د.فارس الشهراني (@drfaalshahrani) 's Twitter Profile
د.فارس الشهراني

@drfaalshahrani

استشاري تجميل وتركيب وزراعة الأسنان - عيادات دنتل هاوس- الخبر- للمواعيد 920002721 واتساب 966138119996+

ID: 2604953612

linkhttps://www.dentalhouseclinics.com/dr-faris-alshahrani calendar_today05-07-2014 06:48:17

233 Tweet

2,2K Followers

290 Following

د.فارس الشهراني (@drfaalshahrani) 's Twitter Profile Photo

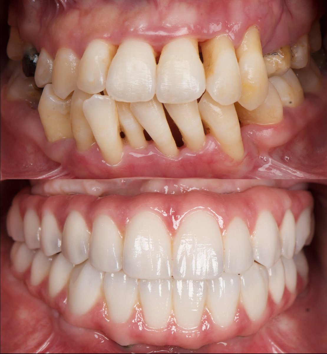
إعادة تأهيل لكامل الأسنان المتهالكة عن طريق الزرعات والتركيبات الثابته الفوائد من مثل هذا الإجراء هو إبتسامة أجمل وظيفة أسنان افضل وبالتالي جودة حياة أعلى. كل الشكر لاستشاري جراحة اللثة وزراعة الاسنان د عبدالكريم الحميدان على العمل المتقن Dr.AAAlhumaidan Dental House Clinics

إعادة تأهيل لكامل الأسنان المتهالكة عن طريق الزرعات والتركيبات الثابته الفوائد من مثل هذا  الإجراء هو إبتسامة أجمل وظيفة أسنان افضل وبالتالي جودة حياة أعلى.
كل الشكر لاستشاري جراحة اللثة وزراعة الاسنان د عبدالكريم الحميدان على العمل المتقن <a href="/Draalhumaidan/">Dr.AAAlhumaidan</a> <a href="/dentalhousec/">Dental House Clinics</a>
د.فارس الشهراني (@drfaalshahrani) 's Twitter Profile Photo

حالة تم فيها اعادة تاهيل كامل الفم عن طريق الزرعات والتركيبات الثابته كل الشكر لاستشاري جراحة الوجه والفكين الدكتور سامي الشهري على العمل المتقن في زراعة الاسنان سامي الشهري Dental House Clinics

حالة تم فيها اعادة تاهيل كامل الفم عن طريق الزرعات والتركيبات الثابته 
كل الشكر لاستشاري جراحة الوجه والفكين الدكتور سامي الشهري على العمل المتقن في زراعة الاسنان <a href="/Sami2007D/">سامي الشهري</a> <a href="/dentalhousec/">Dental House Clinics</a>
د.فارس الشهراني (@drfaalshahrani) 's Twitter Profile Photo

من الحالات التي تم المحافظة على الأسنان المتبقية بعد إصلاحها واستبدال المفقودة بزرعات الأسنان Dental House Clinics

من الحالات التي تم المحافظة على الأسنان المتبقية بعد إصلاحها واستبدال المفقودة بزرعات الأسنان <a href="/dentalhousec/">Dental House Clinics</a>
د.فارس الشهراني (@drfaalshahrani) 's Twitter Profile Photo

حالة قدرنا بتوفيق الله نعيد لها الابتسامة الجميلة ونخلصها من آلام الاسنان ومشاكلها تم العلاج على خطوات بداية بالخلع والزراعة مع المبدع دكتور عبدالكريم وانتهاء بالتركيبات المؤقته ثم الدائمة Dr.AAAlhumaidan Dental House Clinics

حالة قدرنا بتوفيق الله نعيد لها الابتسامة الجميلة ونخلصها من آلام الاسنان ومشاكلها تم العلاج على خطوات بداية بالخلع والزراعة مع المبدع دكتور عبدالكريم وانتهاء بالتركيبات المؤقته ثم الدائمة <a href="/Draalhumaidan/">Dr.AAAlhumaidan</a> <a href="/dentalhousec/">Dental House Clinics</a>
د.فارس الشهراني (@drfaalshahrani) 's Twitter Profile Photo

حالة تم علاجها بعد معاناه طويلة من سوء العلاج بسبب وجود مرض خلقي يعرف باسم الشفاه الارنبية بفضل الله تم استعادة الابتسامة والعضة الصحيحة بعمل زرعات وتركيبات ثابته Dental House Clinics

حالة تم علاجها بعد معاناه طويلة من سوء العلاج بسبب وجود مرض خلقي يعرف باسم الشفاه الارنبية بفضل الله تم استعادة الابتسامة والعضة الصحيحة بعمل زرعات وتركيبات ثابته 
<a href="/dentalhousec/">Dental House Clinics</a>
سلمان بن عبدالعزيز (@kingsalman) 's Twitter Profile Photo

نستذكر في المملكة العربية السعودية بكل اعتزاز ذكرى يوم التأسيس، الذي يعبر عن نحو ثلاثة قرون من قيام كيان هذه الدولة المباركة عام 1727م- 1139هـ عاصرنا خلالها مختلف التحديات وتجاوزنا فيها جميع الأزمات، وكان التلاحم والاستقرار هو الأساس الذي يجسد عراقة هذا الوطن أرضاً وإنساناً.

