Jawad Fares, MD (@drjawadfares) 's Twitter Profile
Jawad Fares, MD

@drjawadfares

Physician-Scientist • Neurosurgery Resident @NorthwesternMed • #Neurooncology • Own Views

ID: 893644778029690880

calendar_today05-08-2017 01:28:13

633 Tweet

1,1K Takipçi

256 Takip Edilen

Jawad Fares, MD (@drjawadfares) 's Twitter Profile Photo

Our latest discovery @JClinicalInvest! Metixene, an antiparkinsonian drug, induces NDRG1-mediated incomplete autophagy in cancer cells & increases survival in mice with multi-organ site mets, intracranial solitary met, & multiple brain mets. Link: rb.gy/to5go

Our latest discovery @JClinicalInvest! Metixene, an antiparkinsonian drug, induces NDRG1-mediated incomplete autophagy in cancer cells & increases survival in mice with multi-organ site mets, intracranial solitary met, & multiple brain mets. 

Link: rb.gy/to5go
Jawad Fares, MD (@drjawadfares) 's Twitter Profile Photo

So excited to have landed the cover of JCI! “Metixene is an incomplete autophagy inducer in preclinical models of metastatic cancer and brain metastases.” doi.org/10.1172/JCI161…

Neurosurgery at NM (@neurosurgerynm) 's Twitter Profile Photo

A study published in Journal of Clinical Investigation, Northwestern Medicine investigators have identified a novel therapeutic agent that is effective in treating metastatic #breastcancer and #brainmetastases with minimal side effects. ow.ly/g5TR50Qn3Mz Jawad Fares, MD Maciej Lesniak, MD

Neurosurgery at NM (@neurosurgerynm) 's Twitter Profile Photo

Novel Therapy Extends Survival in Metastatic #Cancer Metixene: A New Frontier in Metastatic #BreastCancer and #Brain Metastasis Treatment hcn.health/hcn-trends-sto…

APSA (@a_p_s_a) 's Twitter Profile Photo

Don’t miss our curated set of trainee scientific showcase talks on 4/5 at 11:00 AM. These 4-minute elevator pitches provide a high-level overview of trainee research and serve as a gateway to our poster session. Learn more at: JointMeeting.org #JointMeeting2024

Don’t miss our curated set of trainee scientific showcase talks on 4/5 at 11:00 AM. These 4-minute elevator pitches provide a high-level overview of trainee research and serve as a gateway to our poster session. Learn more at: JointMeeting.org
#JointMeeting2024
@BrainComms (@braincomms) 's Twitter Profile Photo

Fares et al. explore tumoural heterogeneity in IDH-wild-type glioblastoma, unveiling genetic, epigenetic and microenvironmental factors shaping tumour dynamics and clinical outcomes. Jawad Fares, MD Stephen Price💙 Yizhou Wan #glioblastoma edin.ac/4c8ZLLO

Fares et al. explore tumoural heterogeneity in IDH-wild-type glioblastoma, unveiling genetic, epigenetic and microenvironmental factors shaping tumour dynamics and clinical outcomes. <a href="/DrJawadFares/">Jawad Fares, MD</a> <a href="/Sjp58Price/">Stephen Price💙</a> <a href="/yizhwan/">Yizhou Wan</a> #glioblastoma
edin.ac/4c8ZLLO
Jawad Fares, MD (@drjawadfares) 's Twitter Profile Photo

My heart and thoughts are with my family, friends, and everyone in Lebanon during these difficult times. Praying for peace, resilience, and brighter days ahead for my beloved homeland. 🇱🇧

Asia 21 Next Generation Fellows (@asia21fellows) 's Twitter Profile Photo

Meet more of our Asia 21 Next Generation Fellows from the Class of 2024, including 𝐒𝐡𝐚𝐡 𝐑𝐚𝐟𝐚𝐲𝐚𝐭, 𝐍𝐢𝐬𝐡𝐚𝐧𝐭, 𝐀𝐧𝐧 𝐀𝐝𝐞𝐥𝐢𝐧𝐞, and 𝐉𝐚𝐰𝐚𝐝 (Jawad Fares, MD). #Asia21 Asia Society

Meet more of our Asia 21 Next Generation Fellows from the Class of 2024, including 𝐒𝐡𝐚𝐡 𝐑𝐚𝐟𝐚𝐲𝐚𝐭, 𝐍𝐢𝐬𝐡𝐚𝐧𝐭, 𝐀𝐧𝐧 𝐀𝐝𝐞𝐥𝐢𝐧𝐞, and 𝐉𝐚𝐰𝐚𝐝 (<a href="/DrJawadFares/">Jawad Fares, MD</a>).

#Asia21 <a href="/AsiaSociety/">Asia Society</a>
Jawad Fares, MD (@drjawadfares) 's Twitter Profile Photo

A glimpse into the current status and future challenges of brain tumor imaging in the setting of #AI and #ML. Decoding Glioblastoma Heterogeneity: Neuroimaging Meets Machine Learning. Out now with free access in Neurosurgery Publications journals.lww.com/neurosurgery/f…

Journal of Neuro-Oncology (@jneurooncol) 's Twitter Profile Photo

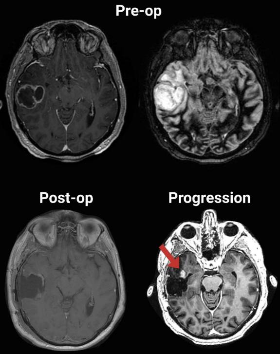
Fares et al Jawad Fares, MD showed temporal IDH-wildtype GBM often progresses anteriorly post-resection. Anterior temporal lobectomy may reduce progression in some cases. FLAIR imaging’s predictive value is limited, urging advanced techniques.#JNO Read more:link.springer.com/article/10.100…

Fares et al <a href="/DrJawadFares/">Jawad Fares, MD</a> showed temporal IDH-wildtype GBM often progresses anteriorly post-resection. Anterior temporal lobectomy may reduce progression in some cases. FLAIR imaging’s predictive value is limited, urging advanced techniques.#JNO

Read more:link.springer.com/article/10.100…