Hashim Alattas (@drhashimalattas) 's Twitter Profile
Hashim Alattas

@drhashimalattas

{وَمَا أُوتِيتُمْ مِنْ الْعِلْمِ إِلاَّ قَلِيلاً} ...A Pathologist to Be

ID: 1583516274742657024

calendar_today21-10-2022 17:51:25

169 Tweet

170 Followers

397 Following

Abhijit Das, MD (@abhijitsurgpath) 's Twitter Profile Photo

Pancreatic cancer: basic facts for residents Pancreatic ductal adenocarcinoma, acinar cell carcinoma, pancreatoblastoma, PanNET, PanNEC, solid pseudopapillary neoplasm #MakeSuriPathEasy# #BasicFactsForResidents#

Pancreatic cancer: basic facts for residents 
Pancreatic ductal adenocarcinoma, acinar cell carcinoma, pancreatoblastoma, PanNET, PanNEC, solid pseudopapillary neoplasm

#MakeSuriPathEasy#
#BasicFactsForResidents#
Kurt Schaberg (@kurtschaberg) 's Twitter Profile Photo

I revised my notes on the Appendix to include more detail and non-tumor conditions for my teaching website, "Kurt's Notes" (kurtsnotes.net). 🪱🪱🪱🪱🪱🪱🪱🪱🪱🪱🪱🪱🪱🪱🪱🪱🪱🪱🪱🪱🪱🪱🪱🪱🪱🪱🪱🪱🪱🪱🪱🪱🪱🪱🪱🪱🪱 Full notes available here: schaberg.faculty.ucdavis.edu/wp-content/upl…

I revised my notes on the Appendix to include more detail and non-tumor conditions for my teaching website, "Kurt's Notes" (kurtsnotes.net).

🪱🪱🪱🪱🪱🪱🪱🪱🪱🪱🪱🪱🪱🪱🪱🪱🪱🪱🪱🪱🪱🪱🪱🪱🪱🪱🪱🪱🪱🪱🪱🪱🪱🪱🪱🪱🪱

Full notes available here: schaberg.faculty.ucdavis.edu/wp-content/upl…
Pathology mcqs (@pathology_mcqs) 's Twitter Profile Photo

Diagnostic criteria of Leiomyosarcoma - According to WHO 2022 #pathtwitter #pathologymcqs #fgt #leiomyoma #leiomyosarcoma #pathtwitter #fgtpath

Diagnostic criteria of Leiomyosarcoma - According to WHO 2022 

#pathtwitter #pathologymcqs #fgt #leiomyoma #leiomyosarcoma #pathtwitter #fgtpath
Charles Herndon (@drcyclopath) 's Twitter Profile Photo

Kidney mass in 3-week-old👶 , diagnosis? a) nephroblastoma, blastema-predominant b) clear cell sarcoma of the kidney c) congenital mesoblastic nephroma #GUPath #PediPath #PathTwitter #Pathology WSI🔬 digitalscope.org/ViewerUI/?Slid…

Kidney mass in 3-week-old👶 , diagnosis?
a) nephroblastoma, blastema-predominant
b) clear cell sarcoma of the kidney
c) congenital mesoblastic nephroma
#GUPath #PediPath #PathTwitter #Pathology
WSI🔬 digitalscope.org/ViewerUI/?Slid…
Felipe Templo Jr. 🕊 (@thejourneymate) 's Twitter Profile Photo

Histopathological Evaluation and Molecular Diagnostic Tests for Peritoneal Metastases with Unknown Primary Site 🔬 link.springer.com/article/10.100…

Histopathological Evaluation and Molecular Diagnostic Tests for Peritoneal Metastases with Unknown Primary Site 🔬

link.springer.com/article/10.100…
Jay Hwang (@path4people) 's Twitter Profile Photo

🩸 Venous Invasion in Colorectal Cancer 😰 Can be challenging ☝️Hints: Look for "Orphan Artery" sign and "Protruding-Tongue"👅 sign (⬇️) 🎨 Use Elastin > Endothelial stains b/c latter can be lost #pathx #pathtip #path4people #pathagonia #gipath #pathtwitter #pathology #cancer

🩸 Venous Invasion in Colorectal Cancer

😰 Can be challenging 
☝️Hints: Look for "Orphan Artery" sign and "Protruding-Tongue"👅 sign (⬇️)
🎨 Use Elastin > Endothelial stains b/c latter can be lost 

#pathx #pathtip #path4people #pathagonia #gipath #pathtwitter #pathology #cancer
Felipe Templo Jr. 🕊 (@thejourneymate) 's Twitter Profile Photo

Typical Gleason patterns of the modern Gleason grading system and the corresponding new Grade Group system 🔬 sciencedirect.com/science/articl…

Typical Gleason patterns of the modern Gleason grading system and the corresponding new Grade Group system 🔬
sciencedirect.com/science/articl…
Haneen Al.Maghrabi (@haneen_maghrabi) 's Twitter Profile Photo

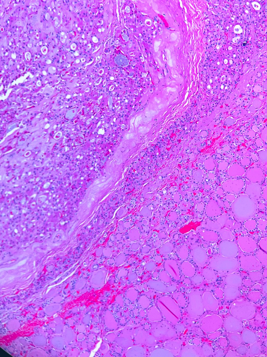
Thyroid follicular lesion 5 MM , do you think it’s invasive or benign? #thyroid #glands #Pathology #OralPath #Dermatopathology #Histology #HeadNeck #ENT #endocrine

Thyroid follicular lesion 5 MM , do you think it’s invasive or benign? 

#thyroid #glands #Pathology #OralPath #Dermatopathology #Histology #HeadNeck #ENT #endocrine
Charles Herndon (@drcyclopath) 's Twitter Profile Photo

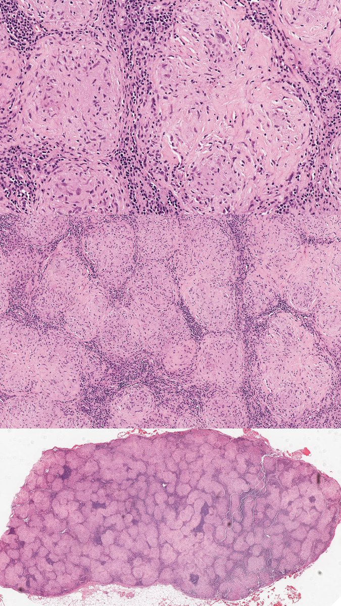
CT showed bilateral symmetric hilar and right paratracheal lymphadenopathy This is a hilar lymph node. What is the diagnosis? A) Granulomatosis with polyangiitis B) Rheumatoid nodule C) Sarcoidosis D) Tuberculosis 🔬dpa-dapa.com/public/display… #PulmPath #PathTwitter #Pathology

CT showed bilateral symmetric hilar and right paratracheal lymphadenopathy

This is a hilar lymph node.

What is the diagnosis?
A) Granulomatosis with polyangiitis
B) Rheumatoid nodule
C) Sarcoidosis
D) Tuberculosis
🔬dpa-dapa.com/public/display…
#PulmPath #PathTwitter #Pathology