.be/YwOiWom8pMI?si…






📢 New Research Alert! The study from our F&A unit shows plain radiographs underestimate posterior malleolar fractures (PMFs), especially rotational pilon (2A & 2B) types. Lyndon Mason journals.sagepub.com/doi/10.1177/24…

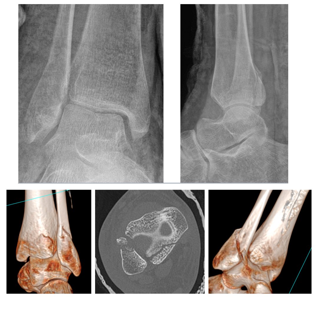
These just keep getting sillier stumble twist and fall giving me the craziest medial mal i recent history. tib post retiaculum avulsed chunks of the post colliculus. ant colliculus also comminuted. Type 2A post Mal / MPM Lyndon Mason #orthotwitter osteosynthesis.org/33209496-compl…



📚 Our paper on Chronic Syndesmotic Instability featured in the latest #BOFAS Journal Club. Honoured to join as invited panelist—watch the discussion & Q&A here: 👉 youtu.be/D4jvTX9B9So?si… BOFAS Abdul-Rahman Gomaa Liverpool Orthopaedic and Trauma Service NHS University Hospitals of Liverpool Group R&I


What a few days 🇺🇸 Honoured to be part of the first US Ortho Solutions Experience Course in Nashville. A fantastic mix of lectures, debates, cases & cadaver labs — all with high-level foot & ankle minds. Huge thanks to the team. Here’s to many more! ✨ #FootAndAnkle

Excited for my talk later today at #OTS2025 introducing DARFI to the wider T&O community Lyndon Mason NHS University Hospitals of Liverpool Group R&I Clockwork Medical hang around to find out more and get involved


