Manish Yadav (@dr_manish_ydv) 's Twitter Profile
Manish Yadav

@dr_manish_ydv

एलोपैथी छात्र.
Fin. Med. Tech. enthusiast

ID: 1590670355051745281

calendar_today10-11-2022 11:39:10

737 Tweet

17 Followers

201 Following

Dr. Shiv_Kumar (@dr_shiv_kumar_) 's Twitter Profile Photo

🚨 A patient has a prolonged aPTT You expect bleeding. Instead, they develop stroke, DVT, miscarriage. Welcome to the Antiphospholipid Antibody paradox where labs lie and physiology wins 👇 1️⃣ The name is a lie ❌ aPL do NOT attack phospholipids ✅ They target

🚨 A patient has a prolonged aPTT
You expect bleeding.
Instead, they develop stroke, DVT, miscarriage.

Welcome to the Antiphospholipid Antibody paradox where labs lie and physiology wins 👇

1️⃣ The name is a lie
❌ aPL do NOT attack phospholipids
✅ They target
Manish Yadav (@dr_manish_ydv) 's Twitter Profile Photo

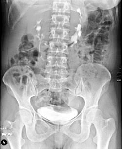
A 19-year-old male presents with recurrent right-sided flank pain and 2 episodes of UTI in the past 1 year. Ultrasound shows bilateral hydronephrosis with a low-lying renal mass crossing the midline anterior to the aorta. CT angiography reveals multiple aberrant renal arteries

A 19-year-old male presents with recurrent right-sided flank pain and 2 episodes of UTI in the past 1 year.
Ultrasound shows bilateral hydronephrosis with a low-lying renal mass crossing the midline anterior to the aorta.
CT angiography reveals multiple aberrant renal arteries
Manish Yadav (@dr_manish_ydv) 's Twitter Profile Photo

The most common type of Stones of various organs: 1️⃣ Kidney → Calcium oxalate 2️⃣ Ureter → Calcium oxalate 3️⃣ Bladder (Adult) → Calcium oxalate 4️⃣ Bladder (Child – endemic areas) → Ammonium acid urate 5️⃣ Gall bladder → Cholesterol stone 6️⃣ Common bile duct → 2° cholesterol

Dr. Shiv_Kumar (@dr_shiv_kumar_) 's Twitter Profile Photo

अहिरावण Dr. Akhil 🇮🇳 Dr. Priyam Bordoloi The Medics🩺💊💉🏥 Medzonetv Dr Ajay yadav Dr. HITESH YADAV Dau⚕️ C.Alberto Ortega Dr. Vikram Meena Ans- C✅ Why? Parapneumonic effusion with pH 7.08, glucose 32, turbid fluid & neutrophilia = complicated empyema ( Lights criteria proves exudative PE) 👉🏻 antibiotics alone is not enough. Chest tube drainage required.

Dr. Shiv_Kumar (@dr_shiv_kumar_) 's Twitter Profile Photo

अहिरावण Dr. Akhil 🇮🇳 Dr. Priyam Bordoloi The Medics🩺💊💉🏥 Dau⚕️ Chaudhary Shafiullah C.Alberto Ortega Dr. HITESH YADAV Dr Ajay yadav Dr. Vikram Meena Ans - C Pulmonary Embolism 🚨 (ECG + Management) ECG clues in PE: • Sinus tachycardia (most common) • S1Q3T3 pattern • RBBB, RAD • T-wave inversion V1–V4 (RV strain) Patient is hemodynamically unstable (shock/syncope) 👉🏻Immediate systemic thrombolysis (Alteplase). Don’t