د.فارس الشهراني (@drfaalshahrani) 's Twitter Profile Photo

الحمدلله اولا واخراً أشكر عائلتي على دعهم ومساندتهم كما اشكر ادارة الكلية ممثلة في عميدة الكليةالبرفسورة جيهان الحميد على دعهما وجميع الزملاء في الكلية واتقدم بالشكر الى ادارة الجامعة وأخص بالذكر نائب رئيس الجامعة البرفسور فهد الحربي الذي كان ولايزال الداعم الاكبر في هذه المسيرة

الحمدلله اولا واخراً أشكر عائلتي على دعهم ومساندتهم كما اشكر ادارة الكلية ممثلة في عميدة الكليةالبرفسورة جيهان الحميد على دعهما وجميع الزملاء في الكلية
واتقدم بالشكر الى ادارة الجامعة وأخص بالذكر نائب رئيس الجامعة البرفسور فهد الحربي الذي كان ولايزال الداعم الاكبر في هذه المسيرة
The Journal of Prosthetic Dentistry (@jpdentistry) 's Twitter Profile Photo

Learn more from this article featured in the latest issue of #theJPD that evaluates if adding #zirconiumdioxide to #acrylicresin that is used to fabricate interim #dentalrestorations can improve #flexuralstrength: thejpd.org/article/S0022-…

Learn more from this article featured in the latest issue of #theJPD that evaluates if adding #zirconiumdioxide to #acrylicresin that is used to fabricate interim #dentalrestorations can improve #flexuralstrength: thejpd.org/article/S0022-…
سلمان بن عبدالعزيز (@kingsalman) 's Twitter Profile Photo

في ذكرى اليوم الوطني، تتجسد مكانة هذا الوطن بين الأمم ماضيًا وحاضرًا وأبدًا. سائلين المولى سبحانه، أن يحفظ لنا أمننا واستقرارنا، وأن يديم علينا وحدتنا.

𝑅𝑎𝑔ℎ𝑎𝑑. (@_raghadalruwili) 's Twitter Profile Photo

اللهم لك الحّمد I won 2nd place at the DLS8 Bahrain International Dental Conference. BDA Conferences & Exhibitions I would like to thank our amazing supervisors Dr @AABalHaddad and Yousif Aldulaijan , Mohammed Gad ,د.فارس الشهراني for their continuous support and encouragement throughout the research project.

اللهم لك الحّمد

I won 2nd place at the DLS8 Bahrain International Dental Conference. <a href="/BDAcenter/">BDA Conferences & Exhibitions</a> 
 I would like to thank our amazing supervisors Dr @AABalHaddad and <a href="/Y0U5IF/">Yousif Aldulaijan</a> , <a href="/MGadlo/">Mohammed Gad</a> ,<a href="/drfaalshahrani/">د.فارس الشهراني</a> for their continuous support and encouragement throughout the research project.
سلمان بن عبدالعزيز (@kingsalman) 's Twitter Profile Photo

أهنئكم بحلول عيد الفطر المبارك، أعاده الله علينا وعليكم باليمن والبركات، ونحمده سبحانه وتعالى الذي أكرمنا بصيام شهر رمضان، وشرّفنا بخدمة ضيوف الحرمين الشريفين. نسأل الله في هذا العيد المبارك أن يديم علينا الأمن والاستقرار، وعلى أمتينا العربية والإسلامية والعالم أجمع. وكل عام

سلمان بن عبدالعزيز (@kingsalman) 's Twitter Profile Photo

أهنئكم بعيد الأضحى المبارك، أعاده الله علينا وعليكم بالخير والبركات. سائلين المولى سبحانه أن يتقبل من حجاج بيته نُسكهم وطاعتهم، وأن يديم الأمن والاستقرار على وطننا وشعبنا، وعلى أمتينا الإسلامية والعربية والعالم أجمع. وكل عام وأنتم بخير.

سلمان بن عبدالعزيز (@kingsalman) 's Twitter Profile Photo

نعتز بذكرى تأسيس دولتنا المباركة قبل ثلاثة قرون على الأمن والعدل والعقيدة الخالصة، ولازال نهجها راسخاً منذ ذلك الحين، في وطن يتقدم إلى الريادة في مختلف المجالات.

سلمان بن عبدالعزيز (@kingsalman) 's Twitter Profile Photo

نحمد الله سبحانه وتعالى أن أكرمنا بإتمام صيام شهر رمضان المبارك وقيامه، ونسأل الله أن يديم علينا أمننا واستقرارنا، وأن يحفظ أبطالنا البواسل على الثغور والحدود في مختلف القطاعات العسكرية والمدنية. وكل عام وأنتم بخير، وبلادنا في عز ورفعة.

سلمان بن عبدالعزيز (@kingsalman) 's Twitter Profile Photo

هدفي الأول أن تكون بلادنا نموذجاً ناجحاً ورائداً في العالم على كافة الأصعدة، وسأعمل معكم على تحقيق ذلك.